Receive 30% off all Monoclonal IHC antibodies with code "MONO-IHC-30"! Offer valid for US customers and available internationally through distributors.

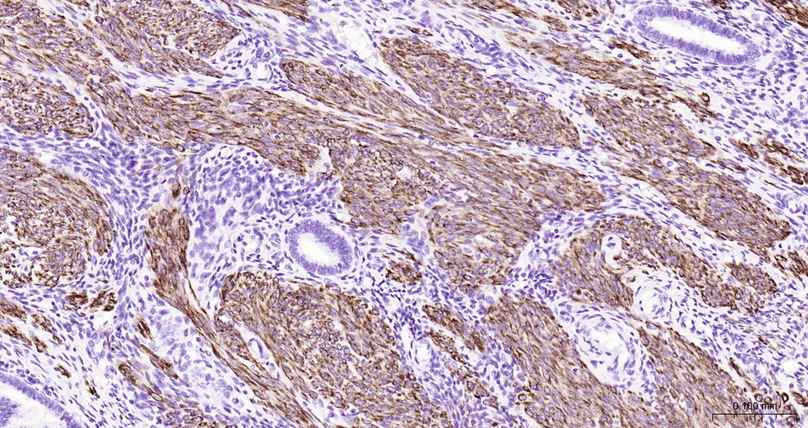
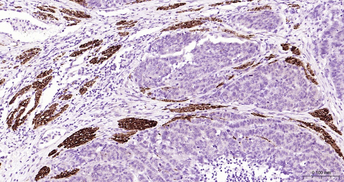
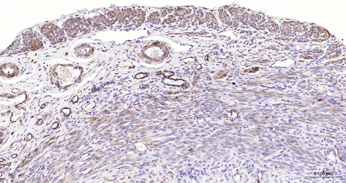
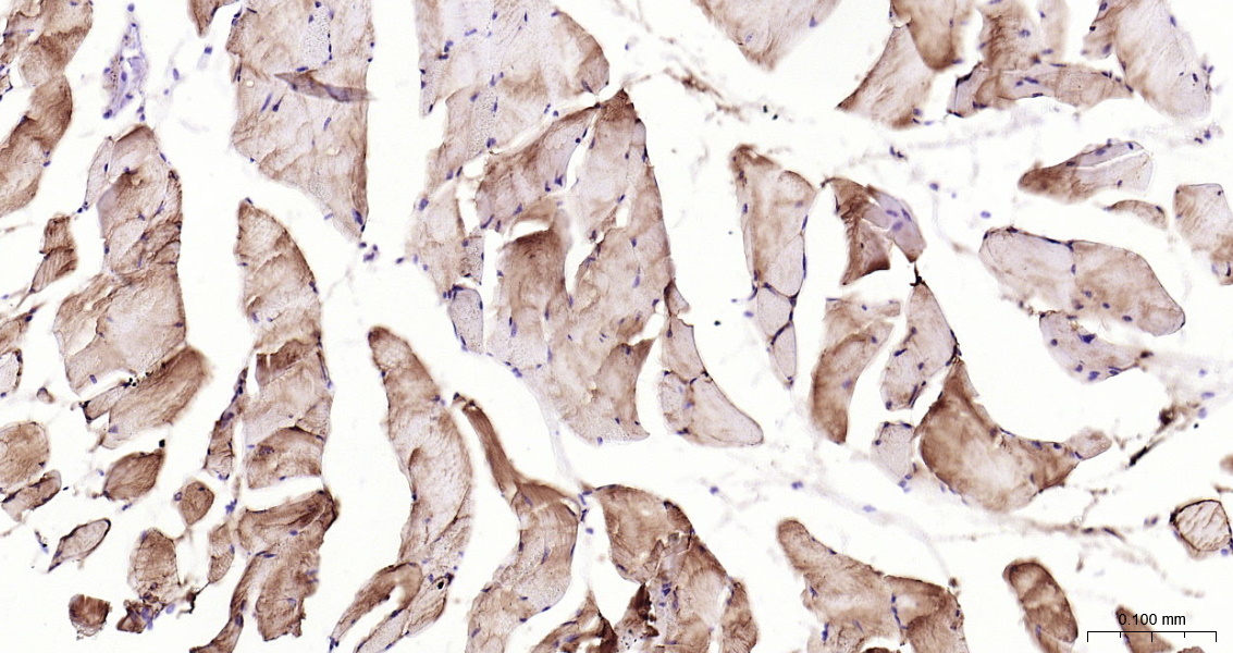
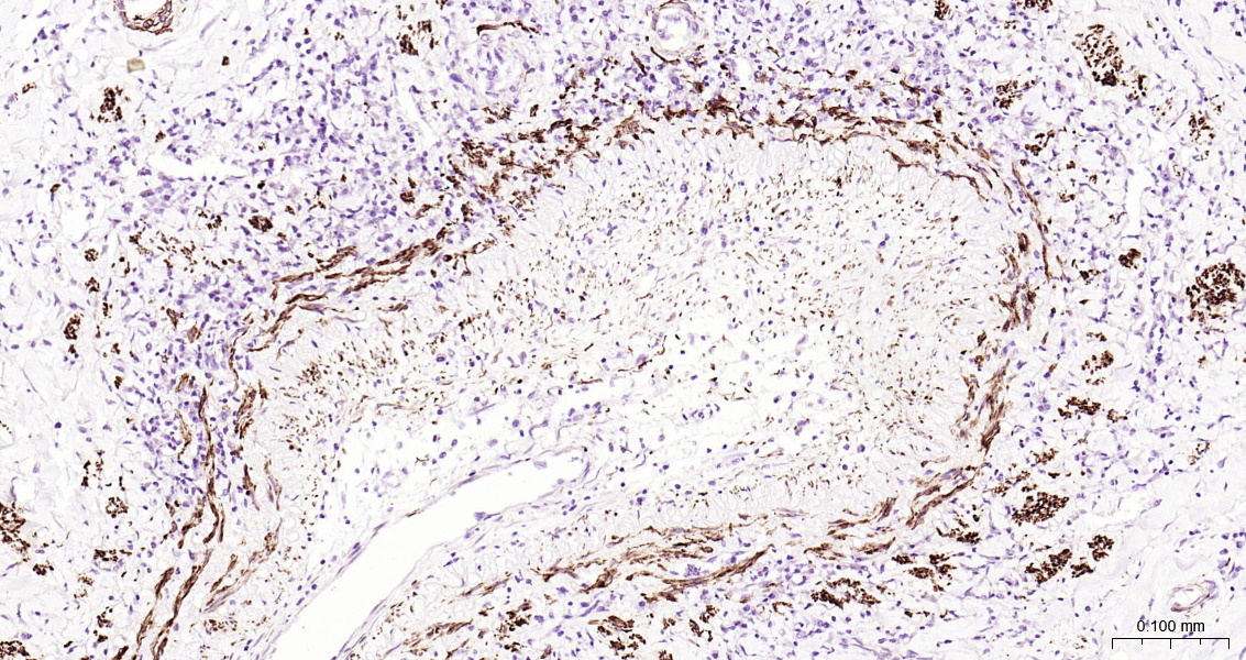
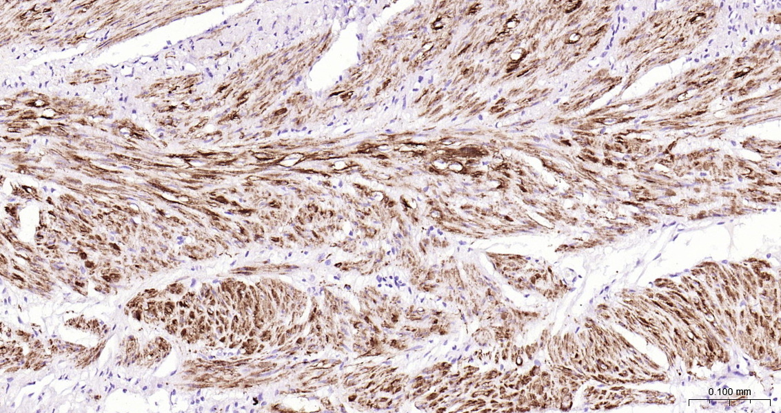
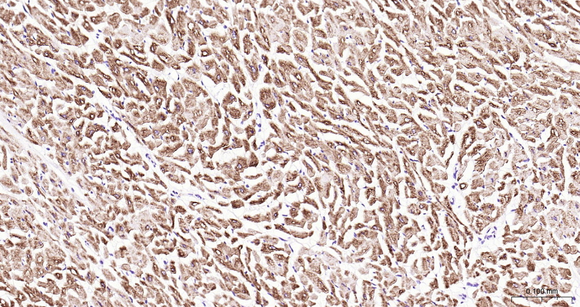
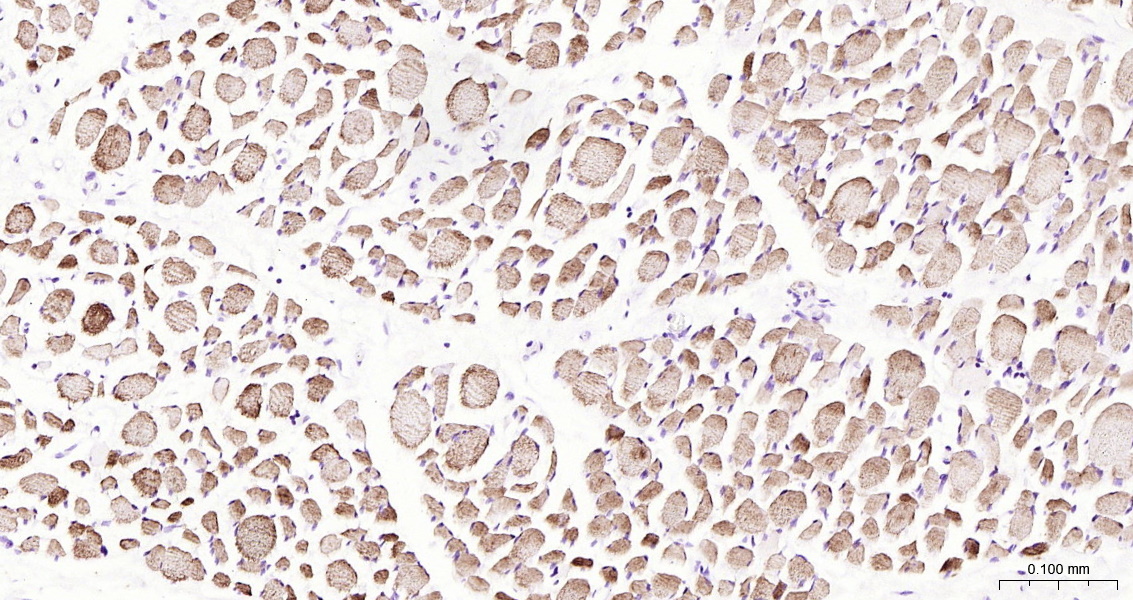
Desmin Monoclonal Antibody

Applications

  • WB
  • IHC-P
  • IHC-F
  • IF

Reactivity

  • Human
  • Mouse
  • Rat
Overview
Catalog # bsm-33229m
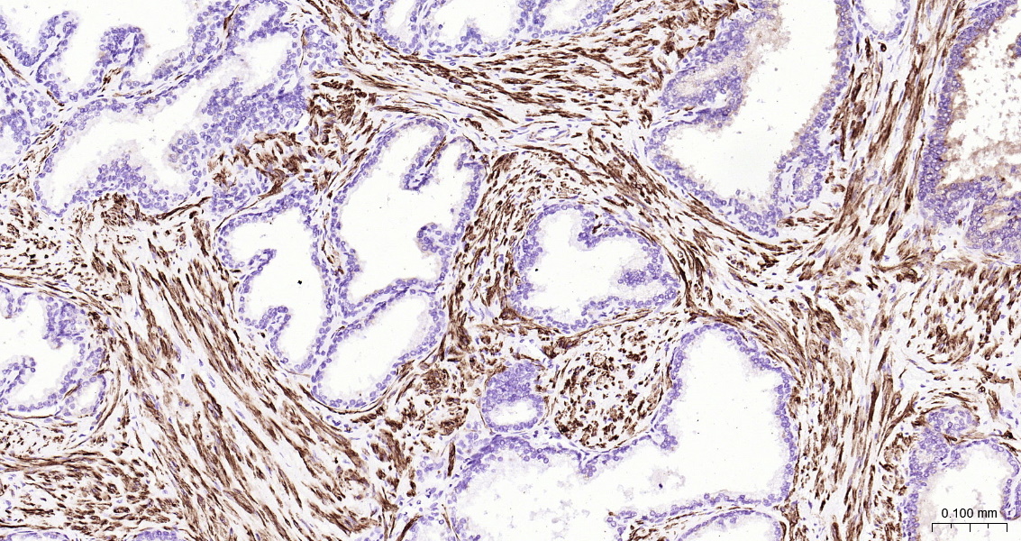
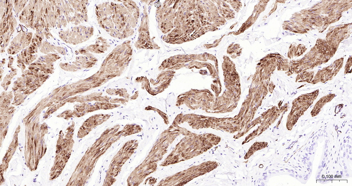
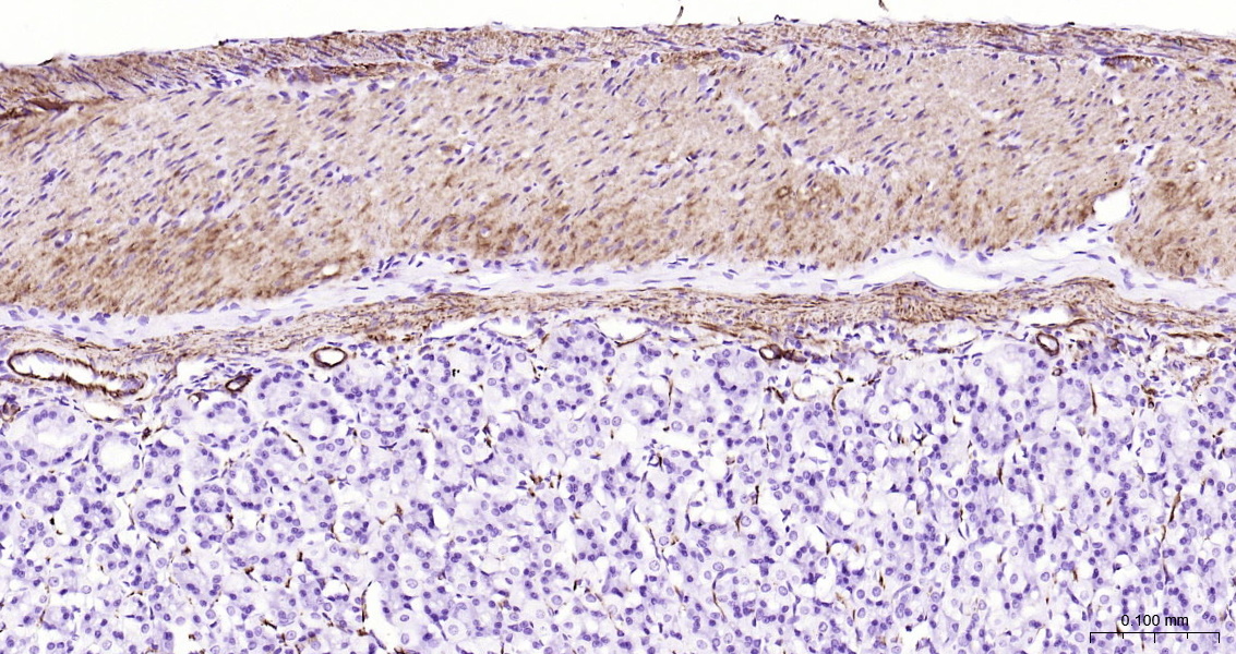
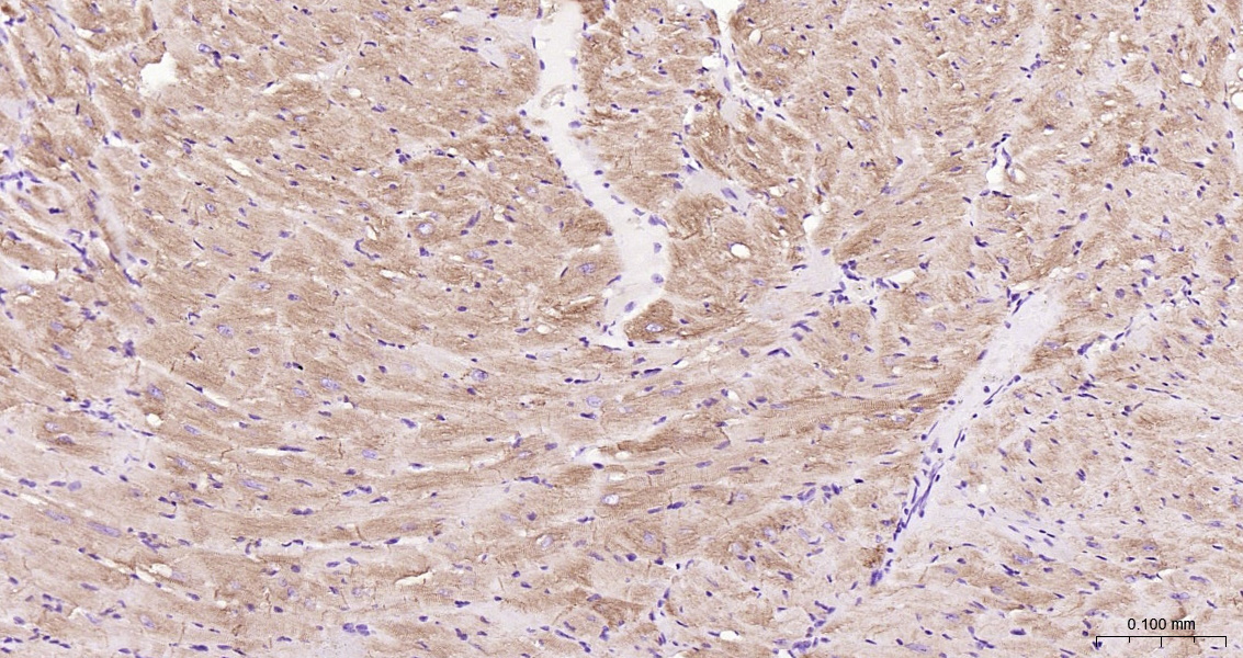
Product Name Desmin Monoclonal Antibody
Applications WB, IHC-P, IHC-F, IF
Reactivity Human, Mouse, Rat
Specifications
Conjugation Unconjugated
Host Mouse
Source KLH conjugated synthetic peptide derived from human Desmin
Clonality Monoclonal
Clone # 3B12
Isotype IgG
Concentration 1mg/ml
Purification Purified by Protein G.
Storage Buffer 0.01M TBS (pH7.4) with 1% BSA, 0.02% Proclin300 and 50% Glycerol.
Storage Condition Shipped at 4C. Store at -20C for one year. Avoid repeated freeze/thaw cycles.
Target
Gene ID 1674
Swiss Prot P17661
Subcellular location Cytoplasm
Synonyms DESM_HUMAN; DES;
Application Dilution
WB 1:300-5000
IHC-P 1:200-400
IHC-F 1:100-500
IF