Receive 30% off all Monoclonal IHC antibodies with code "MONO-IHC-30"! Offer valid for US customers and available internationally through distributors.

14-3-3 sigma Monoclonal Antibody

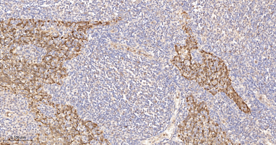
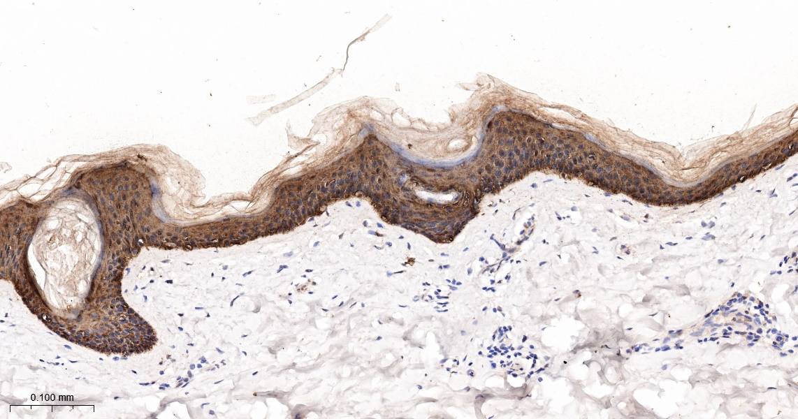
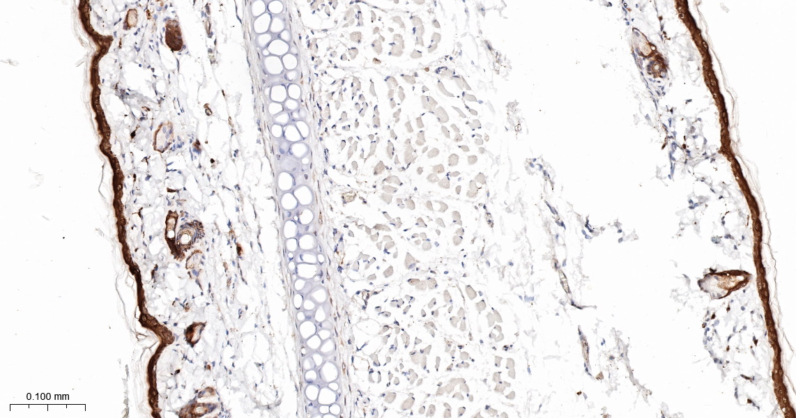
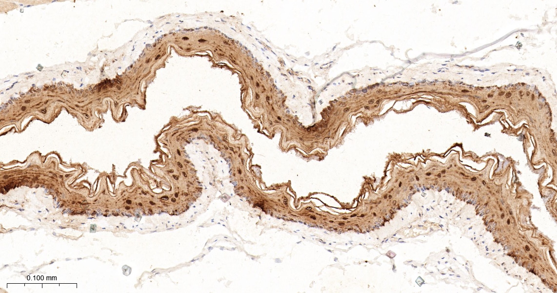
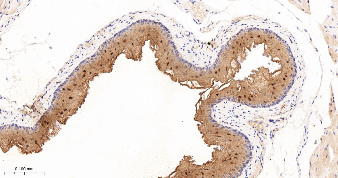
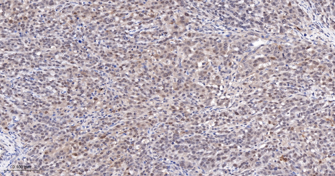
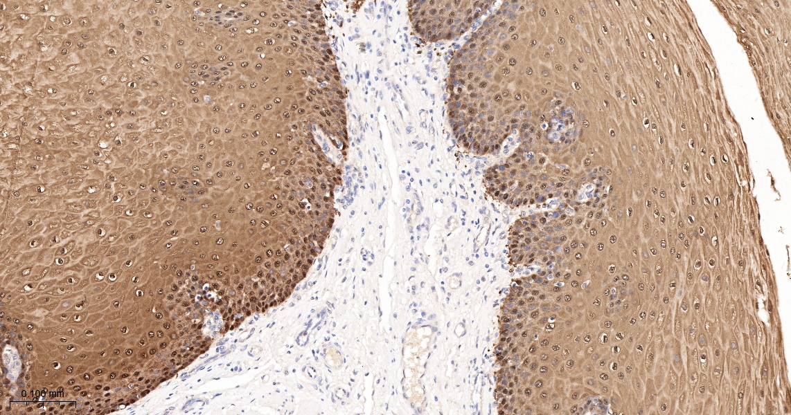
Applications

  • IHC-P
  • IHC-F
  • IF

Reactivity

  • Human
  • Mouse
  • Rat
Overview
Catalog # bsm-52005r
Product Name 14-3-3 sigma Monoclonal Antibody
Applications IHC-P, IHC-F, IF
Reactivity Human, Mouse, Rat
Specifications
Conjugation Unconjugated
Host Rabbit
Source Recombinant human 14-3-3 sigma protein, full length.
Clonality Monoclonal
Clone # 2E12
Isotype IgG
Concentration Lot Dependent
Purification Purified by Protein A.
Storage Buffer 0.01M TBS(pH7.4) with 1% BSA, 0.02% Proclin300 and 50% Glycerol.
Storage Condition Store at -20°C for 12 months.
Target
Gene ID 2810
Swiss Prot P31947
Synonyms 14-3-3 protein sigma; SFN; Epithelial cell marker protein 1; Stratifin; HME1
Background Adapter protein implicated in the regulation of a large spectrum of both general and specialized signaling pathways. Binds to a large number of partners, usually by recognition of a phosphoserine or phosphothreonine motif. Binding generally results in the modulation of the activity of the binding partner. When bound to KRT17, regulates protein synthesis and epithelial cell growth by stimulating Akt/mTOR pathway. May also regulate MDM2 autoubiquitination and degradation and thereby activate p53/TP53.1 Publication p53-regulated inhibitor of G2/M progression.
Application Dilution
IHC-P 1:200-400
IHC-F 1:100-500
IF