| Overview |
| bsm-34316r-100ul |
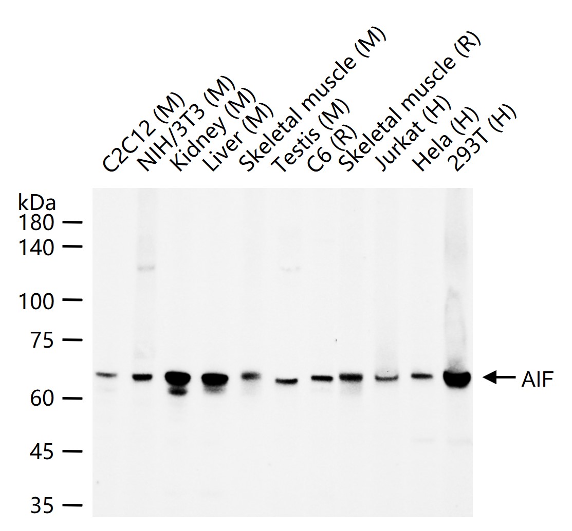
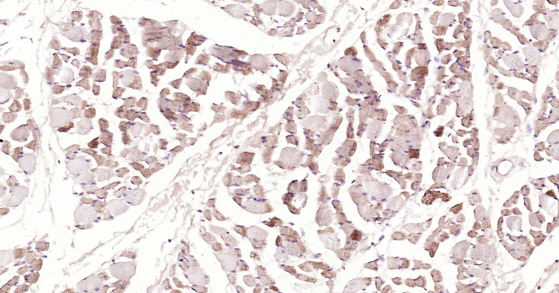
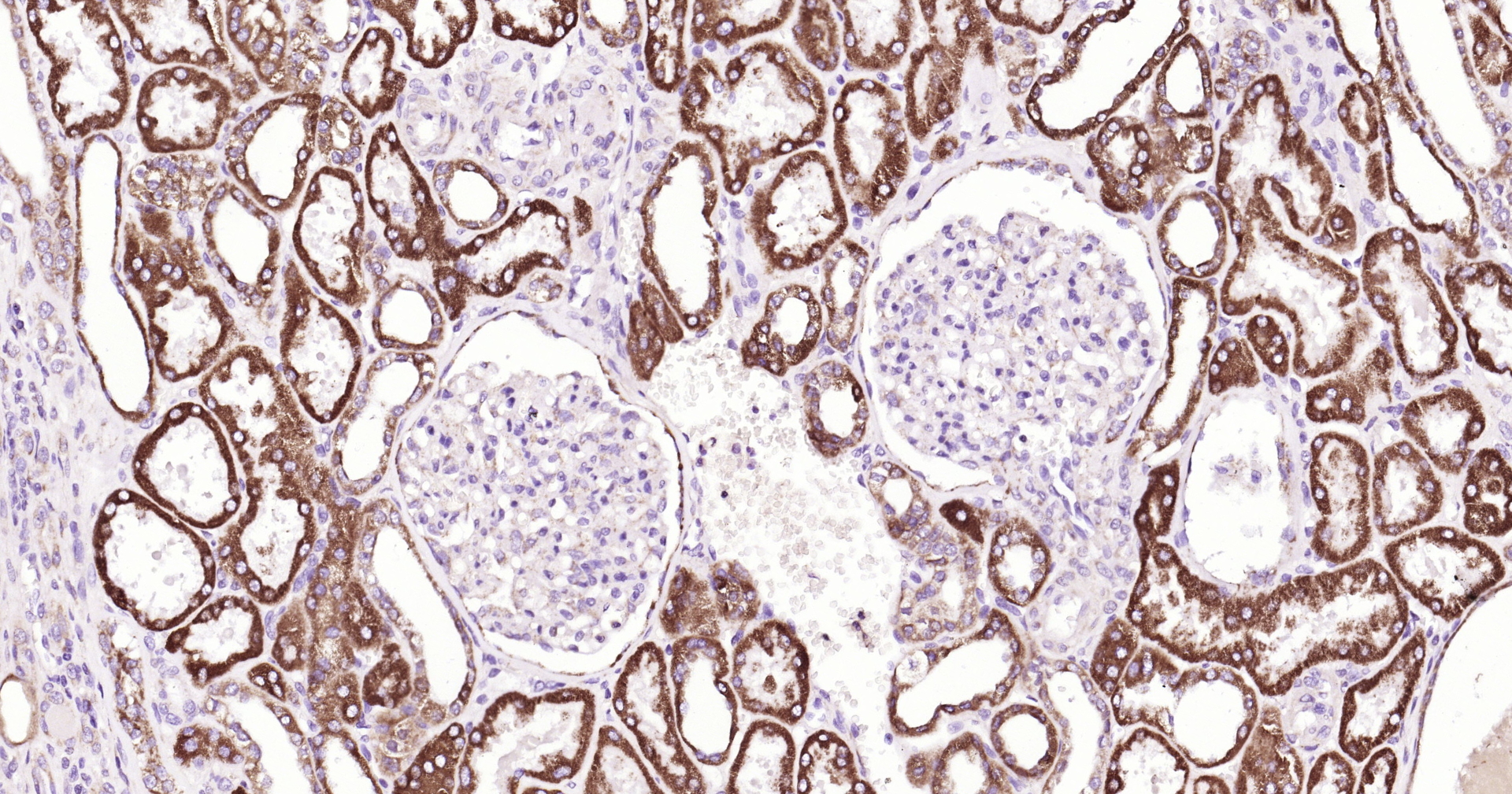
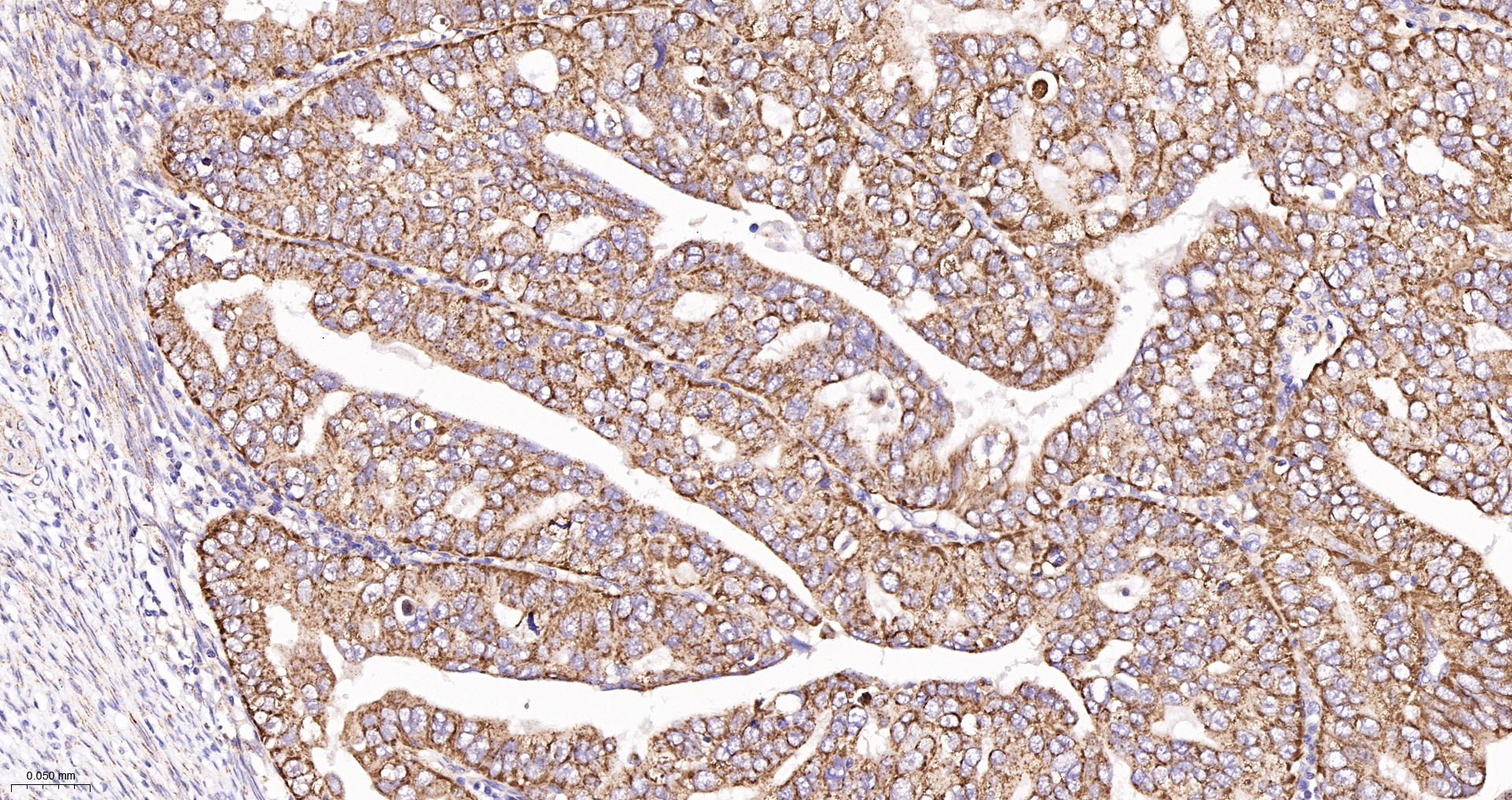
| AIF Recombinant Antibody |
| WB, FCM, IHC-P, IHC-F, IF(IHC-P), IF(ICC) |
| Human, Mouse, Rat |
| Specifications |
| Unconjugated |
| Rabbit |
| KLH conjugated synthetic peptide derived from human AIF |
| Recombinant |
| IgG |
| Lot dependent |
| Purified by Protein A. |
| 0.01M TBS (pH 7.4), 1% BSA, 0.02% Proclin 300, and 50% Glycerol |
| Shipped at 4C. Store at -20C for one year. Avoid repeated freeze/thaw cycles. |
| Target |
| 9131 |
| O95831 |
| Cytoplasm, Nucleus |
| Apoptosis inducing factor; Harlequin; Hq; mAIF; MGC111425; MGC5706; PDCD 8; PDCD8; Programmed cell death 8; Programmed cell death 8 isoform 1; Programmed cell death 8 isoform 2; Programmed cell death 8 isoform 3; Programmed cell death protein 8 mitochondrial; Programmed cell death protein 8 mitochondrial precursor; Striatal apoptosis inducing factor; AIFM1_HUMAN; Apoptosis-inducing factor 1, mitochondrial. |
| Application Dilution |
| WB |
1:1000-5000 |
| FCM |
FCM1:50-100 |
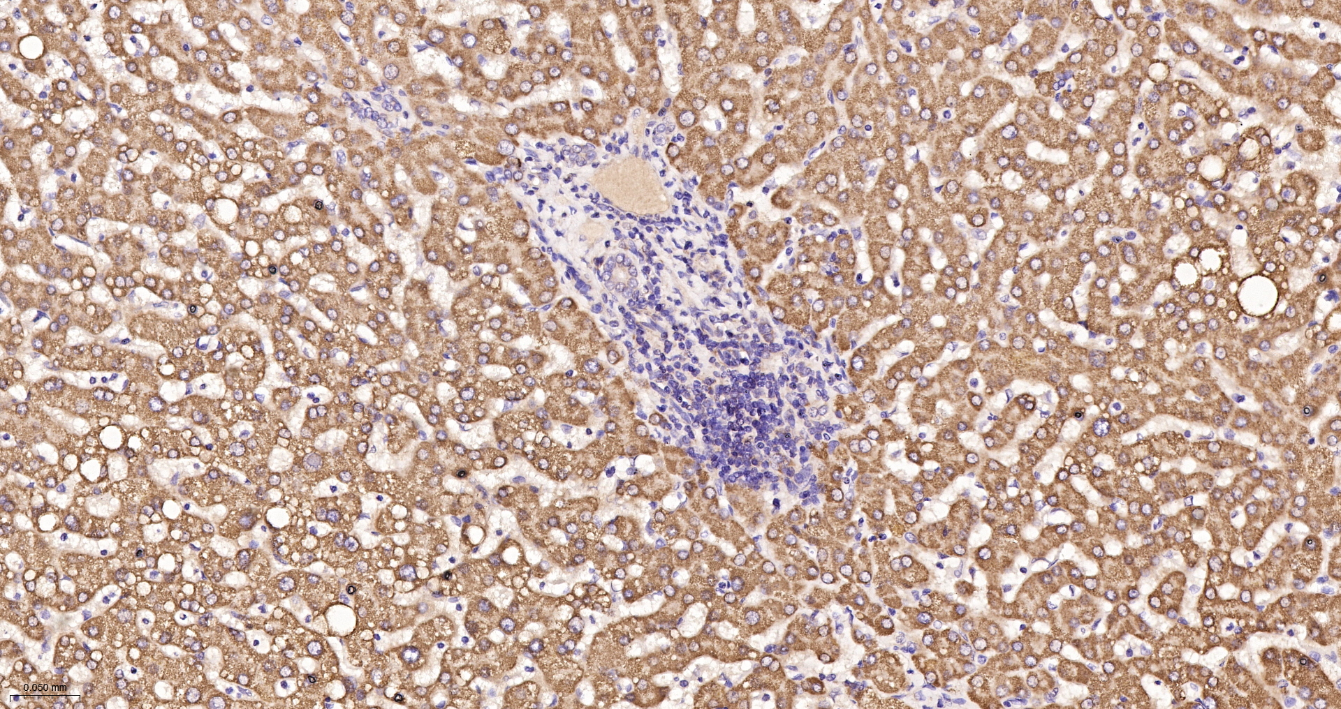
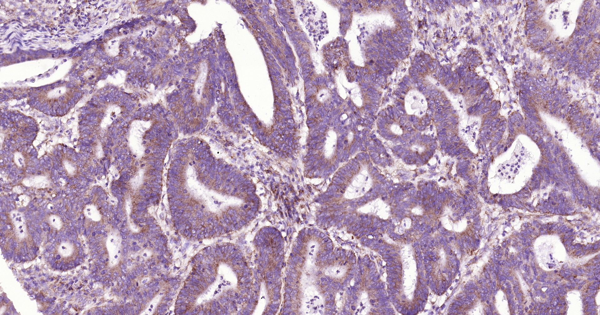
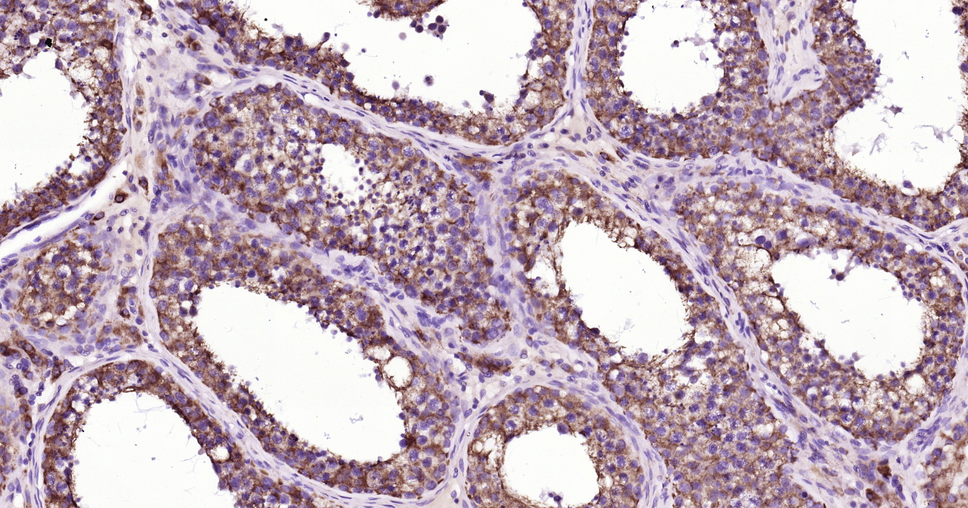
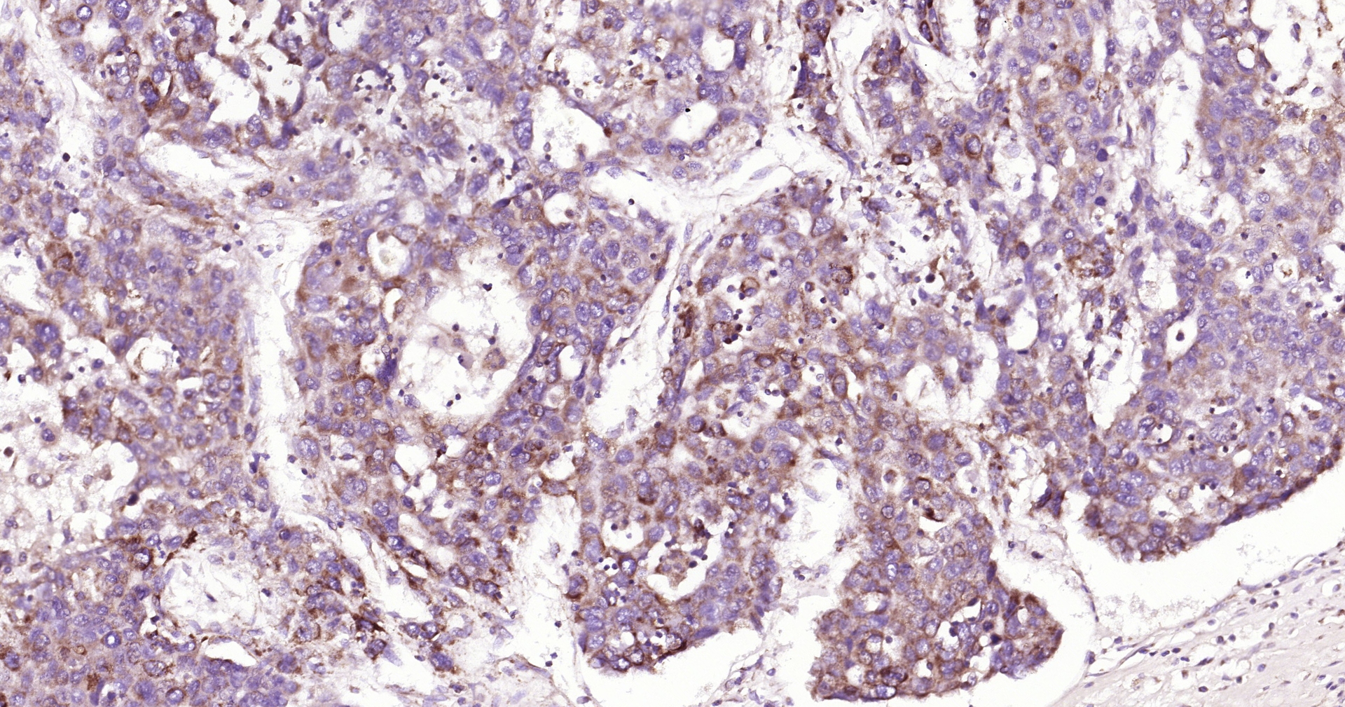
| IHC-P |
IHC-P1:200-800 |
| IHC-F |
IHC-F1:200-800 |
| IF(IHC-P) |
IFIHC-P1:200-800 |
| IF(ICC) |
IFICC1:50-200 |