RECEIVE 25% OFF PUBLISHED ANTIBODIES WITH CODE "PUB25"! Offer valid for US customers and available internationally through distributors.

PAPPA Monoclonal Antibody

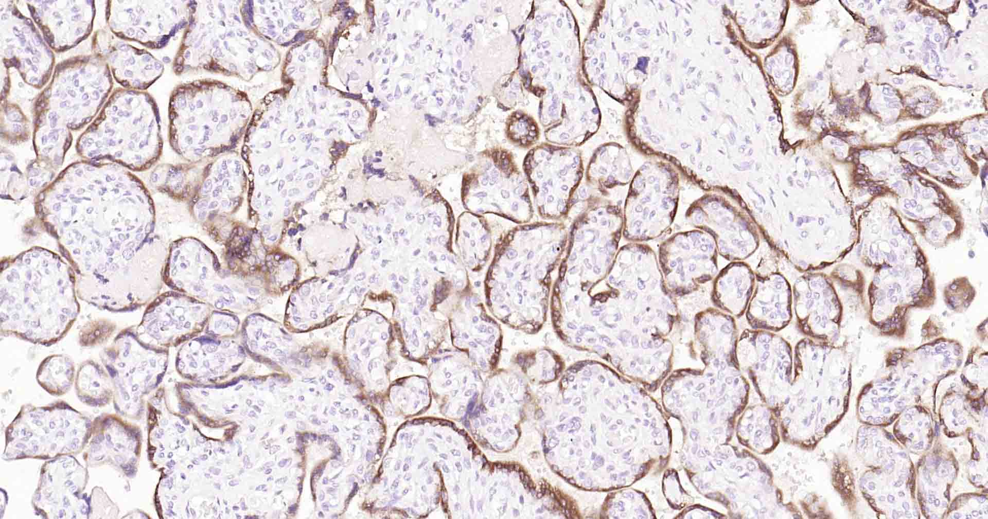
Applications

  • ELISA
  • IHC-P
  • IHC-F
  • IF(IHC-P)

Reactivity

  • Human

Predicted Reactivity

  • Mouse
  • Rat
Overview
Catalog # bsm-34258m-100ul
Product Name PAPPA Monoclonal Antibody
Applications ELISA, IHC-P, IHC-F, IF(IHC-P)
Reactivity Human
Predicted Reactivity Mouse, Rat
Specifications
Conjugation Unconjugated
Host Mouse
Source KLH conjugated synthetic peptide derived from human PAPPA
Clonality Monoclonal
Clone # 2H5
Isotype IgG1
Concentration 1ug/ul
Purification Purified by Protein A.
Storage Buffer 0.01M TBS(pH7.4) with 1% BSA, 0.02% Proclin300 and 50% Glycerol.
Storage Condition Shipped at 4C. Store at -20C for one year. Avoid repeated freeze/thaw cycles.
Target
Gene ID 5069
Swiss Prot Q13219
Subcellular location Secreted
Synonyms ASBABP2; Aspecific BCL2 ARE binding protein 2; Differentially placenta 1 expressed protein; DIPLA1; IGF dependent IGFBP 4 protease; IGF-dependent IGFBP-4 protease; IGFBP 4ase; IGFBP-4ase; IGFBP4ase; Insulin like growth factor dependent IGF binding protein 4 protease; Insulin-like growth factor-dependent IGF-binding protein 4 protease; PAPA; PAPP A; PAPP-A; PAPP1_HUMAN; PAPPA; PAPPA1; Pappalysin 1 precursor; Pappalysin-1; Pregnancy Associated Plasma Protein A; Pregnancy associated plasma protein A pappalysin 1; Pregnancy-associated plasma protein A.
Background Metalloproteinase which specifically cleaves IGFBP-4 and IGFBP-5, resulting in release of bound IGF. Cleavage of IGFBP-4 is dramatically enhanced by the presence of IGF, whereas cleavage of IGFBP-5 is slightly inhibited by the presence of IGF.
Application Dilution
ELISA 1:30-3000
IHC-P IHC-P1:100-200
IHC-F IHC-F1:100-200
IF(IHC-P) IFIHC-P1:100-200