Receive 30% off all Monoclonal IHC antibodies with code "MONO-IHC-30"! Offer valid for US customers and available internationally through distributors.

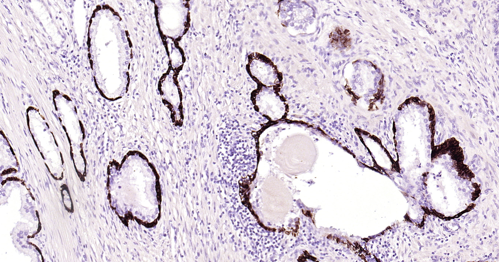
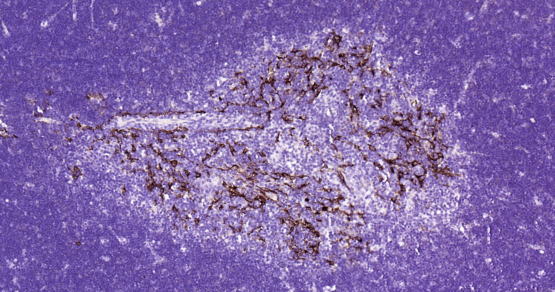
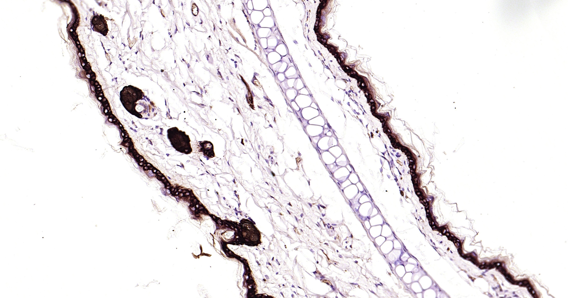
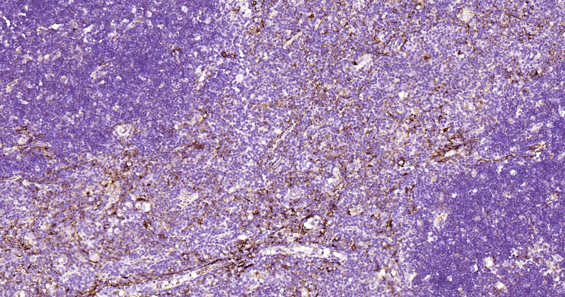
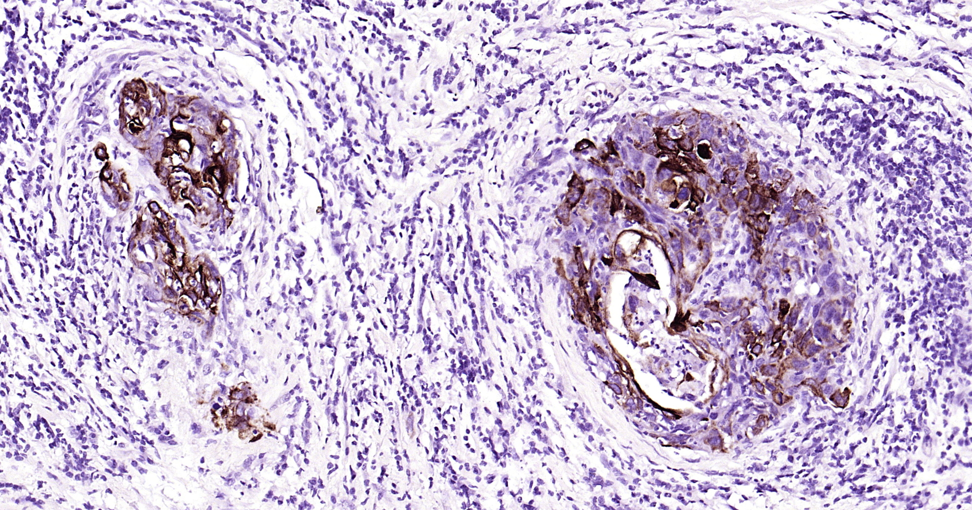
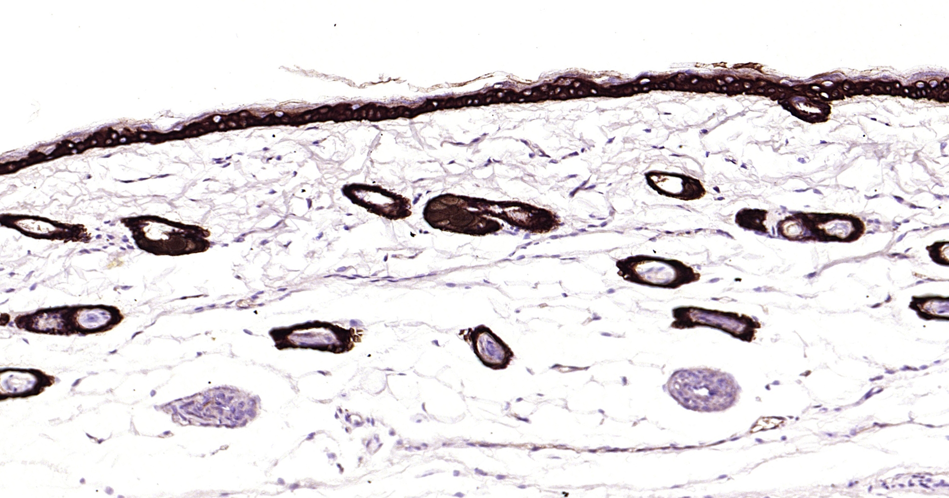
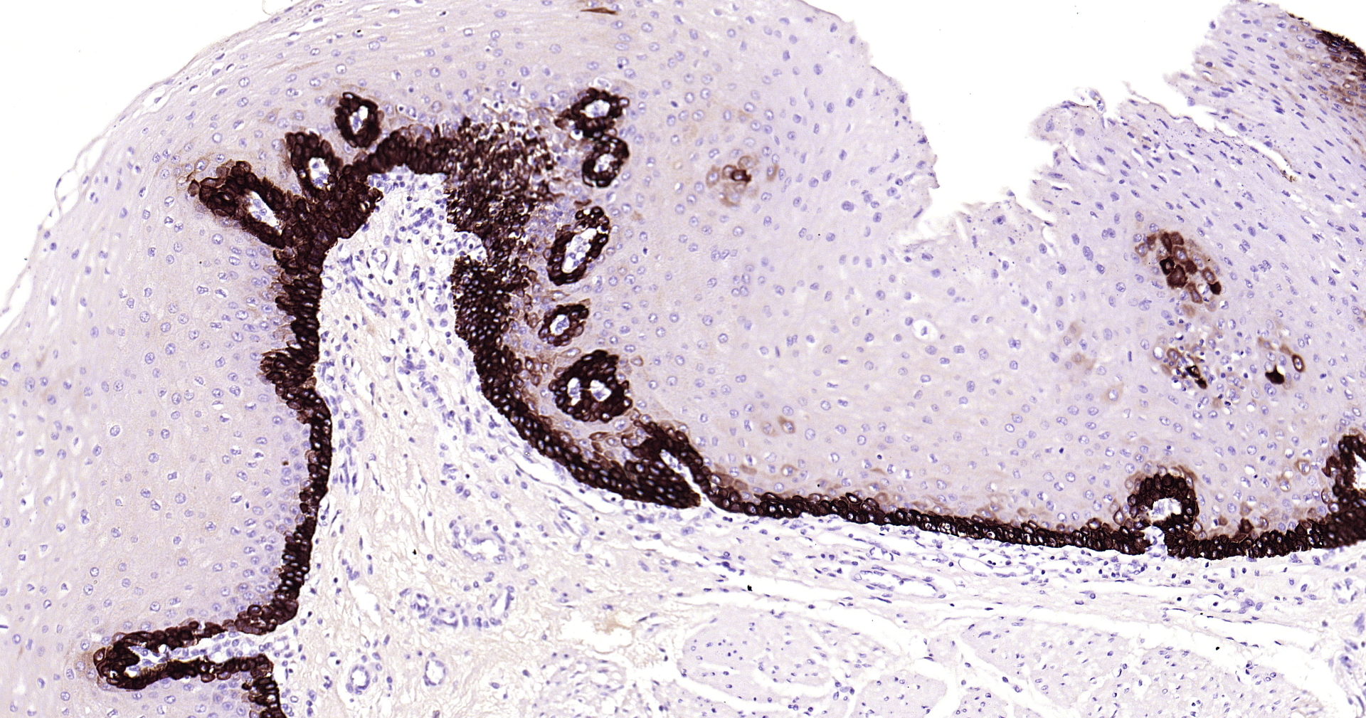
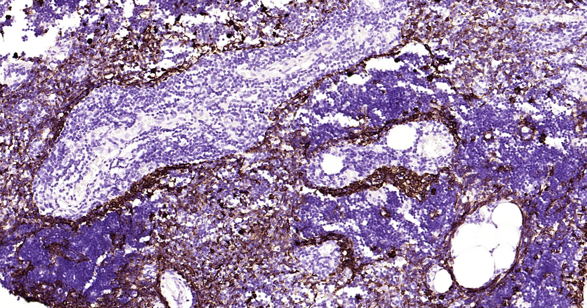
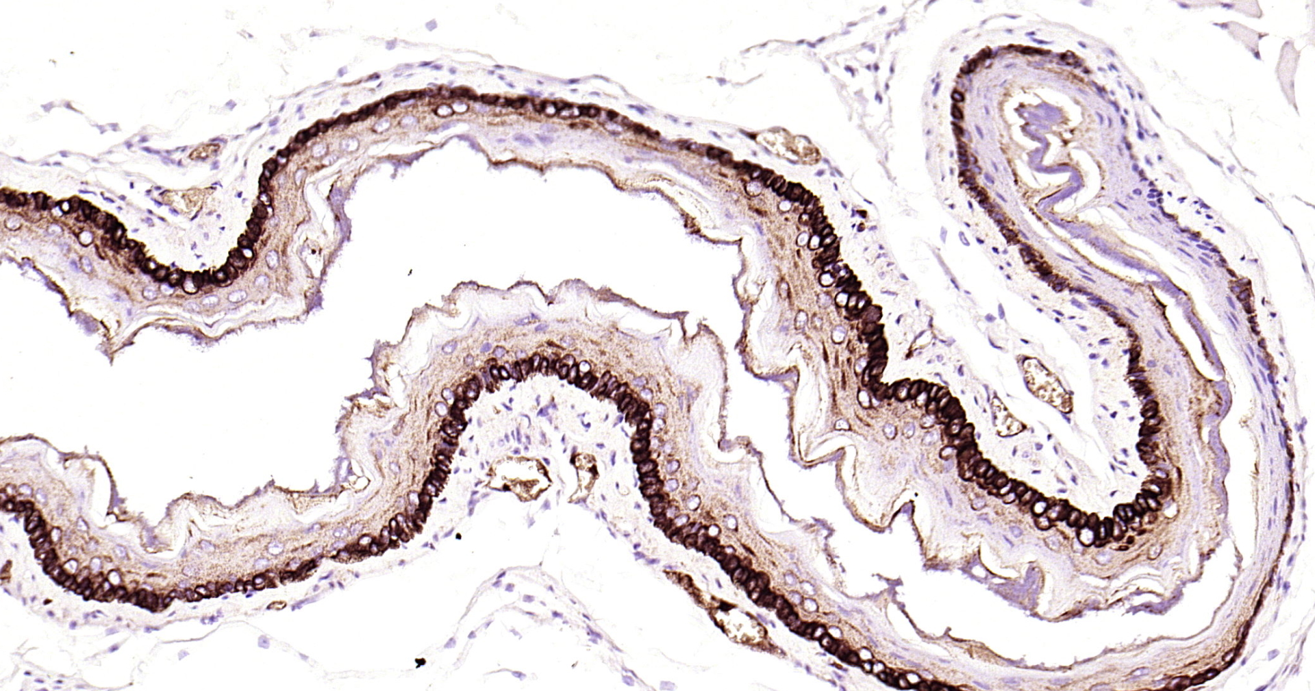
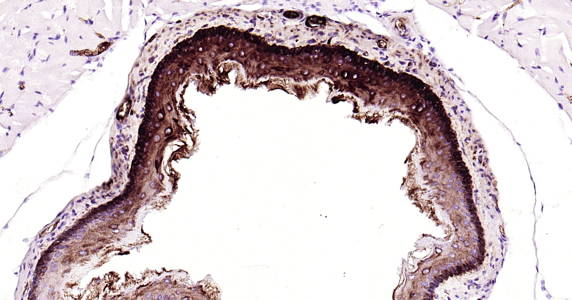
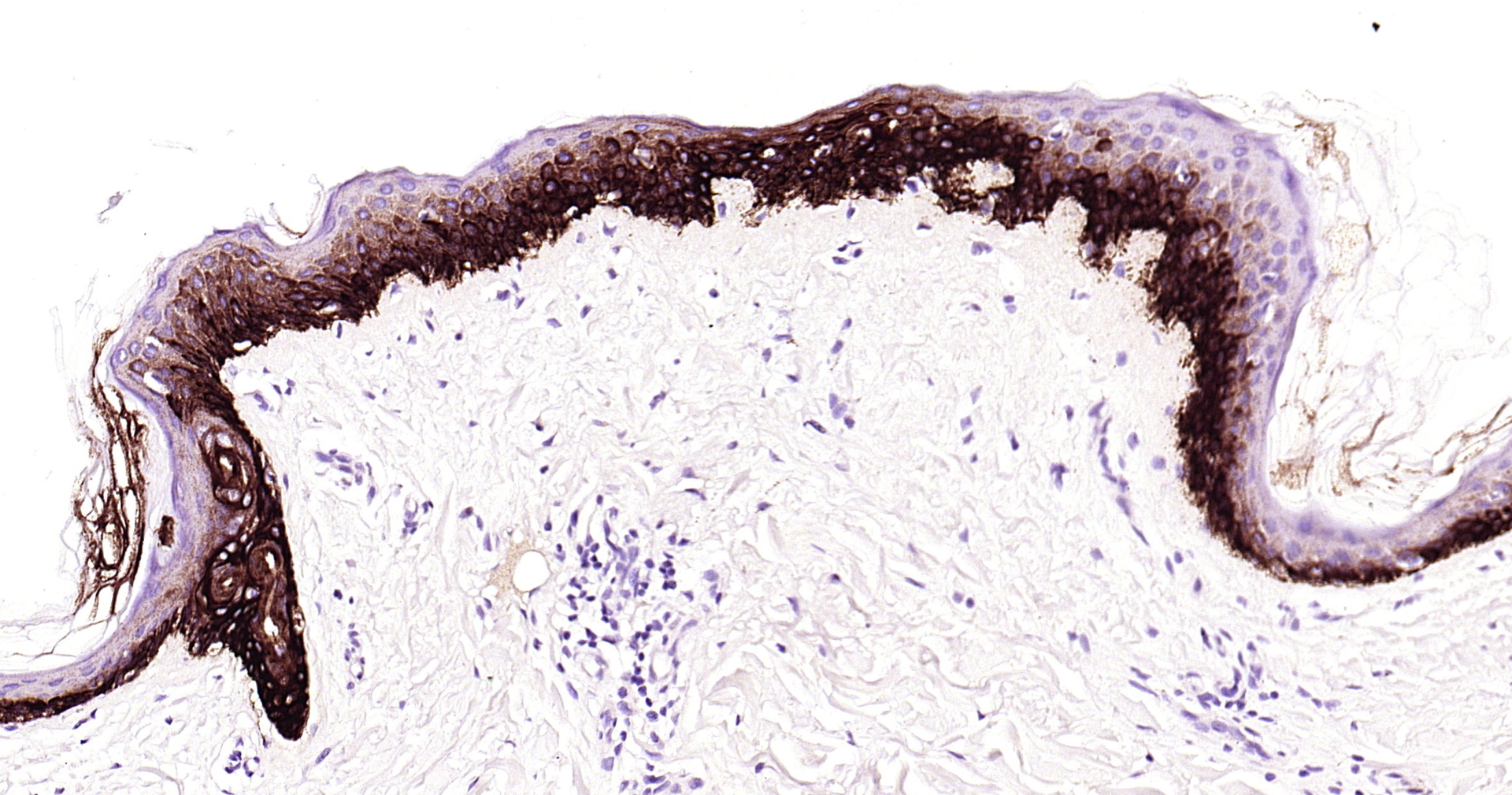
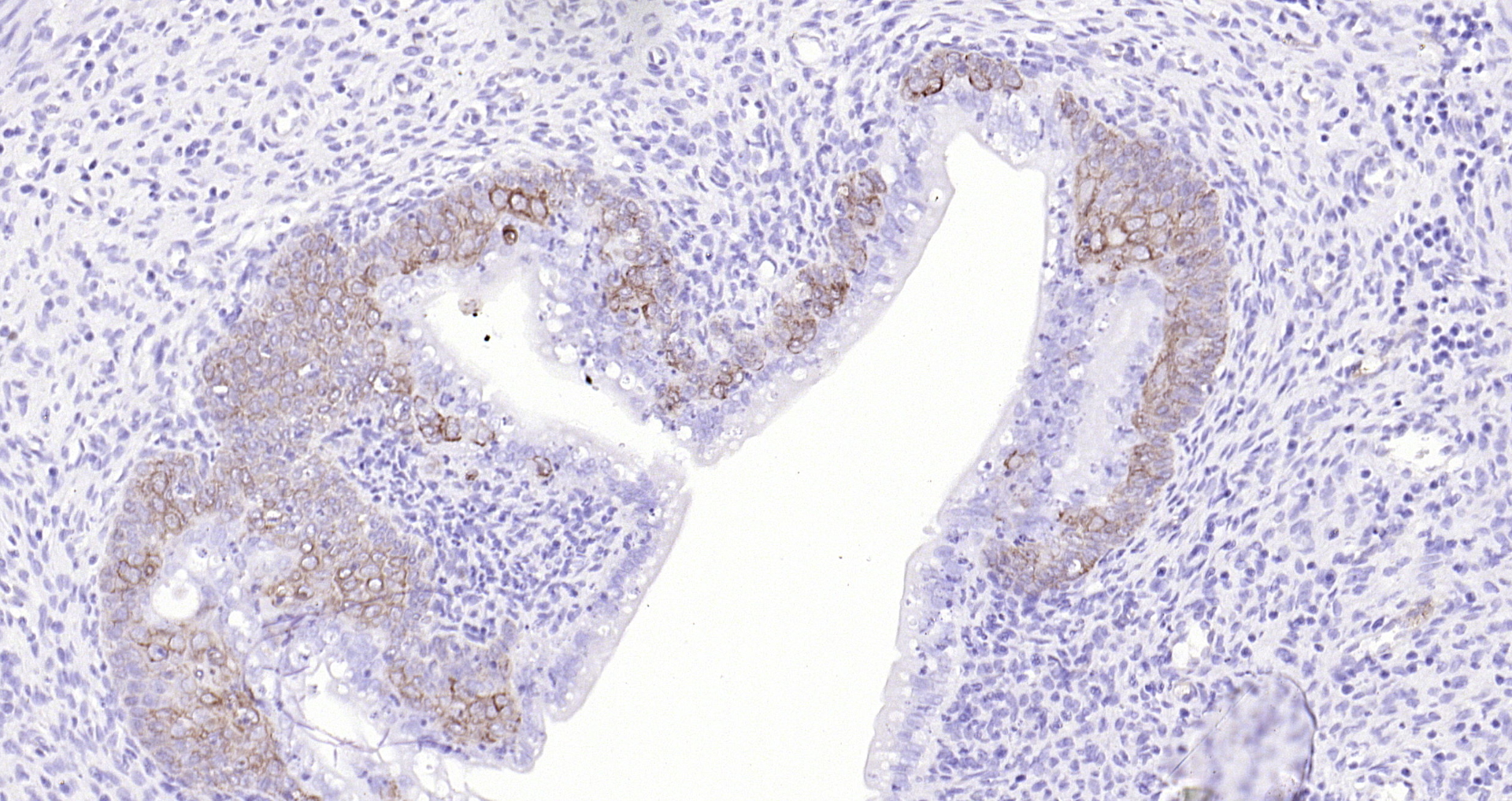
Cytokeratin 14 Recombinant Antibody

Applications

  • IHC-P
  • IHC-F
  • IF

Reactivity

  • Human
  • Mouse
  • Rat
Overview
Catalog # bsm-52054r-TR
Product Name Cytokeratin 14 Recombinant Antibody
Applications IHC-P, IHC-F, IF
Reactivity Human, Mouse, Rat
Specifications
Conjugation Unconjugated
Host Rabbit
Source Recombinant human Cytokeratin 14 protein, around C-terminal 150aa
Clonality Recombinant
Isotype IgG
Concentration 1mg/ml
Purification Purified by Protein A.
Storage Buffer 0.01M TBS (pH7.4) with 1% BSA, 0.02% Proclin300 and 50% Glycerol.
Storage Condition Shipped at 4C. Store at -20C for one year. Avoid repeated freeze/thaw cycles.
Target
Gene ID 3861
Swiss Prot P02533
Subcellular location Cytoplasm, Nucleus
Synonyms Cytokeratin 14; CK 14; Cytokeratin14; Cytokeratin-14; Dowling Meara; ebs3; Epidermolysis bullosa simplex; k14; Keratin 14; Keratin type I cytoskeletal 14; Keratin14; Koebner; Krt 14; krt14; EBS3; EBS4; NFJ; Keratin, type I cytoskeletal 14; K1C14_HUMAN.
Application Dilution
IHC-P 1:200-400
IHC-F 1:100-500
IF