Receive 30% off all Monoclonal IHC antibodies with code "MONO-IHC-30"! Offer valid for US customers and available internationally through distributors.

PGC Monoclonal Antibody

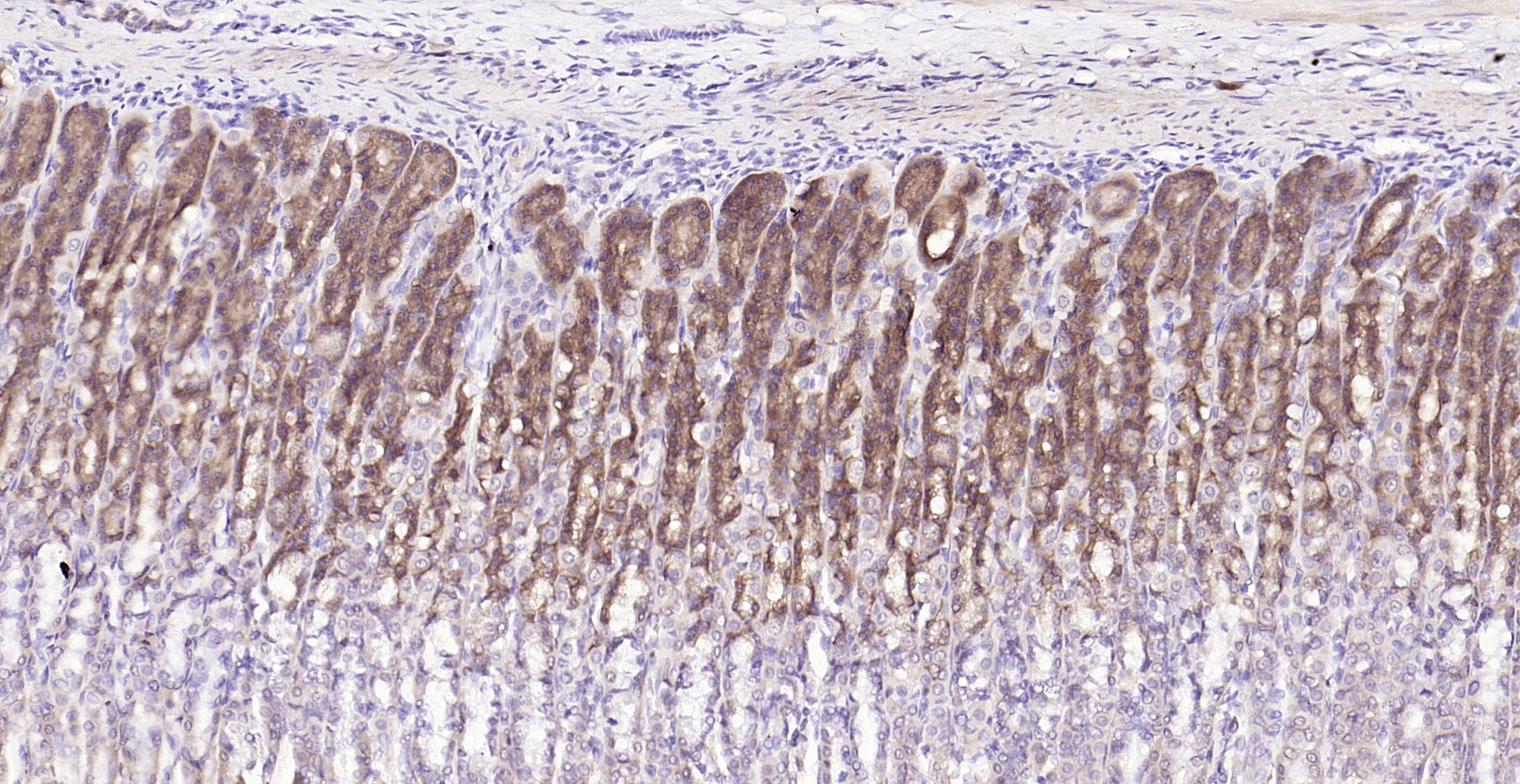
Applications

  • WB
  • IHC-P
  • IHC-F
  • IF

Reactivity

  • Human
  • Mouse
  • Rat
Overview
Catalog # bsm-41229m
Product Name PGC Monoclonal Antibody
Applications WB, IHC-P, IHC-F, IF
Reactivity Human, Mouse, Rat
Specifications
Conjugation Unconjugated
Host Mouse
Source Recombinant human Pepsinogen II
Clonality Monoclonal
Isotype IgG
Concentration 1mg/ml
Purification Purified by Protein A.
Storage Buffer 0.01M TBS(pH7.4) with 1% BSA, 0.02% Proclin300 and 50% Glycerol.
Storage Condition Shipped at 4C. Store at -20C for one year. Avoid repeated freeze/thaw cycles.
Target
Gene ID 5225
Swiss Prot P20142
Subcellular location Secreted
Synonyms PEPC_HUMAN; Gastricsin; EC:3.4.23.3; Pepsinogen C; PEPC; PGII; progastricsin; Pepsinogen II;
Application Dilution
WB 1:300-5000
IHC-P 1:200-400
IHC-F 1:100-500
IF