Receive 30% off all Monoclonal IHC antibodies with code "MONO-IHC-30"! Offer valid for US customers and available internationally through distributors.

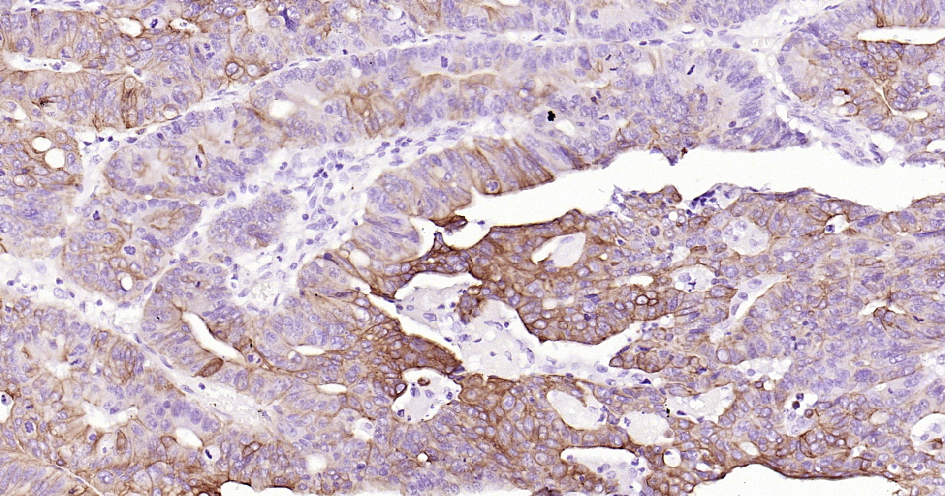
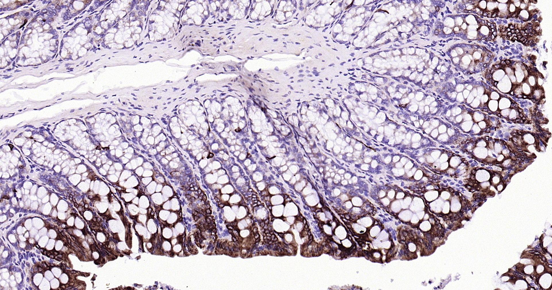
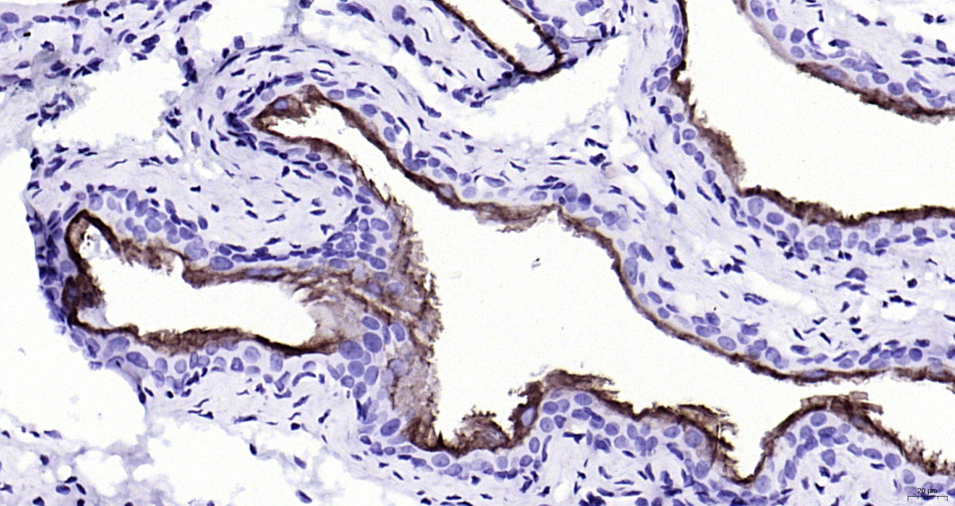
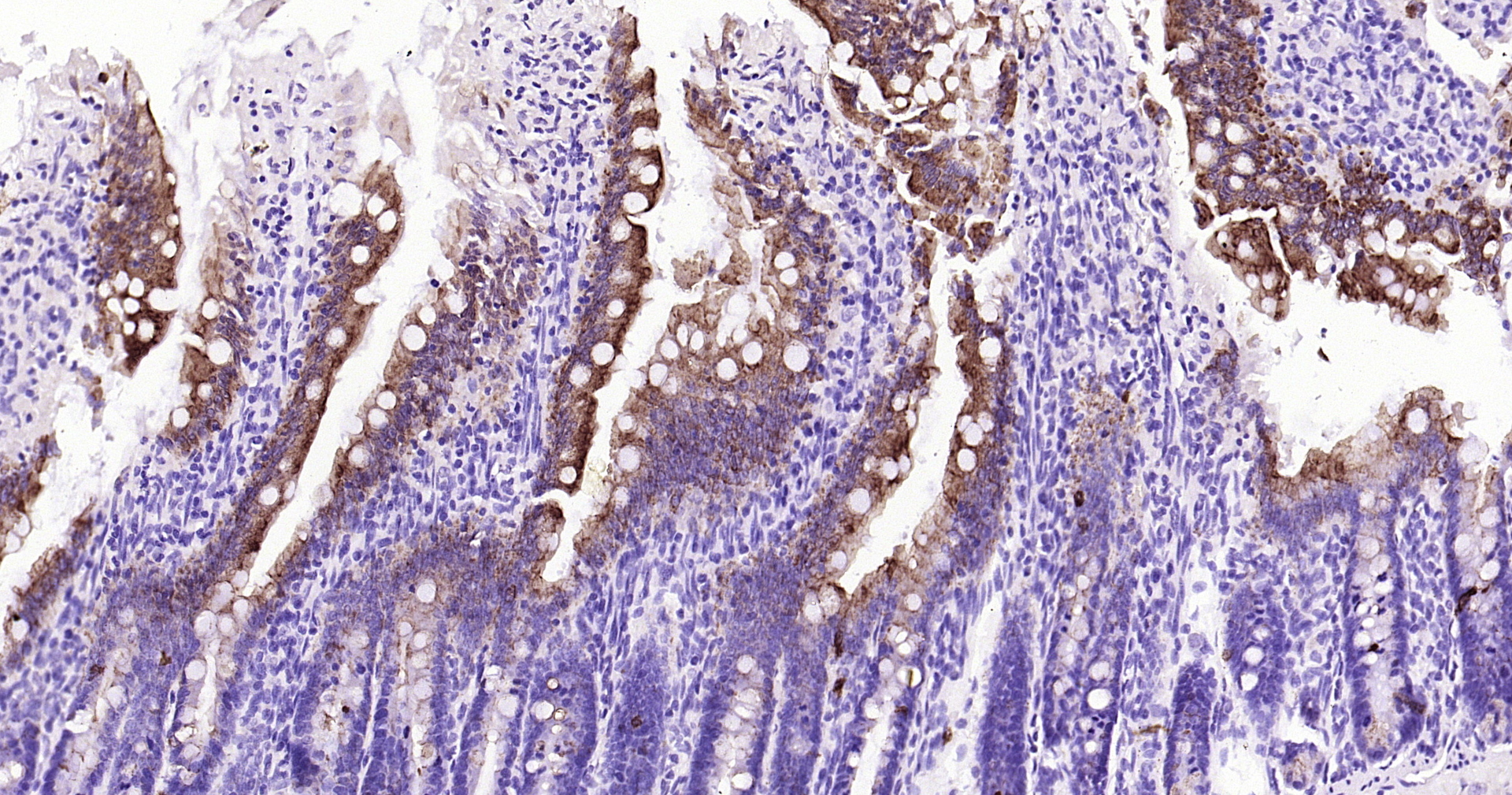
CK20 Recombinant Antibody

Applications

  • WB
  • IHC-P
  • IHC-F
  • IF
  • Flow-Cyt
  • ICC/IF

Reactivity

  • Human
  • Rat
Overview
Catalog # bsm-52060r-TR
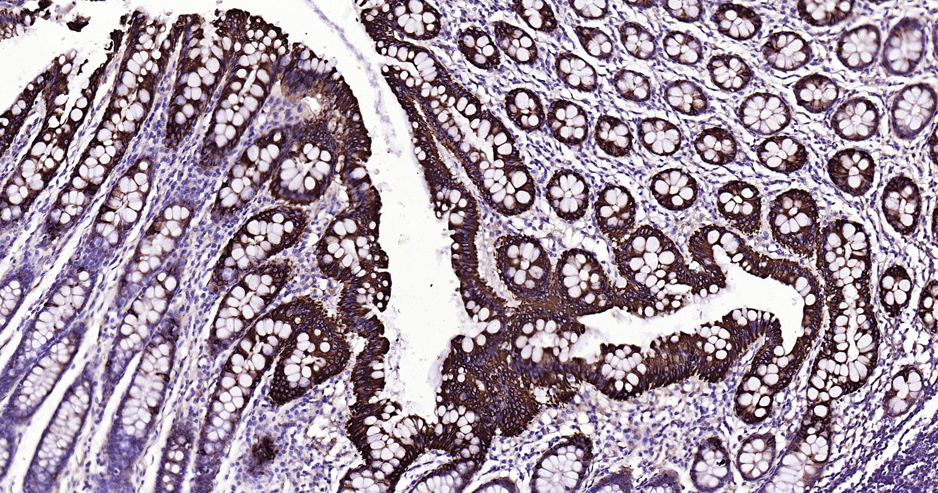
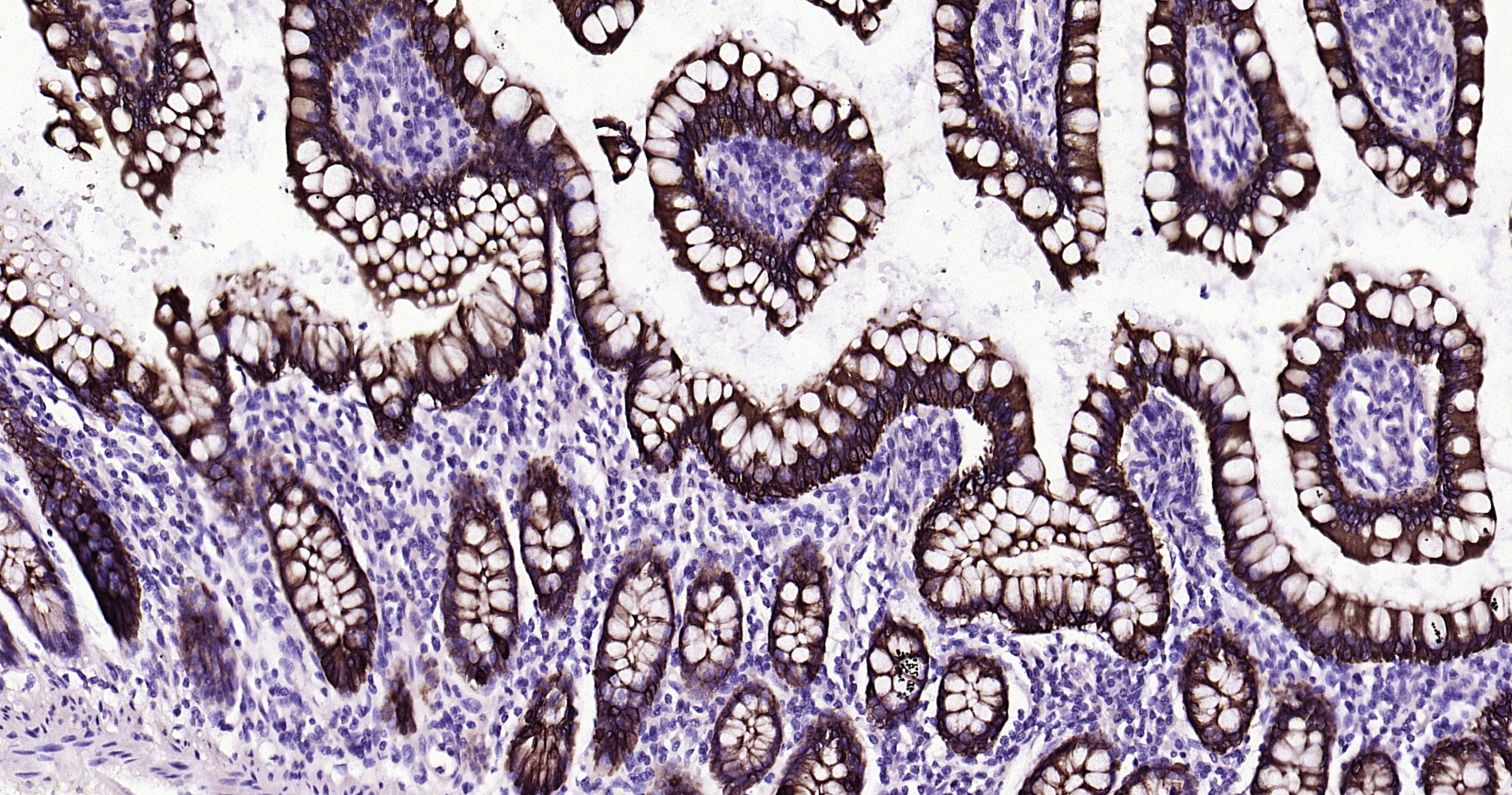
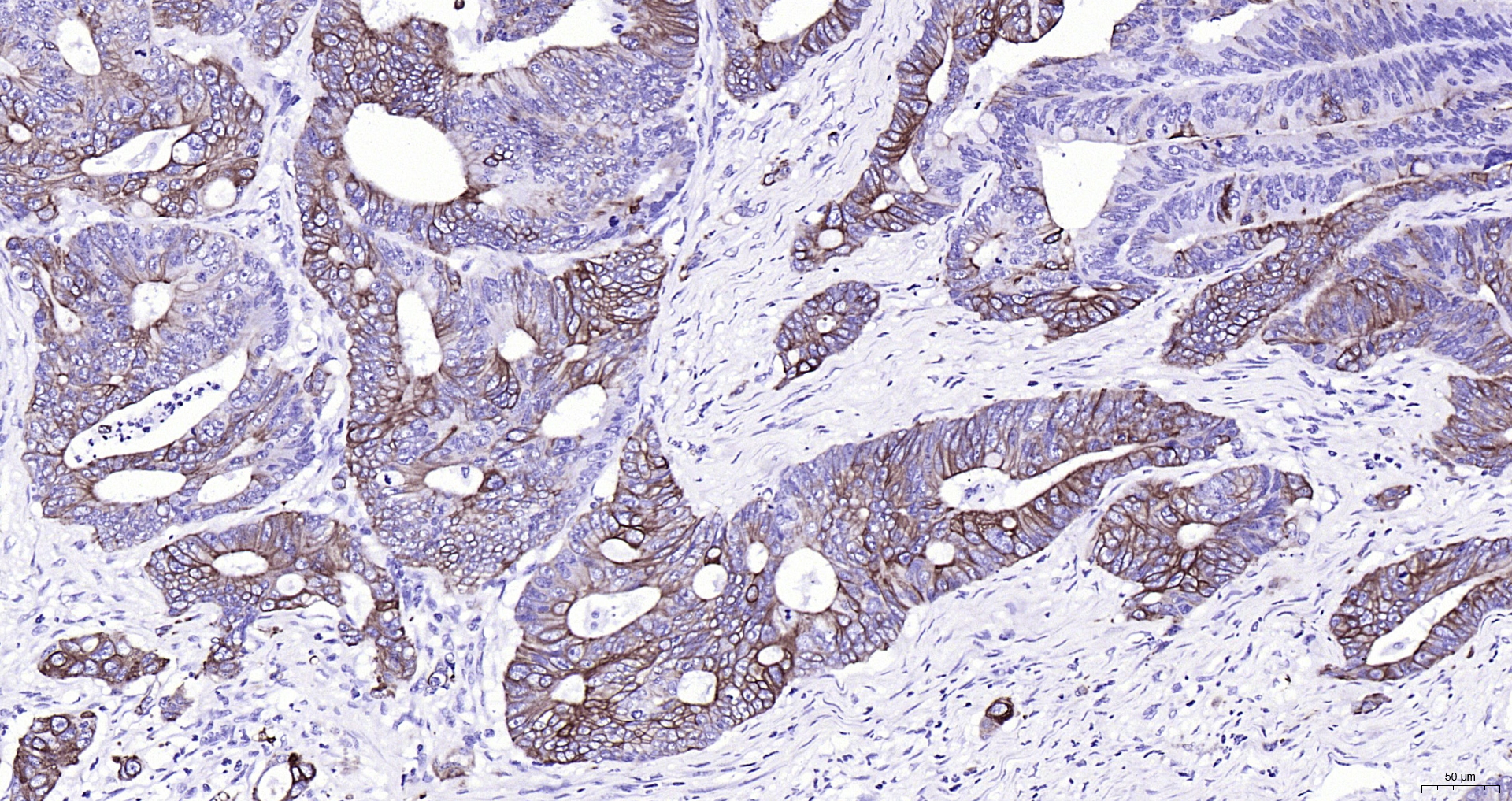
Product Name CK20 Recombinant Antibody
Applications WB, IHC-P, IHC-F, IF, Flow-Cyt, ICC/IF
Reactivity Human, Rat
Specifications
Conjugation Unconjugated
Host Rabbit
Source A synthesized peptide derived from human Cytokeratin 20
Clonality Recombinant
Isotype IgG
Concentration 1mg/ml
Purification Purified by Protein A.
Storage Buffer 0.01M TBS (pH7.4) with 1% BSA, 0.02% Proclin300 and 50% Glycerol.
Storage Condition Shipped at 4C. Store at -20C for one year. Avoid repeated freeze/thaw cycles.
Target
Gene ID 54474
Swiss Prot P35900
Subcellular location Cytoplasm
Synonyms Cytokeratin 20; CK 20; Cytokeratin20; K20; Keratin 20; Keratin type I cytoskeletal 20; Keratin20; KRT 20; KRT 21; KRT20; KRT21; MGC35423; Protein IT; K1C20_HUMAN.
Application Dilution
WB 1:300-5000
IHC-P 1:200-400
IHC-F 1:100-500
IF
Flow-Cyt 1ug/Test
ICC/IF 1:50-100