RECEIVE 25% OFF PUBLISHED ANTIBODIES WITH CODE "PUB25"! Offer valid for US customers and available internationally through distributors.

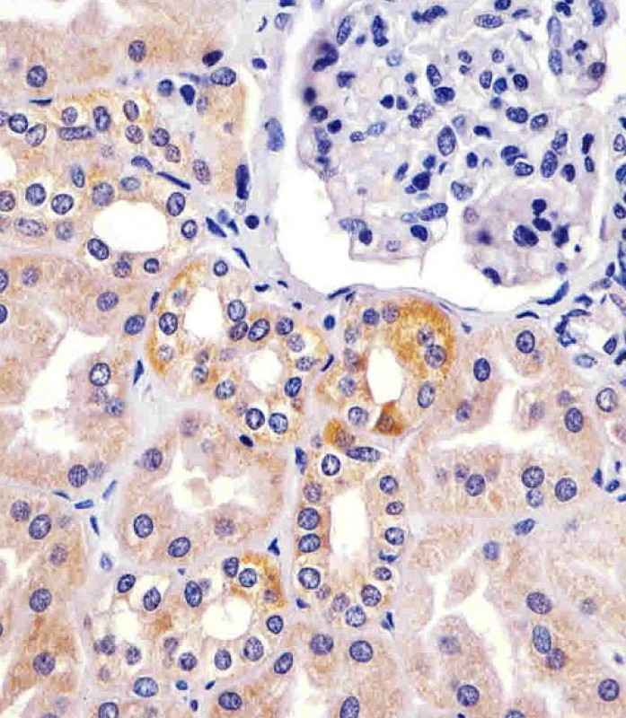
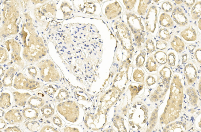
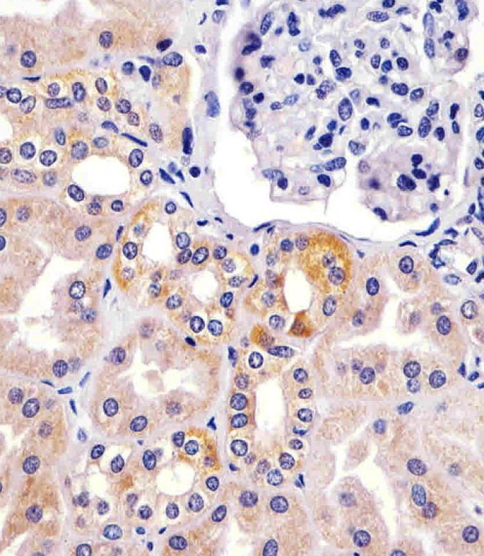
TIMP-2 (4C7) Monoclonal Antibody

Applications

  • WB
  • FCM
  • IHC-P
  • IF(ICC)
  • IF

Reactivity

  • Human
Overview
Catalog # bsm-51320M
Product Name TIMP-2 (4C7) Monoclonal Antibody
Applications WB, FCM, IHC-P, IF(ICC), IF
Reactivity Human
Specifications
Conjugation Unconjugated
Host Mouse
Source This TIMP2 antibody is generated from a mouse immunized with arecombinant protein of human TIMP2.
Clonality Monoclonal
Clone # #REF!
Isotype IgG1
Concentration 0.5ug/ul
Purification Purified by Protein G.
Storage Buffer 0.01M TBS(pH7.4) with 1% BSA, 0.02% Proclin300 and 50% Glycerol.
Storage Condition Shipped at 4_. Store at -20_ for one year. Avoid repeated freeze/thaw cycles.
Target
Gene ID 7077
Swiss Prot P16035
Synonyms DDC8; CSC-21K; Metalloproteinase inhibitor 2; Tissue inhibitor of metalloproteinases 2; TIMP-2; TIMP2
Background Complexes with metalloproteinases (such as collagenases) and irreversibly inactivates them by binding to their catalytic zinc cofactor. Known to act on MMP-1, MMP-2, MMP-3, MMP-7, MMP-8, MMP-9, MMP-10, MMP-13, MMP-14, MMP-15, MMP-16 and MMP-19.
Application Dilution
WB 1:300-5000
FCM 1:20-100
IHC-P 1:200-400
IF(ICC) 1:50-200
IF