NGFR Monoclonal Antibody
Applications
Reactivity
| Overview | |
| Catalog # | bsm-43637m-100ul |
| Product Name | NGFR Monoclonal Antibody |
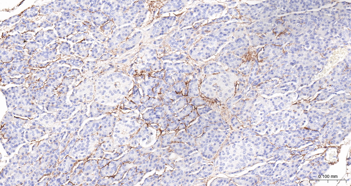
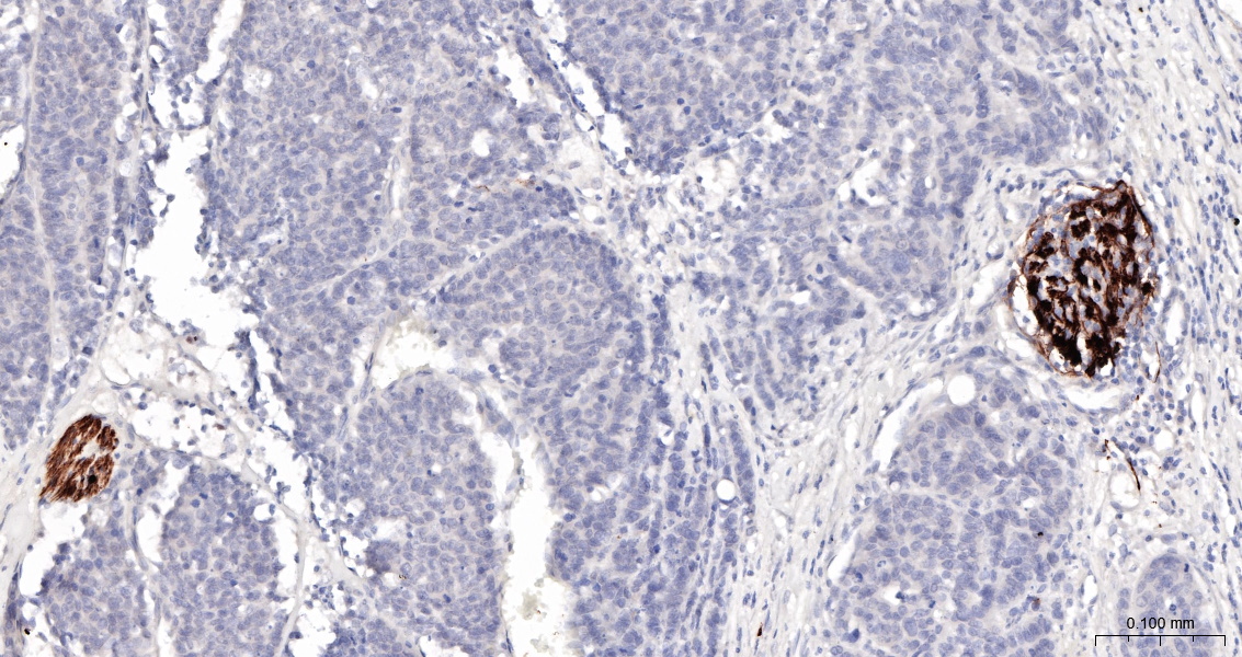
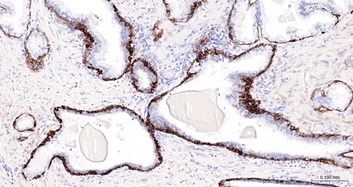
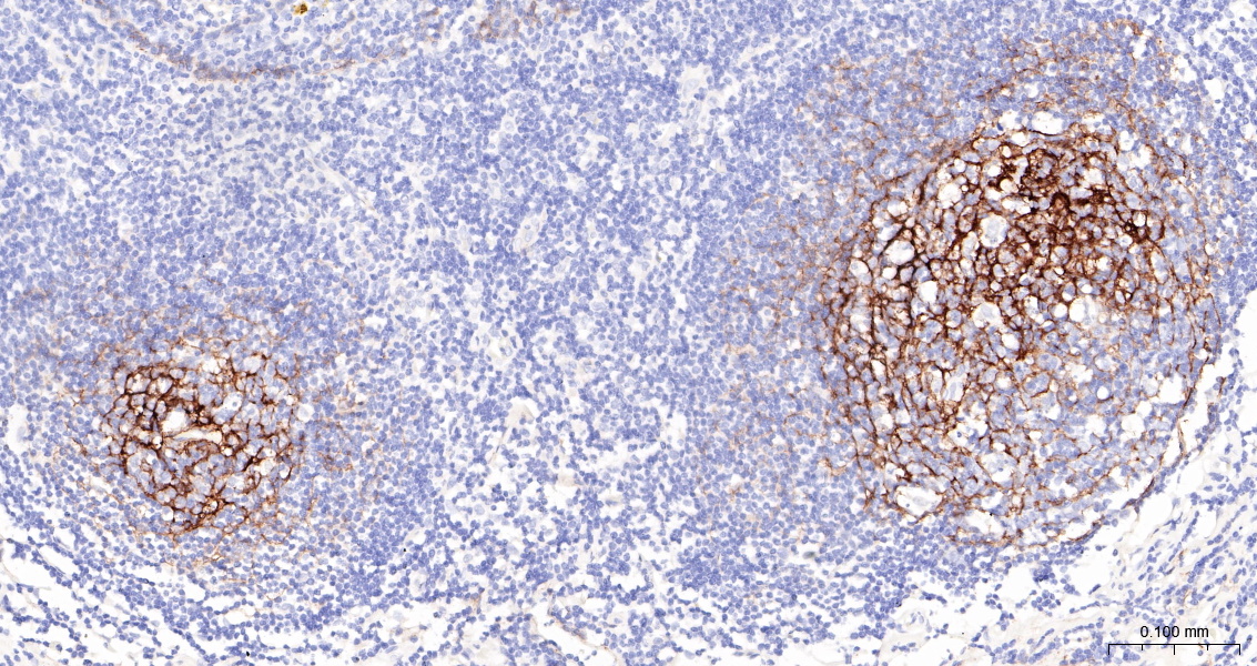
| Applications | IHC-P, IHC-F, IF(IHC-P) |
| Reactivity | Human |
| Specifications | |
| Conjugation | Unconjugated |
| Host | Mouse |
| Source | Recombinant human NGFR protein |
| Clonality | Monoclonal |
| Clone # | 7G1 |
| Concentration | 1mg/ml |
| Purification | Purified by Protein A. |
| Storage Buffer | 0.01M PBS(pH7.4). |
| Storage Condition | Shipped at 4C. Store at -20C for one year. Avoid repeated freeze/thaw cycles. |
| Target | |
| Gene ID | 4804 |
| Swiss Prot | P08138 |
| Subcellular location | Cytoplasm, Cell membrane |
| Synonyms | TNR16_HUMAN; Tumor necrosis factor receptor superfamily member 16; Gp80-LNGFR; Low affinity neurotrophin receptor p75NTR; Low-affinity nerve growth factor receptor(NGF receptor 1 Publication); p75 ICD; CD271; TNFRSF16; p75NTR; p75(NTR); Gp80-LNGFR; p75 NGF Receptor; |
| Application Dilution | |
| IHC-P | 1:100-500 |
| IHC-F | IHC-F1:100-500 |
| IF(IHC-P) | IFIHC-P1:100-500 |