RECEIVE 25% OFF PUBLISHED ANTIBODIES WITH CODE "PUB25"! Offer valid for US customers and available internationally through distributors.

GFAP Recombinant Antibody

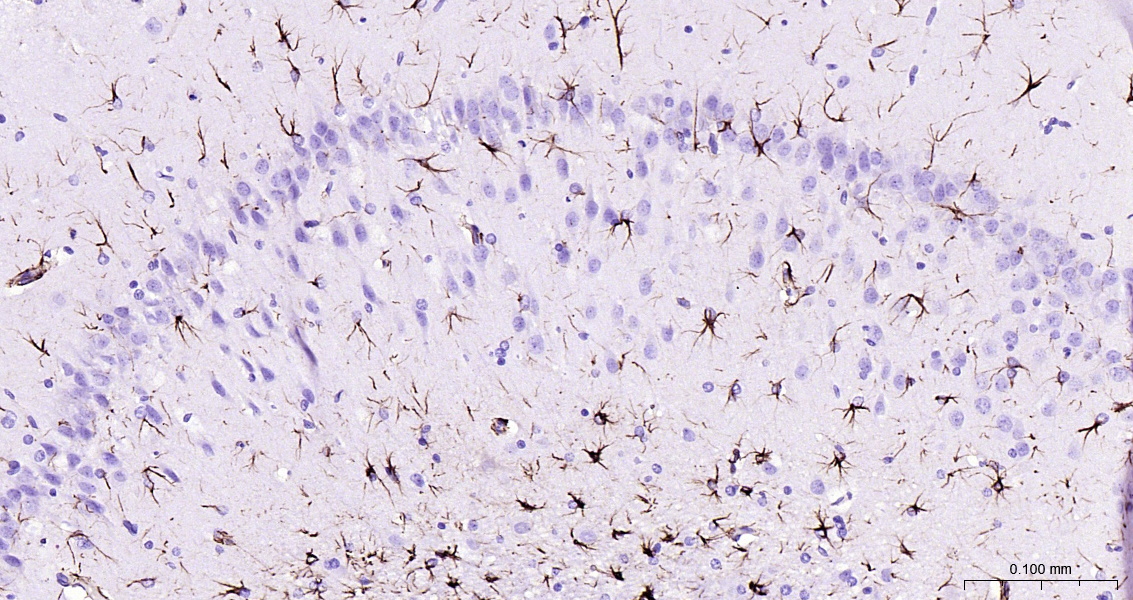
Applications

  • WB
  • FCM
  • IHC-P
  • IHC-F
  • IF(IHC-P)

Reactivity

  • Human
  • Mouse
  • Rat
Overview
Catalog # bsm-42001r-100ul
Product Name GFAP Recombinant Antibody
Applications WB, FCM, IHC-P, IHC-F, IF(IHC-P)
Reactivity Human, Mouse, Rat
Specifications
Conjugation Unconjugated
Host Rabbit
Source Recombinant human GFAP protein
Clonality Recombinant
Isotype IgG
Concentration 1mg/ml
Purification Purified by Protein A.
Storage Buffer 0.01M TBS(pH7.4) with 1% BSA, 0.02% Proclin300 and 50% Glycerol.
Storage Condition Shipped at 4C. Store at -20C for one year. Avoid repeated freeze/thaw cycles.
Target
Gene ID 2670
Swiss Prot P14136
Subcellular location Cytoplasm
Synonyms Astrocyte Marker; FLJ45472; GFAP; Glial Fibrillary Acidic Protein; Intermediate filament protein; GFAP_HUMAN.
Application Dilution
WB 1:1000-5000
FCM FCM1:50-100
IHC-P IHC-P1:200-1000
IHC-F IHC-F1:200-1000
IF(IHC-P) IFIHC-P1:200-1000