| Overview |
| bsm-33345m |
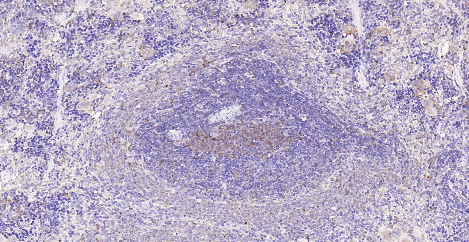
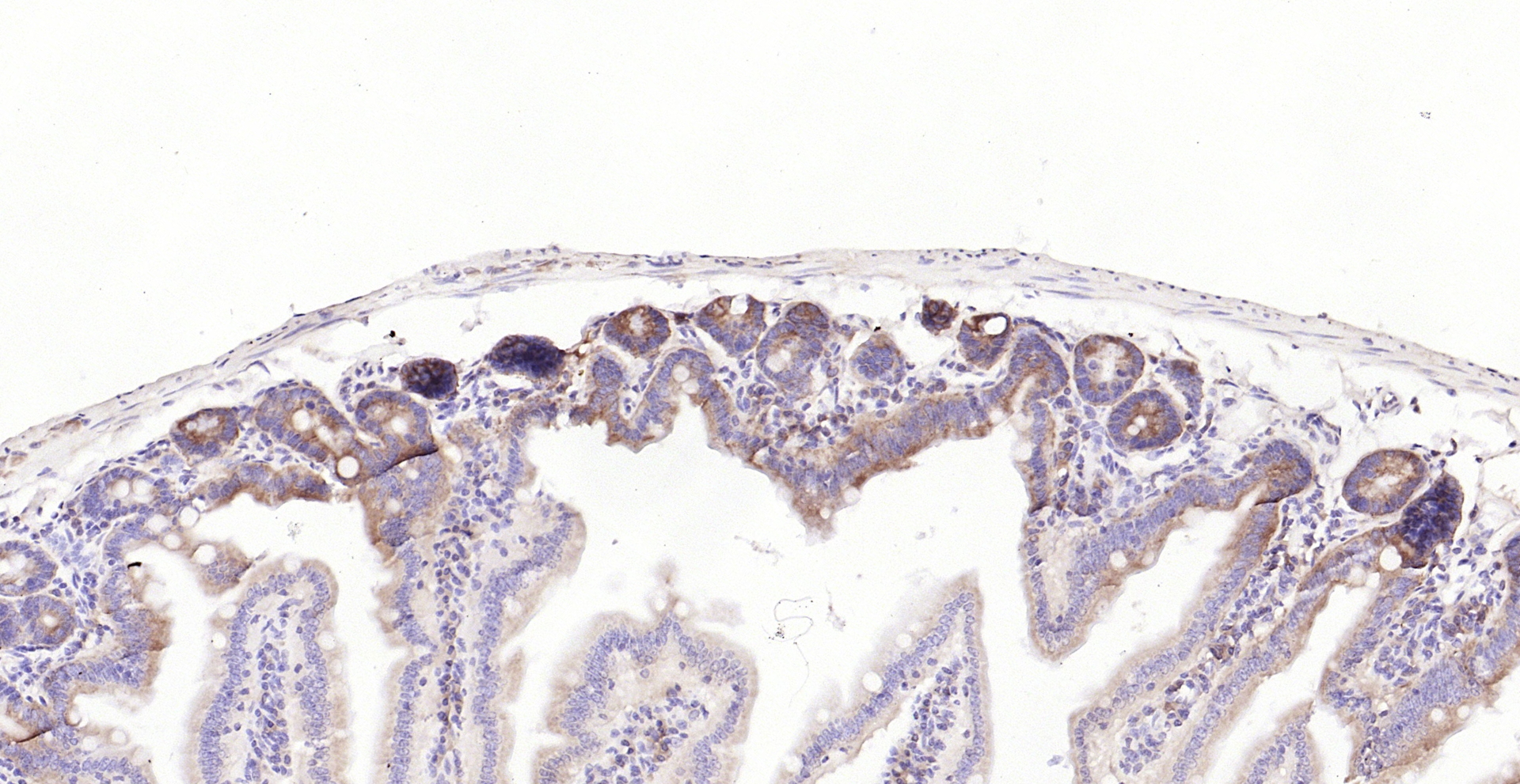
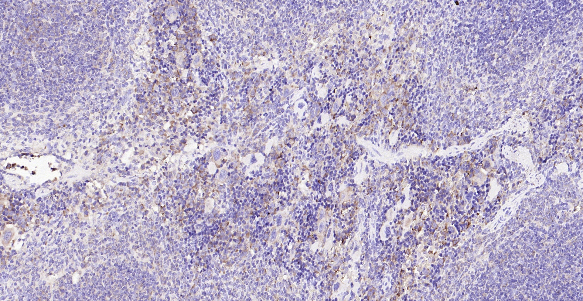
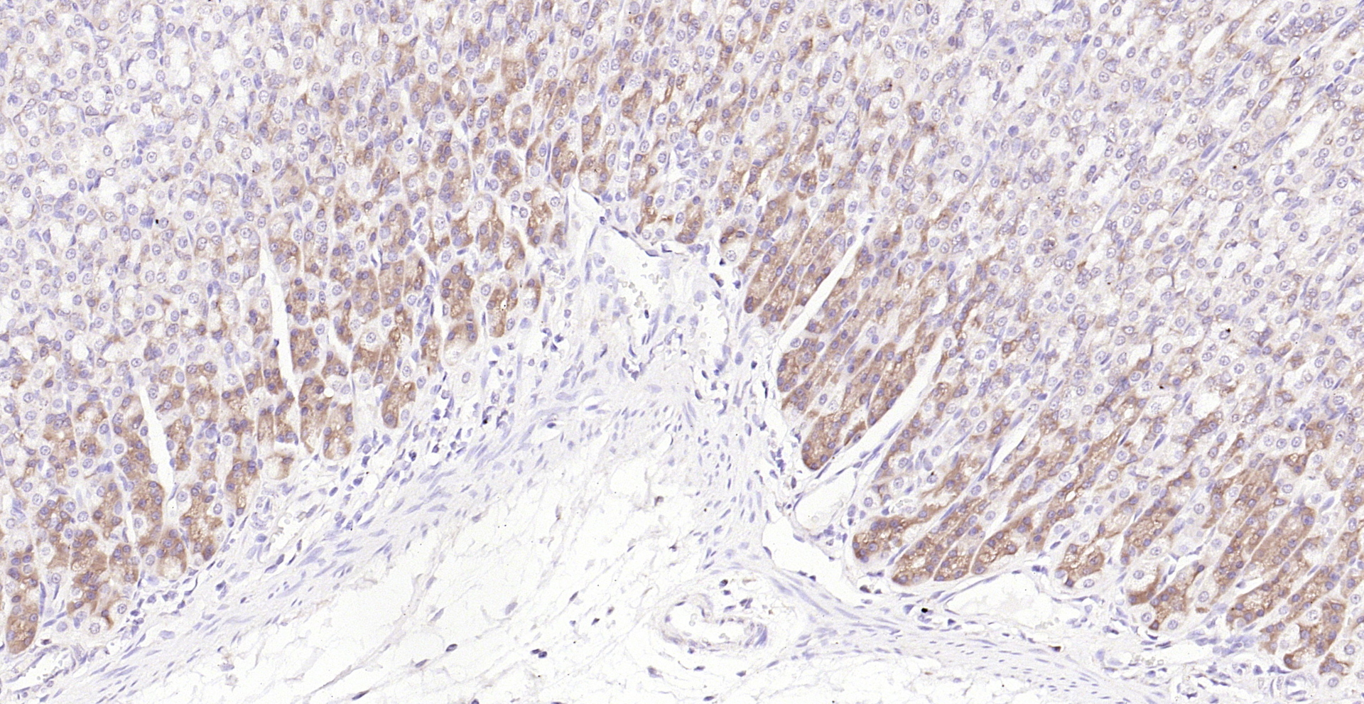
| TGF beta 1 Monoclonal Antibody |
| IHC-P, IHC-F, IF(ICC), IF |
| Mouse, Rat |
| Human |
| Specifications |
| Unconjugated |
| Mouse |
| KLH conjugated synthetic peptide derived from human TGF beta 1 |
| Monoclonal |
| 6B9 |
| IgG1 |
| 1ug/ul |
| Purified by Protein A. |
| 0.01M TBS(pH7.4) with 1% BSA, 0.02% Proclin300 and 50% Glycerol. |
| Store at -20°C for 12 months. |
| Target |
| 7040 |
| P01137 |
| CED; DPD1; TGF beta 1; TGF beta; TGF beta 1 protein; TGF-beta 1 protein; TGF-beta-1; TGF-beta-5; TGF-beta1; TGFB; Tgfb-1; tgfb1; TGFB1_HUMAN; TGFbeta; TGFbeta1; Transforming Growth Factor b1; Transforming Growth Factor beta 1; Transforming growth factor beta 1a; transforming growth factor beta-1; transforming growth factor, beta 1. |
| This gene encodes a member of the transforming growth factor beta (TGFB) family of cytokines, which are multifunctional peptides that regulate proliferation, differentiation, adhesion, migration, and other functions in many cell types. Many cells have TGFB receptors, and the protein positively and negatively regulates many other growth factors. The secreted protein is cleaved into a latency-associated peptide (LAP) and a mature TGFB1 peptide, and is found in either a latent form composed of a TGFB1 homodimer, a LAP homodimer, and a latent TGFB1-binding protein, or in an active form composed of a TGFB1 homodimer. The mature peptide may also form composed of a TGFB1 homodimer. The mature peptide may also form composed of a TGFB1 homodimer. The mature peptide may also form composed of a TGFB1 homodimer. The mature peptide may also form composed of a TGFB1 homodimer. The mature peptide may also form heterodimers with other TGFB family members. This gene is frequently upregulated in tumor cells, and mutations in this gene result in Camurati-Engelmann disease. |
| Application Dilution |
| IHC-P |
1:200-400 |
| IHC-F |
1:100-500 |
| IF(ICC) |
1:50-200 |
| IF |
|