Receive 30% off all Monoclonal IHC antibodies with code "MONO-IHC-30"! Offer valid for US customers and available internationally through distributors.

IRF3 Recombinant Antibody

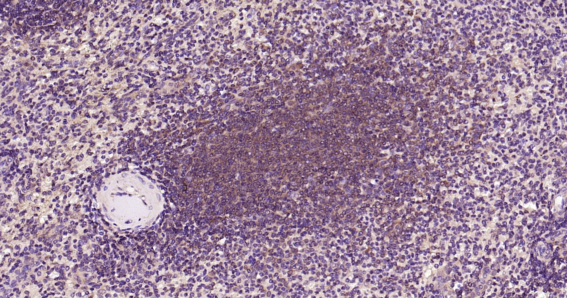
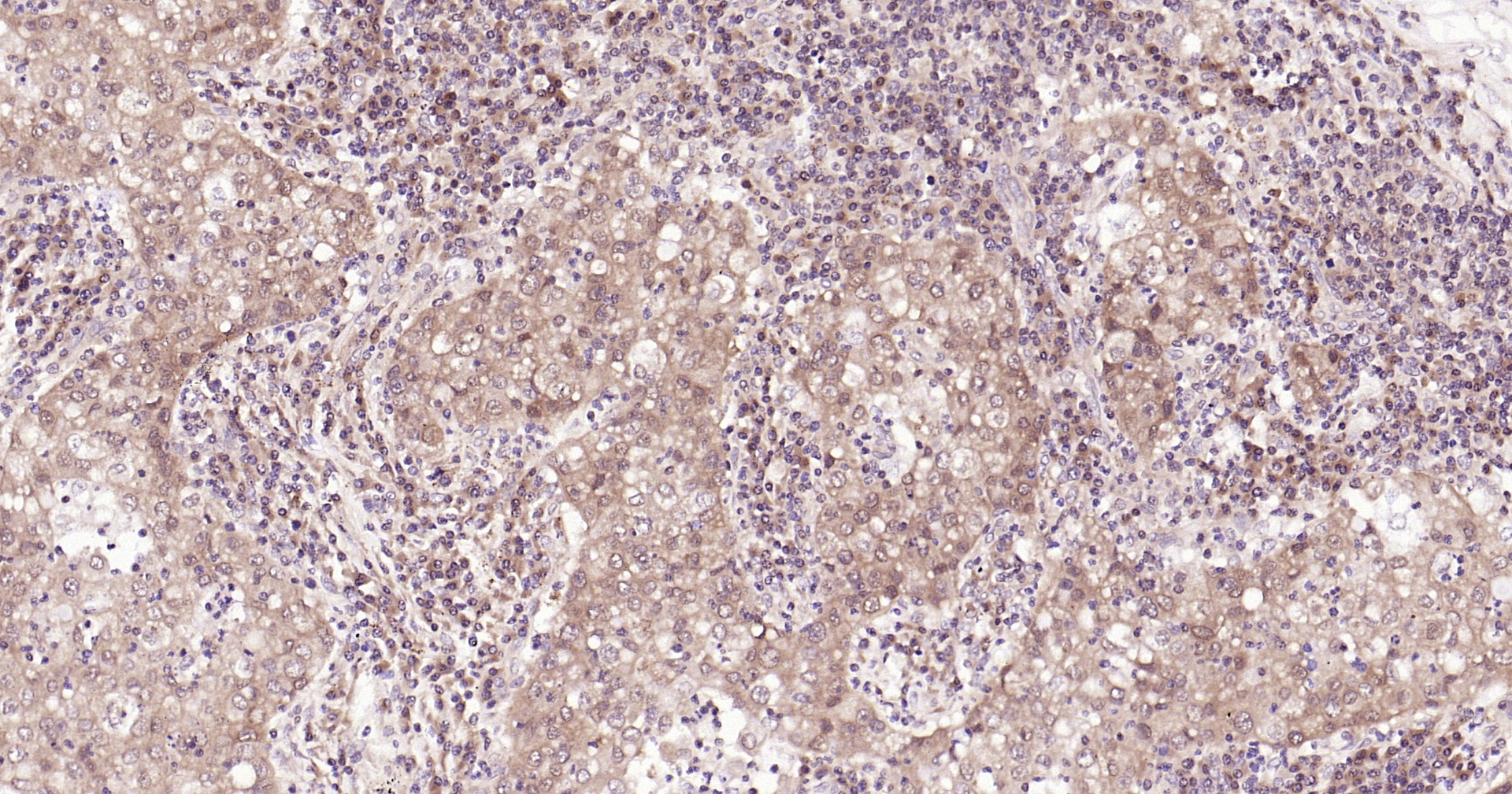
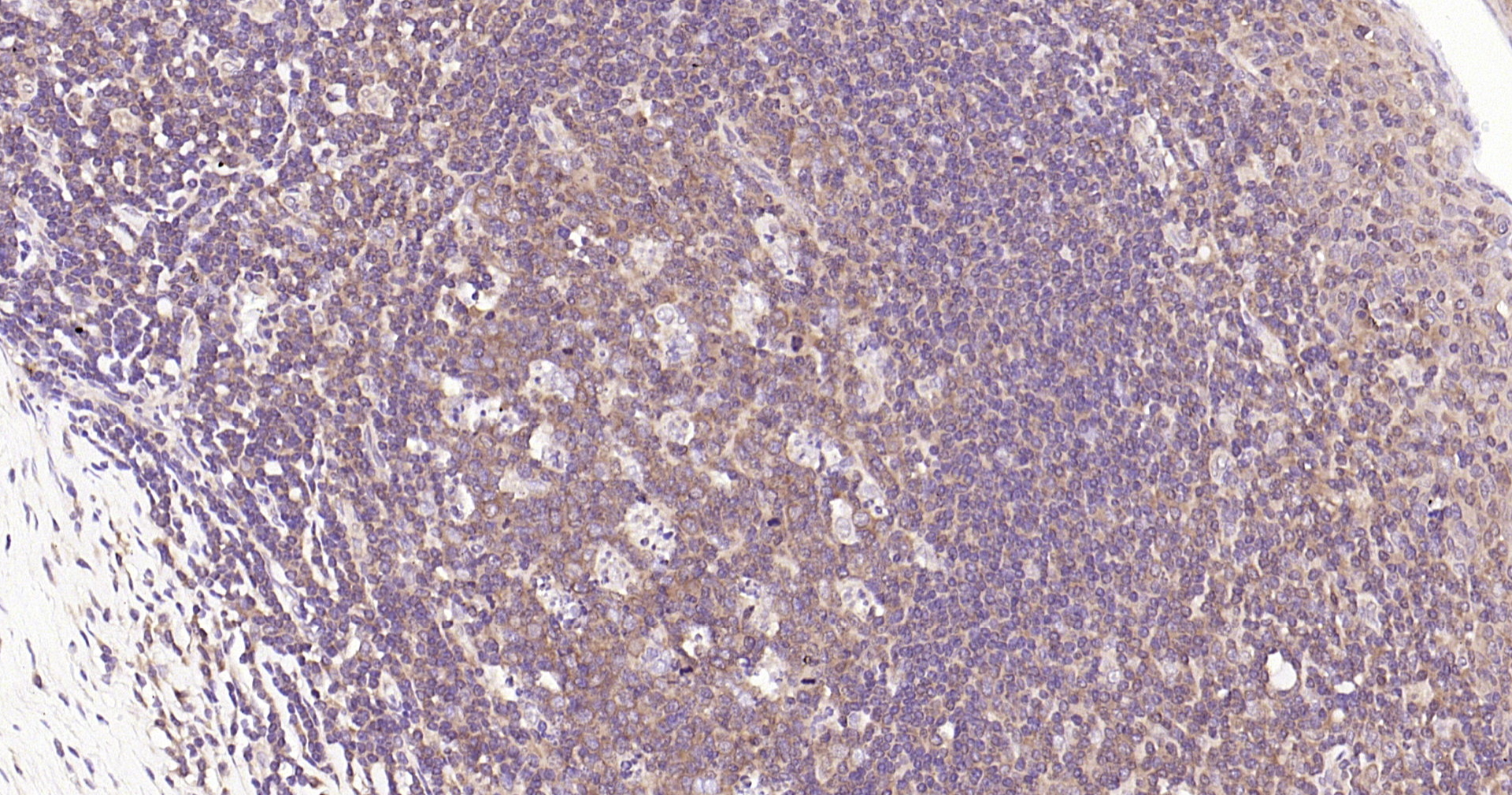
Applications

  • WB
  • IHC-P
  • IHC-F
  • IF

Reactivity

  • Human
  • Mouse

Predicted Reactivity

  • Rat
Overview
Catalog # bsm-52116r-TR
Product Name IRF3 Recombinant Antibody
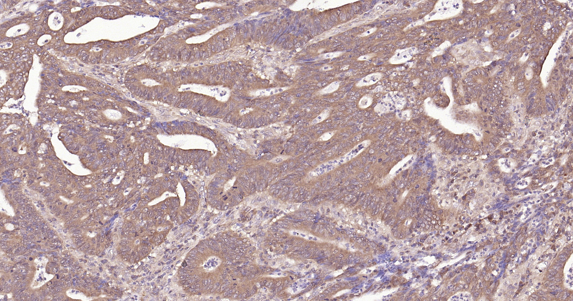
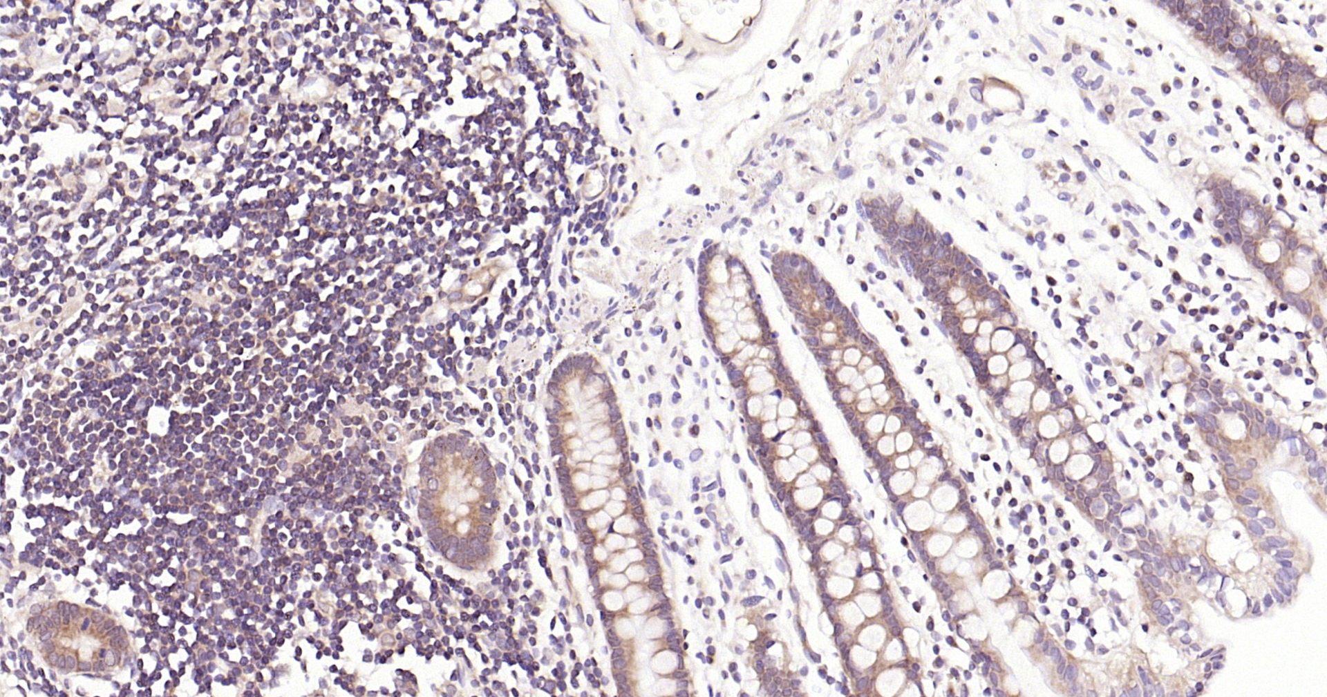
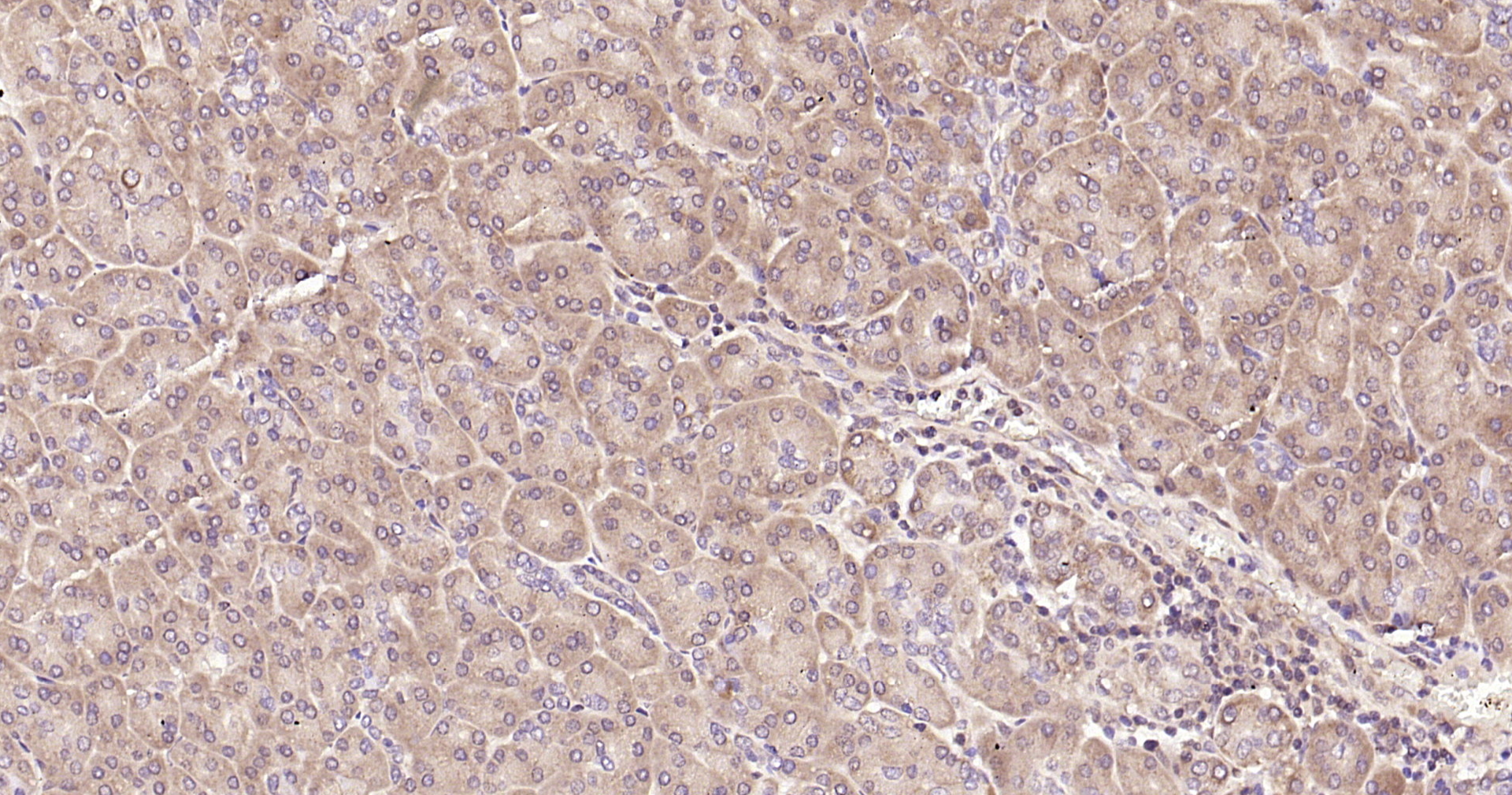
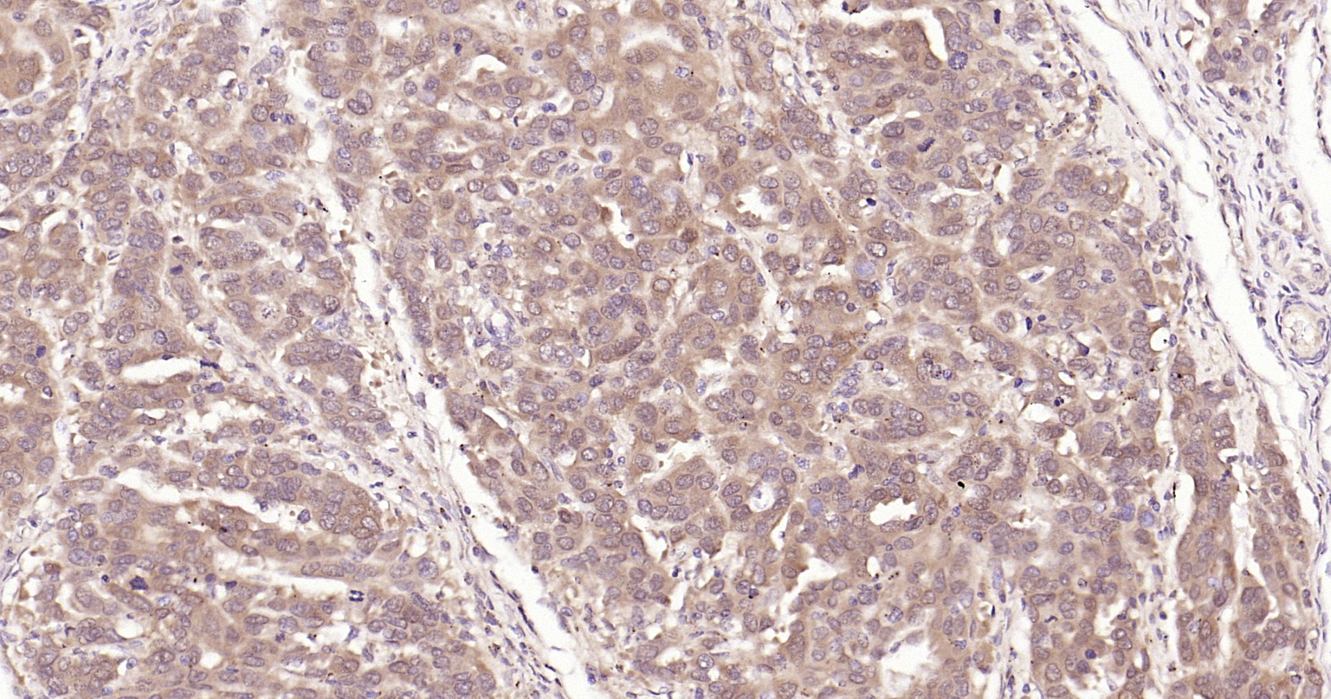
Applications WB, IHC-P, IHC-F, IF
Reactivity Human, Mouse
Predicted Reactivity Rat
Specifications
Conjugation Unconjugated
Host Rabbit
Source Recombinant human IRF3 protein, around 50-150aa.
Clonality Recombinant
Isotype IgG
Concentration Lot dependent
Purification Purified by Protein A.
Storage Buffer 0.01M TBS (pH 7.4), 1% BSA, 0.02% Proclin 300, and 50% Glycerol
Storage Condition Shipped at 4°. Store at -20°C for one year. Avoid repeated freeze/thaw cycles.
Target
Gene ID 3661
Swiss Prot Q14653
Synonyms Bone Morphogenic Protein 6; Decapentaplegic vegetal related; DVR6; BMP 6; BMP-6; TGFB related vegetal related growth factor; Transforming growth factor beta; Vegetal related TGFB related cytokine; Vg related sequence; VGR1; BMP6_HUMAN.
Background The bone morphogenetic proteins (BMPs) are a family of secreted signaling molecules that can induce ectopic bone growth. Many BMPs are part of the transforming growth factor-beta (TGFB) superfamily. BMPs were originally identified by an ability of demineralized bone extract to induce endochondral osteogenesis in vivo in an extraskeletal site. Based on its expression early in embryogenesis, the BMP encoded by this gene has a proposed role in early development. In addition, the fact that this BMP is closely related to BMP5 and BMP7 has lead to speculation of possible bone inductive activity. [provided by RefSeq].
Application Dilution
WB 1:300-5000
IHC-P 1:200-400
IHC-F 1:100-500
IF