Receive 30% off all Monoclonal IHC antibodies with code "MONO-IHC-30"! Offer valid for US customers and available internationally through distributors.

Cytokeratin 2e Recombinant Antibody

Applications

  • WB
  • ELISA
  • IHC-P
  • IHC-F
  • IF
  • ICC/IF

Reactivity

  • Human
Overview
Catalog # bsm-52061r
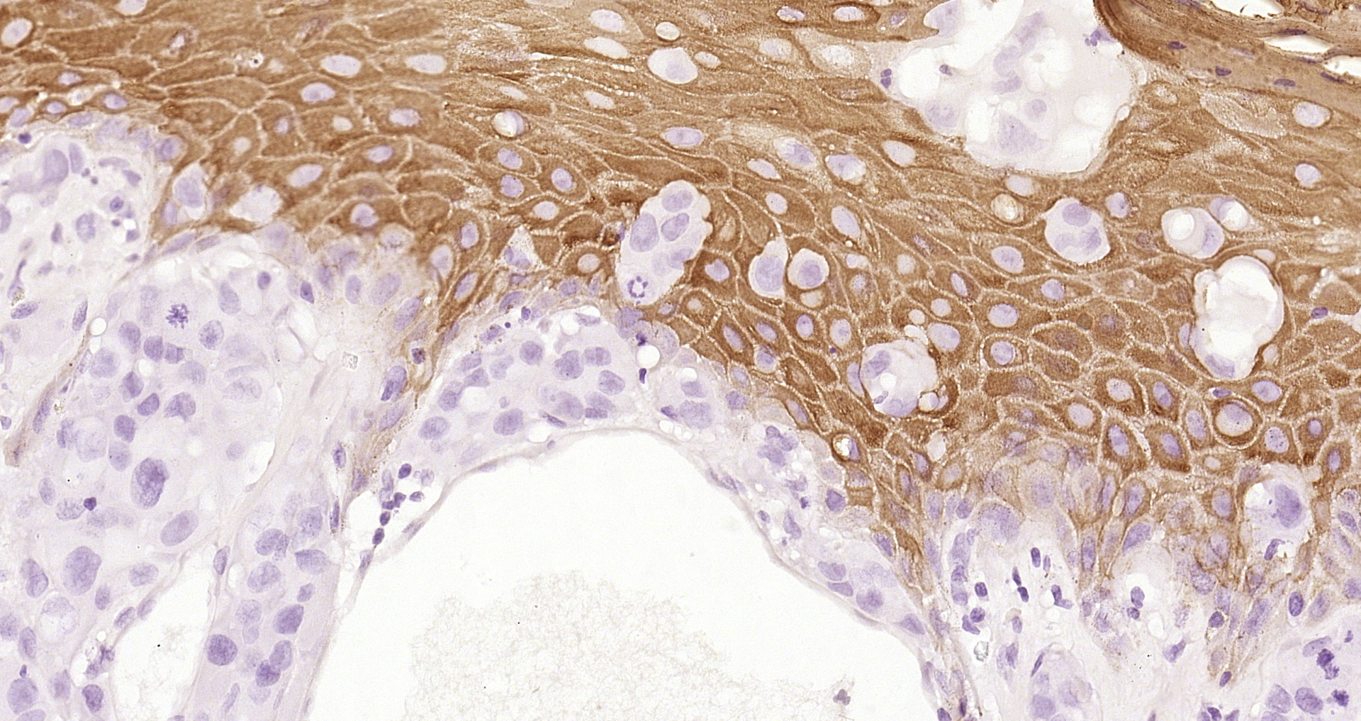
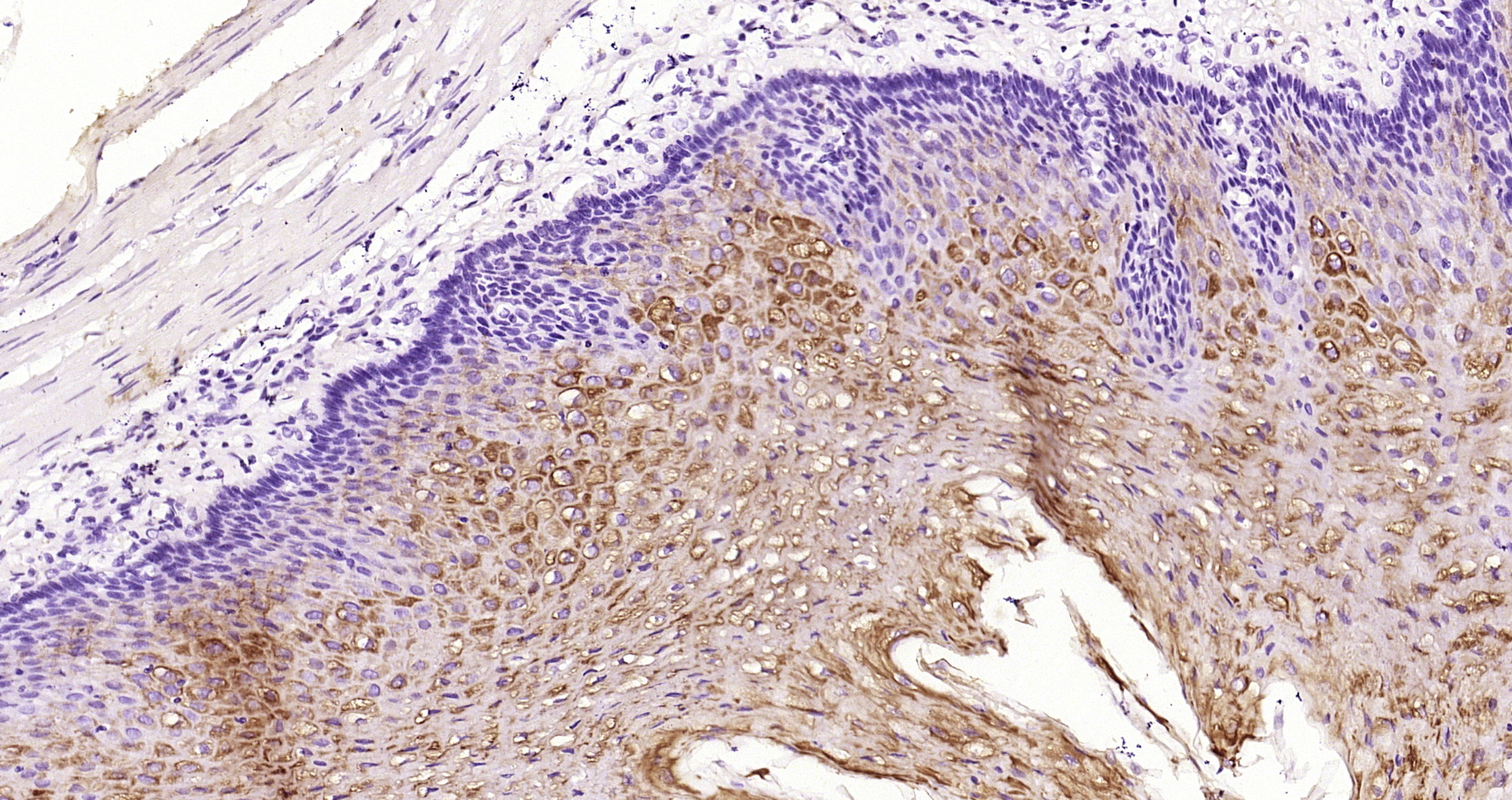
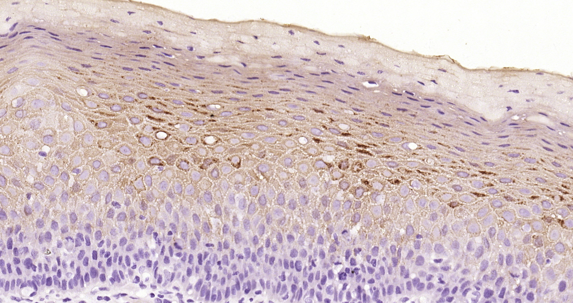
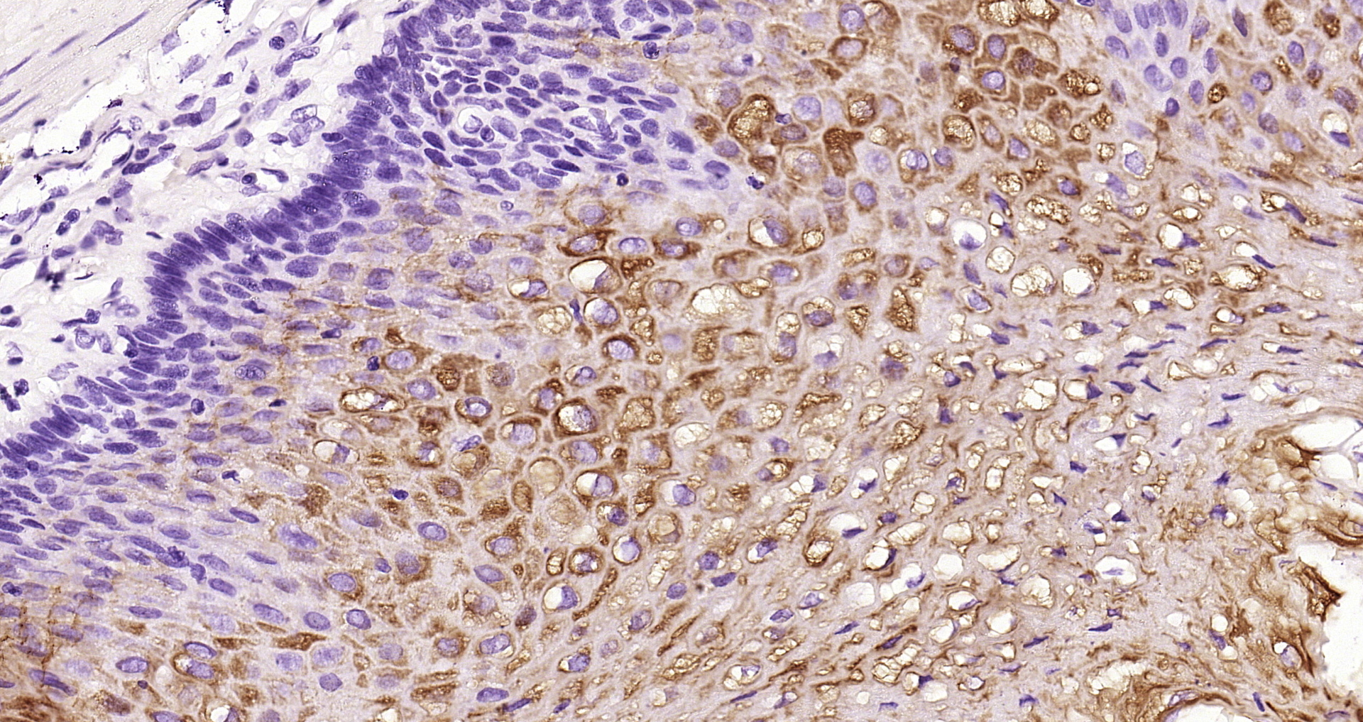
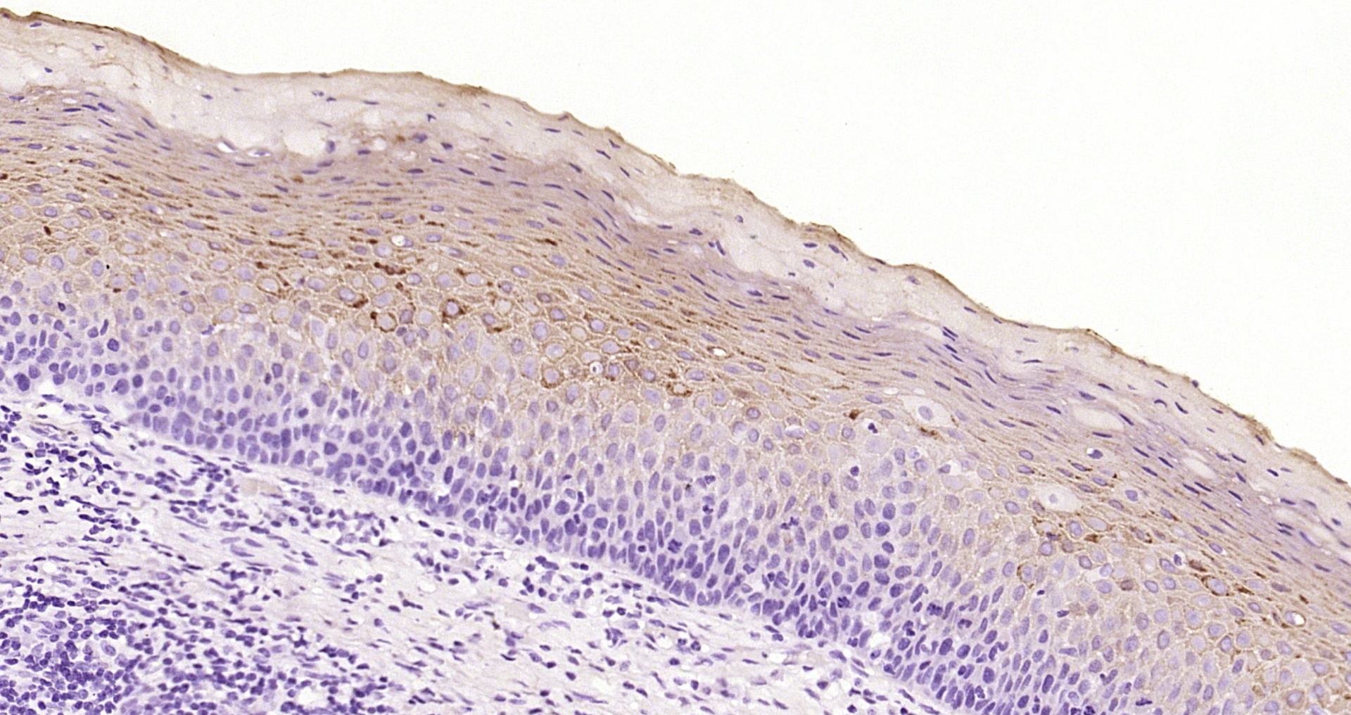
Product Name Cytokeratin 2e Recombinant Antibody
Applications WB, ELISA, IHC-P, IHC-F, IF, ICC/IF
Reactivity Human
Specifications
Conjugation Unconjugated
Host Rabbit
Source Recombinant human Cytokeratin 2e protein, around 350-500aa.
Clonality Recombinant
Isotype IgG
Concentration 1ug/ul
Purification Purified by Protein A.
Storage Buffer 0.01M TBS (pH 7.4), 1% BSA, 0.02% Proclin 300, and 50% Glycerol
Storage Condition Shipped at 4C. Store at -20C for one year. Avoid repeated freeze/thaw cycles.
Target
Gene ID 3849
Swiss Prot P35908
Synonyms K2e; KRTE; CK-2e; KRT2A; KRT2E; Keratin, type II cytoskeletal 2 epidermal; Cytokeratin-2e; Epithelial keratin-2e; Keratin-2 epidermis; Keratin-2e; Type-II keratin Kb2; KRT2
Background Probably contributes to terminal cornification. Associated with keratinocyte activation, proliferation and keratinization.
Application Dilution
WB 1:300-5000
ELISA 1:500-1000
IHC-P 1:200-400
IHC-F 1:100-500
IF
ICC/IF 1:50-100