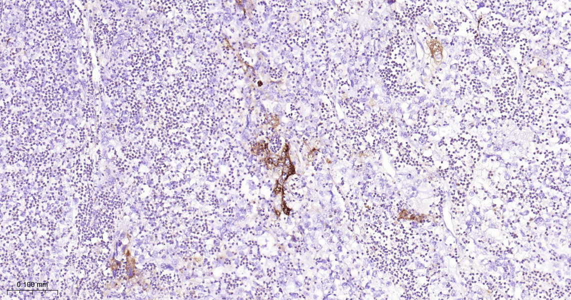
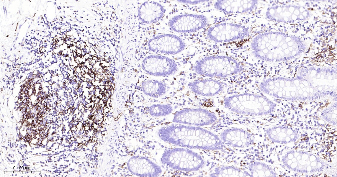
HLA-DRA Monoclonal Antibody
Applications
Reactivity
| Overview | |
| Catalog # | bsm-51091m-100ul |
| Product Name | HLA-DRA Monoclonal Antibody |
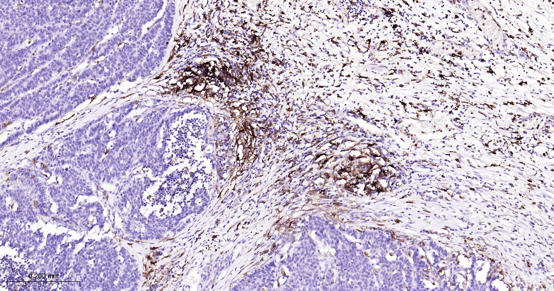
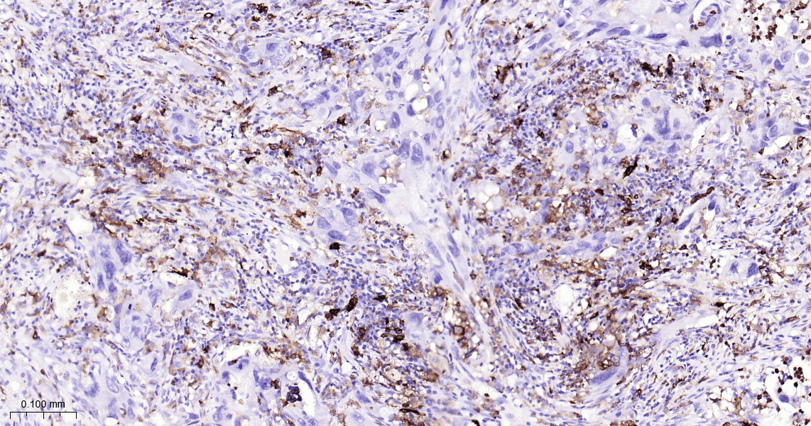
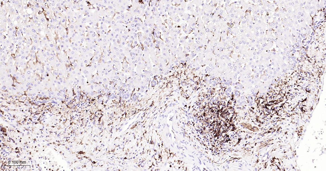
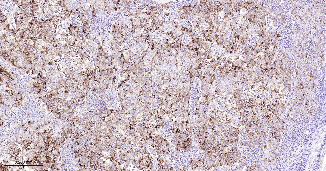
| Applications | WB, IHC-P, IHC-F |
| Reactivity | Human |
| Specifications | |
| Conjugation | Unconjugated |
| Host | Mouse |
| Source | KLH conjugated synthetic peptide derived from human HLA-DRA |
| Clonality | Monoclonal |
| Clone # | 30C2 |
| Isotype | IgM |
| Concentration | 1mg/ml |
| Purification | Purified by Protein A. |
| Storage Buffer | 0.01M TBS (pH7.4) with 1% BSA, 0.02% Proclin300 and 50% Glycerol. |
| Storage Condition | Shipped at 4C. Store at -20C for one year. Avoid repeated freeze/thaw cycles. |
| Target | |
| Gene ID | 3122 |
| Swiss Prot | P01903 |
| Subcellular location | Cytoplasm, Cell membrane |
| Synonyms | DR alpha chain precursor; DRB1; DRB4; HLA class II histocompatibility antigen; HLA class II histocompatibility antigen DR alpha chain; HLA DR1B; HLA DR3B; HLA DRA; HLA DRA1; HLA DRB3; HLA DRB4; HLA DRB5; HLADR4B; HLADRA1; HLADRB; Major histocompatibility complex class II DR alpha; Major histocompatibility complex class II DR beta 1; Major histocompatibility complex class II DR beta 3; Major histocompatibility complex class II DR beta 4; Major histocompatibility complex class II DR beta 5; MGC117330; MHC cell surface glycoprotein; MHC class II antigen DRA; MHC II; DRA_HUMAN. |
| Application Dilution | |
| WB | 1:500-2000 |
| IHC-P | IHC-P1:50-200 |
| IHC-F | IHC-F1:50-200 |