Receive 30% off all Monoclonal IHC antibodies with code "MONO-IHC-30"! Offer valid for US customers and available internationally through distributors.

IL7R/CD127 Monoclonal Antibody

Applications

  • IHC-P
  • IHC-F
  • IF

Reactivity

  • Human
Overview
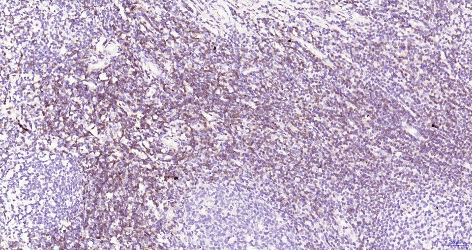
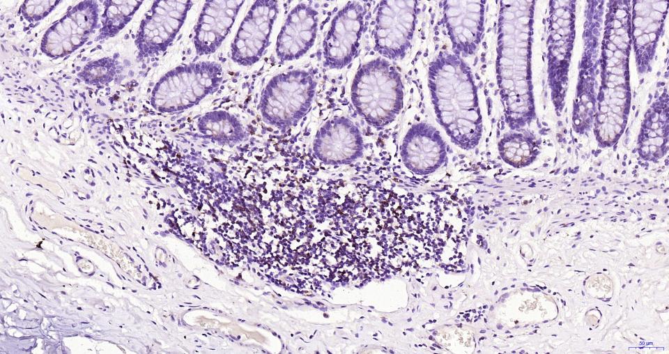
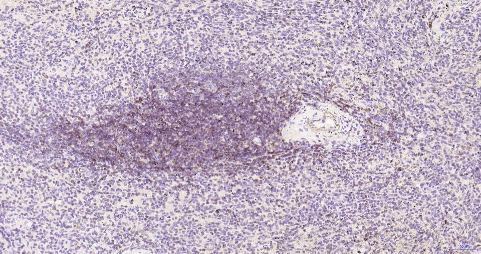
Catalog # bsm-43043m
Product Name IL7R/CD127 Monoclonal Antibody
Applications IHC-P, IHC-F, IF
Reactivity Human
Specifications
Conjugation Unconjugated
Host Mouse
Source Recombinant human IL-7R Alpha / CD127 protein
Clonality Monoclonal
Concentration 1ug/ul
Purification Purified by Protein A.
Storage Buffer 0.01M TBS(pH7.4) with 1% BSA, 0.02% Proclin300 and 50% Glycerol.
Storage Condition Shipped at 4C. Store at -20C for one year. Avoid repeated freeze/thaw cycles.
Target
Gene ID 3575
Swiss Prot P16871
Subcellular location Secreted, Cell membrane
Synonyms IL-7Rα; IL-7Ra; Interleukin-7 receptor subunit alpha; CD 127; CD127; CD127 antigen; CDW127; IL 7R alpha; IL 7R; IL-7 receptor subunit alpha; IL-7R subunit alpha; IL-7R-alpha; IL7RA; IL7Ralpha; Interleukin 7 receptor alpha chain; Interleukin 7 receptor; Interleukin 7 receptor isoform H5 6; IL7RA_HUMAN.
Background Receptor for interleukin-7. Also acts as a receptor for thymic stromal lymphopoietin (TSLP).
Application Dilution
IHC-P 1:200-400
IHC-F 1:100-500
IF