Receive 30% off all Monoclonal IHC antibodies with code "MONO-IHC-30"! Offer valid for US customers and available internationally through distributors.

Cytokeratin 13 Recombinant Antibody

Applications

  • WB
  • IHC-P
  • IHC-F
  • IF
  • ICC/IF

Reactivity

  • Human
  • Mouse
Overview
Catalog # bsm-52053r-TR
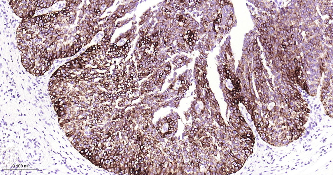
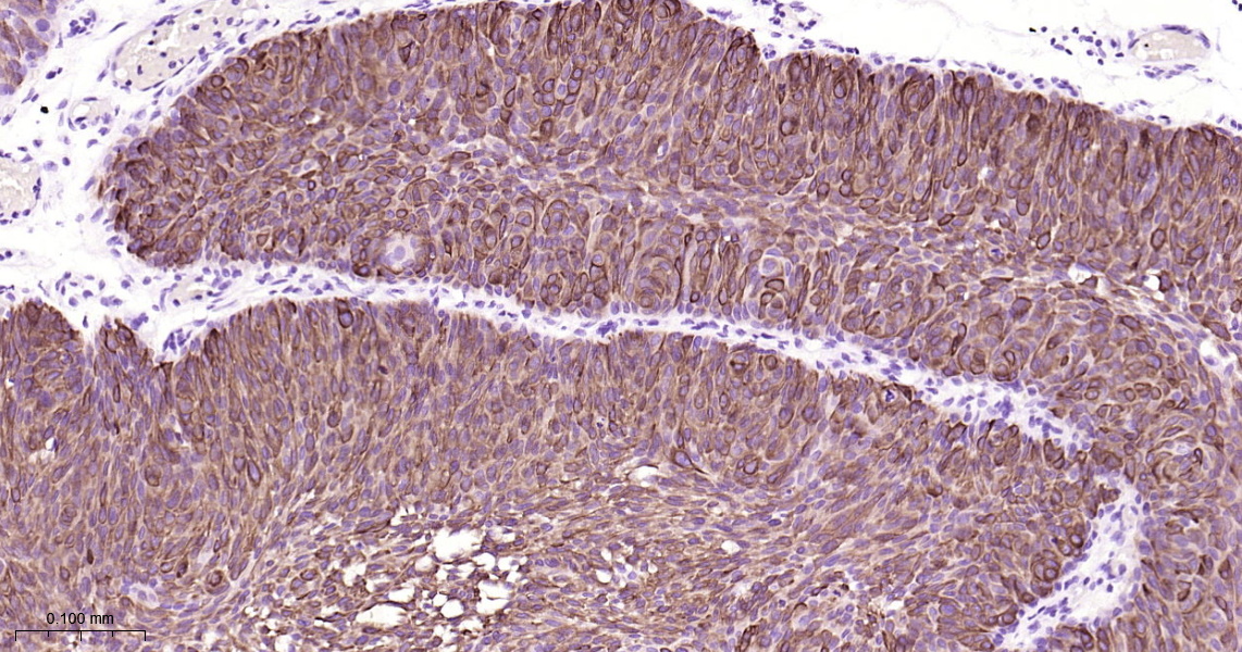
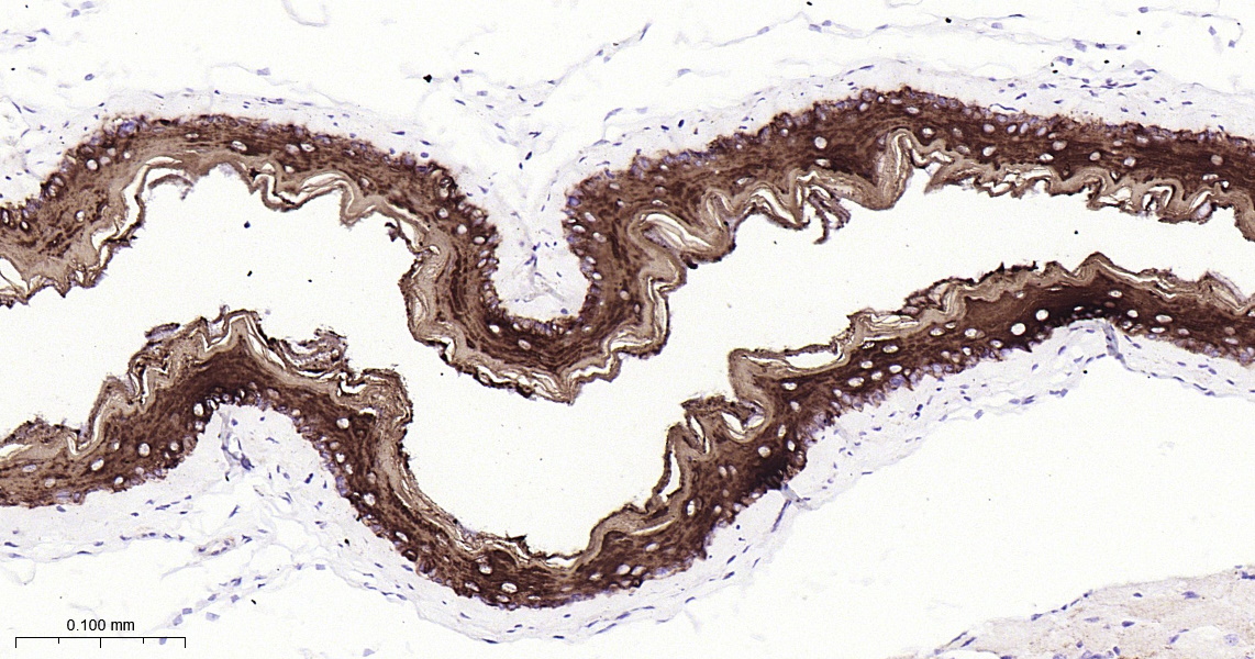
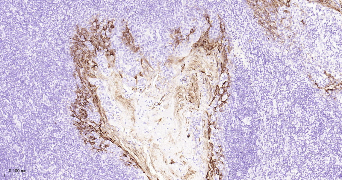
Product Name Cytokeratin 13 Recombinant Antibody
Applications WB, IHC-P, IHC-F, IF, ICC/IF
Reactivity Human, Mouse
Specifications
Conjugation Unconjugated
Host Rabbit
Source A synthesized peptide derived from human Cytokeratin 13
Clonality Recombinant
Isotype IgG
Concentration Lot dependent
Purification Purified by Protein A.
Storage Buffer 0.01M TBS(pH7.4) with 1% BSA, 0.02% Proclin300 and 50% Glycerol.
Storage Condition Shipped at 4C. Store at -20C for one year. Avoid repeated freeze/thaw cycles.
Target
Gene ID 3861
Swiss Prot P02533
Subcellular location Cytoplasm, Nucleus
Synonyms type I cytoskeletal 13; 47 kDa cytokeratin; CK-13; CK13; Cytokeratin-13; K13; K1C13_HUMAN; Ka13; Keratin 13; Keratin; keratin type I cytoskeletal 13; Keratin-13; Krt-1.13; Krt1-13; KRT13; MGC161462; MGC3781; Type I keratin Ka13; Keratin, type I cytoskeletal 13; K13.
Application Dilution
WB 1:300-5000
IHC-P 1:200-400
IHC-F 1:100-500
IF
ICC/IF 1:50-100