RECEIVE 25% OFF PUBLISHED ANTIBODIES WITH CODE "PUB25"! Offer valid for US customers and available internationally through distributors.

CHRM2 Monoclonal Antibody

Applications

  • WB
  • IHC-P
  • IHC-F
  • IF
  • Flow-Cyt
  • ICC/IF

Predicted Reactivity

  • Human
Overview
Catalog # bsm-51598m
Product Name CHRM2 Monoclonal Antibody
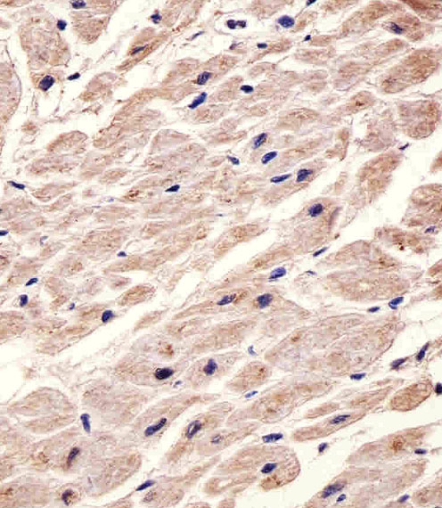
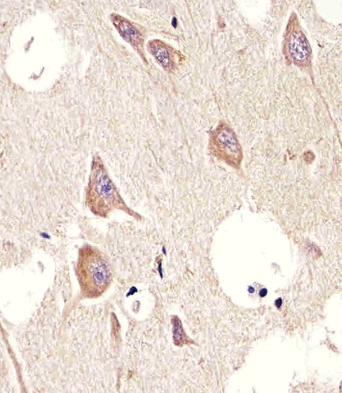
Applications WB, IHC-P, IHC-F, IF, Flow-Cyt, ICC/IF
Predicted Reactivity Human
Specifications
Conjugation Unconjugated
Host Mouse
Source Recombinant human ChRM2.
Clonality Monoclonal
Clone # #REF!
Concentration 0.5ug/ul
Storage Buffer 0.01M TBS(pH7.4) with 1% BSA, 0.02% Proclin300 and 50% Glycerol.
Storage Condition Shipped at 4_. Store at -20_ for one year. Avoid repeated freeze/thaw cycles.
Target
Gene ID 1129
Swiss Prot P08172
Subcellular location Cell membrane
Synonyms 7TM receptor; Acetylcholine receptor, muscarinic, 2; Acm2; Cholinergic receptor muscarinic 2; Cholinergic receptor, muscarinic 2, cardiac; Cholinergic receptor, muscarinic 2, isoform a; Cholinergic receptor, muscarinic 2a; Cholinergic receptor, muscarinic 2, isoform a; CHRM 2; chrm2a; CM2; FLJ43243; HM 2; HM2; M2; M2 muscarinic receptor; MGC120006; MGC120007; ACM2_HUMAN; Muscarinic acetylcholine receptor M2; Muscarinic M2 receptor; Acetylcholine receptor(M2).
Background The muscarinic acetylcholine receptor mediates various cellular responses, including inhibition of adenylate cyclase, breakdown of phosphoinositides and modulation of potassium channels through the action of G proteins. Primary transducing effect is adenylate cyclase inhibition.
Application Dilution
WB =1:200-500
IHC-P IHC-P=1:25
IHC-F IHC-F=1:25
IF IF=1:25
Flow-Cyt Flow-Cyt=1:25
ICC/IF ICC/IF=1:25