Receive 30% off all Monoclonal IHC antibodies with code "MONO-IHC-30"! Offer valid for US customers and available internationally through distributors.

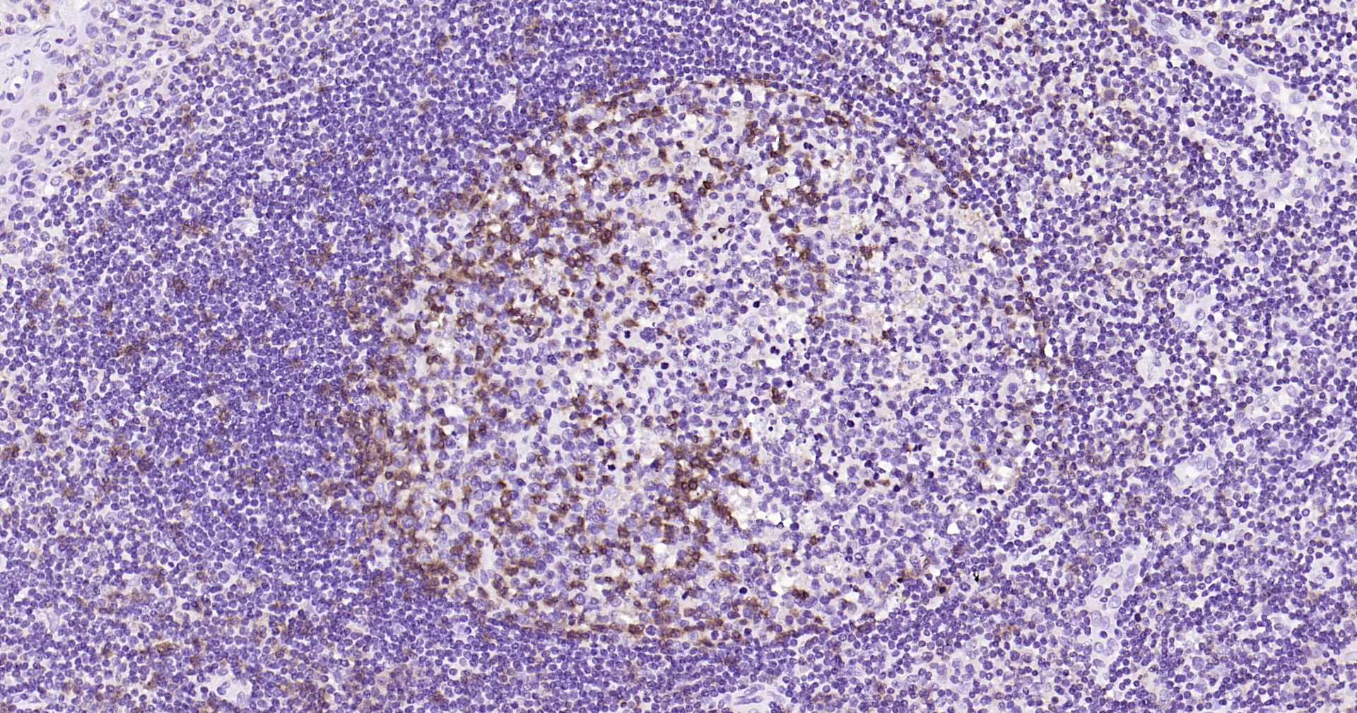
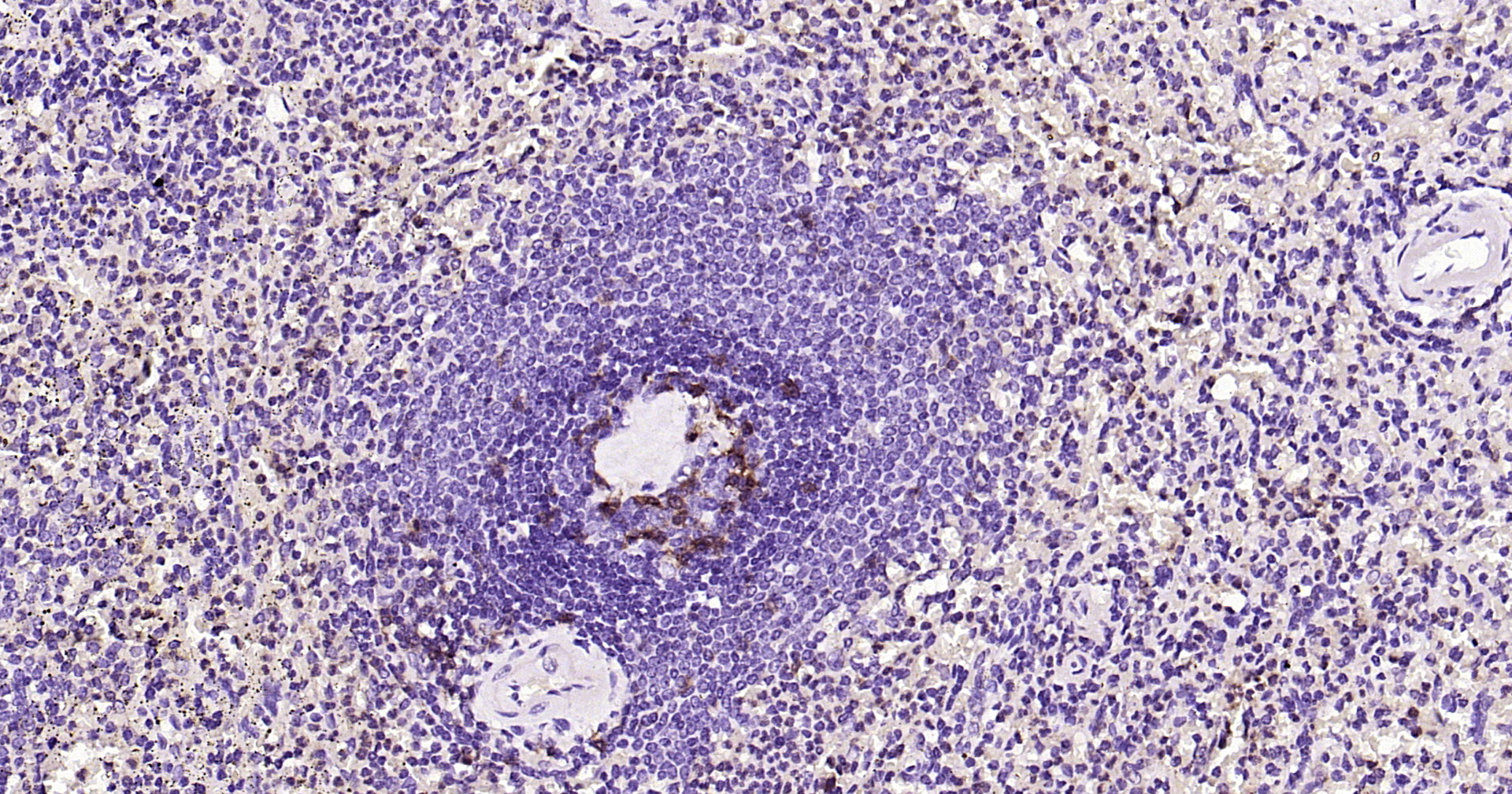
PD-1 Monoclonal Antibody

Applications

  • IHC-P
  • IHC-F
  • IF

Reactivity

  • Human
Overview
Catalog # bsm-41117m
Product Name PD-1 Monoclonal Antibody
Applications IHC-P, IHC-F, IF
Reactivity Human
Specifications
Conjugation Unconjugated
Host Mouse
Source Recombinant human PD1
Clonality Monoclonal
Clone # 1C4
Isotype IgG1
Concentration 1mg/ml
Purification Purified by Protein A.
Storage Buffer 0.01M TBS (pH7.4) with 1% BSA, 0.02% Proclin300 and 50% Glycerol.
Storage Condition Shipped at 4C. Store at -20C for one year. Avoid repeated freeze/thaw cycles.
Target
Gene ID 5133
Swiss Prot Q15116
Subcellular location Cell membrane
Synonyms Programmed cell death protein 1; CD279; CD279 antigen; hPD 1; hPD-1; hSLE1; PD 1; PD1; PDCD 1; PDCD1; PDCD1_HUMAN; Programmed cell death 1; Protein PD 1; Protein PD-1; SLEB2; Systemic lupus erythematosus susceptibility 2.
Application Dilution
IHC-P 1:200-400
IHC-F 1:100-500
IF