Receive 30% off all Monoclonal IHC antibodies with code "MONO-IHC-30"! Offer valid for US customers and available internationally through distributors.

SERPINB3 Monoclonal Antibody

Applications

  • IHC-P
  • IHC-F
  • IF

Reactivity

  • Human
Overview
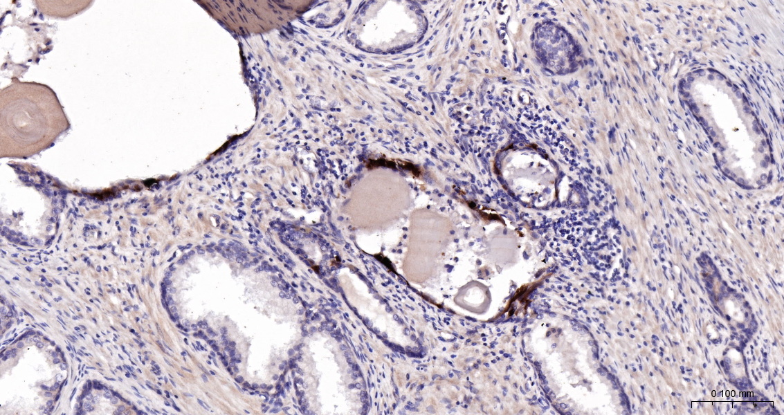
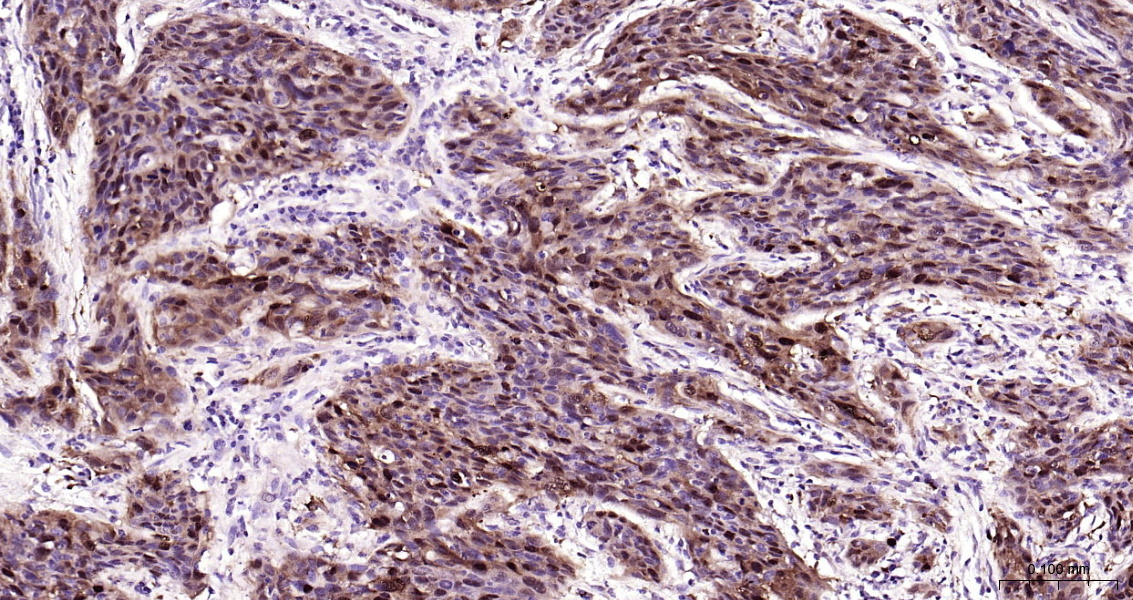
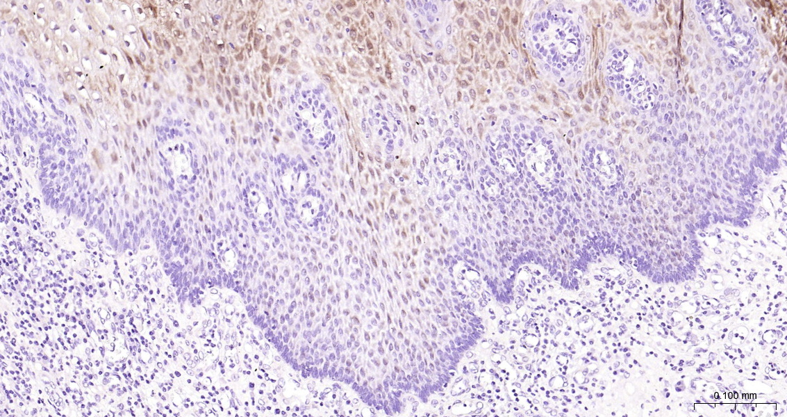
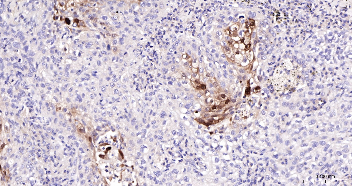
Catalog # bsm-43190m
Product Name SERPINB3 Monoclonal Antibody
Applications IHC-P, IHC-F, IF
Reactivity Human
Specifications
Conjugation Unconjugated
Host Mouse
Source Recombinant human SERPINB3 protein
Clonality Monoclonal
Clone # 8C9
Isotype IgG
Concentration 1mg/ml
Purification Purified by Protein A.
Storage Buffer 0.01M TBS (pH7.4) with 1% BSA, 0.02% Proclin300 and 50% Glycerol.
Storage Condition Shipped at 4C. Store at -20C for one year. Avoid repeated freeze/thaw cycles.
Target
Gene ID 6317
Swiss Prot P29508
Subcellular location Cytoplasm, Secreted
Synonyms HsT1196; Protein T4 A; Protein T4-A; SCC; SCCA PD; SCCA-1; SCCA1; SCCAPD; Serine (or cysteine) proteinase inhibitor clade B (ovalbumin) member 3; Serpin B3; Serpin peptidase inhibitor clade B (ovalbumin) member 3; SERPINB3; SPB3_HUMAN; Squamous cell carcinoma antigen 1; T4 A; T4A.
Application Dilution
IHC-P 1:200-400
IHC-F 1:100-500
IF