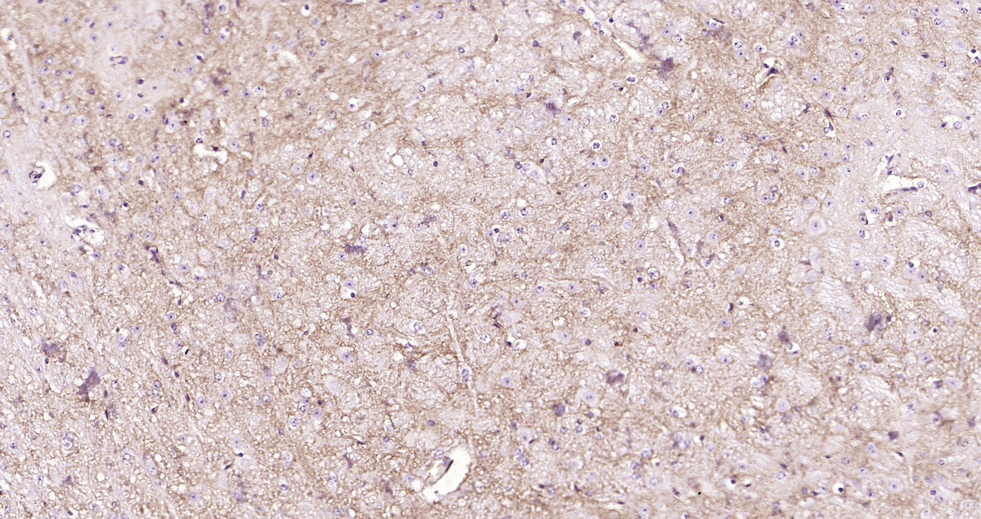
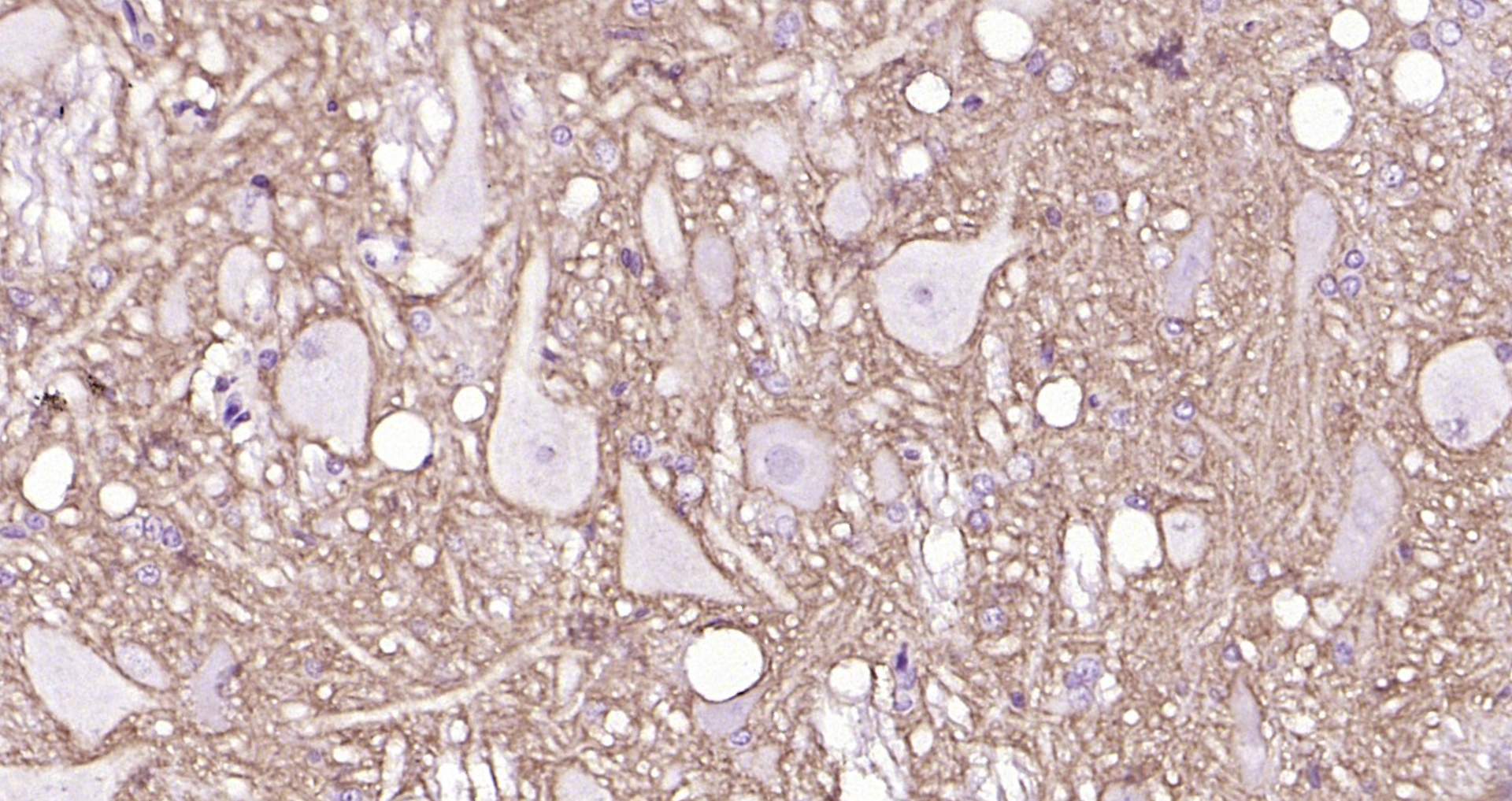
GPR84 Recombinant Antibody
Applications
Reactivity
| Overview | |
| Catalog # | bsm-42242r |
| Product Name | GPR84 Recombinant Antibody |
| Applications | IHC |
| Reactivity | Human |
| Specifications | |
| Conjugation | Unconjugated |
| Host | Rabbit |
| Source | Recombinant human GPR84 protein |
| Immunogen Range | 202-320/396 |
| Clonality | Recombinant |
| Isotype | IgG |
| Concentration | 1ug/ul |
| Purification | Purified by Protein A. |
| Storage Buffer | 0.01M TBS (pH 7.4), 1% BSA, 0.02% Proclin 300, and 50% Glycerol |
| Storage Condition | Shipped at 4C. Store at -20C for one year. Avoid repeated freeze/thaw cycles. |
| Target | |
| Gene ID | 53831 |
| Swiss Prot | Q9NQS5 |
| Subcellular location | Cell membrane |
| Synonyms | G protein coupled receptor 84; G-protein coupled receptor 84; G protein coupled receptor EX33; GPCR 4; GPCR4; GPR 84; GPR84_HUMAN; GPR84 (EX33); EX33; Inflammation related G protein coupled receptor EX33; Inflammation-related G-protein coupled receptor EX33; GPCR EX33; EX 33; GPCR GPR84; |
| Background | G protein-coupled receptors (GPCRs), also designated seven transmembrane (7TM) receptors and heptahelical receptors, are a protein family which interact with G proteins (heterotrimeric GTPases) to synthesize intracellular second messengers such as diacylglycerol, cyclic AMP, inositol phosphates, and calcium ions. Their diverse biological functions range from vision and olfaction to neuronal and endocrine signaling and are involved in many pathological conditions. G protein receptor 84 (GPR84), a member of the GCPR 1 family, is an orphan GCPR expressed in bone marrow, brain, heart, muscle, colon, thymus, spleen, kidney, liver, placenta, intestine, lung and peripheral blood leukocytes. In activated T cells, GPR84 regulates early interleukin-4 (IL-4) gene expression |
| Application Dilution | |
| IHC | |