RECEIVE 25% OFF PUBLISHED ANTIBODIES WITH CODE "PUB25"! Offer valid for US customers and available internationally through distributors.

HP1 alpha Monoclonal Antibody

Applications

  • WB
  • IHC-P
  • IHC-F
  • IF

Reactivity

  • Human
  • Mouse
  • Rat
Overview
Catalog # bsm-33377m
Product Name HP1 alpha Monoclonal Antibody
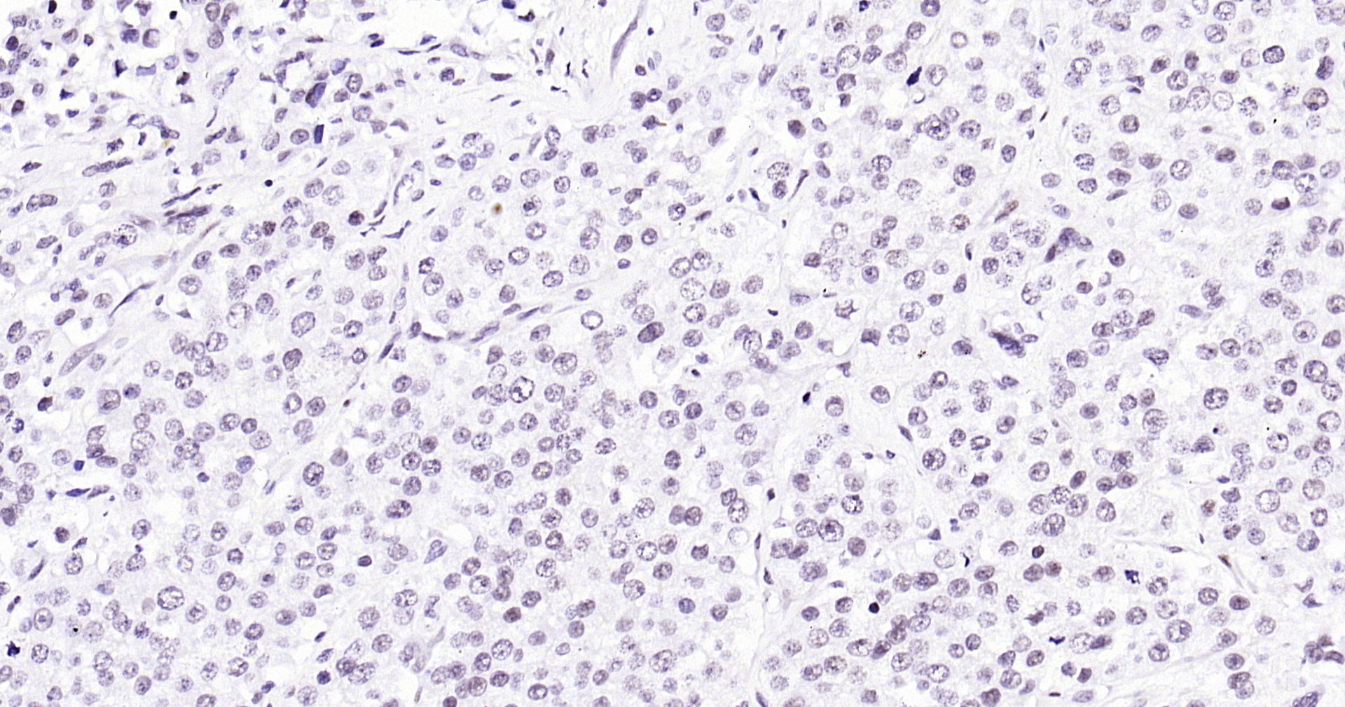
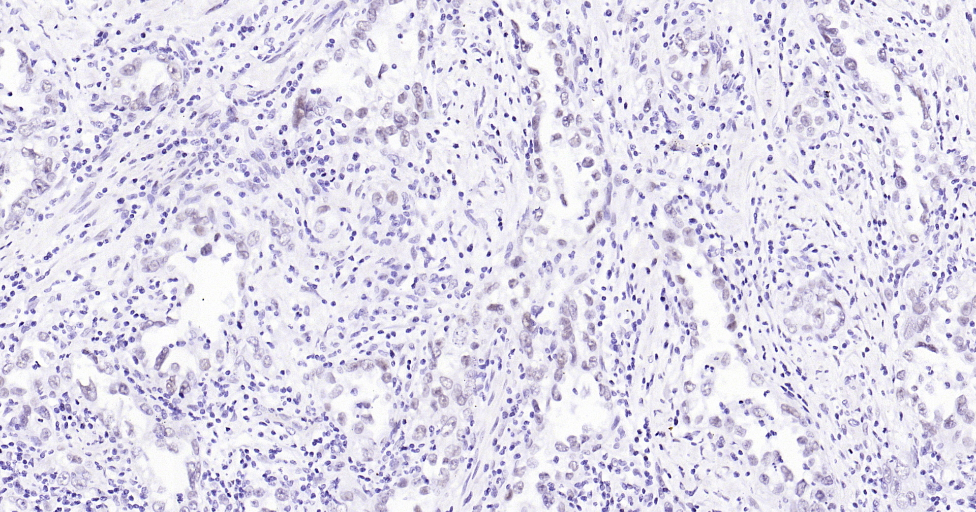
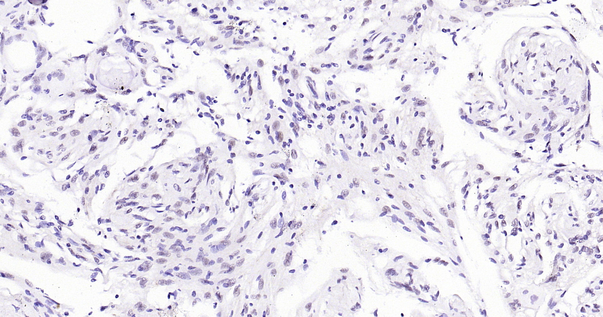
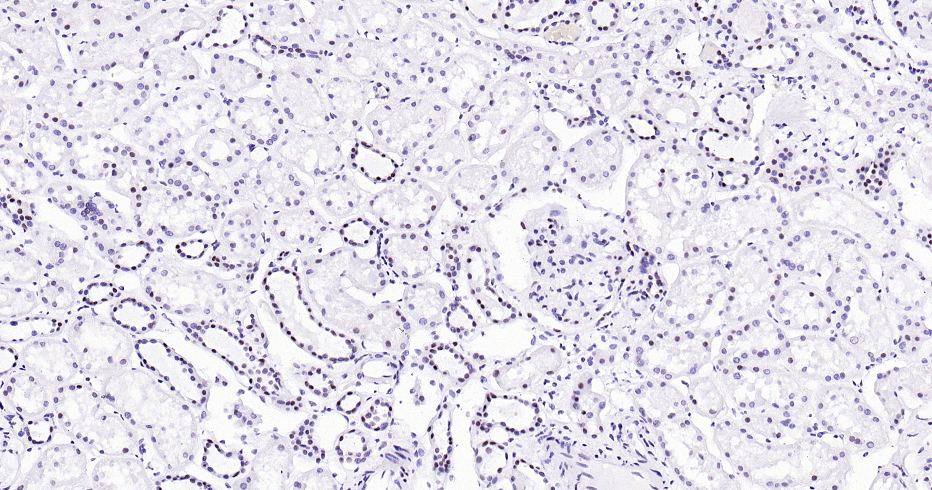
Applications WB, IHC-P, IHC-F, IF
Reactivity Human, Mouse, Rat
Specifications
Conjugation Unconjugated
Host Mouse
Source KLH conjugated synthetic peptide derived from human HP1 alpha
Clonality Monoclonal
Clone # 7.00E+03
Isotype IgG
Concentration 1ug/ul
Purification Purified by Protein A.
Storage Buffer 0.01M TBS(pH7.4) with 1% BSA, 0.02% Proclin300 and 50% Glycerol.
Storage Condition Shipped at 4C. Store at -20C for one year. Avoid repeated freeze/thaw cycles.
Target
Gene ID 23468
Swiss Prot P45973
Synonyms Antigen p25; HP1-_; CBX5; CBX5_HUMAN; Chromobox homolog 5 (HP1 alpha homolog, Drosophila); Chromobox homolog 5; Chromobox protein homolog 5; Heterochromatin protein 1 alpha; Heterochromatin protein 1; Heterochromatin protein 1 homolog alpha; HP1 alpha; HP1 alpha homolog; HP1; HP1A; HP1Hs alpha.
Background Component of heterochromatin that recognizes and binds histone H3 tails methylated at 'Lys-9' (H3K9me), leading to epigenetic repression. In contrast, it is excluded from chromatin when 'Tyr-41' of histone H3 is phosphorylated (H3Y41ph). Can interact with lamin-B receptor (LBR). This interaction can contribute to the association of the heterochromatin with the inner nuclear membrane. Involved in the formation of functional kinetochore through interaction with MIS12 complex proteins.
Application Dilution
WB 1:300-5000
IHC-P 1:200-400
IHC-F 1:100-500
IF