Receive 30% off all Monoclonal IHC antibodies with code "MONO-IHC-30"! Offer valid for US customers and available internationally through distributors.

S100A2 Monoclonal Antibody

Applications

  • IHC-P
  • IHC-F
  • IF

Reactivity

  • Human
Overview
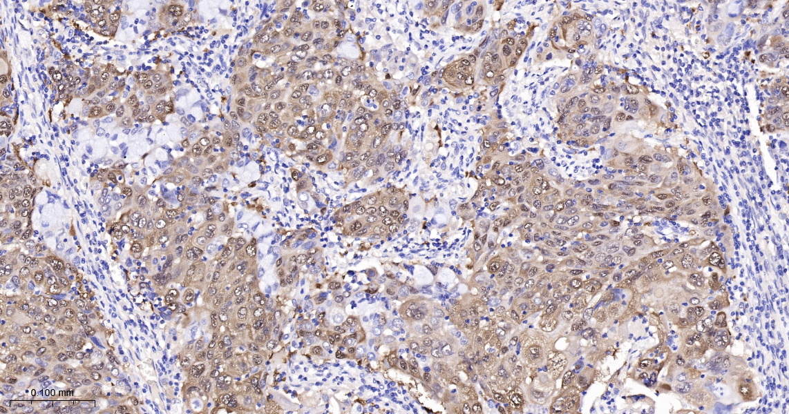
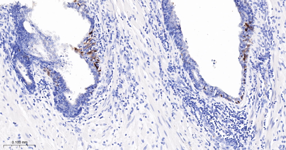
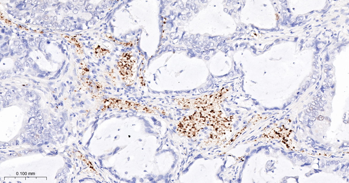
Catalog # bsm-51330m
Product Name S100A2 Monoclonal Antibody
Applications IHC-P, IHC-F, IF
Reactivity Human
Specifications
Conjugation Unconjugated
Host Mouse
Source KLH conjugated synthetic peptide derived from human S100A2
Clonality Monoclonal
Clone # 7G5
Isotype IgG1
Concentration 1mg/ml
Purification Purified by Protein A.
Storage Buffer 0.01M TBS (pH7.4) with 1% BSA, 0.02% Proclin300 and 50% Glycerol.
Storage Condition Shipped at 4C. Store at -20C for one year. Avoid repeated freeze/thaw cycles.
Target
Gene ID 6273
Swiss Prot P29034.3
Subcellular location Cytoplasm
Synonyms S100 calcium binding protein A2; CAN19; MGC111539; Protein S 100L; Protein S-100L; Protein S100 A2; Protein S100-A2; Protein S100L; S100 A2; S100 calcium-binding protein A2; S100A2; S100L; S10A2_HUMAN.
Application Dilution
IHC-P 1:200-400
IHC-F 1:100-500
IF