| Overview |
| bsm-52056r |
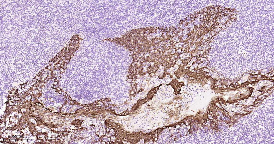
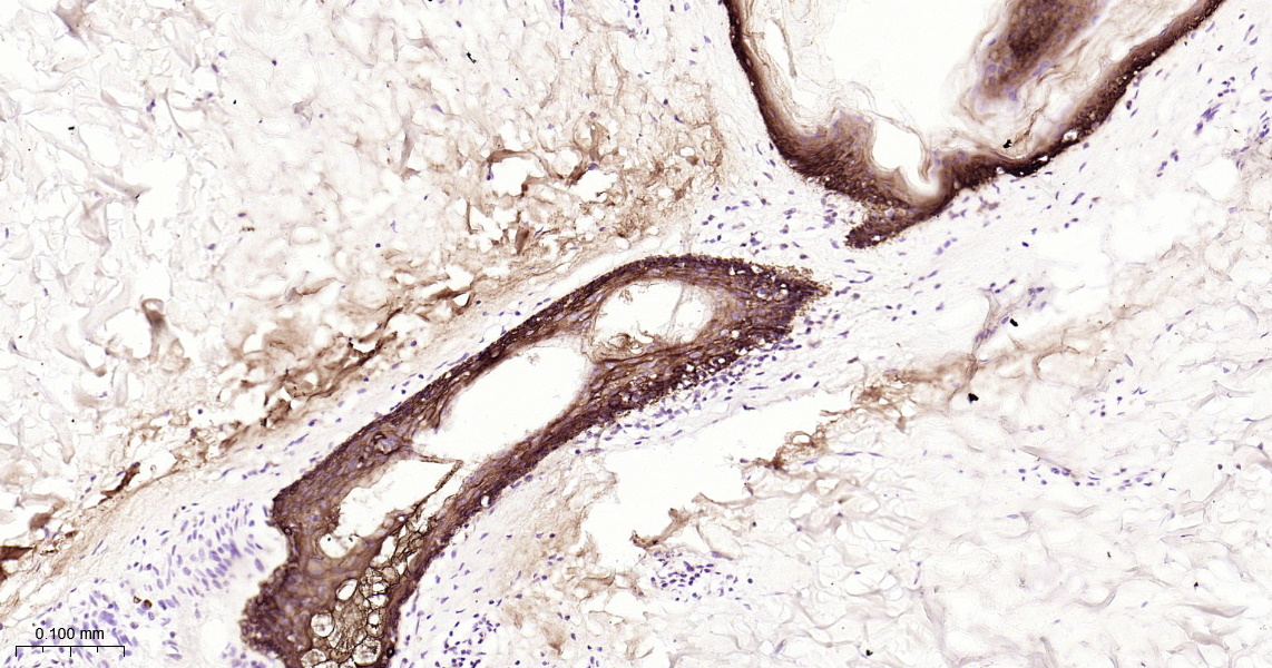
| Cytokeratin 16 Recombinant Antibody |
| WB, IHC-P, IHC-F, IF, Flow-Cyt, ICC/IF |
| Human |
| Specifications |
| Unconjugated |
| Rabbit |
| Recombinant human Cytokeratin 16 protein (1-100aa) |
| Recombinant |
| IgG |
| 1mg/ml |
| Purified by Protein A. |
| 0.01M TBS (pH7.4) with 1% BSA, 0.02% Proclin300 and 50% Glycerol. |
| Shipped at 4C. Store at -20C for one year. Avoid repeated freeze/thaw cycles. |
| Target |
| 3868 |
| P08779 |
| Cytoplasm, Nucleus, Extracellular matrix |
| Cytokeratin 16; CK 16; Focal non epidermolytic palmoplantar keratoderma; K 16; K16; K1CP; CK-16; CK16; Cytokeratin-16; FNEPPK; K1C16_HUMAN; Keratin; Keratin-16; type I cytoskeletal 16; Keratin 16; Keratin type I cytoskeletal 16; Keratin16; KRT 16; KRT16; KRT16A; NEPPK. |
| Application Dilution |
| WB |
1:300-5000 |
| IHC-P |
1:200-400 |
| IHC-F |
1:100-500 |
| IF |
|
| Flow-Cyt |
1ug/Test |
| ICC/IF |
1:50-100 |