Receive 30% off all Monoclonal IHC antibodies with code "MONO-IHC-30"! Offer valid for US customers and available internationally through distributors.

IRF5 Recombinant Antibody

Applications

  • WB
  • IHC-P
  • IHC-F
  • IF
  • Flow-Cyt
  • ICC/IF

Reactivity

  • Human
  • Mouse
  • Rat
Overview
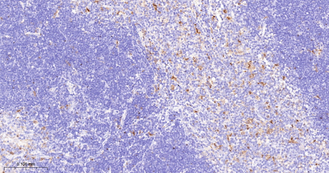
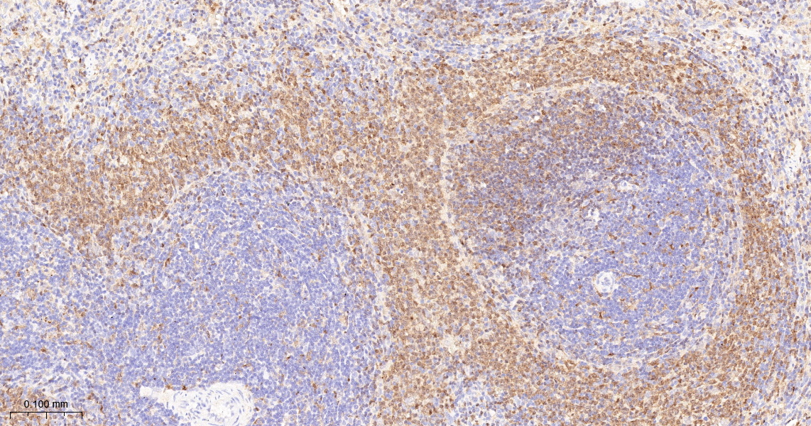
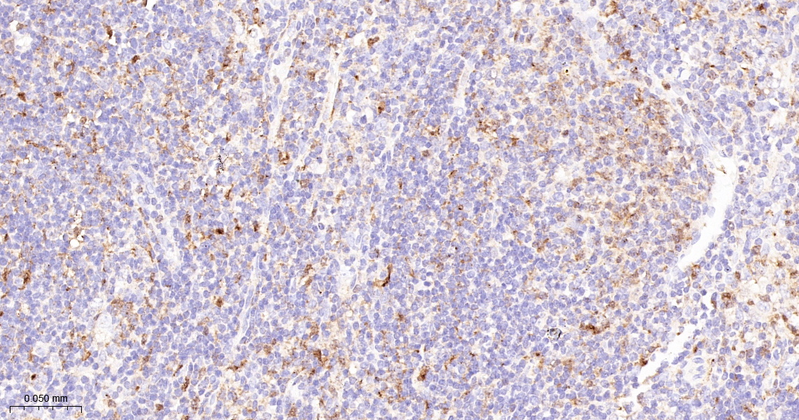
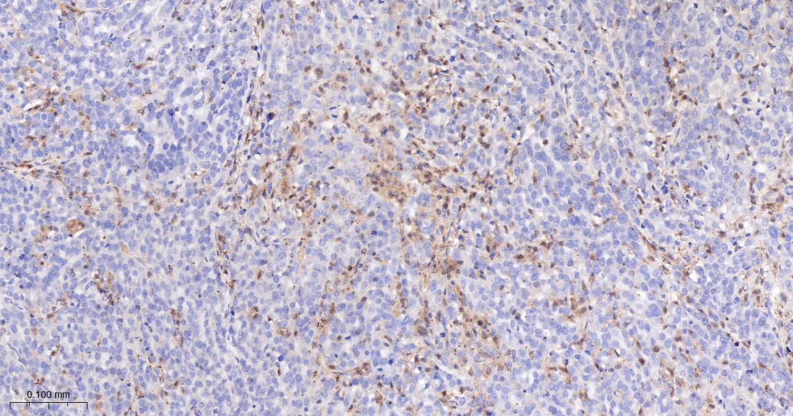
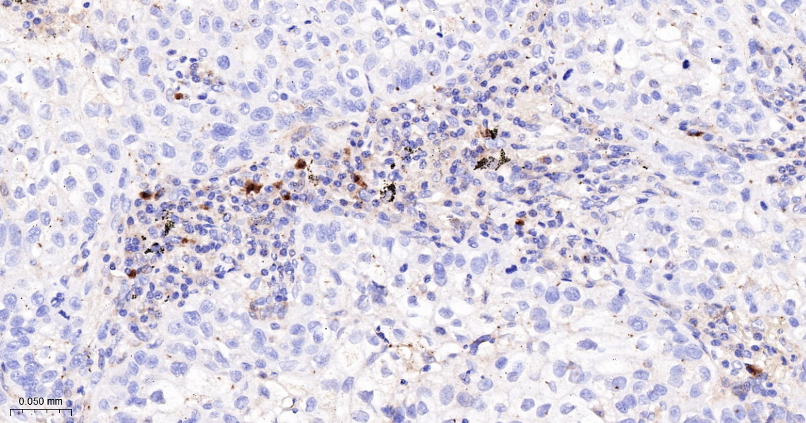
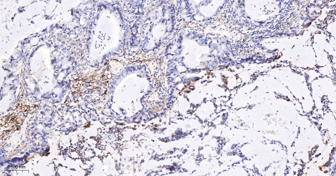
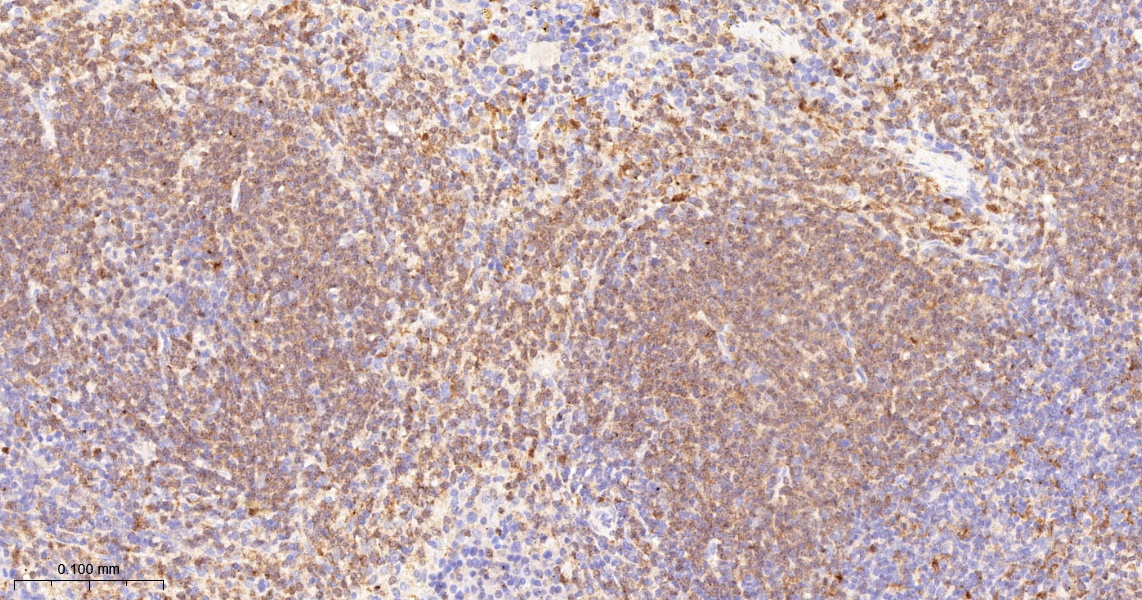
Catalog # bsm-52117r-TR
Product Name IRF5 Recombinant Antibody
Applications WB, IHC-P, IHC-F, IF, Flow-Cyt, ICC/IF
Reactivity Human, Mouse, Rat
Specifications
Conjugation Unconjugated
Host Rabbit
Source Recombinant human IRF5 protein, around N-terminal 1-200aa.
Clonality Recombinant
Isotype IgG
Concentration Lot Dependent
Purification Purified by Protein A.
Storage Buffer 0.01M TBS (pH 7.4), 1% BSA, 0.02% Proclin 300, and 50% Glycerol
Storage Condition Shipped at 4C. Store at -20C for one year. Avoid repeated freeze/thaw cycles.
Target
Gene ID 3663
Swiss Prot Q13568
Synonyms Interferon regulatory factor 5; IRF5
Background Transcription factor involved in the induction of interferons IFNA and INFB and inflammatory cytokines upon virus infection. Activated by TLR7 or TLR8 signaling.
Application Dilution
WB 1:300-5000
IHC-P 1:200-400
IHC-F 1:100-500
IF
Flow-Cyt 1ug/Test
ICC/IF 1:50-100