RECEIVE 25% OFF PUBLISHED ANTIBODIES WITH CODE "PUB25"! Offer valid for US customers and available internationally through distributors.

BCL10 (5C2) Monoclonal Antibody

Applications

  • WB
  • FCM
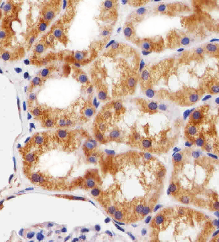
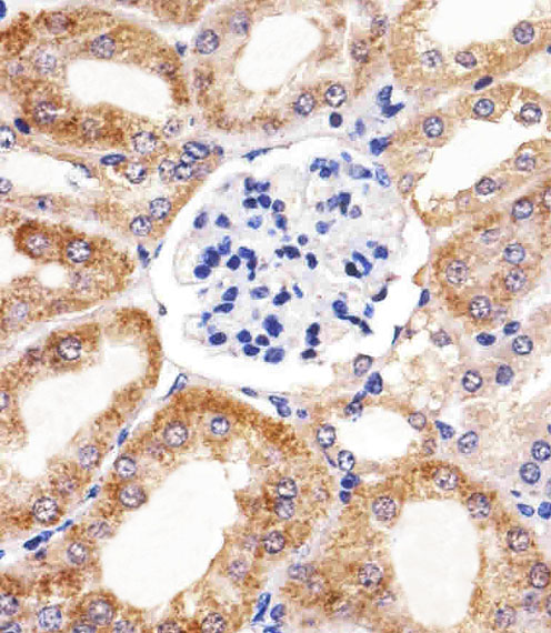
  • IHC-P
  • IF

Reactivity

  • Human
Overview
Catalog # bsm-51398M
Product Name BCL10 (5C2) Monoclonal Antibody
Applications WB, FCM, IHC-P, IF
Reactivity Human
Specifications
Conjugation Unconjugated
Host Mouse
Source This BCL10 antibody is generated from a mouse immunized with a KLH conjugated synthetic peptide between 1-143 amino acids from the human region of human BCL10.
Clonality Monoclonal
Clone # #REF!
Isotype IgG1
Concentration 0.5ug/ul
Purification Purified monoclonal antibody supplied in PBS with 0.09% (W/V) sodium azide. This antibody is purified through a protein G column, followed by dialysis against PBS.
Storage Buffer 0.01M TBS(pH7.4) with 1% BSA, 0.02% Proclin300 and 50% Glycerol.
Storage Condition Store at -20C for 12 months.
Target
Gene ID 8915
Swiss Prot O95999
Synonyms CLAP; mE10; CIPER; IMD37; c-E10; CARMEN; B-cell lymphoma/leukemia 10; B-cell CLL/lymphoma 10; Bcl-10; CARD-containing molecule enhancing NF-kappa-B; CARD-like apoptotic protein; hCLAP; CED-3/ICH-1 prodomain homologous E10-like regulator; Cellular homolog of vCARMEN; cCARMEN; Cellular-E10; Mammalian CARD-containing adapter molecule E10; BCL10
Background Involved in adaptive immune response (PubMed:25365219). Promotes apoptosis, pro-caspase-9 maturation and activation of NF-kappa-B via NIK and IKK. May be an adapter protein between upstream TNFR1-TRADD-RIP complex and the downstream NIK-IKK-IKAP complex. Is a substrate for MALT1 (PubMed:18264101).
Application Dilution
WB 1:300-5000
FCM 1:20-100
IHC-P 1:200-400
IF