RECEIVE 25% OFF PUBLISHED ANTIBODIES WITH CODE "PUB25"! Offer valid for US customers and available internationally through distributors.

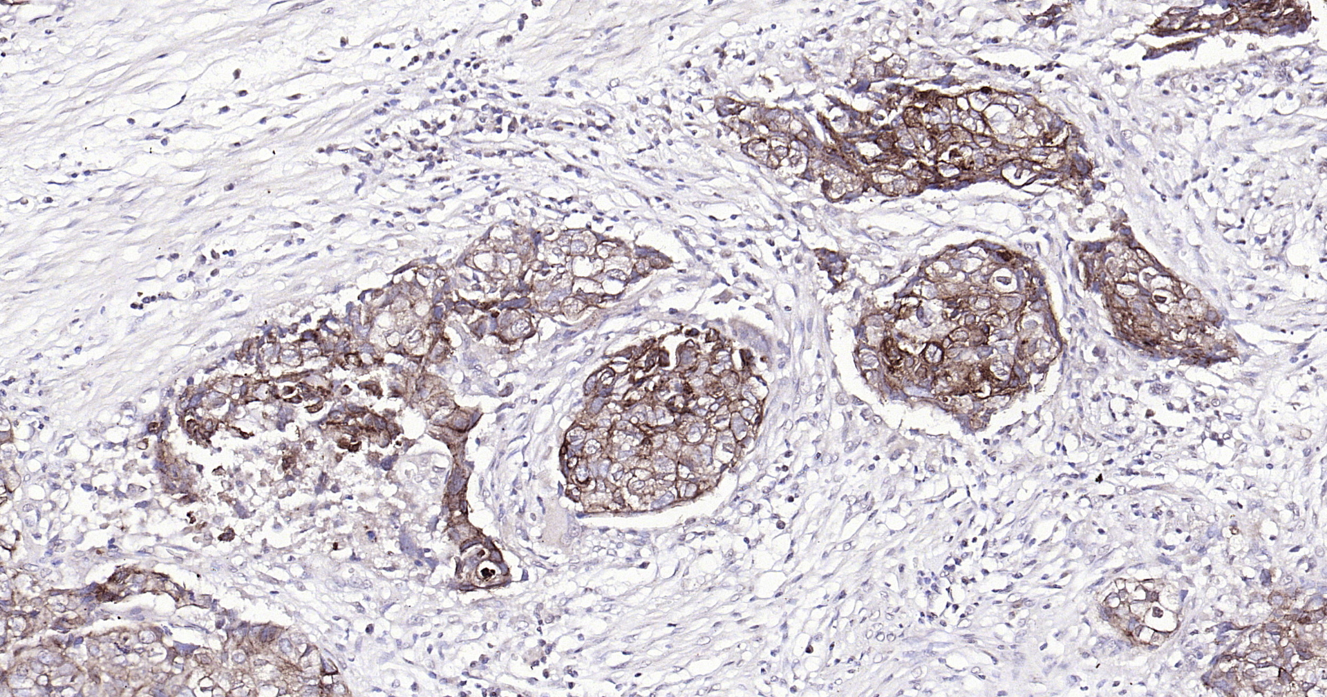
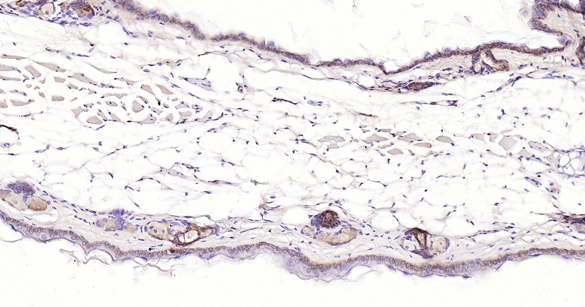
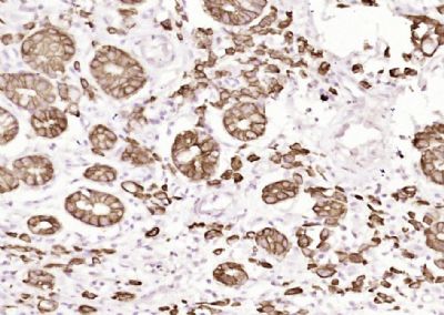
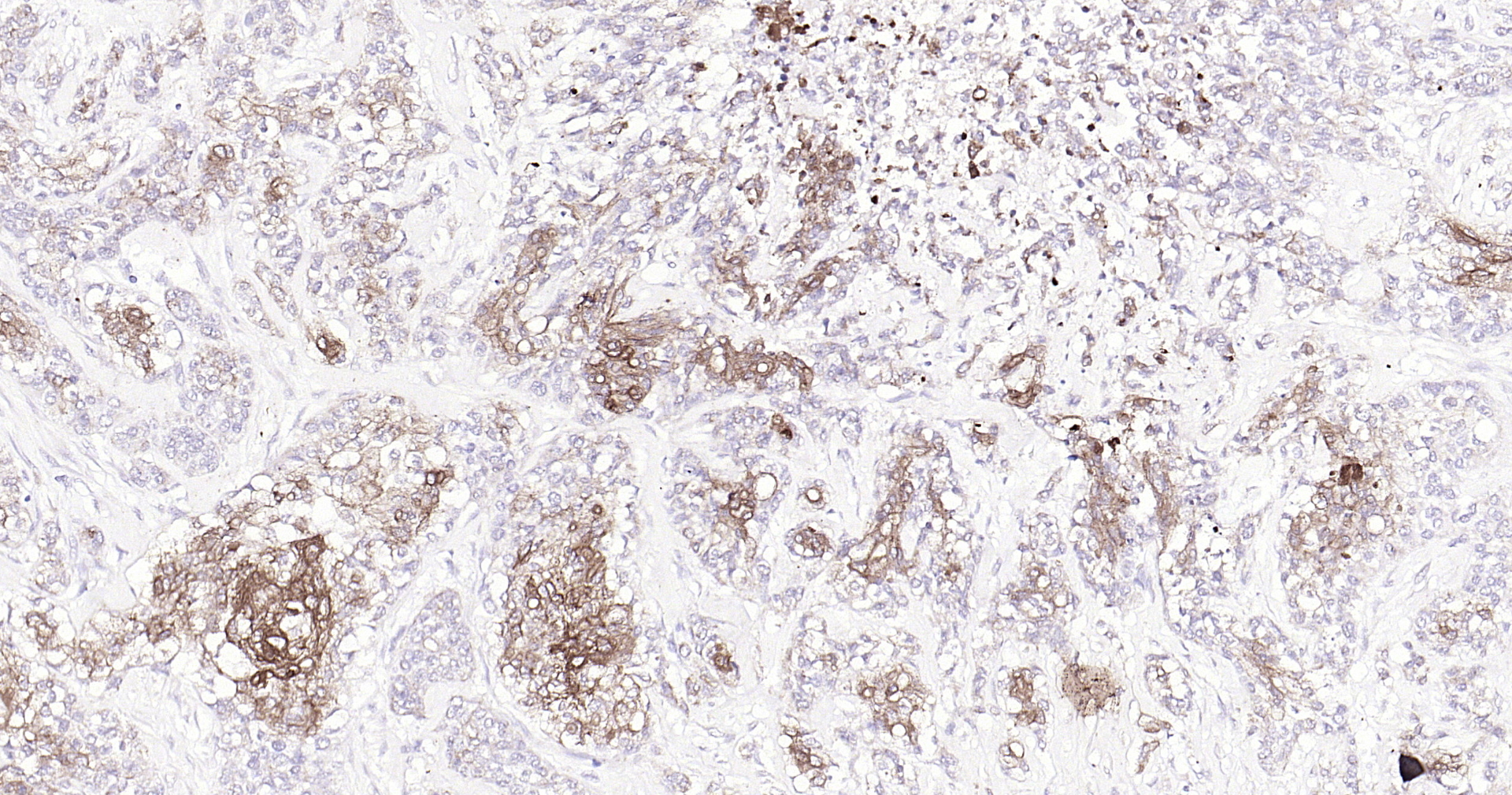
Pan Cytokeratin Monoclonal Antibody

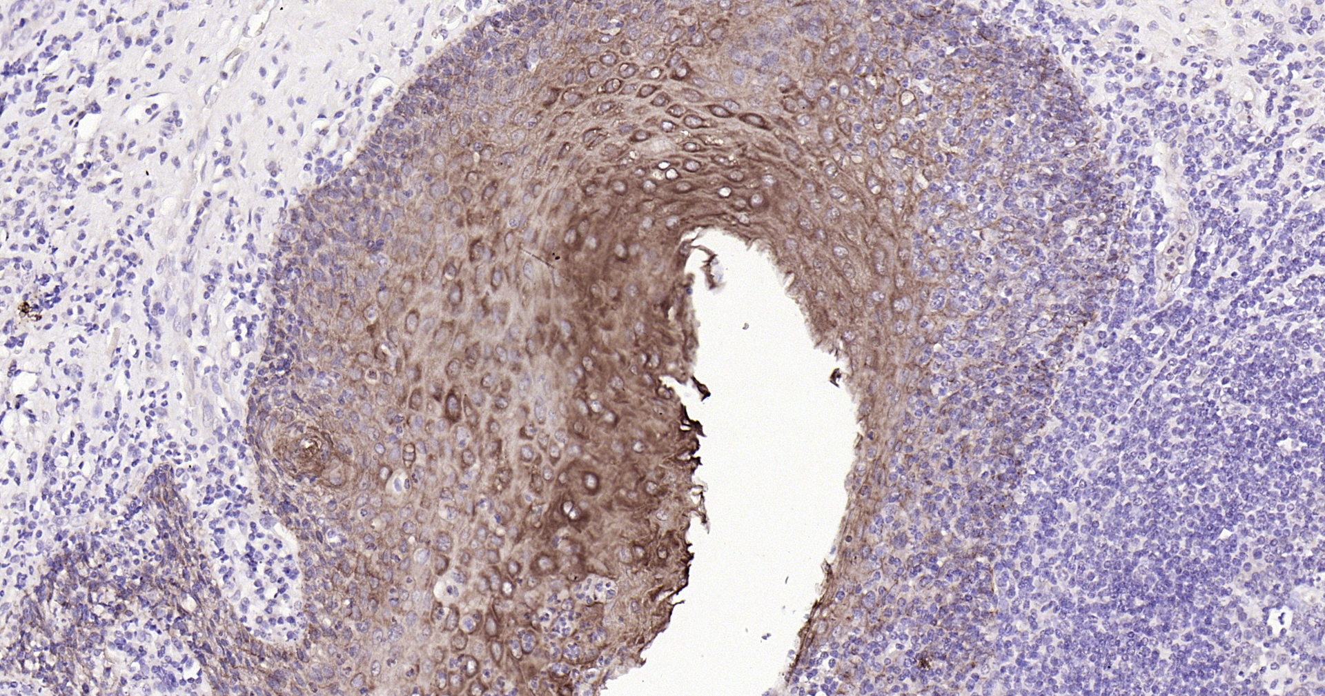
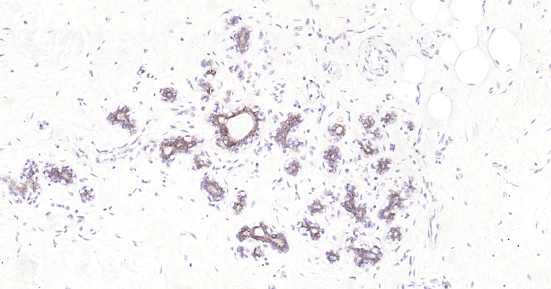
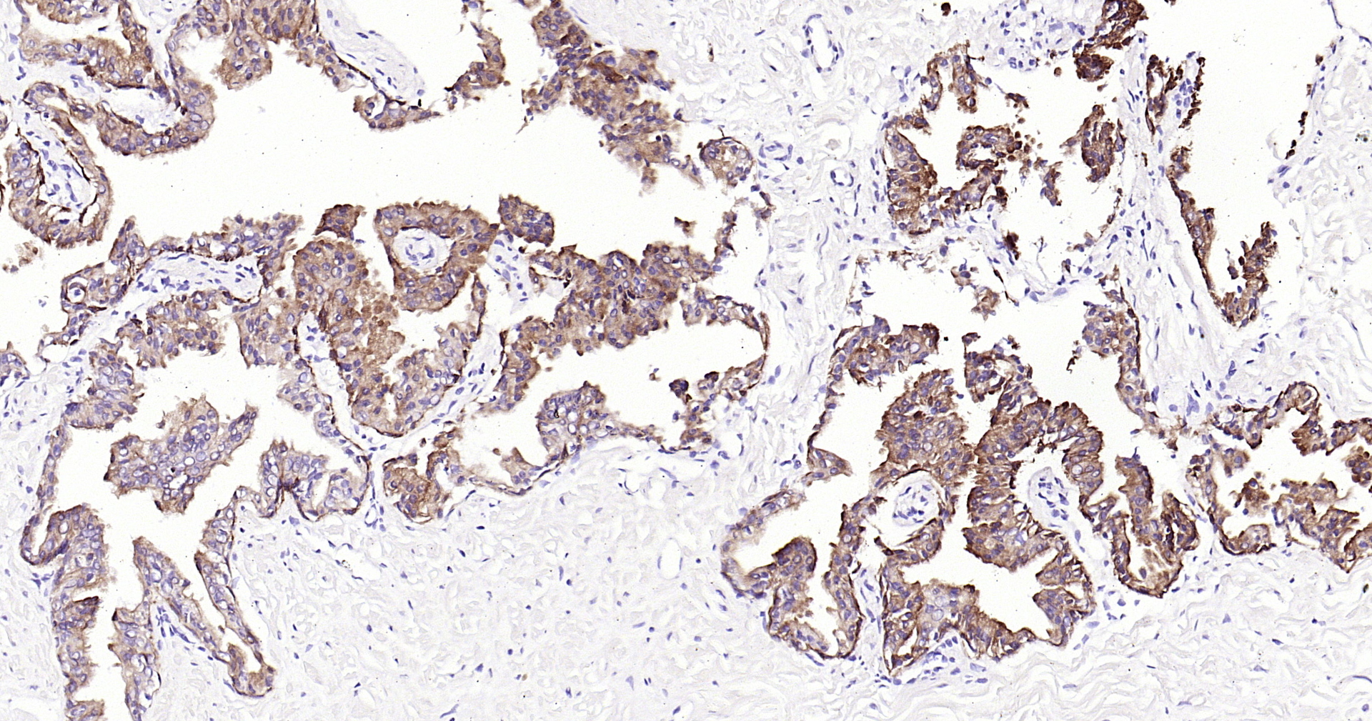
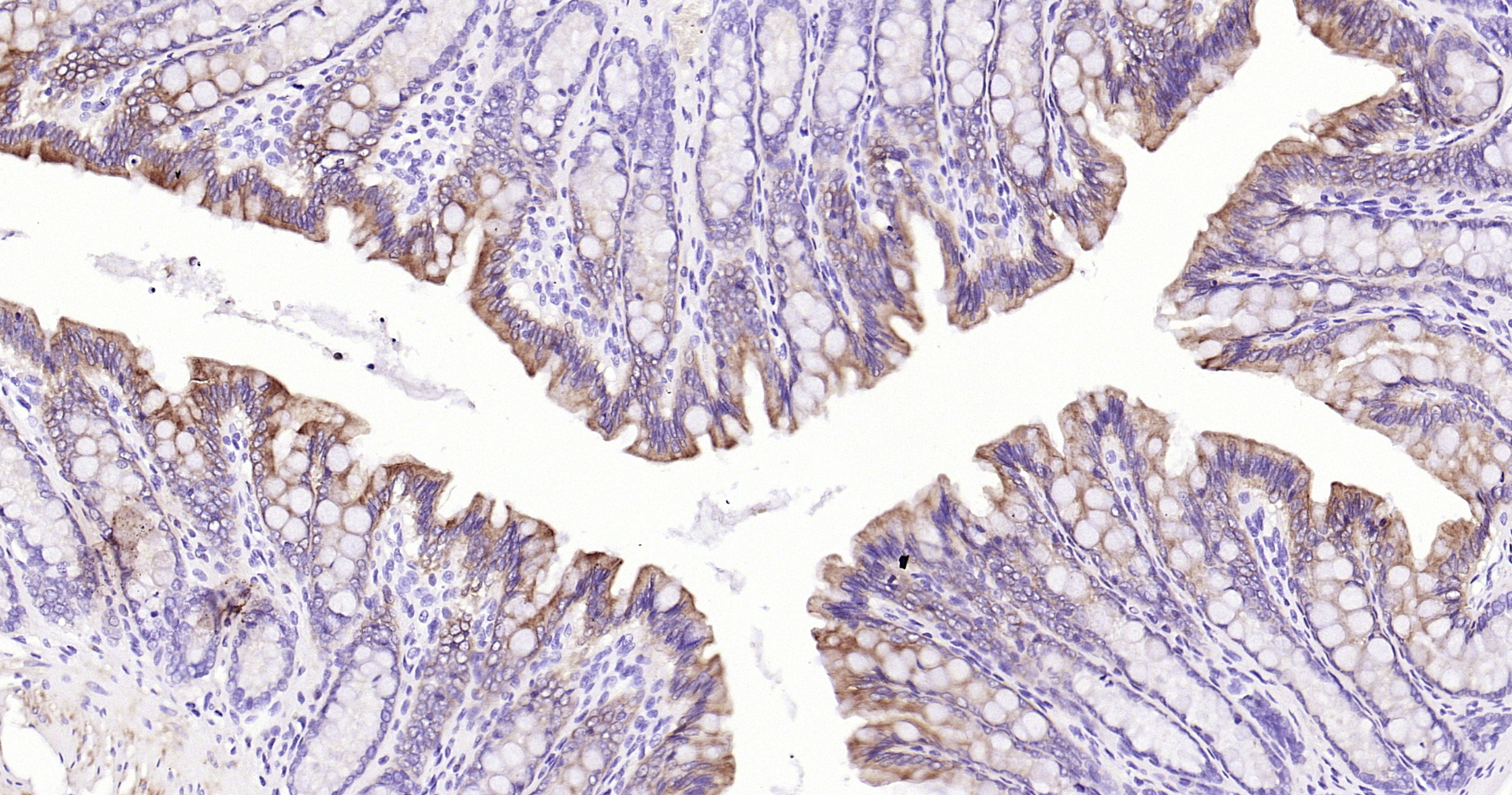
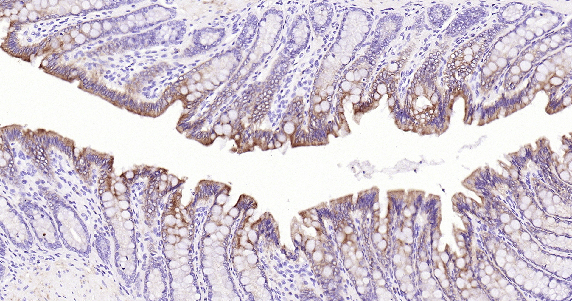
Applications

  • WB
  • IHC-P
  • IHC-F
  • IF(IHC-P)

Reactivity

  • Human
  • Mouse
  • Rat
Overview
Catalog # bsm-34137m-100ul
Product Name Pan Cytokeratin Monoclonal Antibody
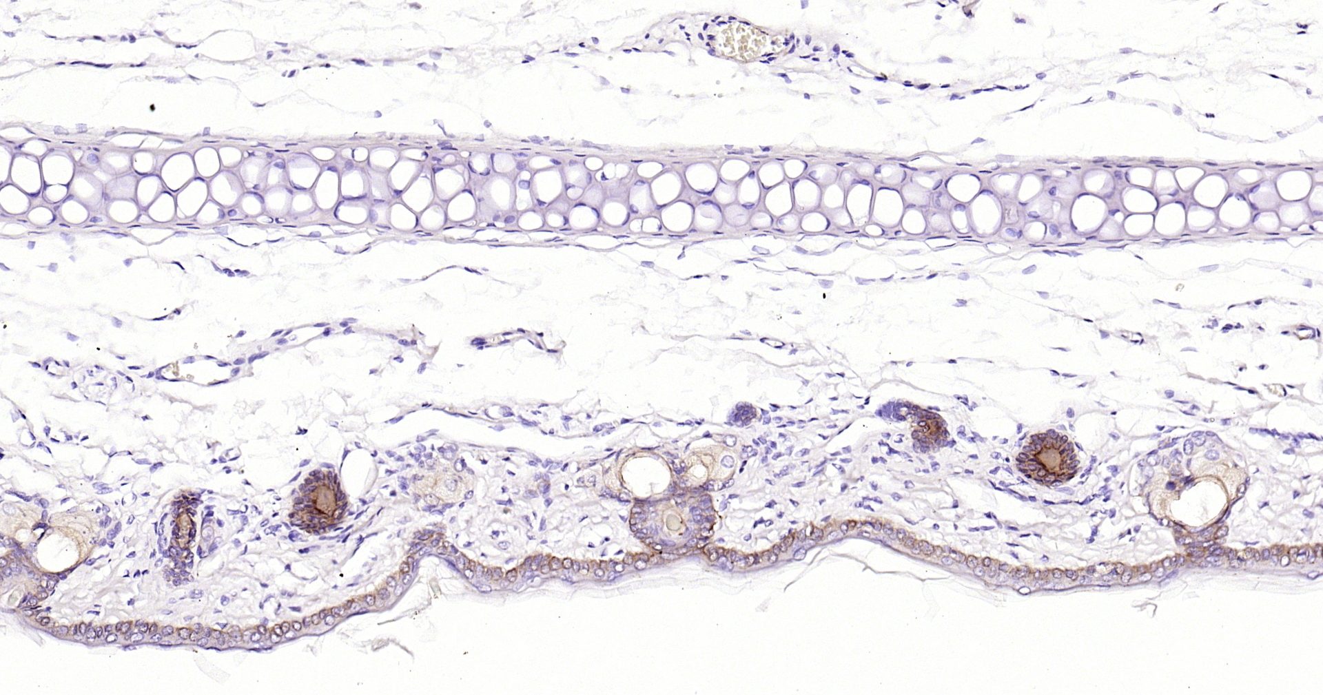
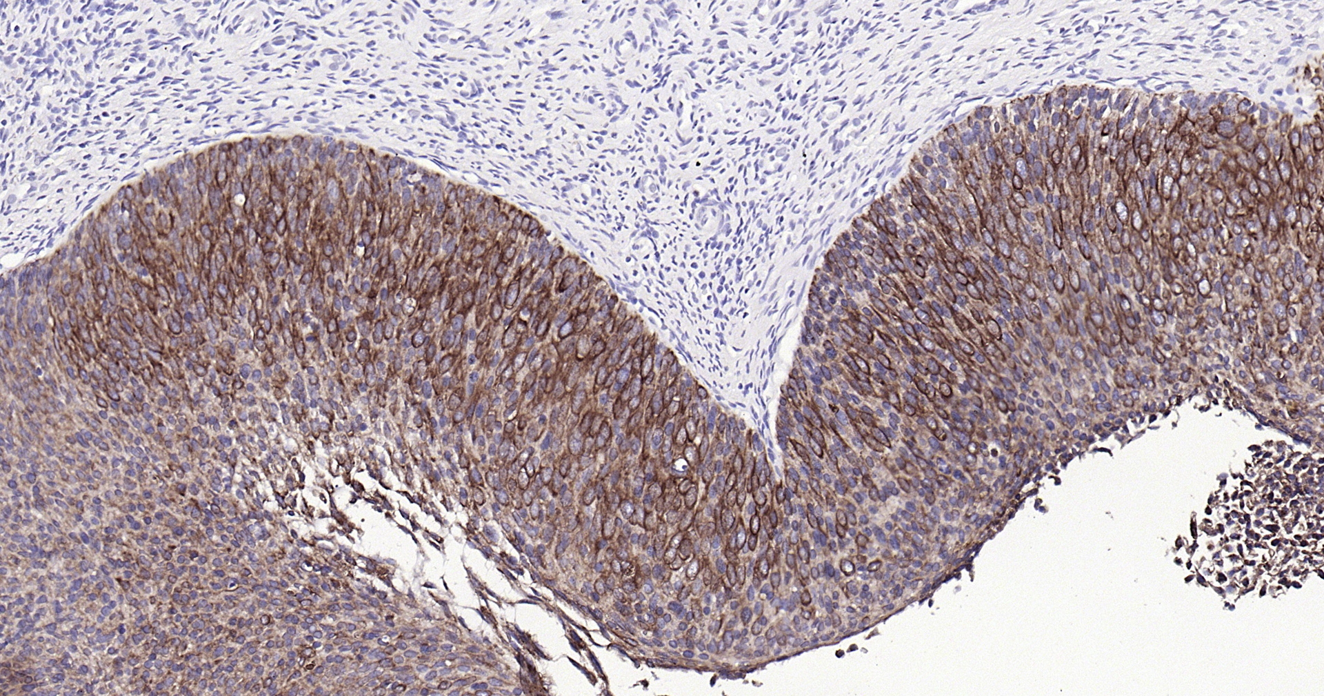
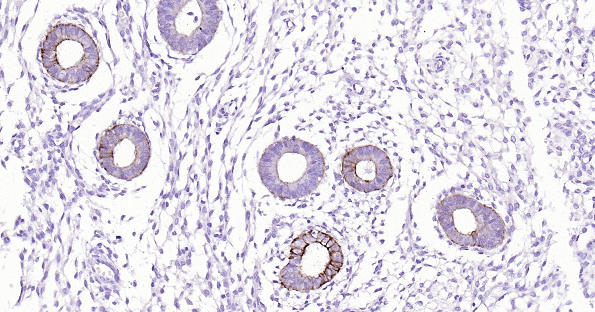
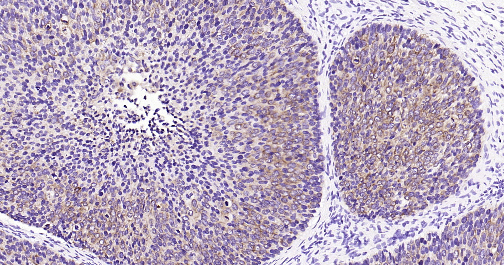
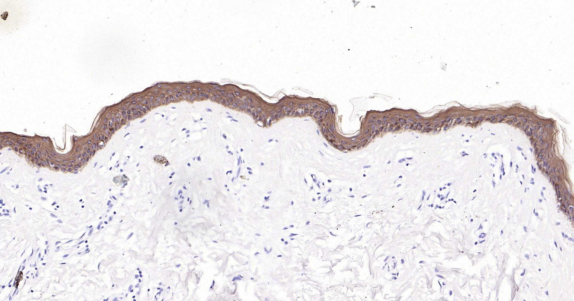
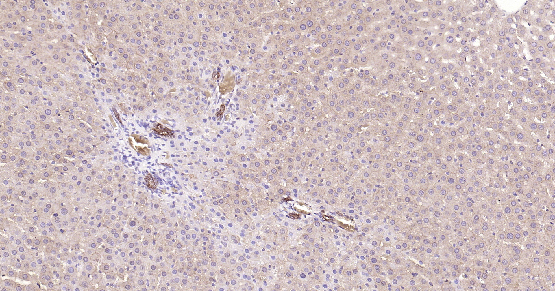
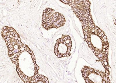
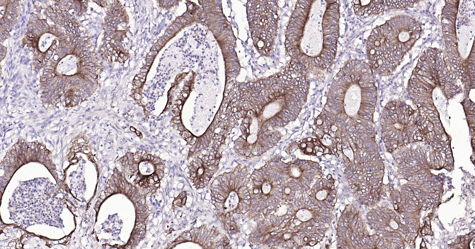
Applications WB, IHC-P, IHC-F, IF(IHC-P)
Reactivity Human, Mouse, Rat
Specifications
Conjugation Unconjugated
Host Mouse
Source KLH conjugated synthetic peptide derived from human Pan Cytokeratin
Clonality Monoclonal
Clone # 4C3
Isotype IgG2b/Kappa
Concentration 1mg/ml
Purification Purified by Protein A.
Storage Buffer 0.01M TBS(pH7.4) with 1% BSA, 0.02% Proclin300 and 50% Glycerol.
Storage Condition Shipped at 4C. Store at -20C for one year. Avoid repeated freeze/thaw cycles.
Target
Gene ID Pan Cytokeratin
Swiss Prot P13646
Subcellular location Cytoplasm
Synonyms pan-cytokeratin; pan-CK; pan CK; P-CK; CK-PAN; wide spectrum Cytokeratin; Cytokeratins; Cytokeratin Pan; [cytokeratins 1,2,4,5,6,7,8,71,72,75,78].
Application Dilution
WB 1:500-2000
IHC-P IHC-P1:100-500
IHC-F IHC-F1:100-500
IF(IHC-P) IFIHC-P1:100-500