Receive 30% off all Monoclonal IHC antibodies with code "MONO-IHC-30"! Offer valid for US customers and available internationally through distributors.

ARF1 Recombinant Antibody

Applications

  • WB
  • IHC-P
  • IHC-F
  • IF
  • Flow-Cyt
  • ICC/IF

Reactivity

  • Human
  • Mouse
  • Rat
Overview
Catalog # bsm-52016r
Product Name ARF1 Recombinant Antibody
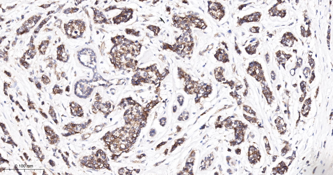
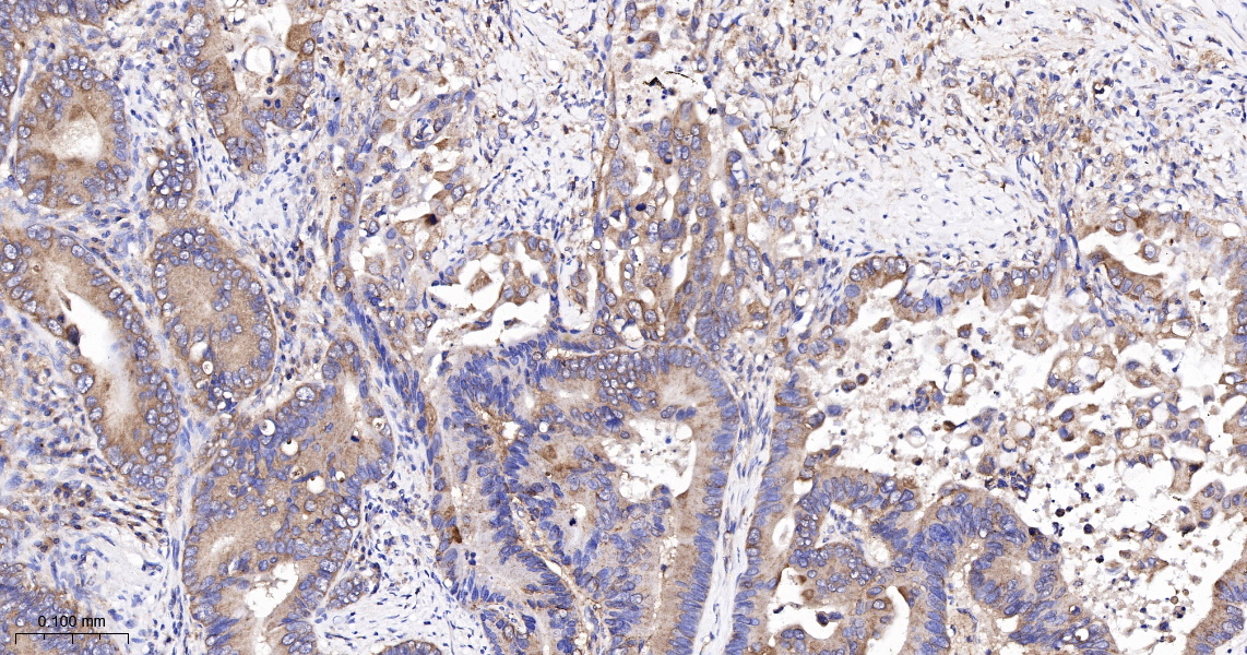
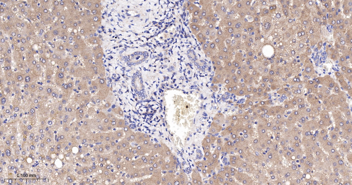
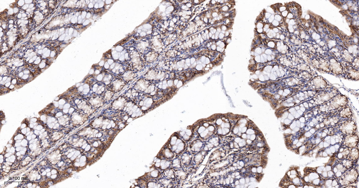
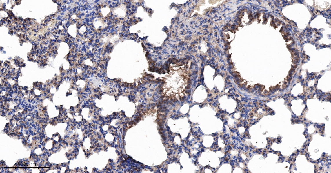
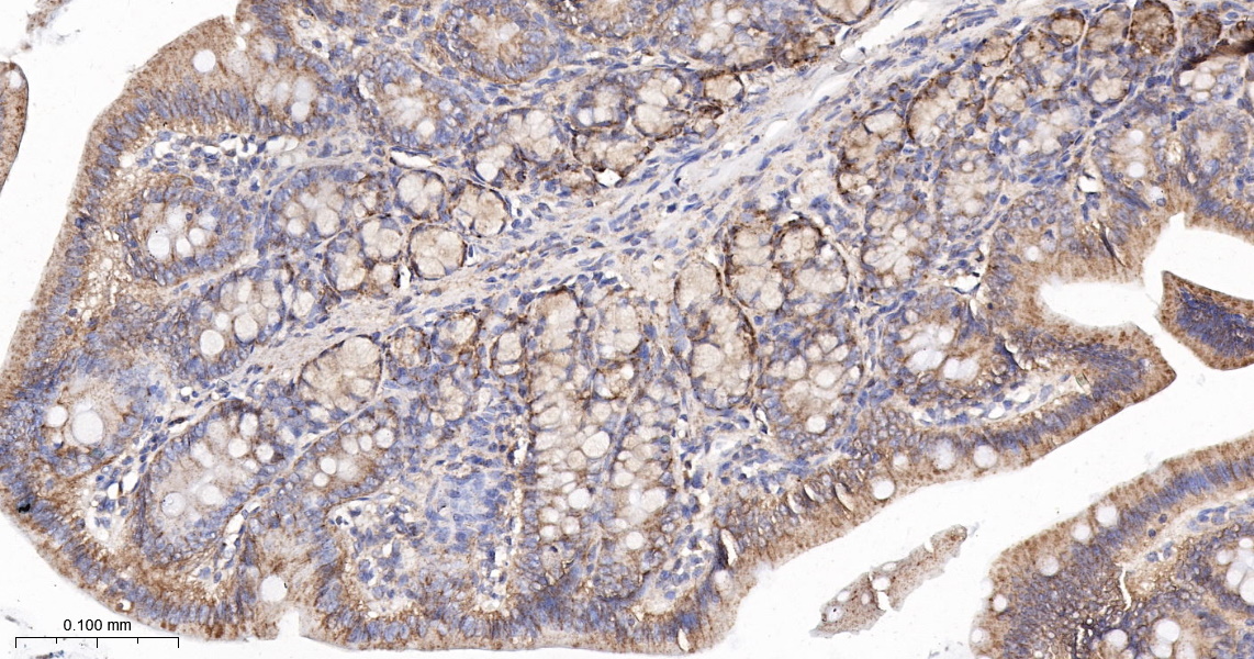
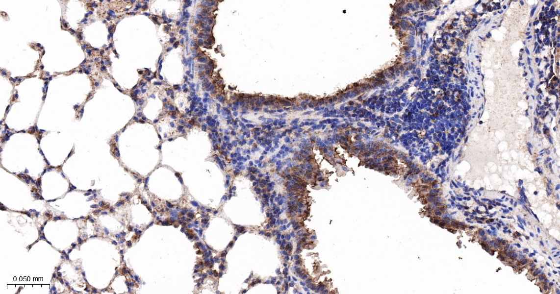
Applications WB, IHC-P, IHC-F, IF, Flow-Cyt, ICC/IF
Reactivity Human, Mouse, Rat
Specifications
Conjugation Unconjugated
Host Rabbit
Source Recombinant human ARF1 protein, full length.
Clonality Monoclonal
Clone # 1D4
Isotype IgG
Concentration Lot dependent
Purification Purified by Protein A.
Storage Buffer 0.01M TBS(pH7.4) with 1% BSA, 0.02% Proclin300 and 50% Glycerol.
Storage Condition Store at -20°C for 12 months.
Target
Gene ID 375
Swiss Prot P84077
Synonyms ADP-ribosylation factor 1; ARF1
Background GTP-binding protein that functions as an allosteric activator of the cholera toxin catalytic subunit, an ADP-ribosyltransferase. Involved in protein trafficking among different compartments. Modulates vesicle budding and uncoating within the Golgi complex. Deactivation induces the redistribution of the entire Golgi complex to the endoplasmic reticulum, suggesting a crucial role in protein trafficking. In its GTP-bound form, its triggers the association with coat proteins with the Golgi membrane. The hydrolysis of ARF1-bound GTP, which is mediated by ARFGAPs proteins, is required for dissociation of coat proteins from Golgi membranes and vesicles. The GTP-bound form interacts with PICK1 to limit PICK1-mediated inhibition of Arp2/3 complex activity; the function is linked to AMPA receptor (AMPAR) trafficking, regulation of synaptic plasicity of excitatory synapses and spine shrinkage during long-term depression (LTD).
Application Dilution
WB 1:300-5000
IHC-P 1:200-400
IHC-F 1:100-500
IF
Flow-Cyt 1ug/Test
ICC/IF 1:50-100