Receive 30% off all Monoclonal IHC antibodies with code "MONO-IHC-30"! Offer valid for US customers and available internationally through distributors.

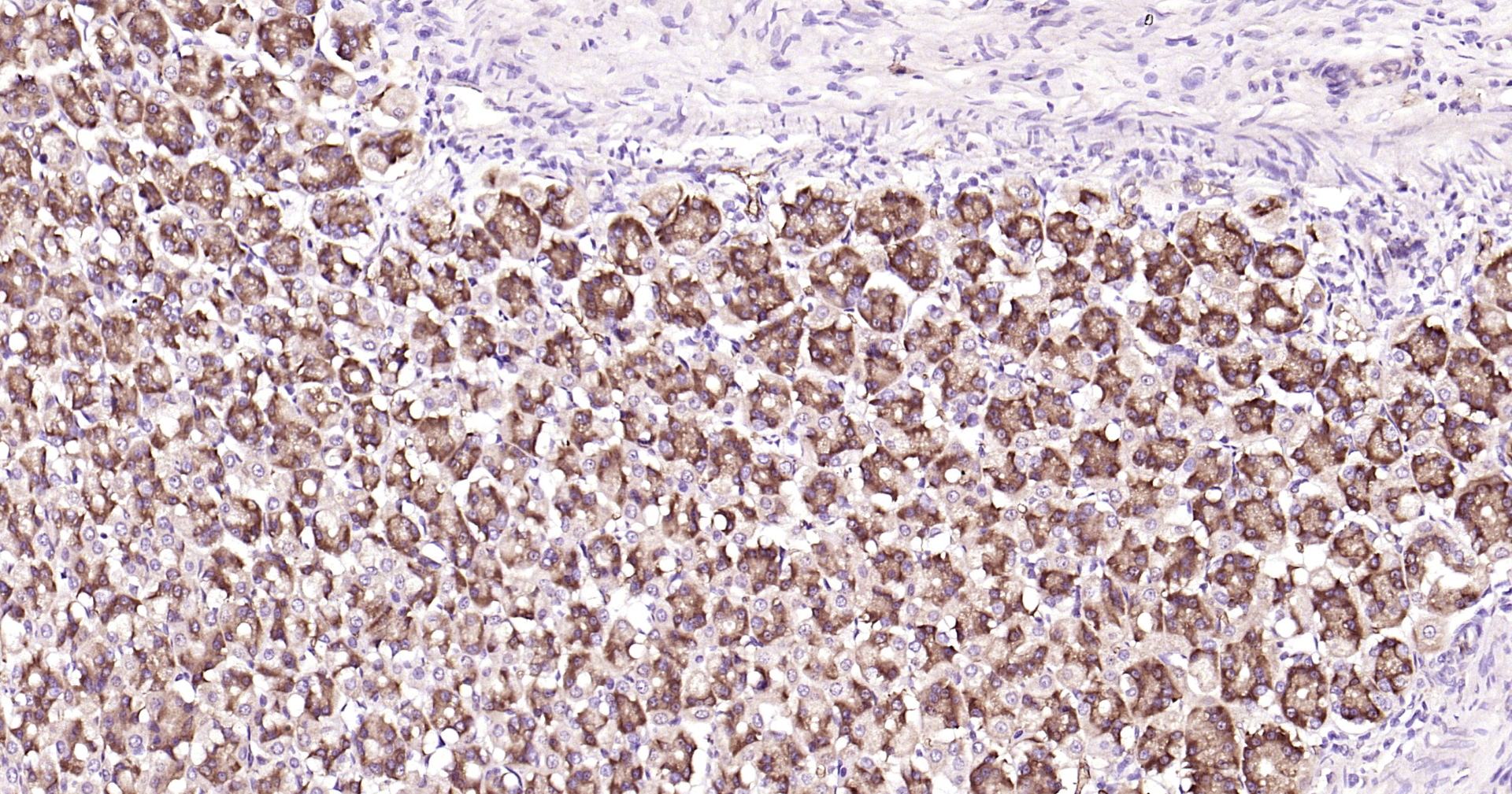
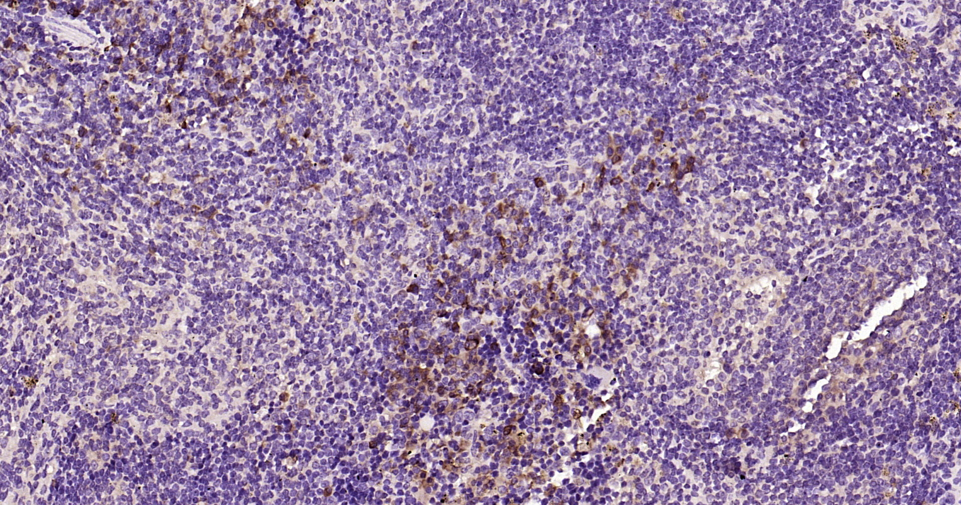
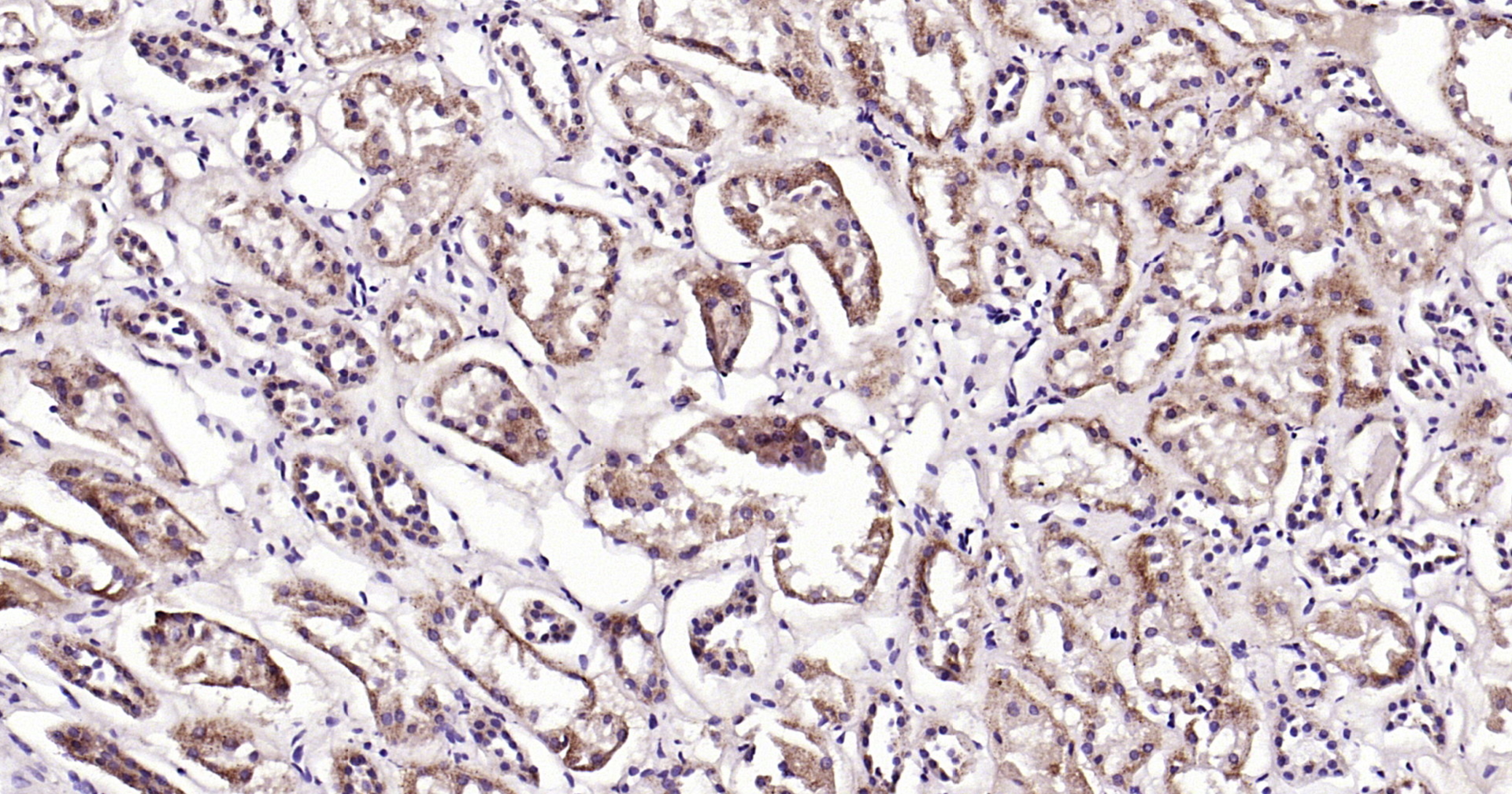
Beclin 1 Monoclonal Antibody

Applications

  • WB
  • IHC-P
  • IF(IHC-P)

Reactivity

  • Human
  • Mouse
  • Rat
Overview
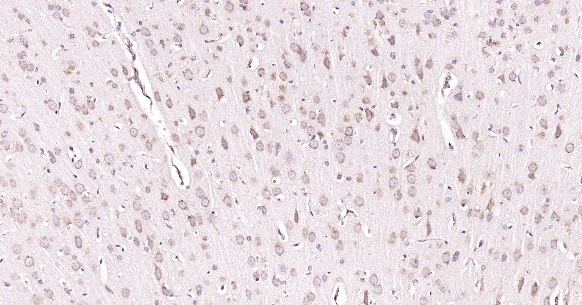
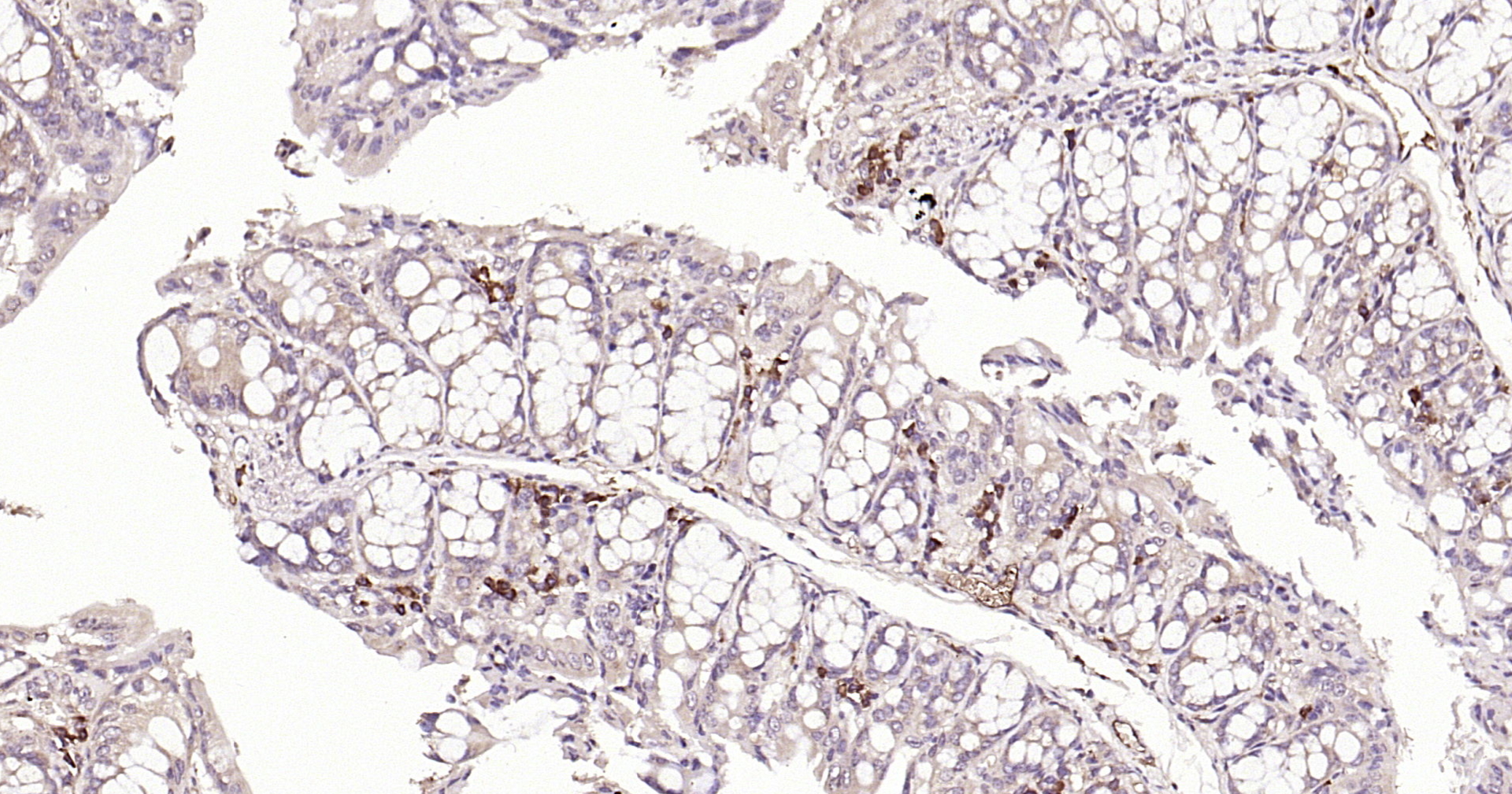
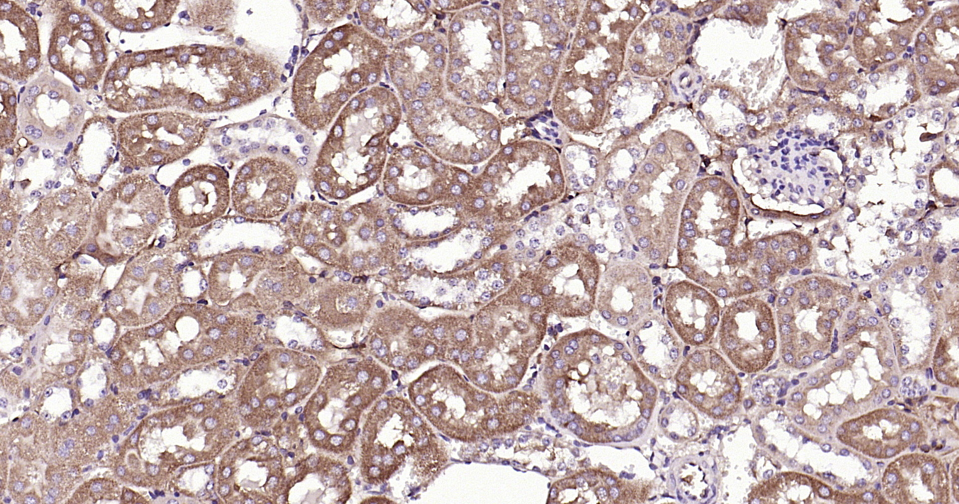
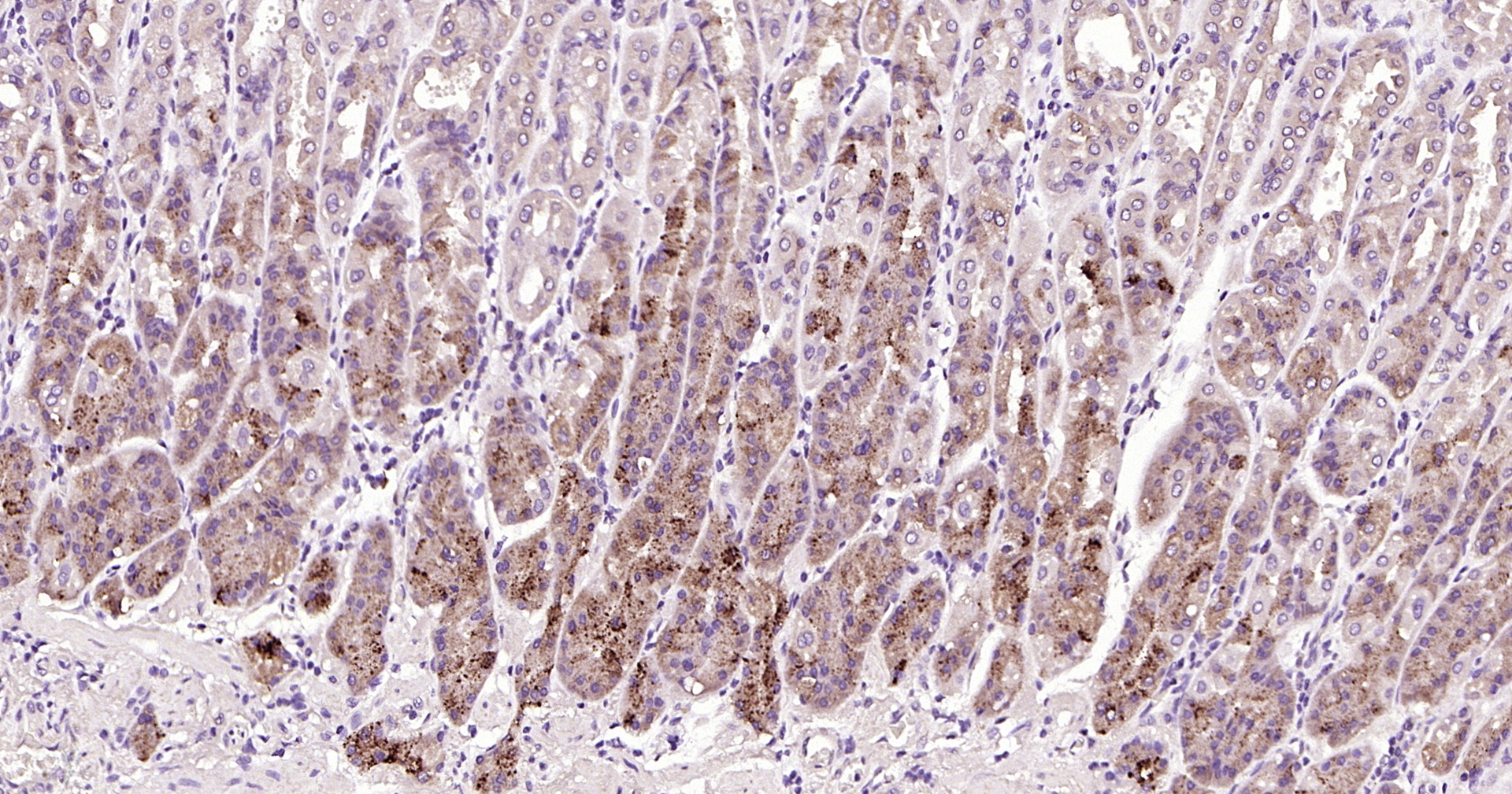
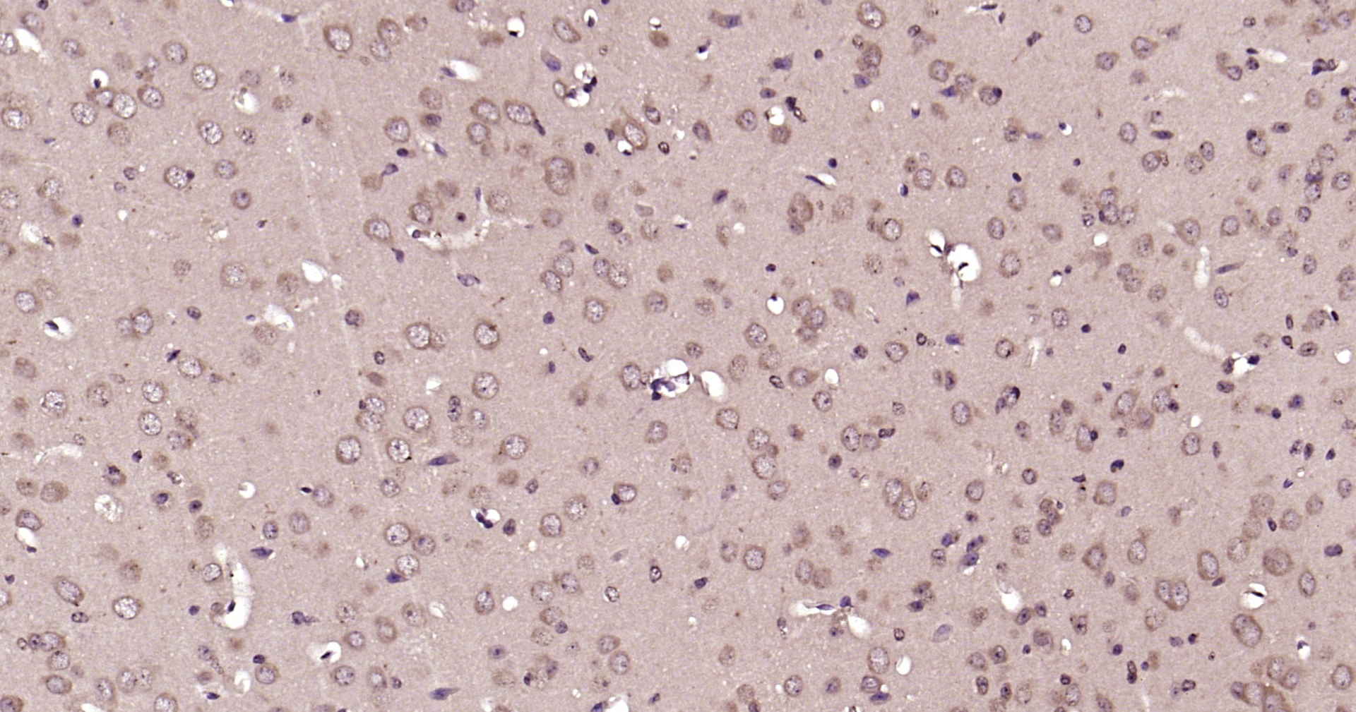
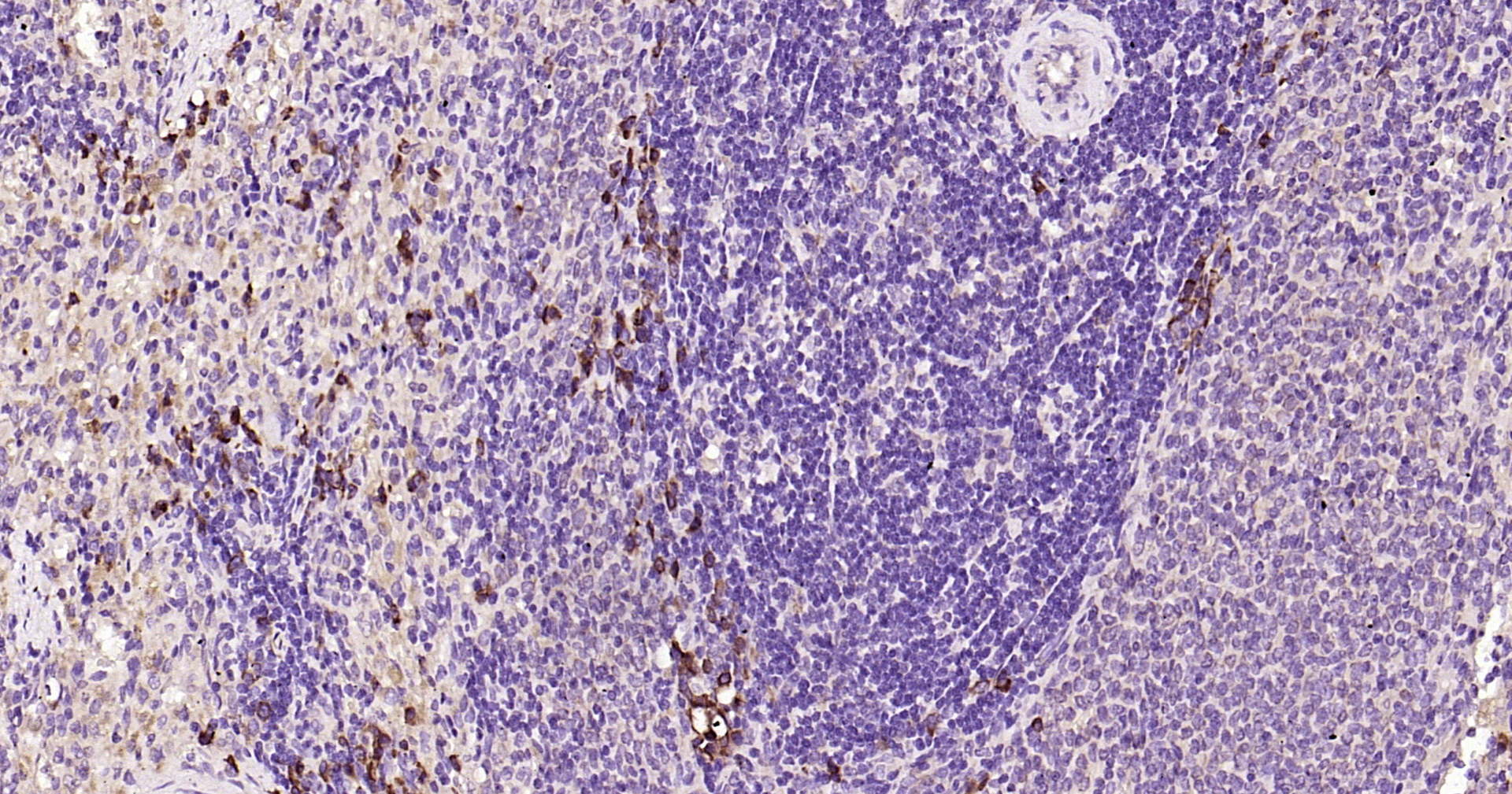
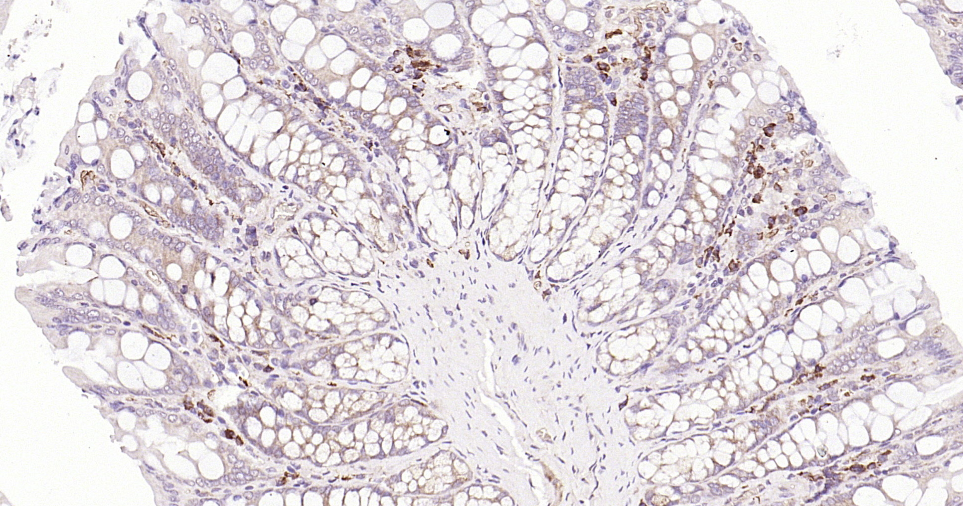
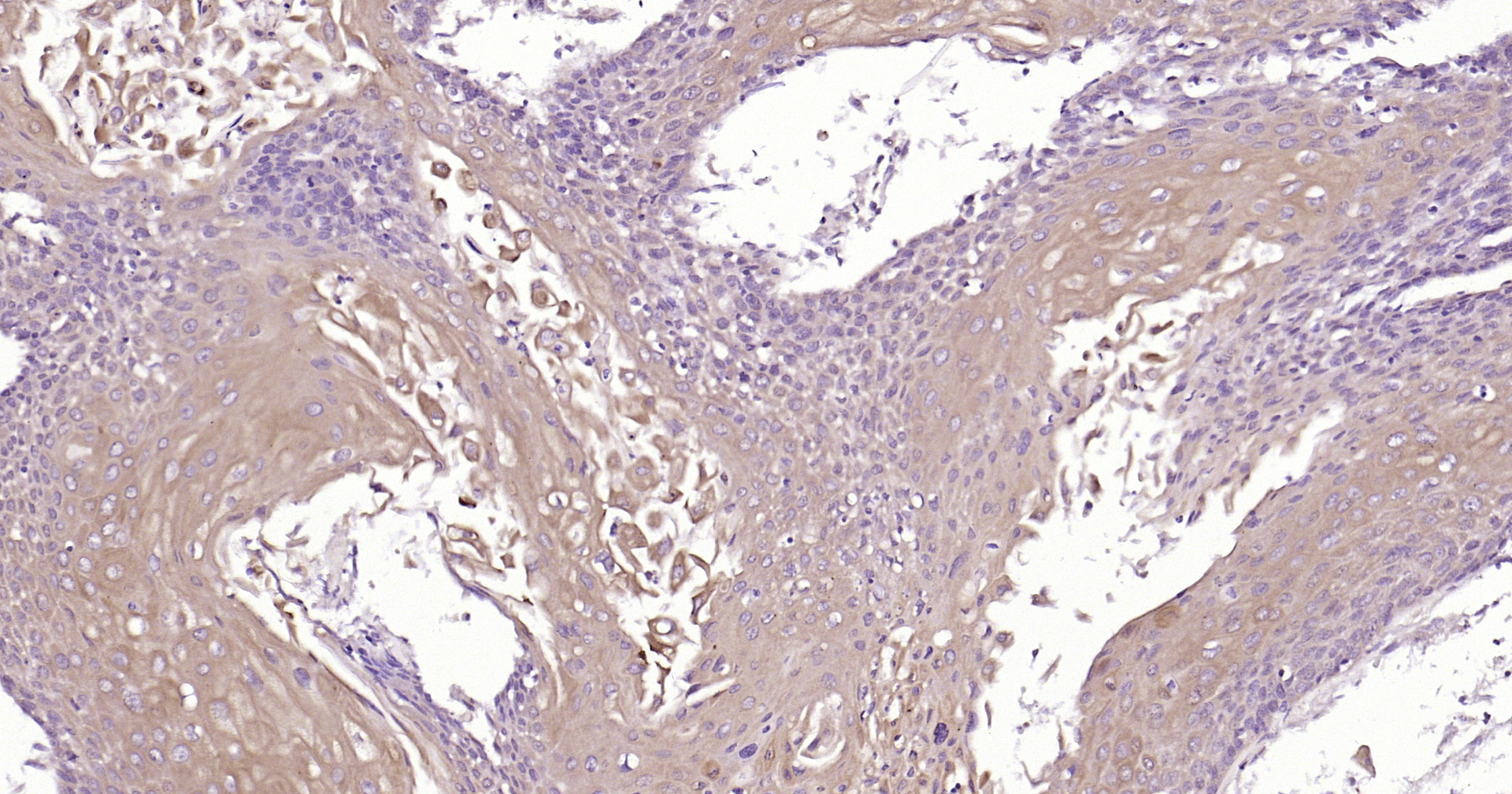
Catalog # bsm-33323m
Product Name Beclin 1 Monoclonal Antibody
Applications WB, IHC-P, IF(IHC-P)
Reactivity Human, Mouse, Rat
Specifications
Conjugation Unconjugated
Host Mouse
Source KLH conjugated synthetic peptide derived from human Beclin 1
Clonality Monoclonal
Clone # 7B12
Isotype IgG
Concentration 1ug/ul
Purification Purified by Protein G.
Storage Buffer 0.01M TBS(pH7.4) with 1% BSA, 0.02% Proclin300 and 50% Glycerol.
Storage Condition Shipped at 4C. Store at -20C for one year. Avoid repeated freeze/thaw cycles.
Target
Gene ID 8678
Swiss Prot Q14457
Synonyms Beclin-1; BECN1; Coiled-coil myosin-like BCL2-interacting protein; Protein GT197
Background Plays a central role in autophagy (PubMed:23184933). Acts as core subunit of the PI3K complex that mediates formation of phosphatidylinositol 3-phosphate; different complex forms are believed to play a role in multiple membrane trafficking pathways: PI3KC3-C1 is involved in initiation of autophagosomes and PI3KC3-C2 in maturation of autophagosomes and endocytosis. Involved in regulation of degradative endocytic trafficking and required for the abcission step in cytokinesis, probably in the context of PI3KC3-C2 (PubMed:20643123, PubMed:20208530). Essential for the formation of PI3KC3-C2 but not PI3KC3-C1 PI3K complex forms. Involved in endocytosis (PubMed:25275521). Protects against infection by a neurovirulent strain of Sindbis virus (PubMed:9765397). May play a role in antiviral host defense. Beclin-1-C 35 kDa localized to mitochondria can promote apoptosis; it induces the mitochondrial translocation of BAX and the release of proapoptotic factors.
Application Dilution
WB 1:300-5000
IHC-P 1:200-400
IF(IHC-P) 1:50-200