Receive 30% off all Monoclonal IHC antibodies with code "MONO-IHC-30"! Offer valid for US customers and available internationally through distributors.

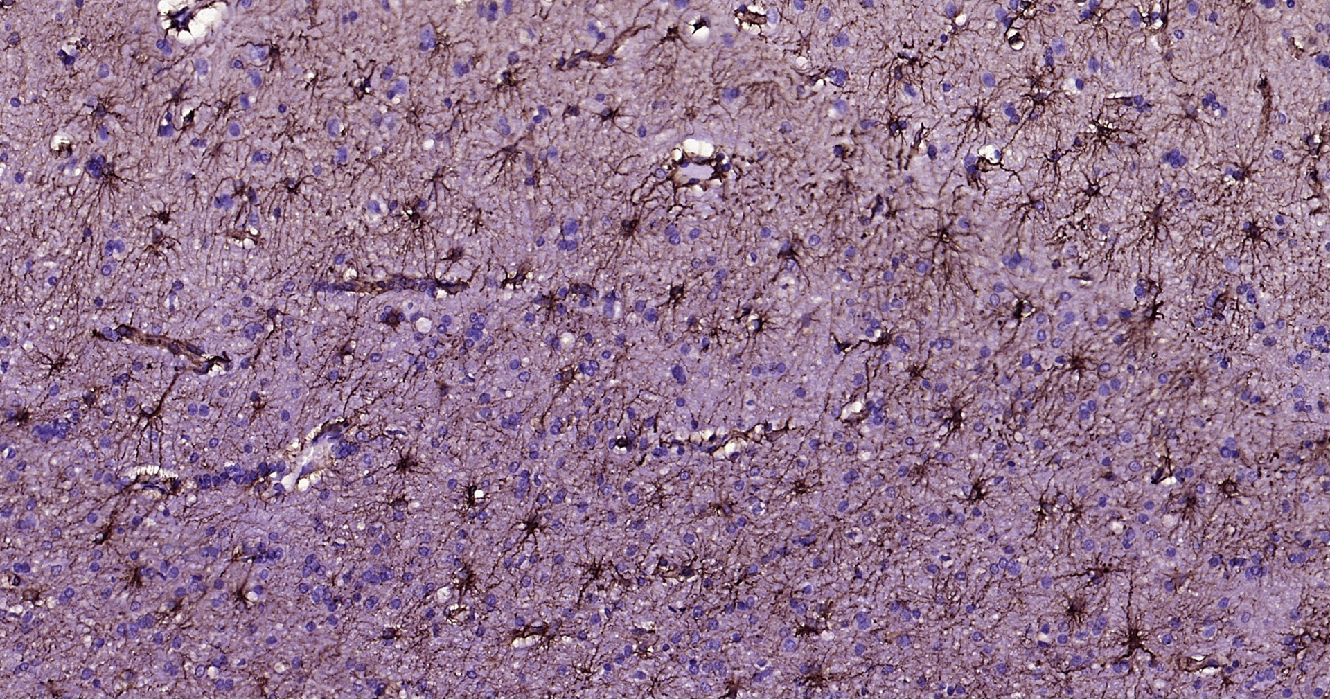
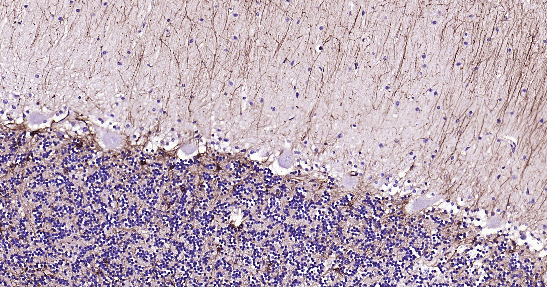
GFAP Monoclonal Antibody

Applications

  • WB
  • IHC-P
  • IHC-F
  • IF

Reactivity

  • Human
Overview
Catalog # bsm-41823m
Product Name GFAP Monoclonal Antibody
Applications WB, IHC-P, IHC-F, IF
Reactivity Human
Specifications
Conjugation Unconjugated
Host Mouse
Source Recombinant human GFAP protein
Immunogen Range 1-390/432
Clonality Monoclonal
Clone # 12C12
Isotype IgG
Concentration 1ug/ul
Purification Purified by Protein A.
Storage Buffer 0.01M TBS(pH7.4) with 1% BSA, 0.02% Proclin300 and 50% Glycerol.
Storage Condition Shipped at 4C. Store at -20C for one year. Avoid repeated freeze/thaw cycles.
Target
Subcellular location Cytoplasm
Synonyms Astrocyte Marker; FLJ45472; Glial Fibrillary Acidic Protein; Intermediate filament protein; GFAP_HUMAN.
Background GFAP, a class-III intermediate filament, is a cell-specific marker that, during the development of the central nervous system, distinguishes astrocytes from other glial cells.
Application Dilution
WB 1:300-5000
IHC-P 1:200-400
IHC-F 1:100-500
IF