RECEIVE 25% OFF PUBLISHED ANTIBODIES WITH CODE "PUB25"! Offer valid for US customers and available internationally through distributors.

ZO-1/TJP1 Recombinant Antibody

Applications

  • FCM
  • IHC-P
  • IHC-F
  • IF(IHC-P)
  • IF(ICC)

Reactivity

  • Human
  • Mouse
  • Rat
Overview
Catalog # bsm-42209r-100ul
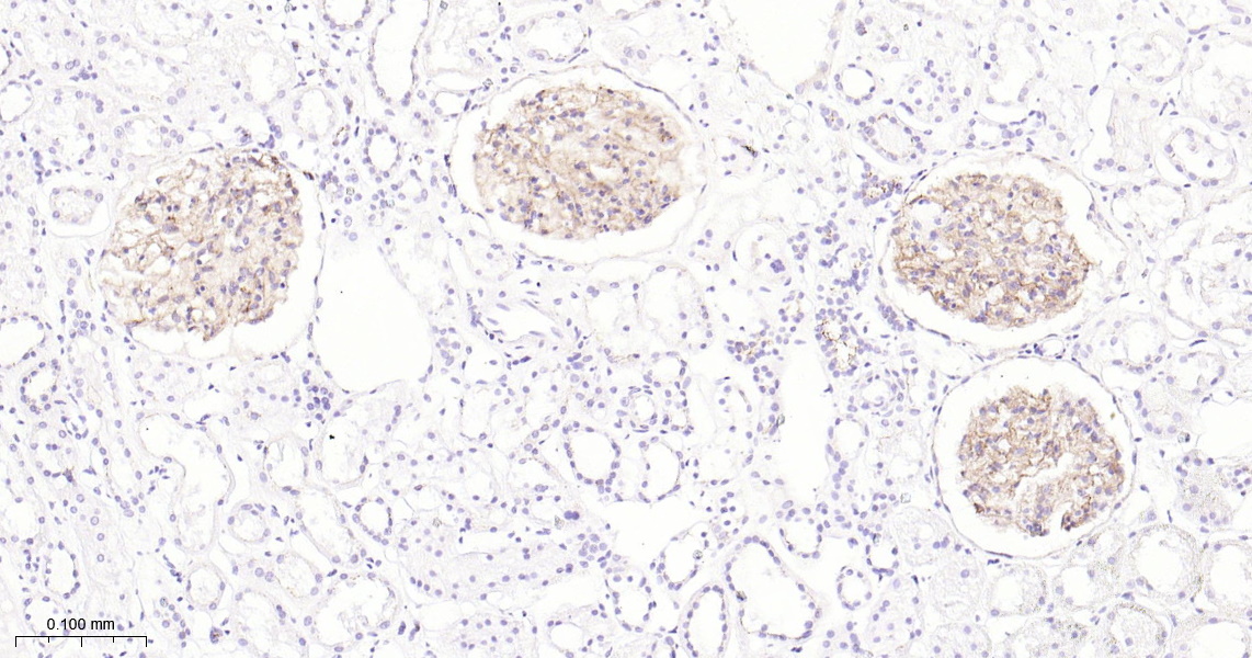
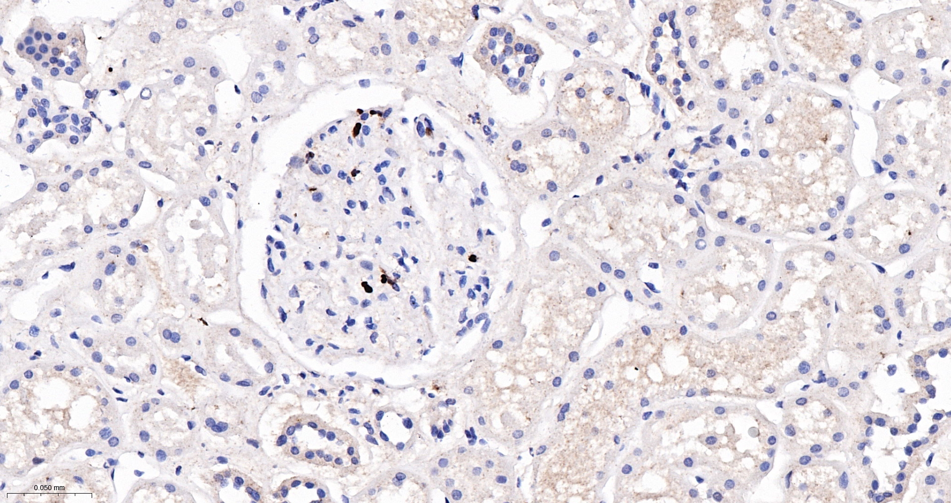
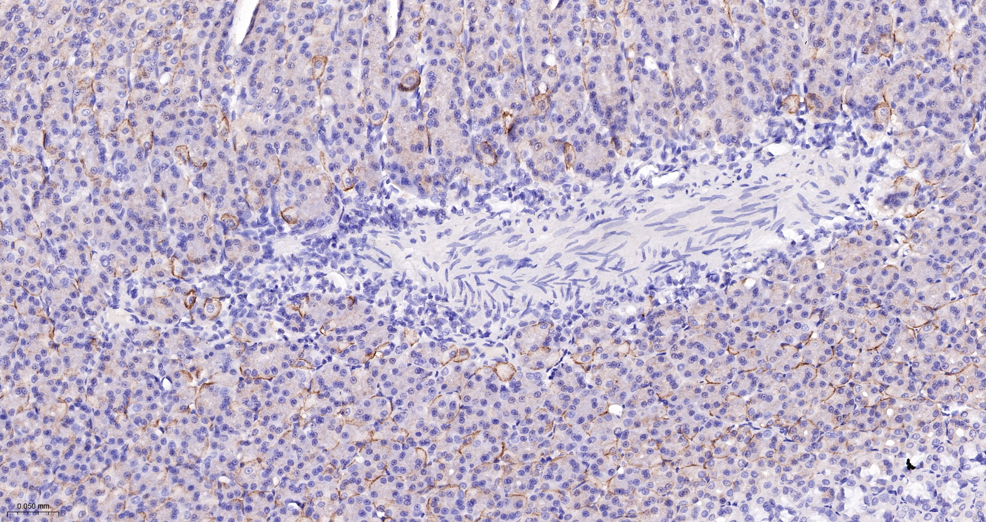
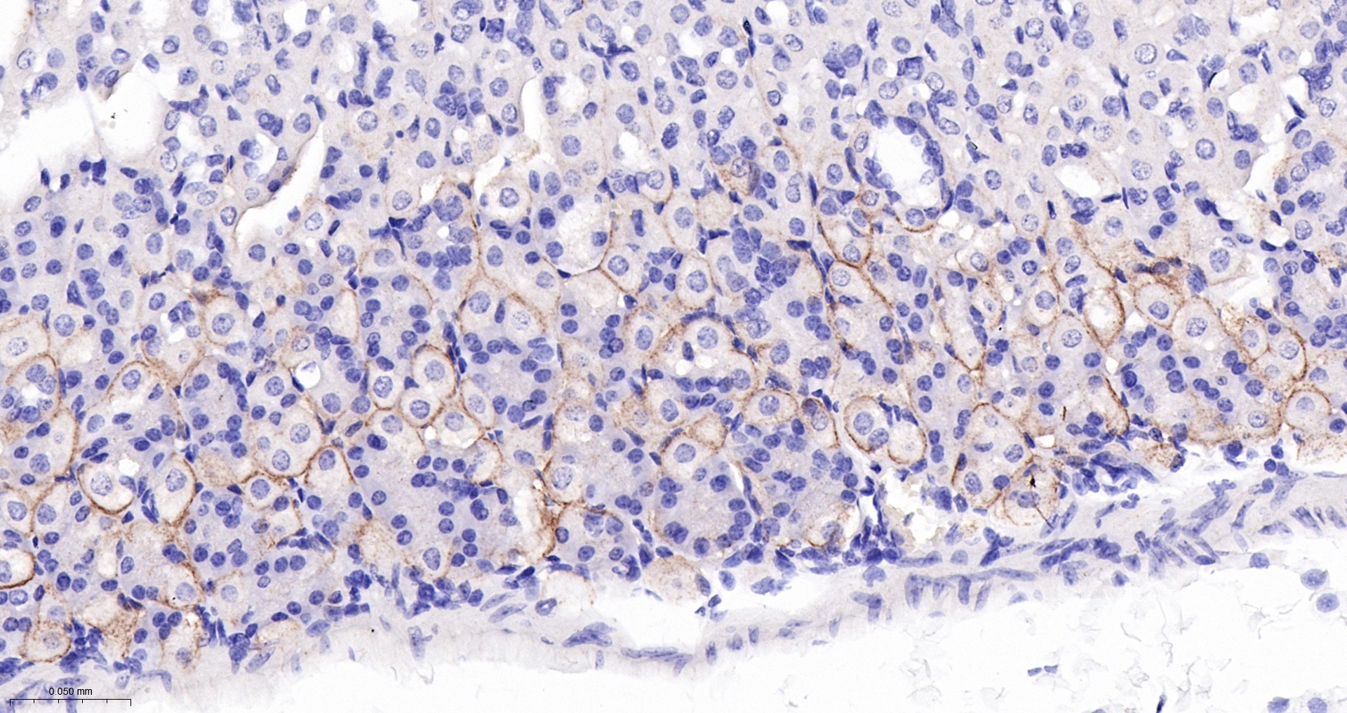
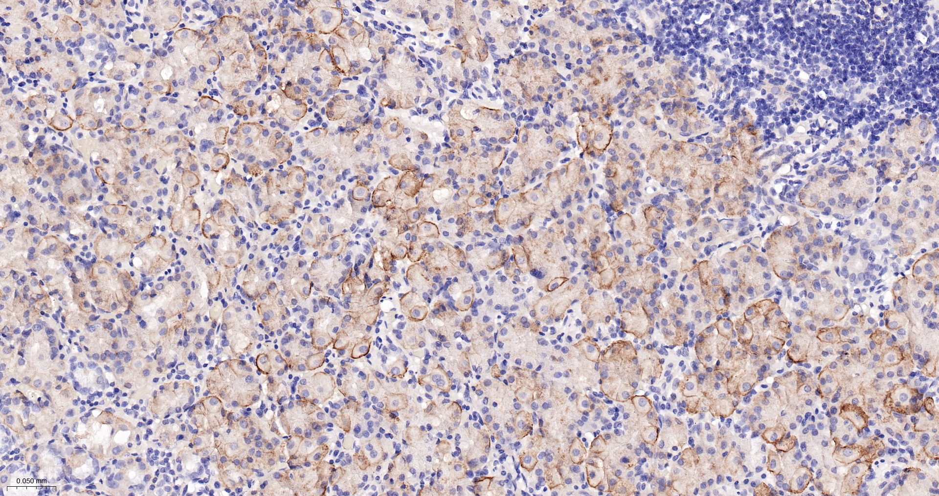
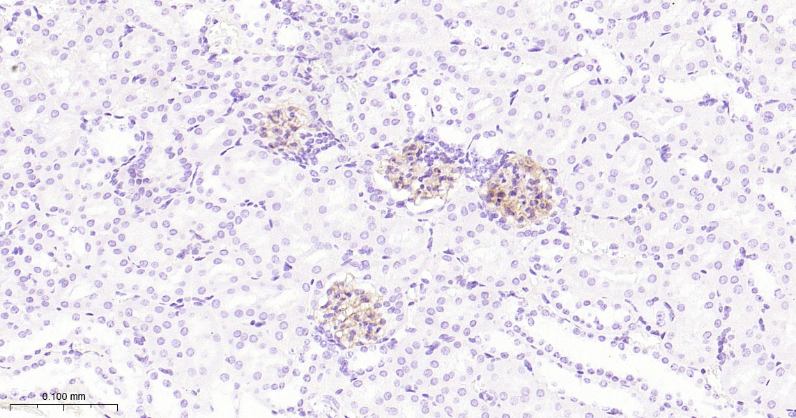
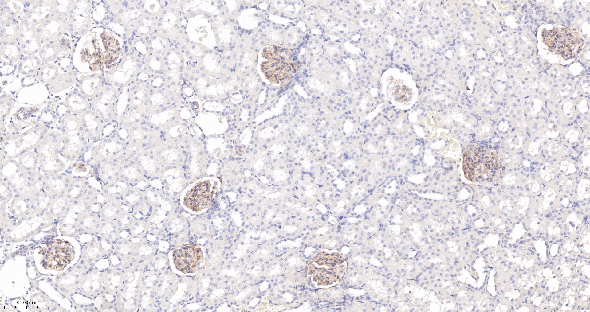
Product Name ZO-1/TJP1 Recombinant Antibody
Applications FCM, IHC-P, IHC-F, IF(IHC-P), IF(ICC)
Reactivity Human, Mouse, Rat
Specifications
Conjugation Unconjugated
Host Rabbit
Source Recombinant human ZO-1 protein
Clonality Recombinant
Isotype IgG
Concentration 1mg/ml
Purification Purified by Protein A.
Storage Buffer 0.01M TBS (pH7.4) with 1% BSA, 0.02% Proclin300 and 50% Glycerol.
Storage Condition Shipped at 4C. Store at -20C for one year. Avoid repeated freeze/thaw cycles.
Target
Gene ID 7082
Swiss Prot Q07157
Subcellular location Cytoplasm, Cell membrane
Synonyms ZO1_HUMAN; Tight junction protein ZO-1; ZO1; Tight junction protein 1; Zona occludens protein 1; Zonula occludens protein 1; ZO1 tight junction protein
Application Dilution
FCM 1ug/Test
IHC-P IHC-P1:200-500
IHC-F IHC-F1:200-500
IF(IHC-P) IFIHC-P1:200-500
IF(ICC) IFICC1:100-200