Receive 30% off all Monoclonal IHC antibodies with code "MONO-IHC-30"! Offer valid for US customers and available internationally through distributors.

PD-L1 Recombinant Antibody

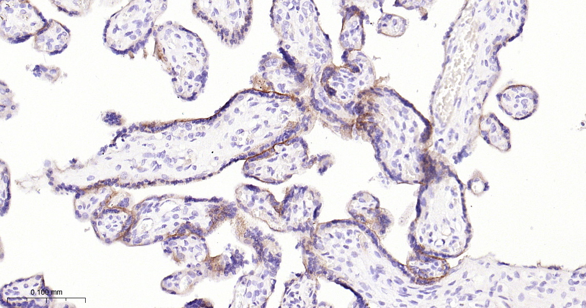
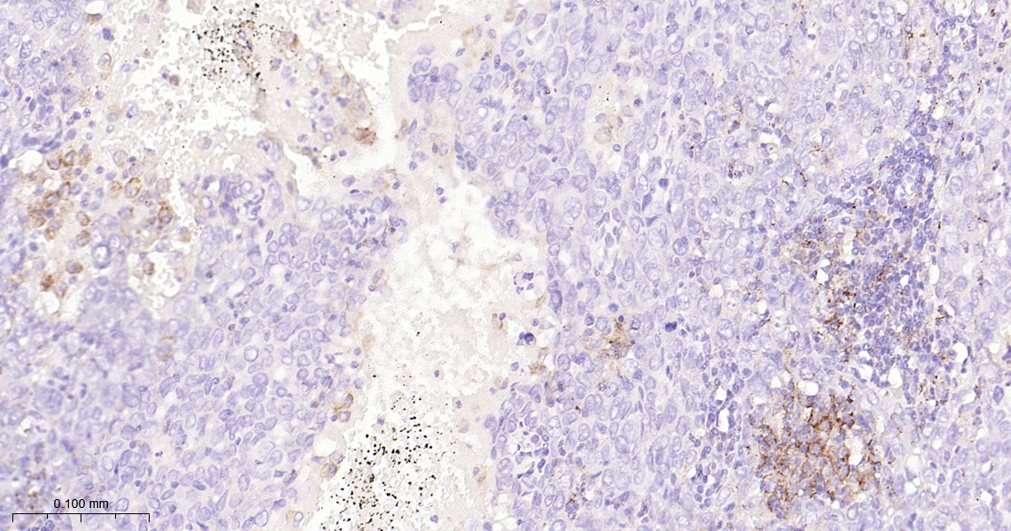
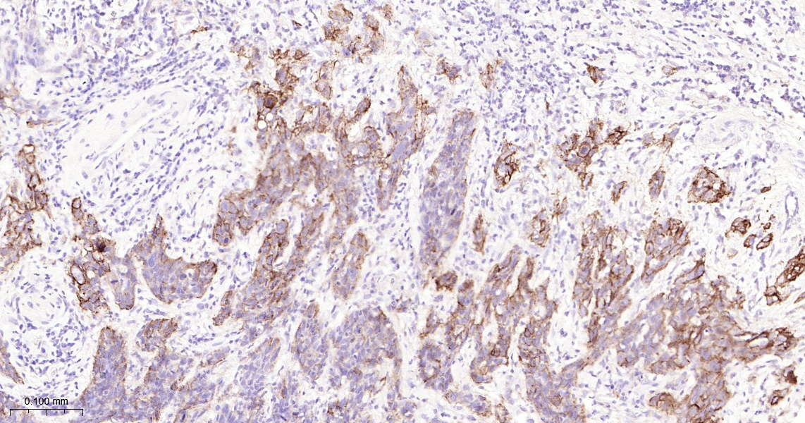
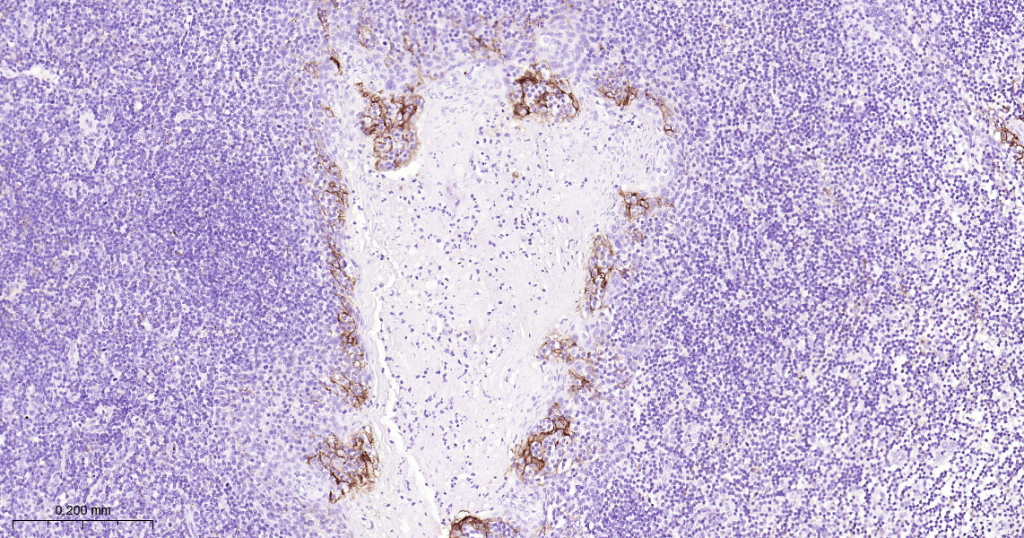
Applications

  • WB
  • IHC-P
  • IHC-F
  • IF
  • ICC/IF

Reactivity

  • Human
Overview
Catalog # bsm-43073r
Product Name PD-L1 Recombinant Antibody
Applications WB, IHC-P, IHC-F, IF, ICC/IF
Reactivity Human
Specifications
Conjugation Unconjugated
Host Rabbit
Source Recombinant human PD-L1 protein
Clonality Recombinant
Isotype IgG
Concentration 1mg/ml
Purification Purified by Protein A.
Storage Buffer 0.01M TBS (pH7.4) with 1% BSA, 0.02% Proclin300 and 50% Glycerol.
Storage Condition Shipped at 4C. Store at -20C for one year. Avoid repeated freeze/thaw cycles.
Target
Gene ID 29126
Swiss Prot Q9NZQ7
Subcellular location Secreted, Extracellular matrix
Synonyms Programmed cell death 1 ligand 1; CD274; B7 H; B7 H1; B7 homolog 1; B7-H1; B7H; B7H1; CD 274; CD274 antigen; CD274 molecule; MGC142294; MGC142296; OTTHUMP00000021029; PD L1; PD1L1_HUMAN; PD1L1_Mouse; PDCD1 ligand 1; PDCD1L1; PDCD1LG1; PDL 1; PDL1; Programmed death ligand 1; RGD1566211.
Application Dilution
WB 1:300-5000
IHC-P 1:200-400
IHC-F 1:100-500
IF
ICC/IF 1:50-100