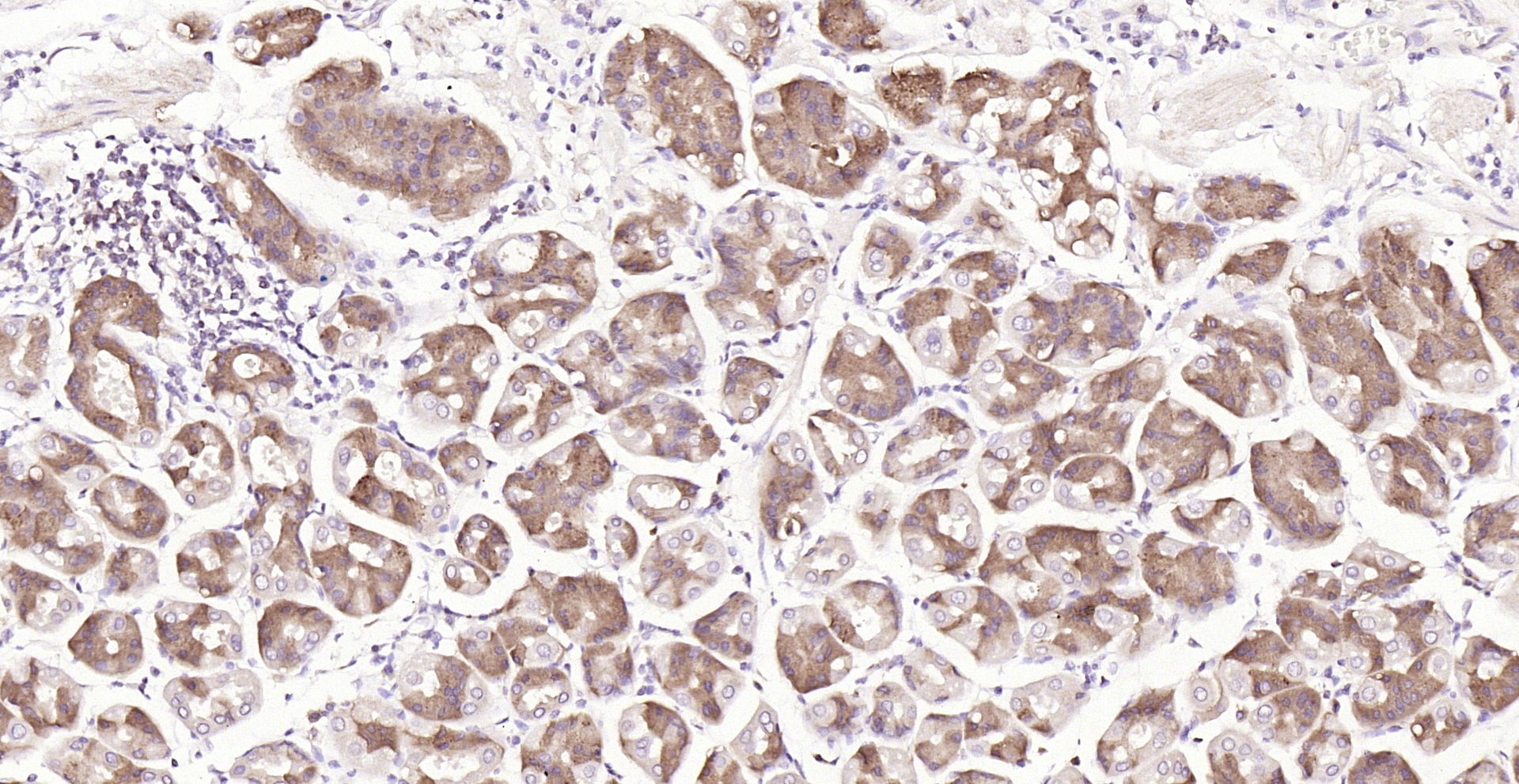
PGC Monoclonal Antibody
Applications
Reactivity
| Overview | |
| Catalog # | bsm-41229m-100ul |
| Product Name | PGC Monoclonal Antibody |
| Applications | WB, IHC-P, IHC-F, IF(IHC-P) |
| Reactivity | Human, Mouse, Rat |
| Specifications | |
| Conjugation | Unconjugated |
| Host | Mouse |
| Source | Recombinant human Pepsinogen II |
| Clonality | Monoclonal |
| Isotype | IgG |
| Concentration | 1mg/ml |
| Purification | Purified by Protein A. |
| Storage Buffer | 0.01M TBS(pH7.4) with 1% BSA, 0.02% Proclin300 and 50% Glycerol. |
| Storage Condition | Shipped at 4C. Store at -20C for one year. Avoid repeated freeze/thaw cycles. |
| Target | |
| Gene ID | 5225 |
| Swiss Prot | P20142 |
| Subcellular location | Secreted |
| Synonyms | PEPC_HUMAN; Gastricsin; EC:3.4.23.3; Pepsinogen C; PEPC; PGII; progastricsin; Pepsinogen II; |
| Application Dilution | |
| WB | 1:500-2000 |
| IHC-P | IHC-P1:100-500 |
| IHC-F | IHC-F1:400-800 |
| IF(IHC-P) | IFIHC-P1:100-500 |