RECEIVE 25% OFF PUBLISHED ANTIBODIES WITH CODE "PUB25"! Offer valid for US customers and available internationally through distributors.

PGK1 Monoclonal Antibody

Applications

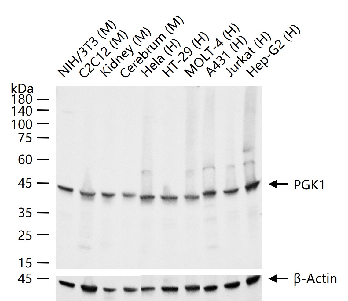
  • WB
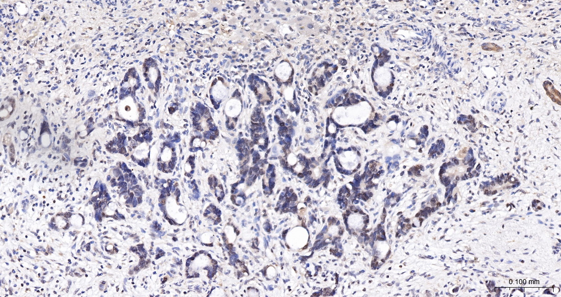
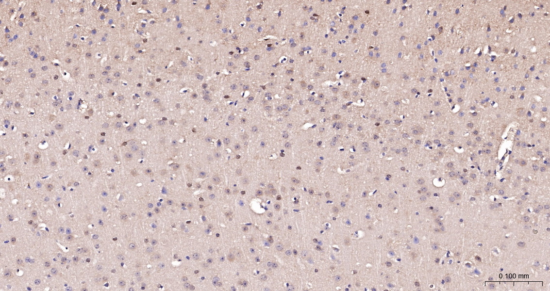
  • IHC-P
  • IHC-F
  • IF(IHC-P)

Reactivity

  • Human
  • Mouse
Overview
Catalog # bsm-51374m-100ul
Product Name PGK1 Monoclonal Antibody
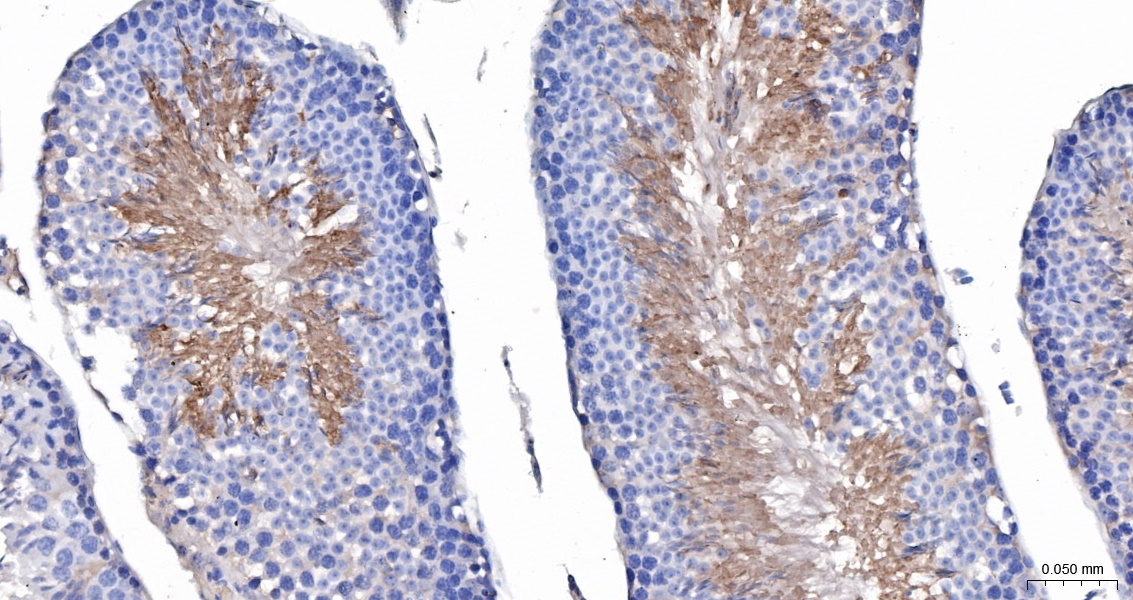
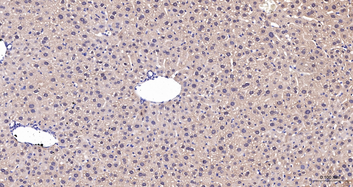
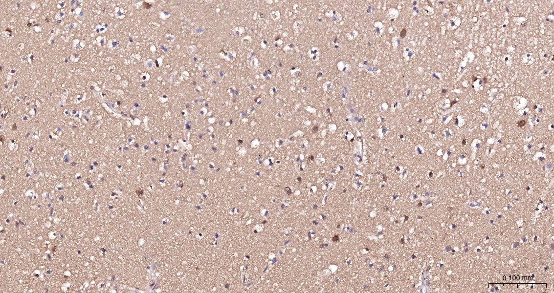
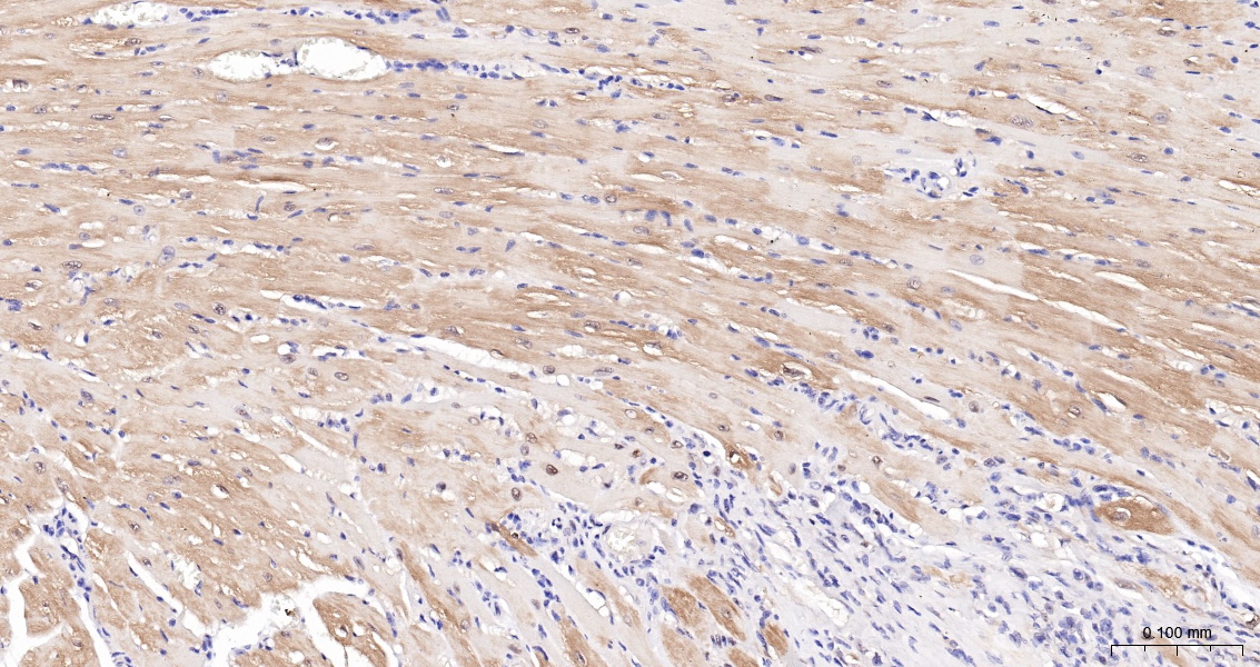
Applications WB, IHC-P, IHC-F, IF(IHC-P)
Reactivity Human, Mouse
Specifications
Conjugation Unconjugated
Host Mouse
Source This antibody is generated from a mouse immunized with a KLH conjugated synthetic peptide between 1-417 amino acids from human.
Immunogen Range 1-417/417
Clonality Monoclonal
Clone # 6C1
Isotype IgG2a
Concentration 0.5ug/ul
Purification Purified by Protein G.
Storage Buffer 0.01M TBS(pH7.4) with 1% BSA, 0.02% Proclin300 and 50% Glycerol.
Storage Condition Shipped at 4C. Store at -20C for one year. Avoid repeated freeze/thaw cycles.
Target
Gene ID 5230
Swiss Prot P00558
Synonyms PGKA; MIG10; HEL-S-68p; Phosphoglycerate kinase 1; Cell migration-inducing gene 10 protein; Primer recognition protein 2; PRP 2; PGK1; OK/SW-cl.110
Background In addition to its role as a glycolytic enzyme, it seems that PGK-1 acts as a polymerase alpha cofactor protein (primer recognition protein) (PubMed:2324090). May play a role in sperm motility (PubMed:26677959).
Application Dilution
WB 1:500-2000
IHC-P IHC-P1:100-500
IHC-F IHC-F1:100-500
IF(IHC-P) IFIHC-P1:100-500