Receive 30% off all Monoclonal IHC antibodies with code "MONO-IHC-30"! Offer valid for US customers and available internationally through distributors.

Histone H3.3 Recombinant Antibody

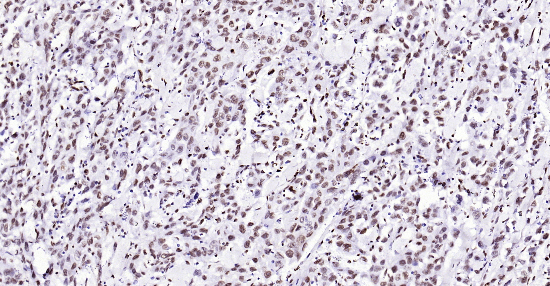
Applications

  • WB
  • ELISA
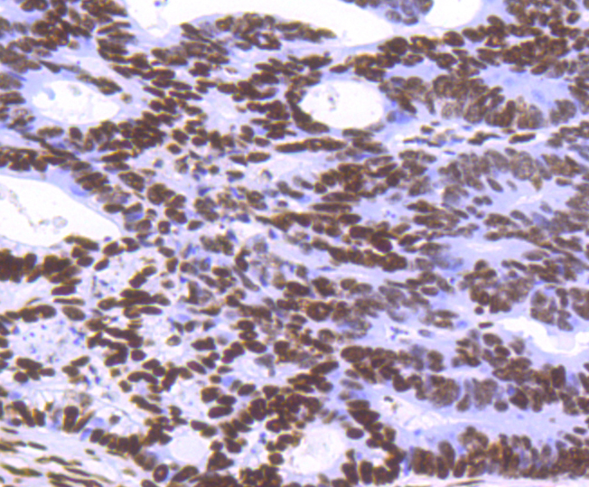
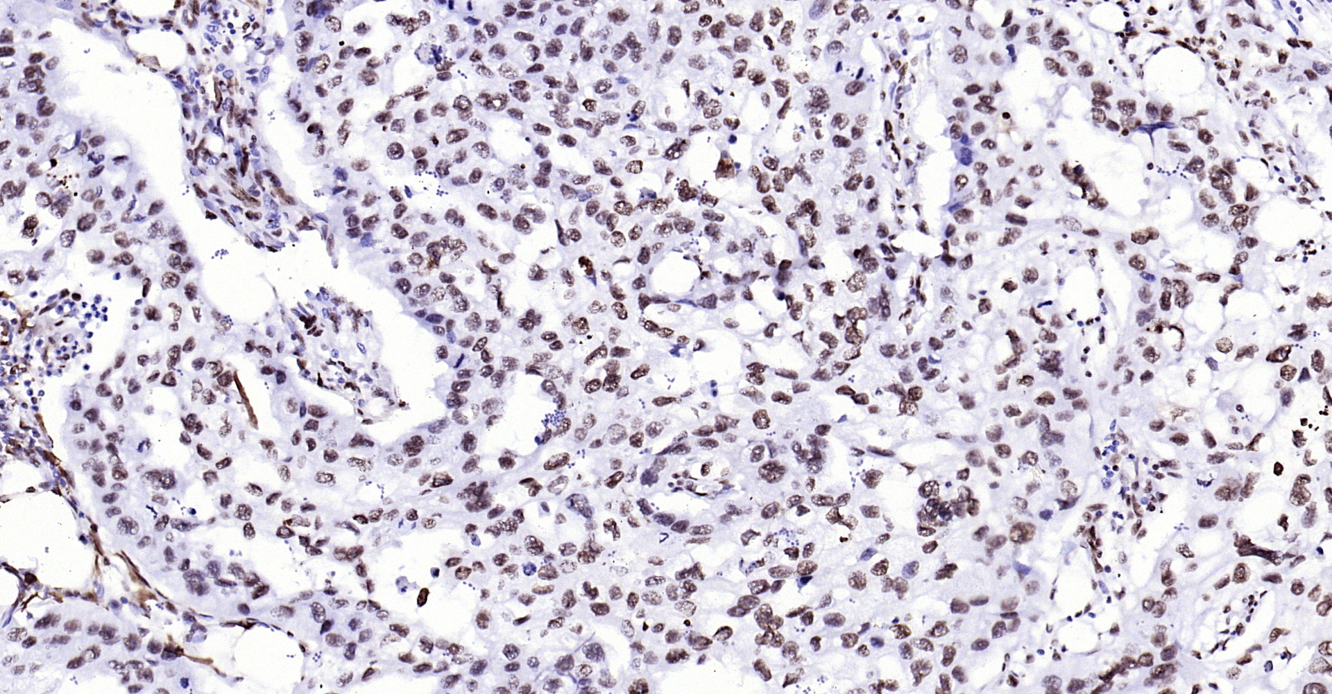
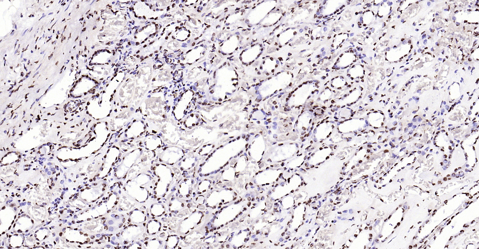
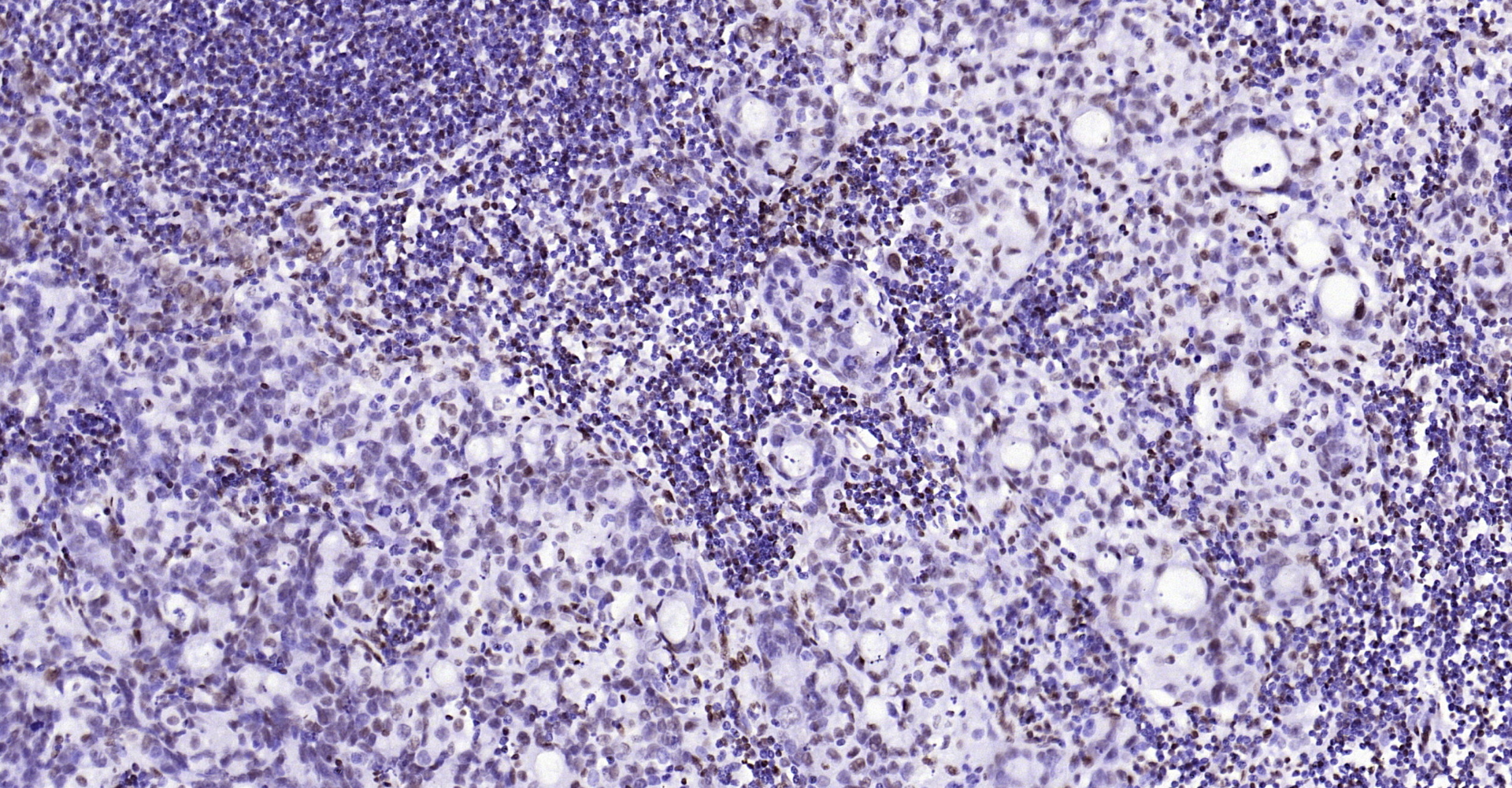
  • IHC-P
  • IHC-F
  • IF
  • ICC/IF

Reactivity

  • Human
Overview
Catalog # bsm-52110r
Product Name Histone H3.3 Recombinant Antibody
Applications WB, ELISA, IHC-P, IHC-F, IF, ICC/IF
Reactivity Human
Specifications
Conjugation Unconjugated
Host Rabbit
Source Recombinant human Histone H3.3 protein, full length.
Clonality Recombinant
Isotype IgG
Concentration 1ug/ul
Purification Purified by Protein A.
Storage Buffer 0.01M TBS (pH 7.4), 1% BSA, 0.02% Proclin 300, and 50% Glycerol
Storage Condition Store at -20°C for 12 months.
Target
Gene ID 3020
Swiss Prot P84243
Synonyms H3F3; H3.3A; Histone H3.3; H3F3A; PP781
Background Variant histone H3 which replaces conventional H3 in a wide range of nucleosomes in active genes. Constitutes the predominant form of histone H3 in non-dividing cells and is incorporated into chromatin independently of DNA synthesis. Deposited at sites of nucleosomal displacement throughout transcribed genes, suggesting that it represents an epigenetic imprint of transcriptionally active chromatin. Nucleosomes wrap and compact DNA into chromatin, limiting DNA accessibility to the cellular machineries which require DNA as a template. Histones thereby play a central role in transcription regulation, DNA repair, DNA replication and chromosomal stability. DNA accessibility is regulated via a complex set of post-translational modifications of histones, also called histone code, and nucleosome remodeling.
Application Dilution
WB 1:300-5000
ELISA 1:500-1000
IHC-P 1:200-400
IHC-F 1:100-500
IF
ICC/IF 1:50-100