Receive 30% off all Monoclonal IHC antibodies with code "MONO-IHC-30"! Offer valid for US customers and available internationally through distributors.

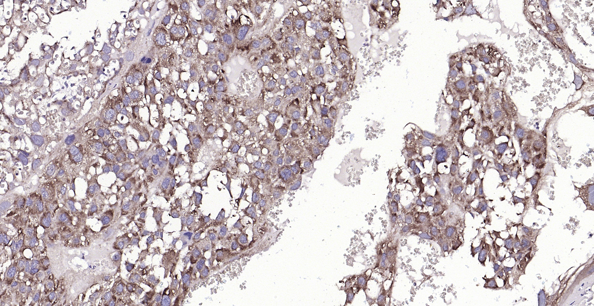
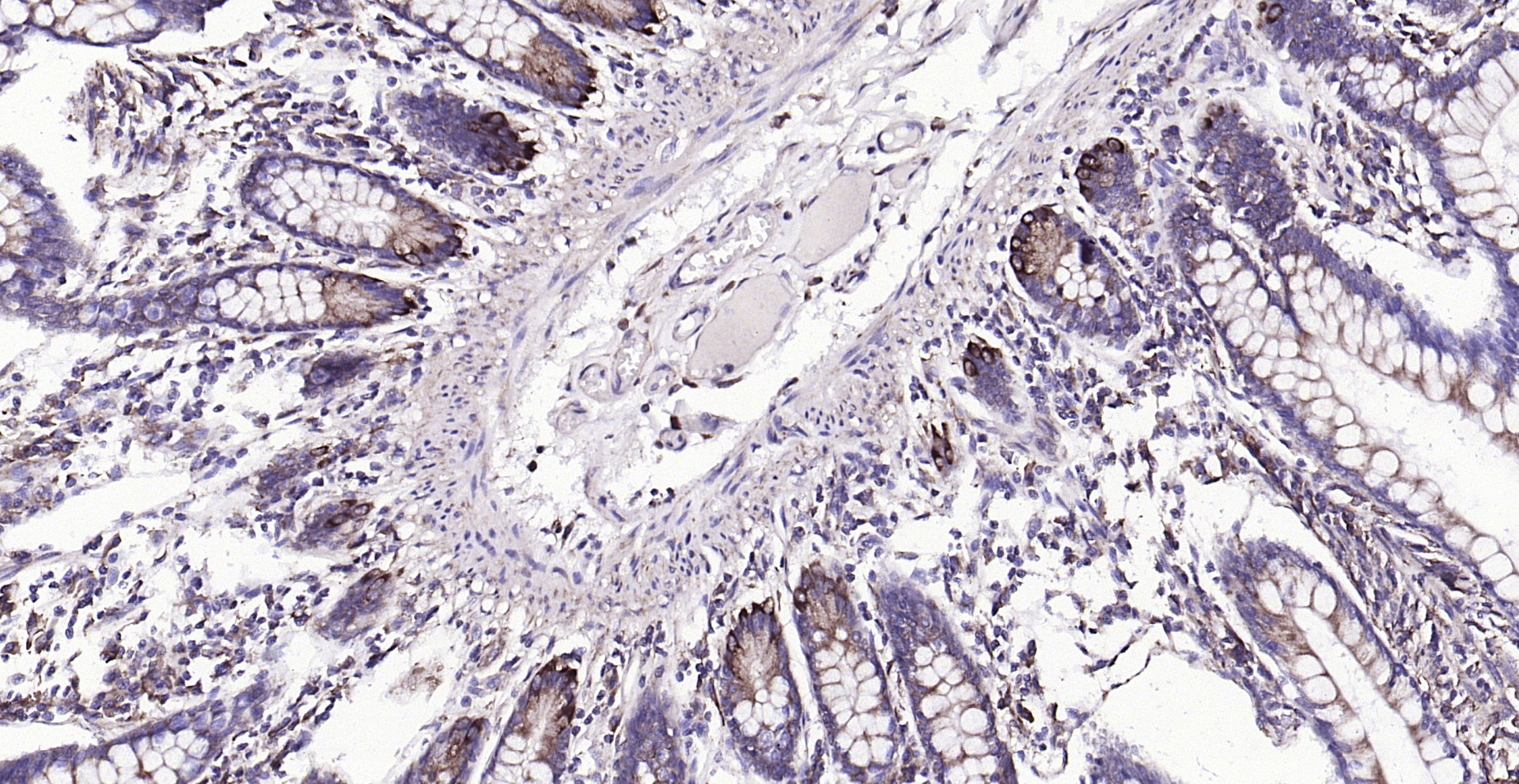
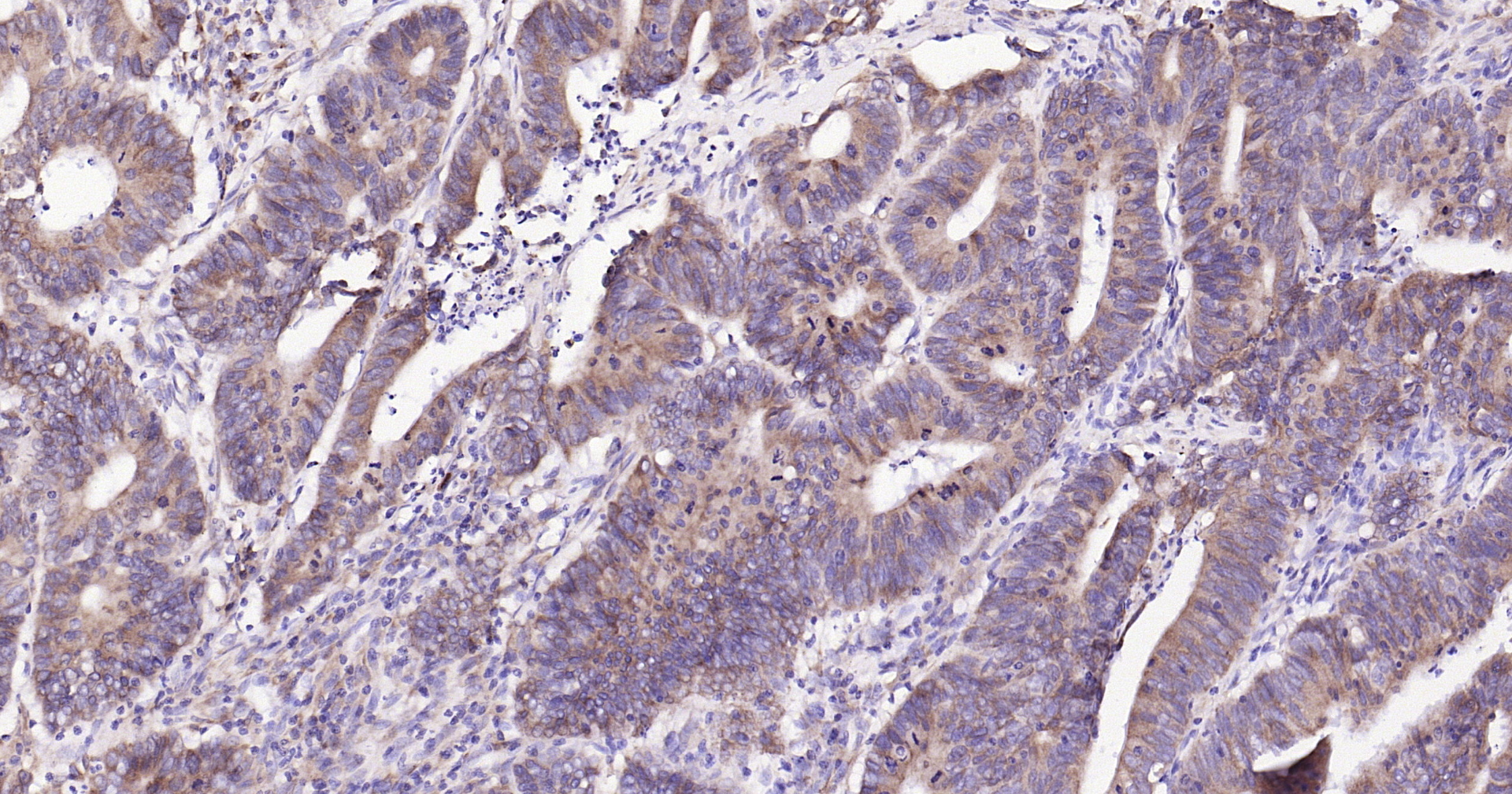
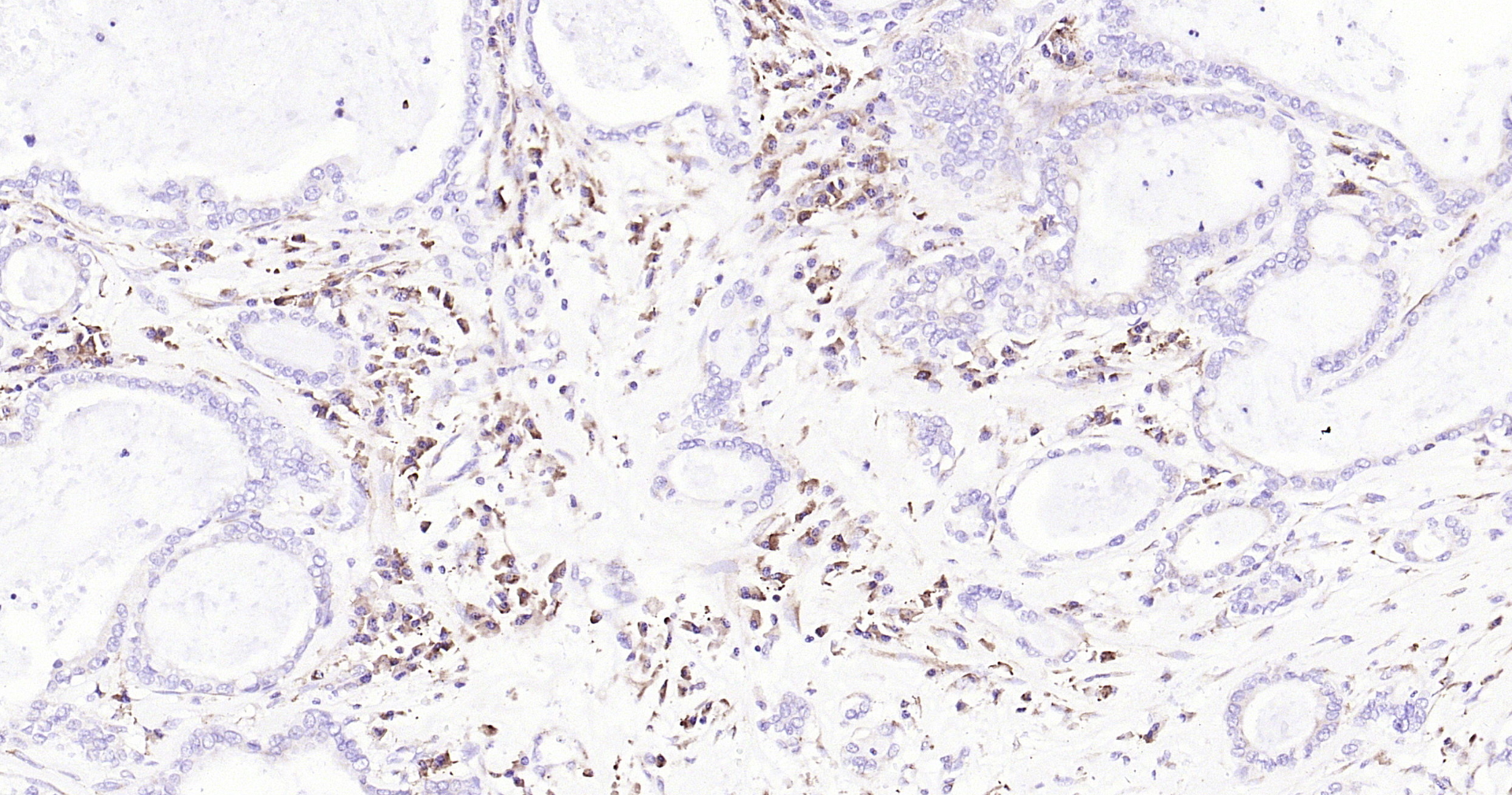
Cyclophilin B Monoclonal Antibody

Applications

  • WB
  • IHC-P
  • IHC-F
  • IF

Reactivity

  • Human
  • Mouse
  • Rat
Overview
Catalog # bsm-33228m
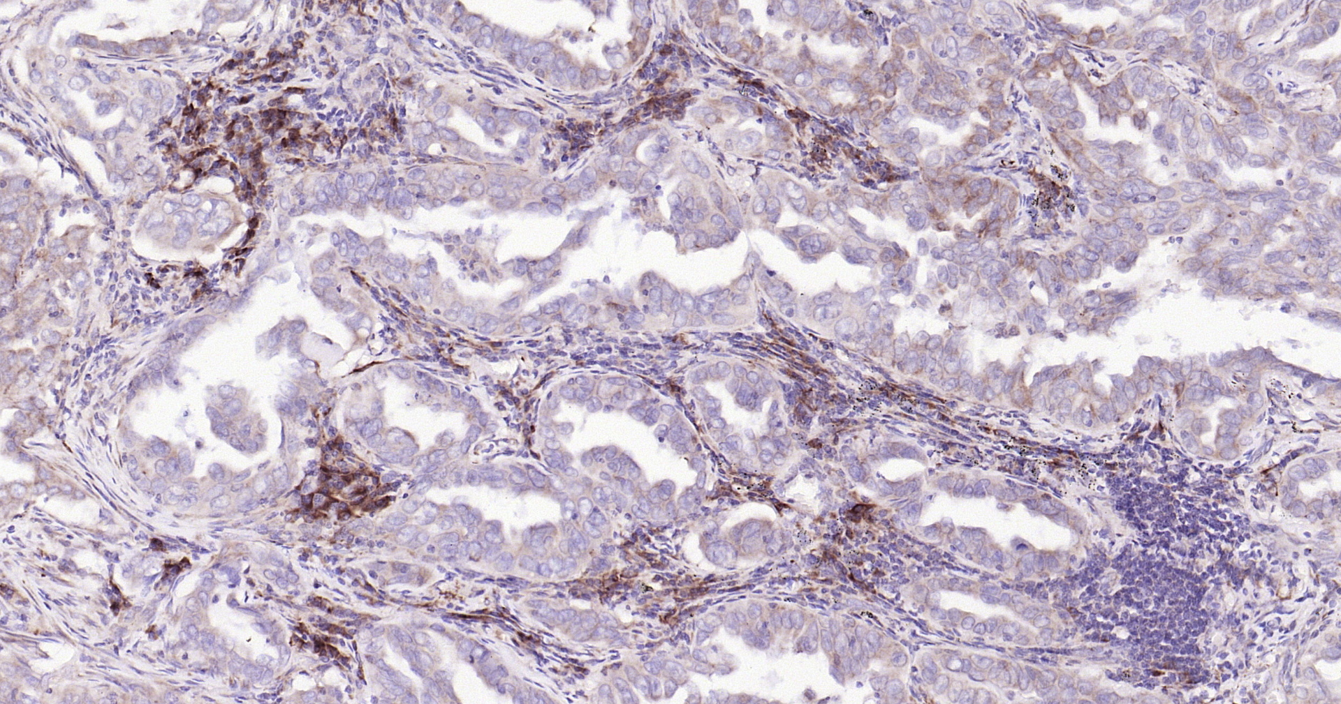
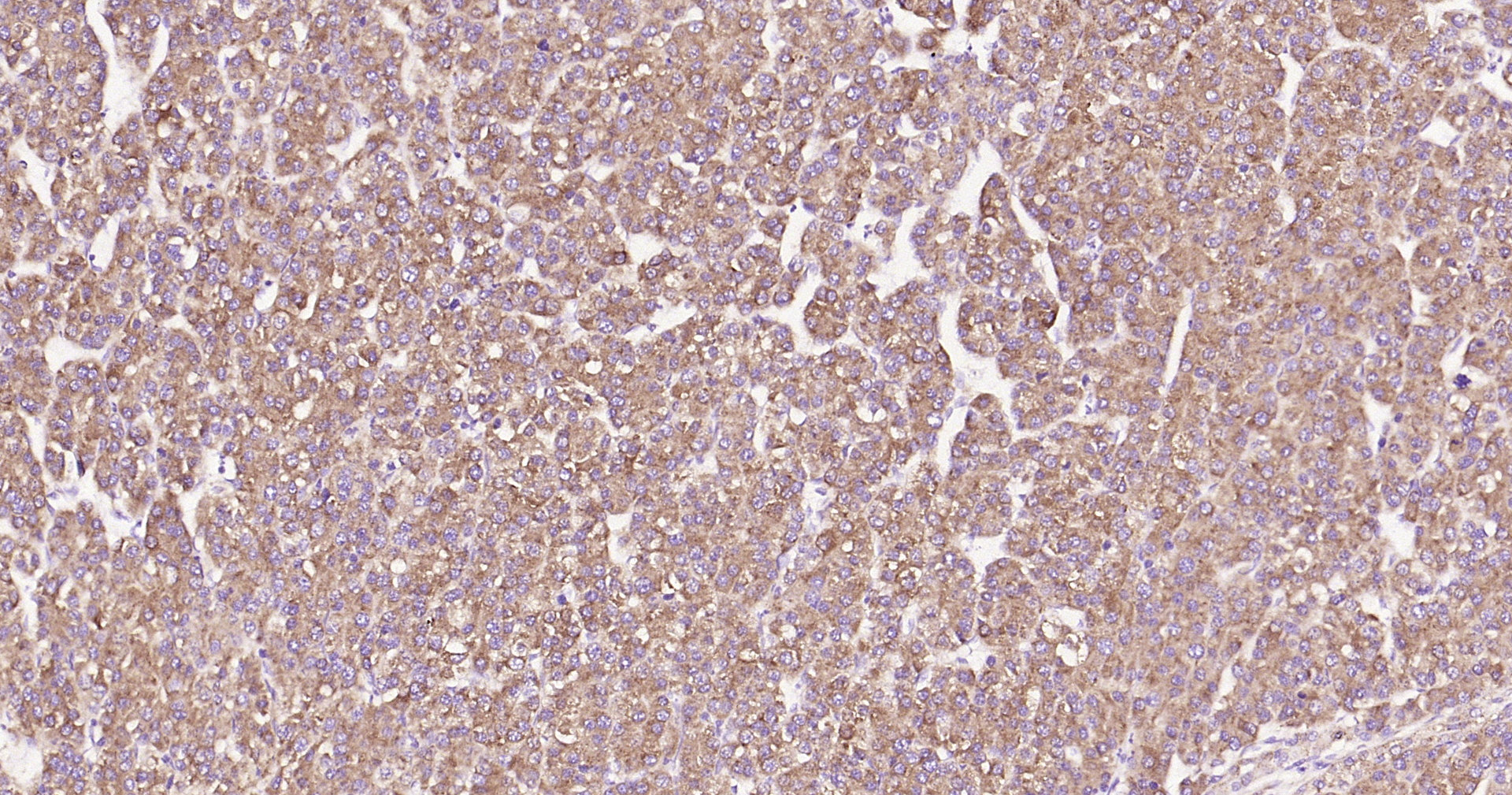
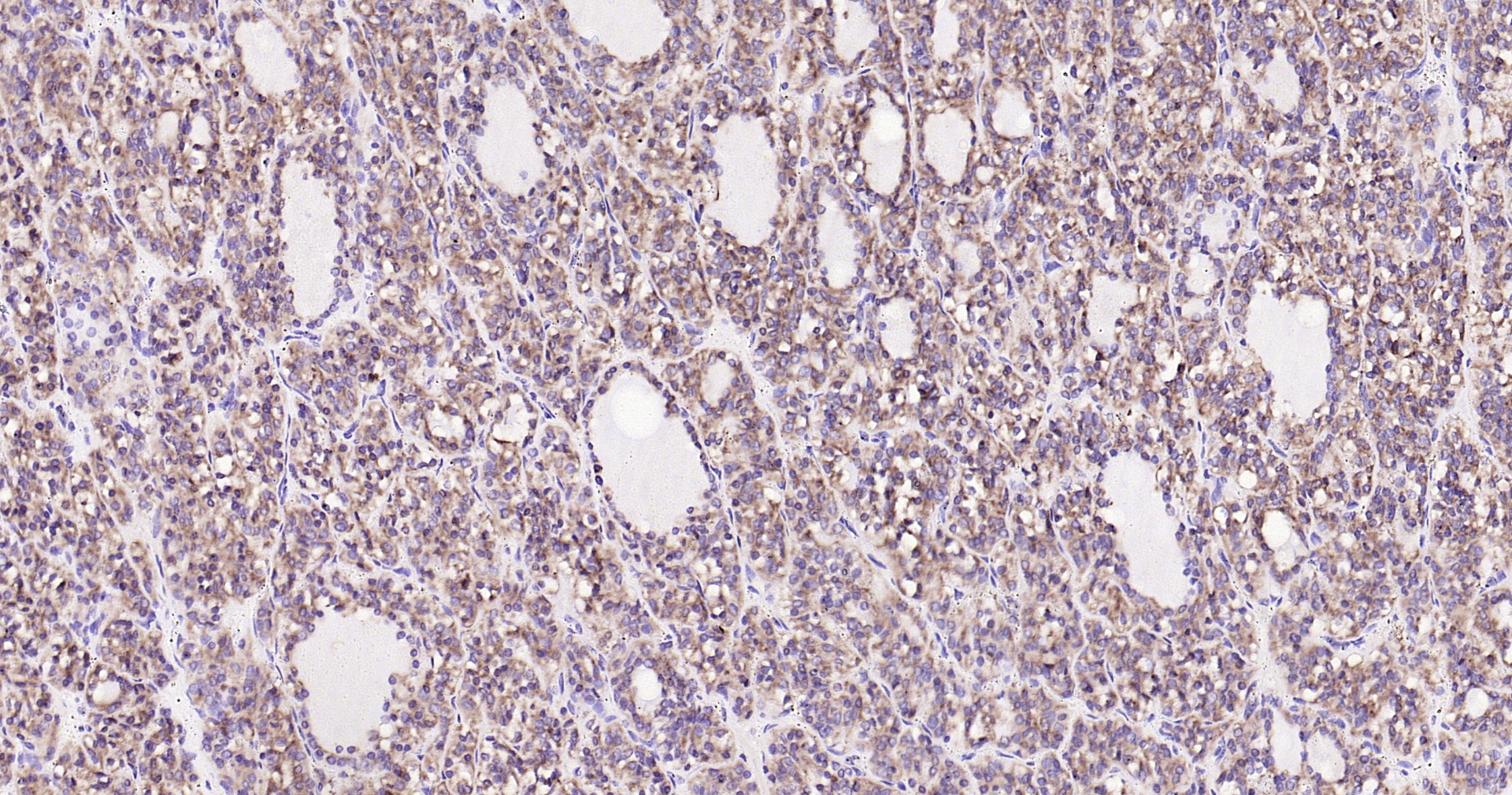
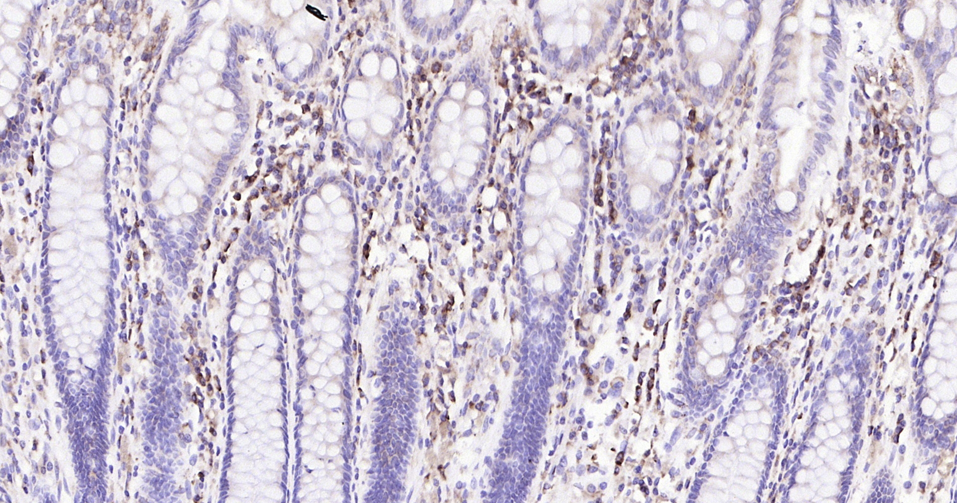
Product Name Cyclophilin B Monoclonal Antibody
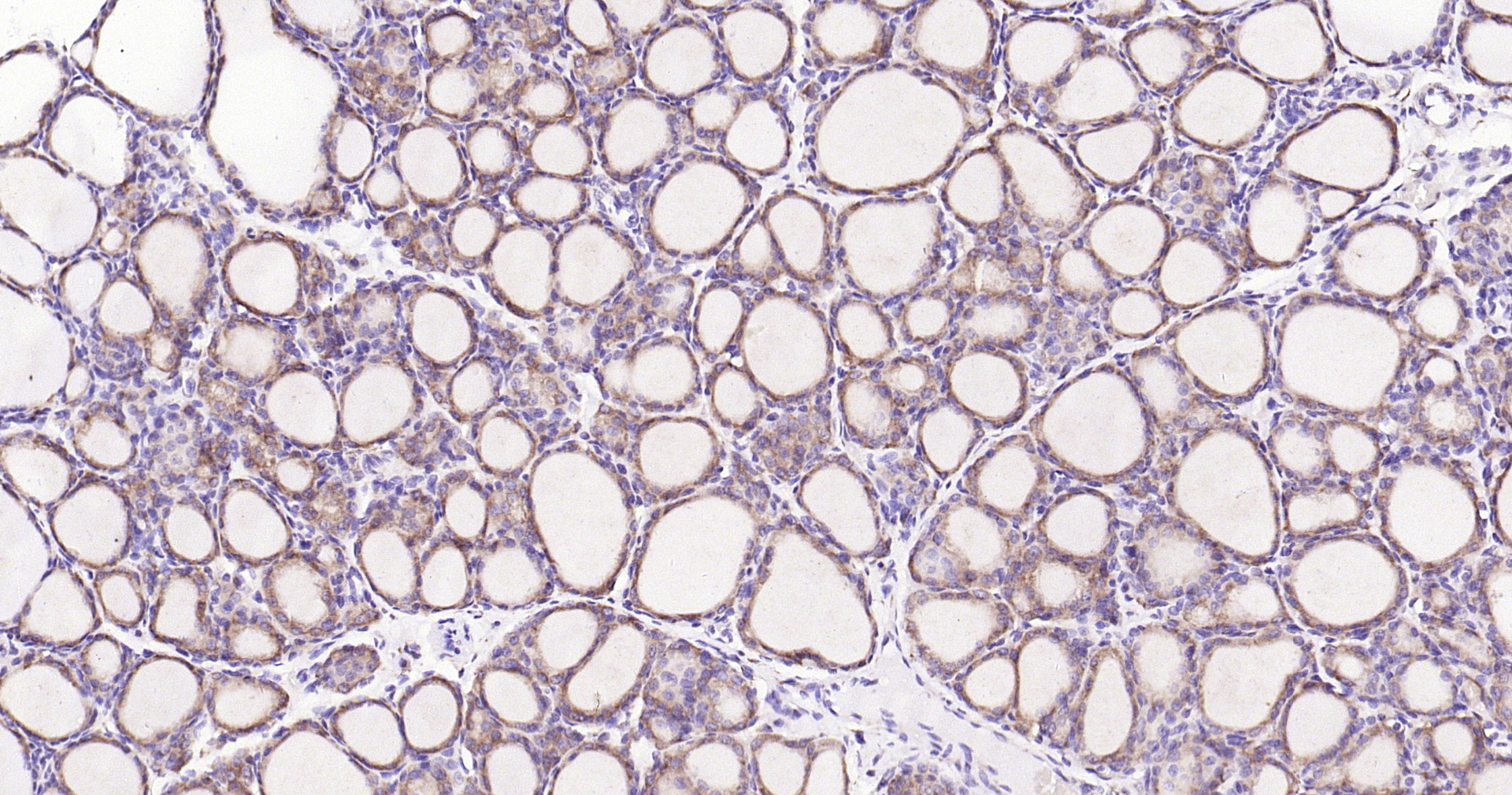
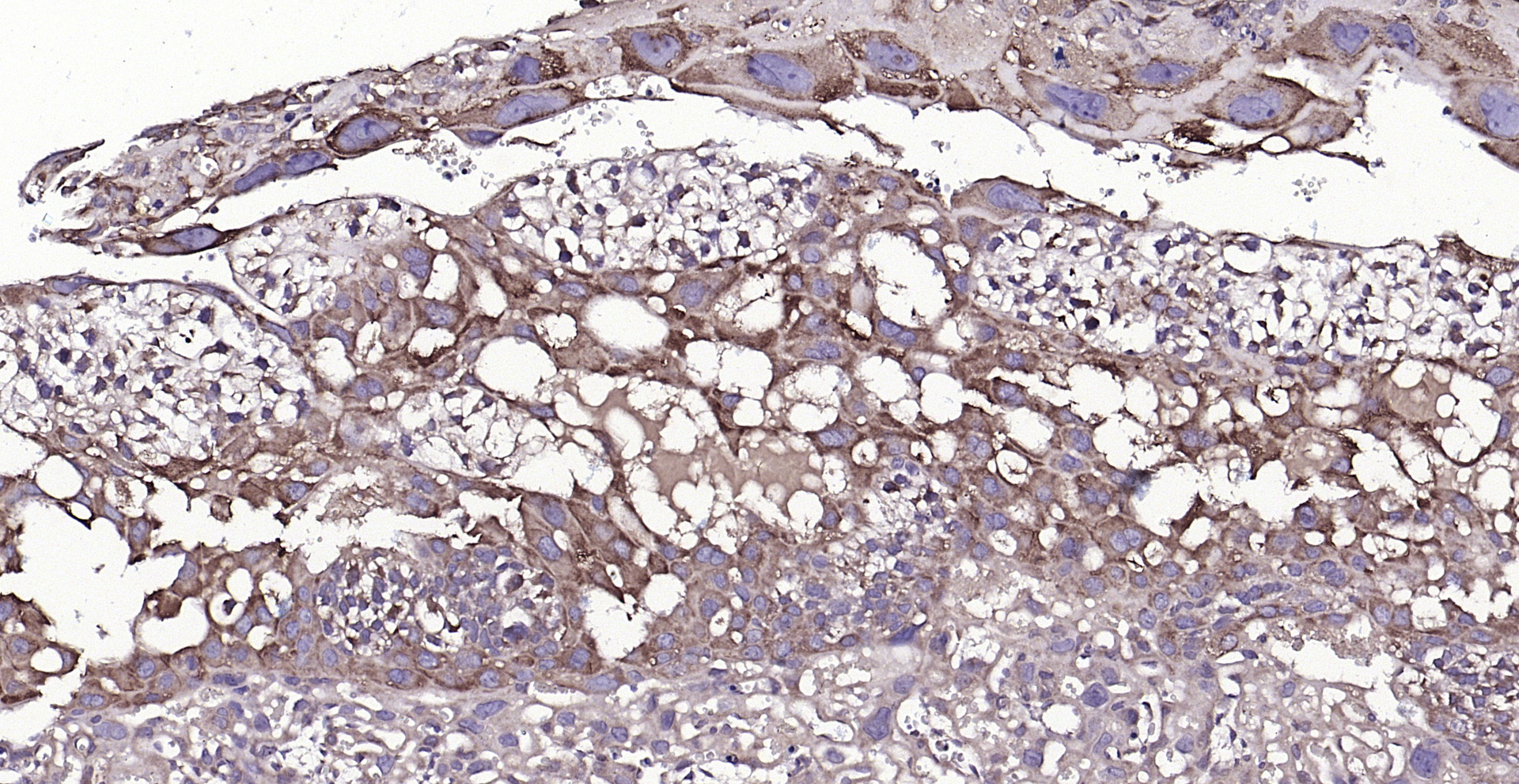
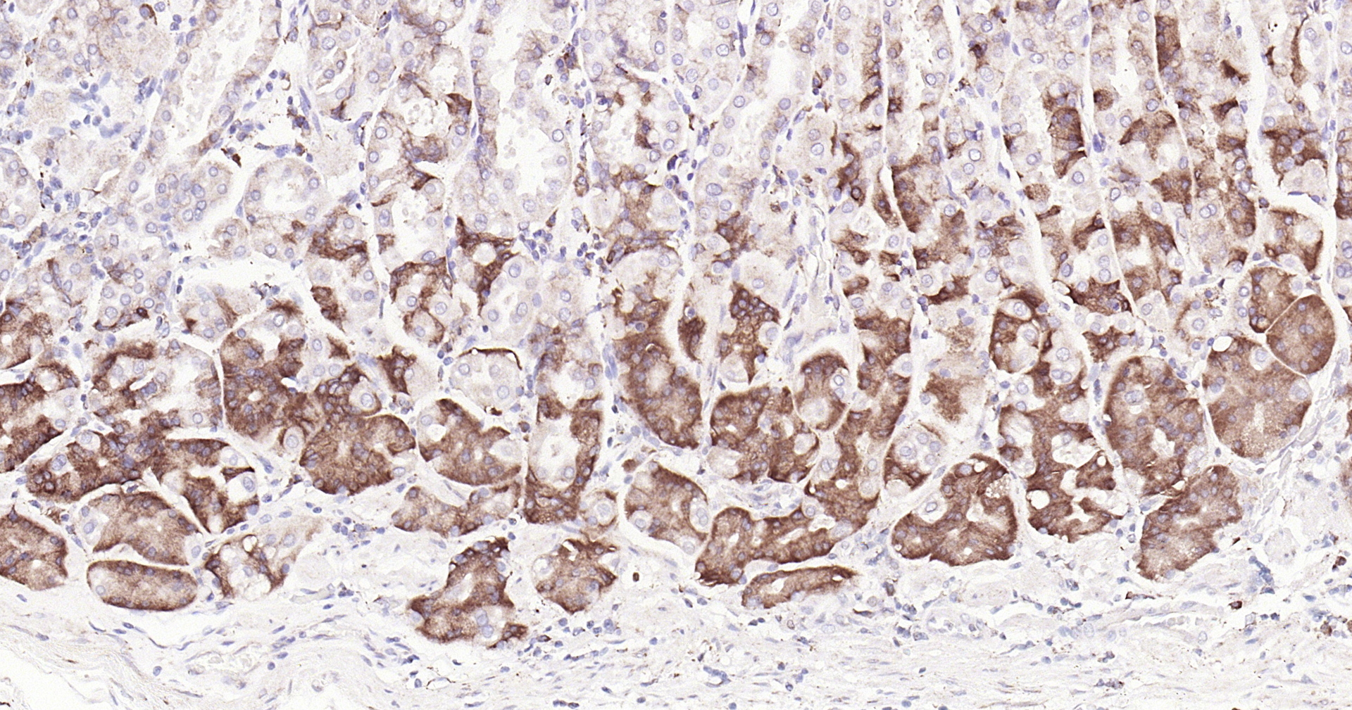
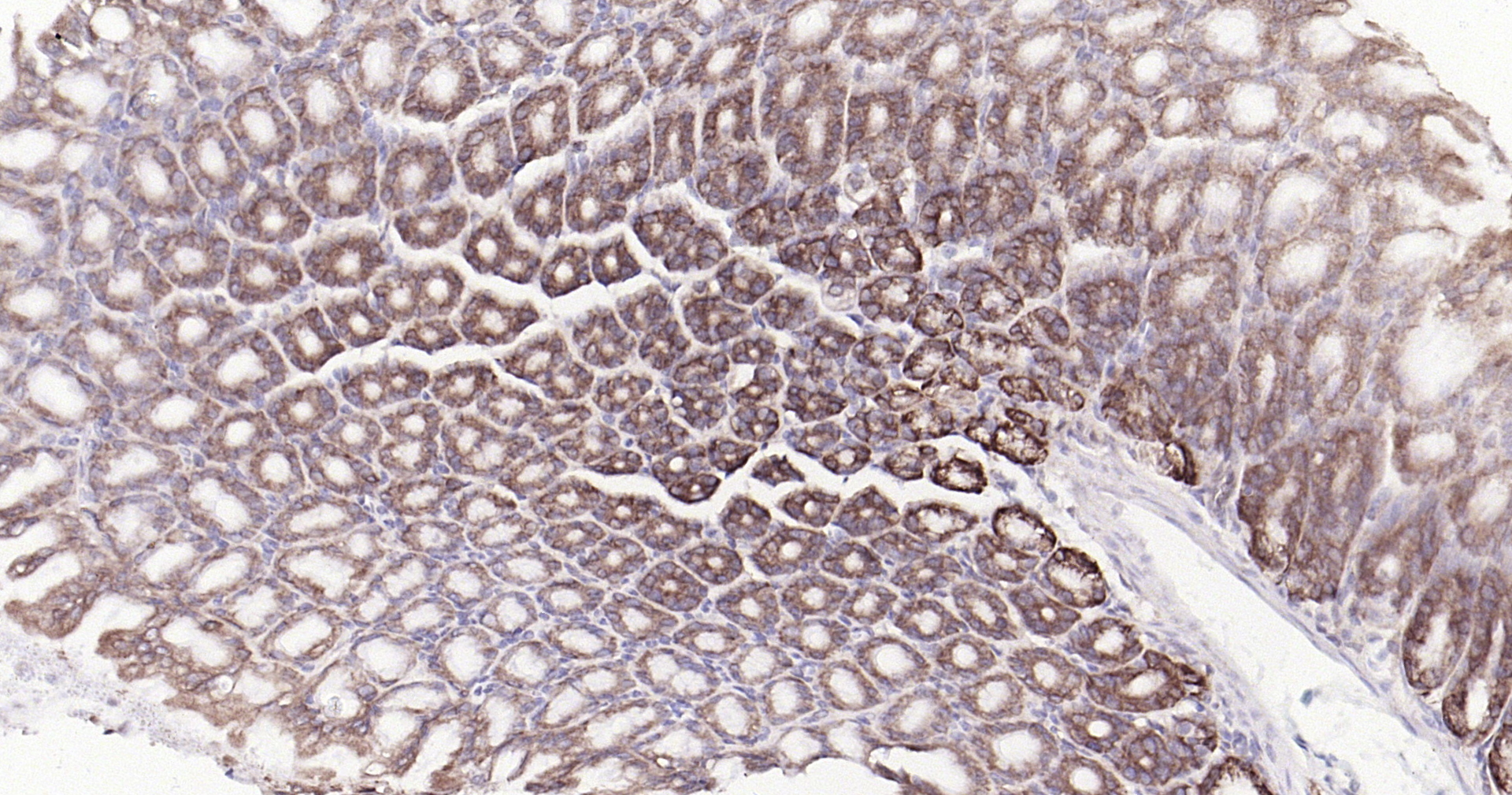
Applications WB, IHC-P, IHC-F, IF
Reactivity Human, Mouse, Rat
Specifications
Conjugation Unconjugated
Host Mouse
Source KLH conjugated synthetic peptide derived from human Cyclophilin B
Clonality Monoclonal
Clone # 4C7
Isotype IgG
Concentration 1ug/ul
Purification Purified by Protein G.
Storage Buffer 0.01M TBS(pH7.4) with 1% BSA, 0.02% Proclin300 and 50% Glycerol.
Storage Condition Shipped at 4C. Store at -20C for one year. Avoid repeated freeze/thaw cycles.
Target
Gene ID 5479
Swiss Prot P23284
Subcellular location Cytoplasm
Synonyms Cphn 2; Cphn2; CyP 20b; CYP S1; CYP-S1; CYPB; MGC14109; MGC2224; peptidyl prolyl cis trans isomerase B; Peptidyl prolyl cis trans isomerase B precursor; Peptidyl-prolyl cis-trans isomerase B precursor; Peptidylprolyl isomerase B; PPIase; PPIB; Rotamase; S cyclophilin; SCYLP; PPIB_HUMAN.
Background PPIases accelerate the folding of proteins. It catalyzes the cis-trans isomerization of proline imidic peptide bonds in oligopeptides.
Application Dilution
WB 1:300-5000
IHC-P 1:200-400
IHC-F 1:100-500
IF