| Overview |
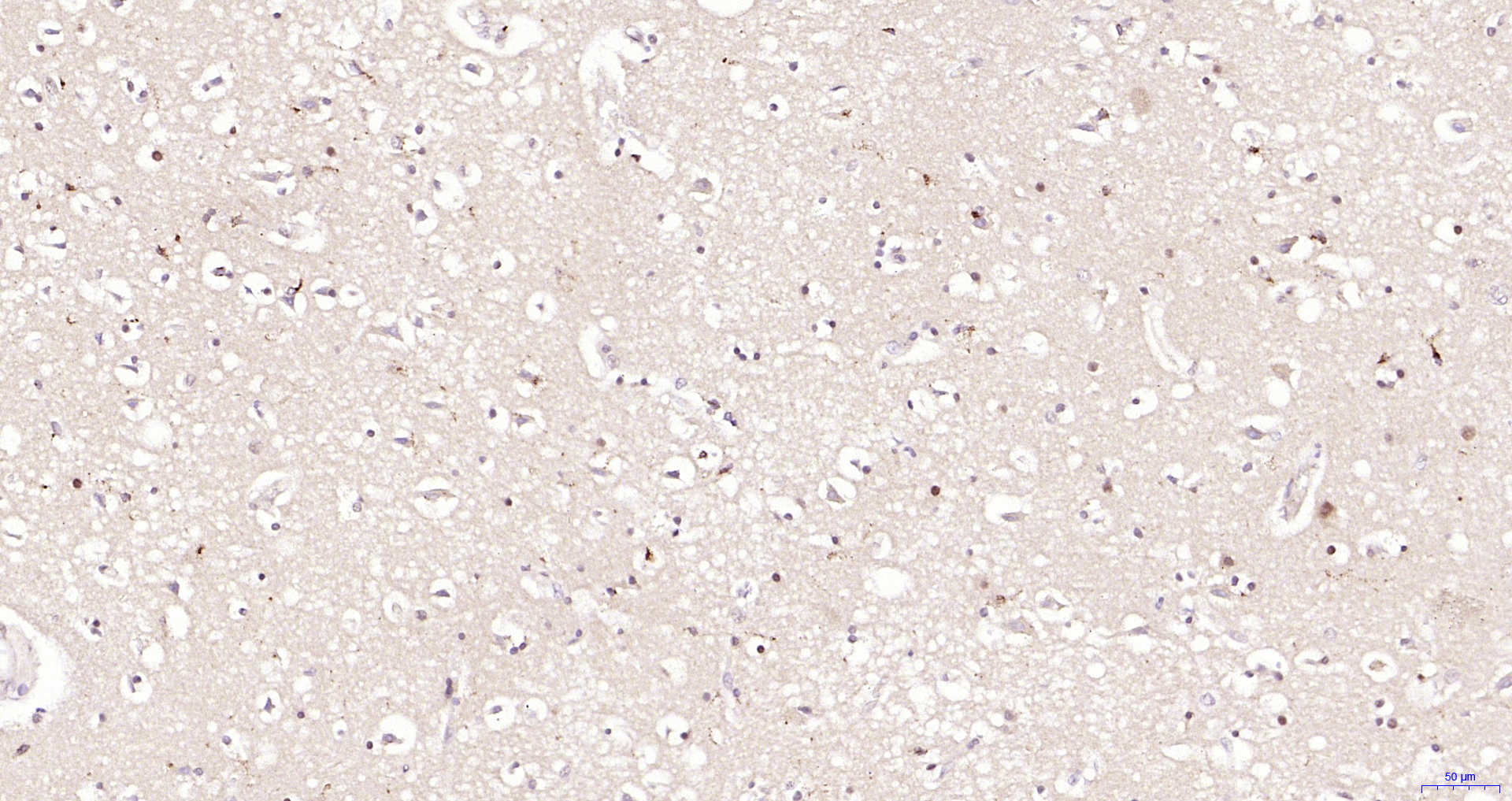
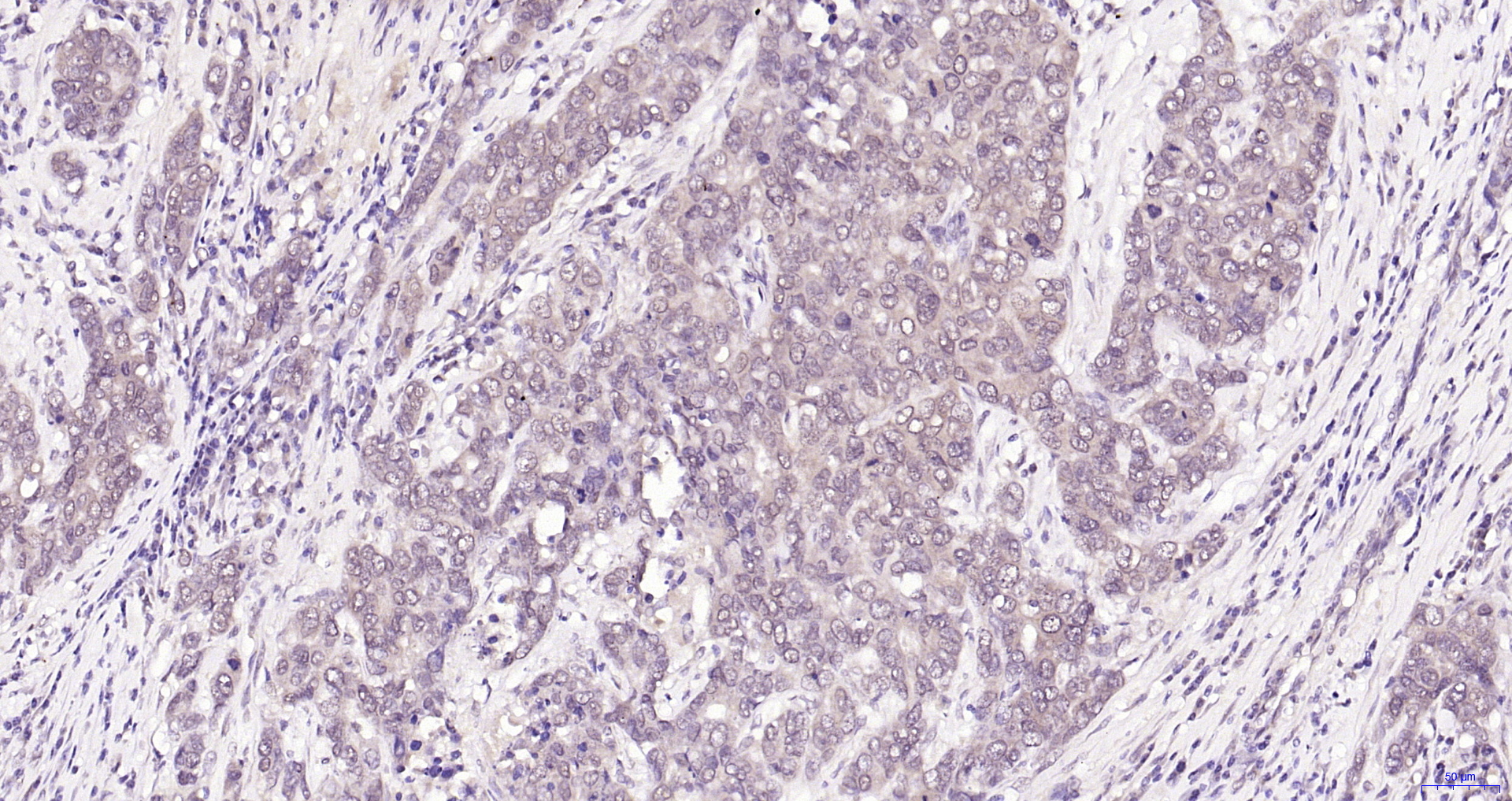
| bsm-52131r-TR |
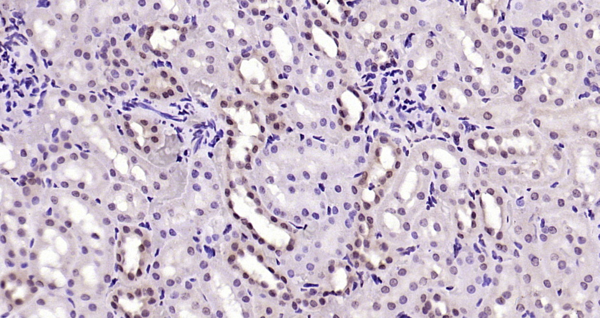
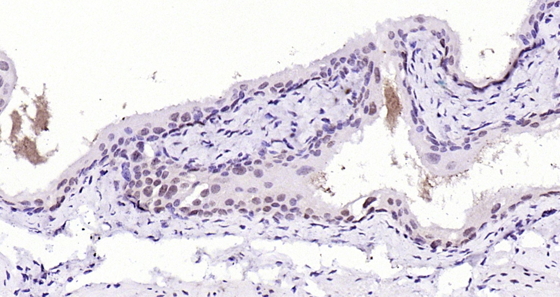
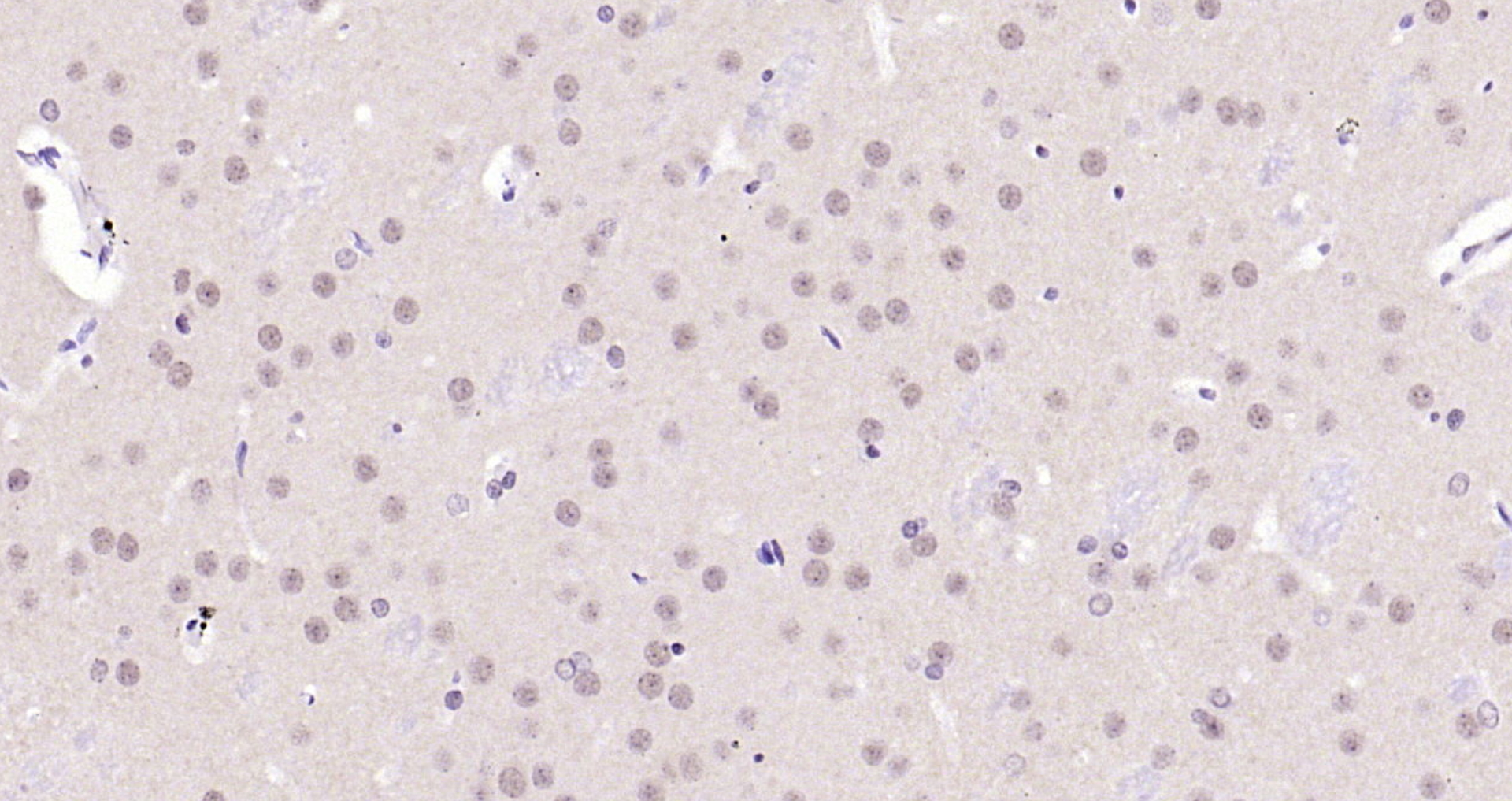
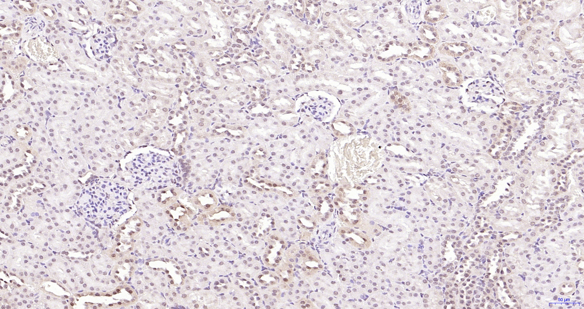
| phospho-Akt (Thr450) Recombinant Antibody |
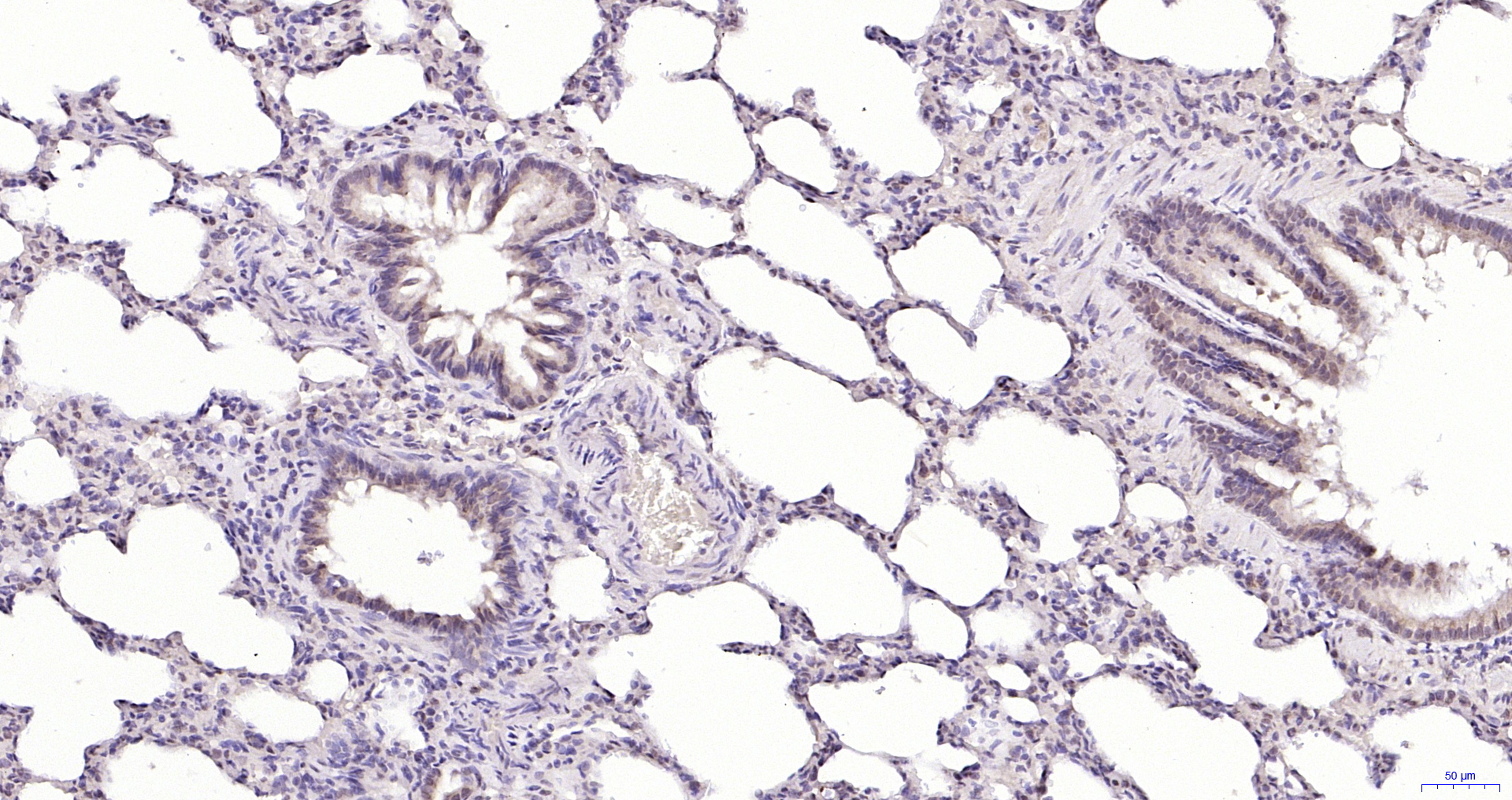
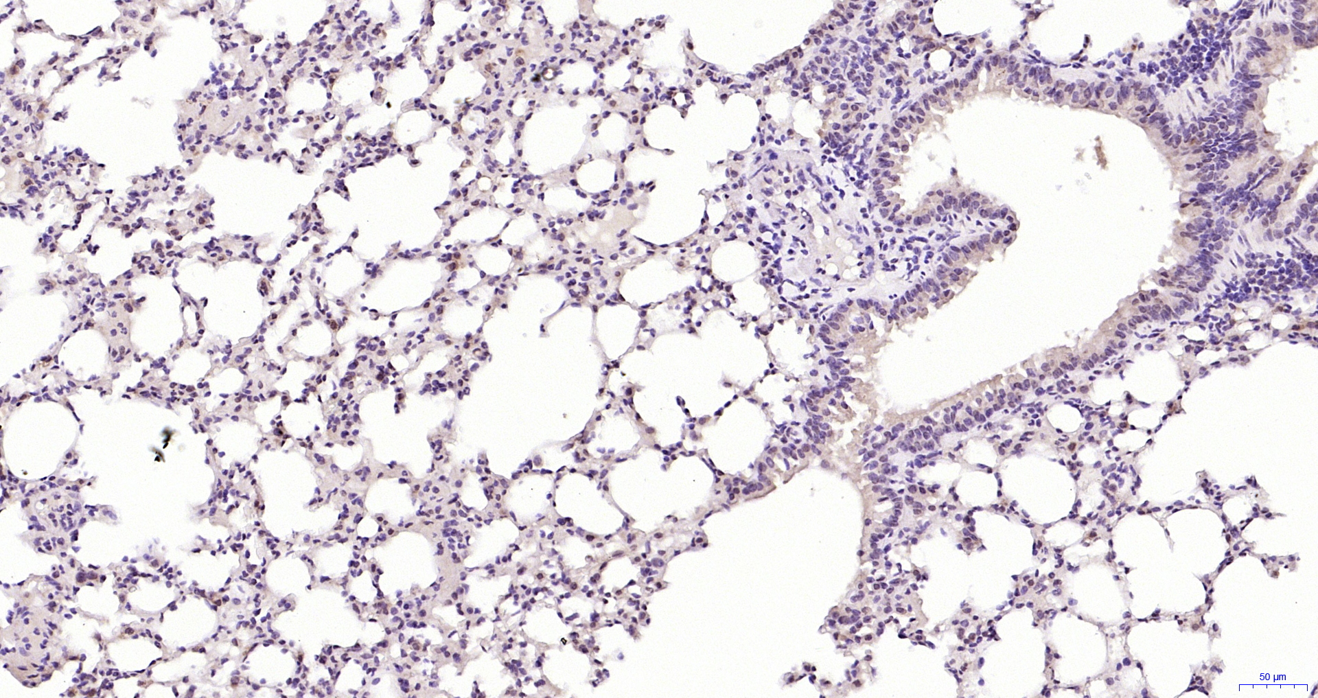
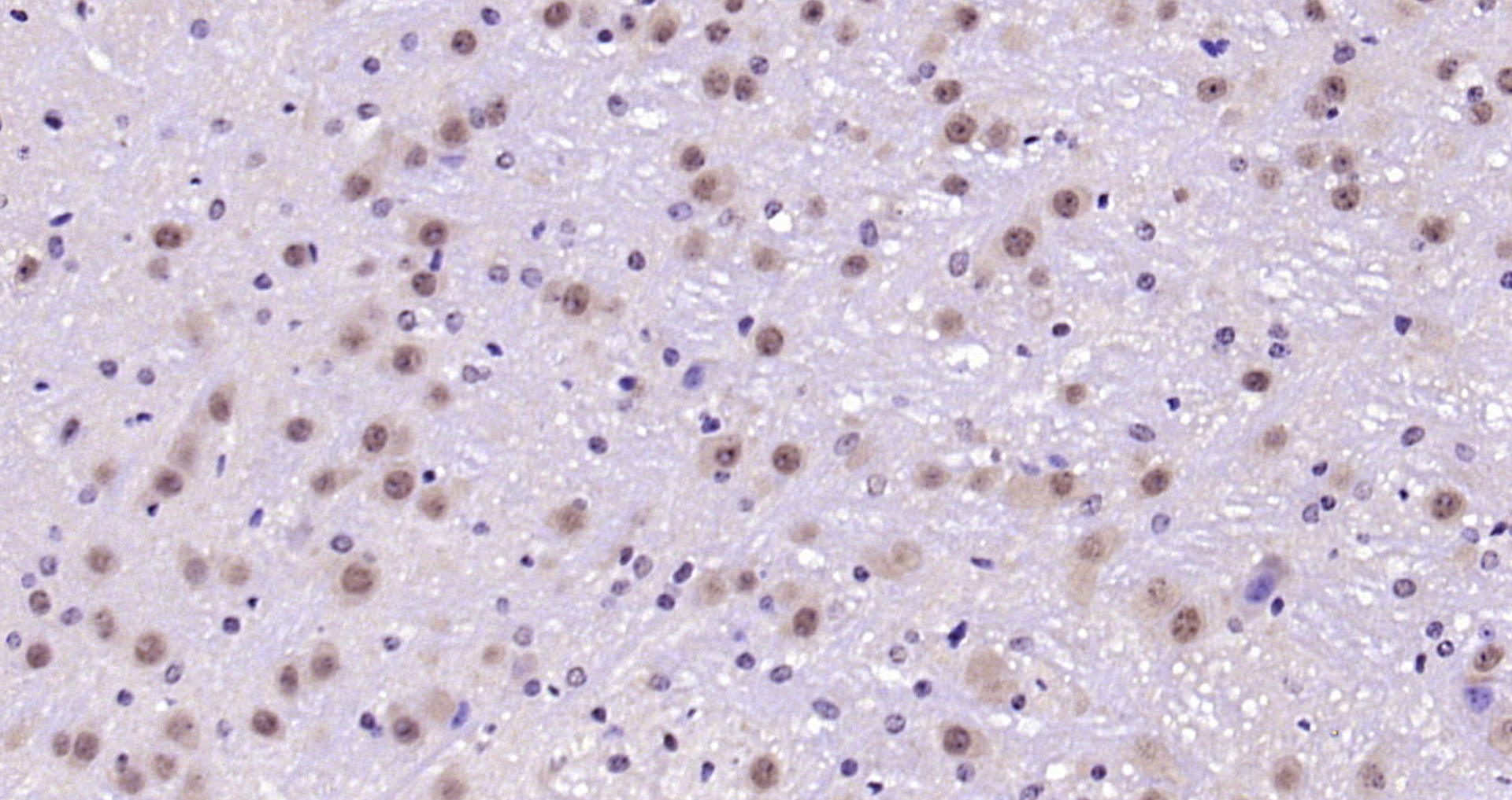
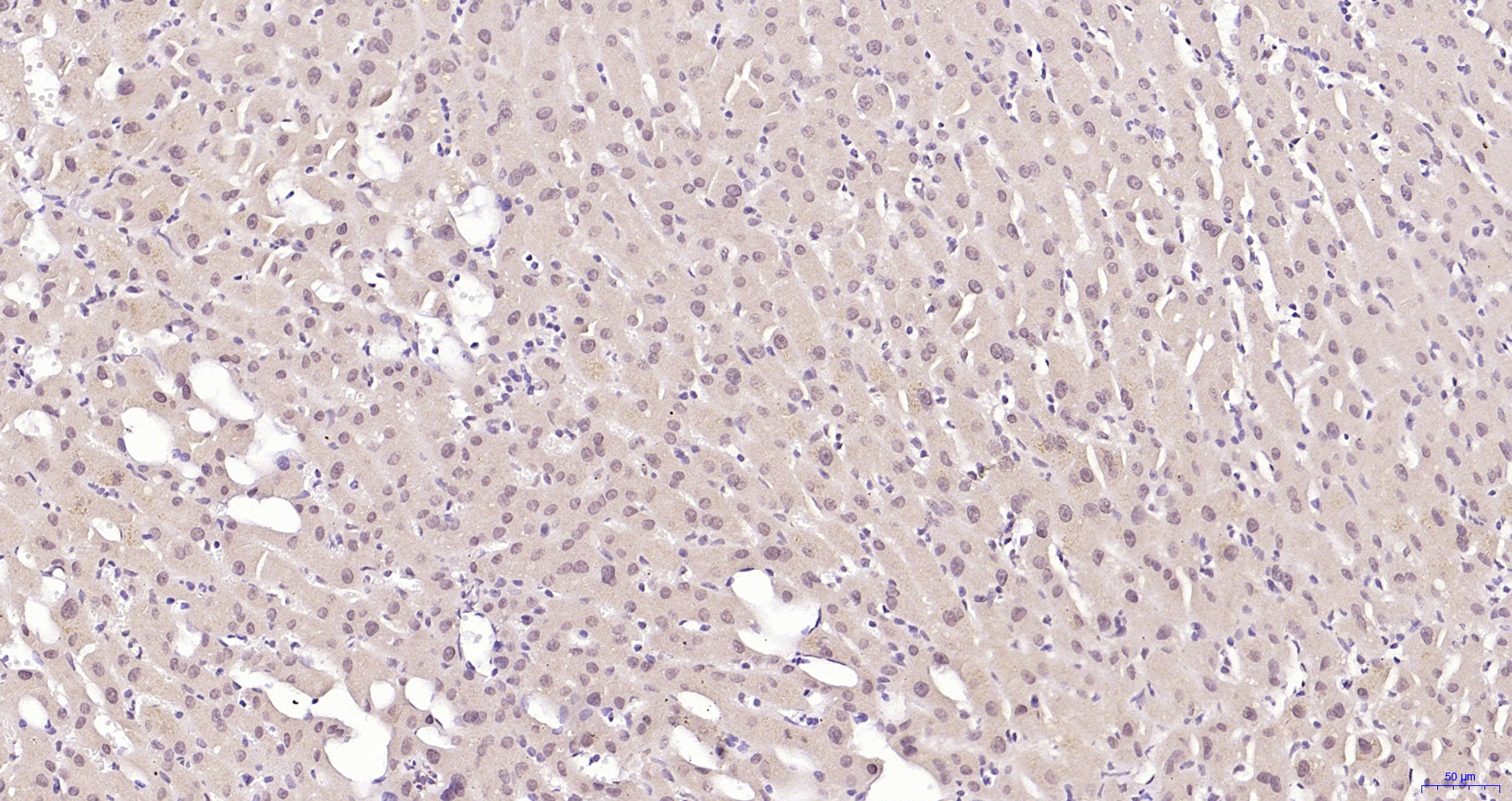
| IHC-P, IHC-F, IF |
| Human, Mouse, Rat |
| Specifications |
| Unconjugated |
| Rabbit |
| Synthetic peptide derived from human AKT1(T450), around 400-470aa (phospho T450). |
| T450 |
| Recombinant |
| IgG |
| Lot dependent |
| Purified by Protein A. |
| 0.01M TBS (pH 7.4), 1% BSA, 0.02% Proclin 300, and 50% Glycerol |
| Shipped at 4°. Store at -20°C for one year. Avoid repeated freeze/thaw cycles. |
| Target |
| 207 |
| P31749 |
| AKT; PKB; RAC; CWS6; PRKBA; PKB-ALPHA; RAC-ALPHA; RAC-alpha serine/threonine-protein kinase; Protein kinase B; Protein kinase B alpha; PKB alpha; Proto-oncogene c-Akt; RAC-PK-alpha; AKT1; RAC-gamma serine/threonine-protein kinase; Protein kinase Akt-3; Protein kinase B gamma; PKB gamma; RAC-PK-gamma; STK-2; PKBG |
| AKT, also known as protein kinase B (PKB), is a 57 kDa serine/threonine protein kinase. There are three mammalian isoforms of Akt: AKT1 (PKB alpha), AKT2 (PKB beta) and AKT3 (PKB gamma) with AKT2 and AKT3 being approximately 82% identical with the AKT1 isoform. Each isoform has a pleckstrin homology (PH)domain, a kinase domain and a carboxy terminal regulatory domain. AKT was originally cloned from the retrovirus AKT8, and is a key regulator of many signal transduction pathways. Its tight control over cell proliferation and cell viability are manifold; overexpression or inappropriate activation of AKT has been seen in many types of cancer. AKT mediates many of the downstream events of phosphatidylinositol 3 kinase (a lipid kinase activated by growth factors, cytokines and insulin). PI3 kinase recruits AKT to the membrane, where it is activated by PDK1 phosphorylation. Once phosphorylated, AKT dissociates from the membrane and phosphorylates targets in the cytoplasm and the cell nucleus. |
| Application Dilution |
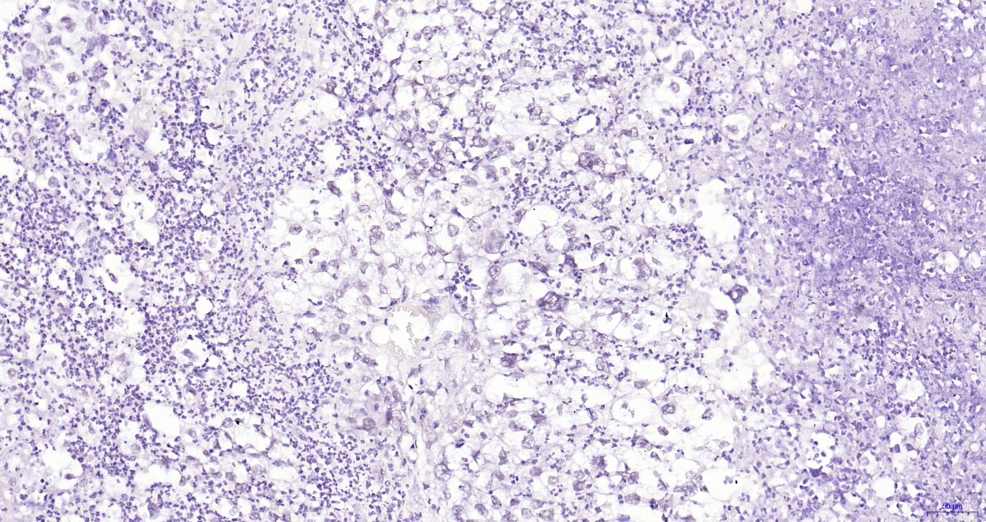
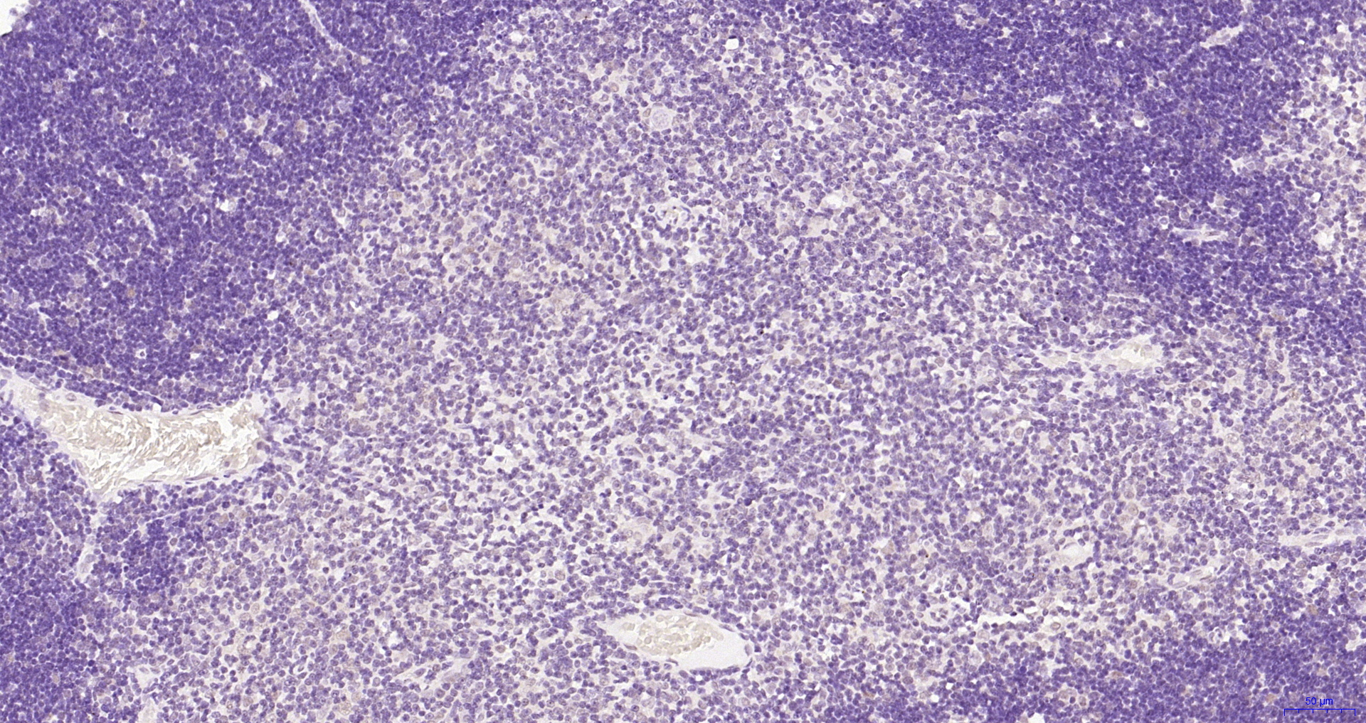
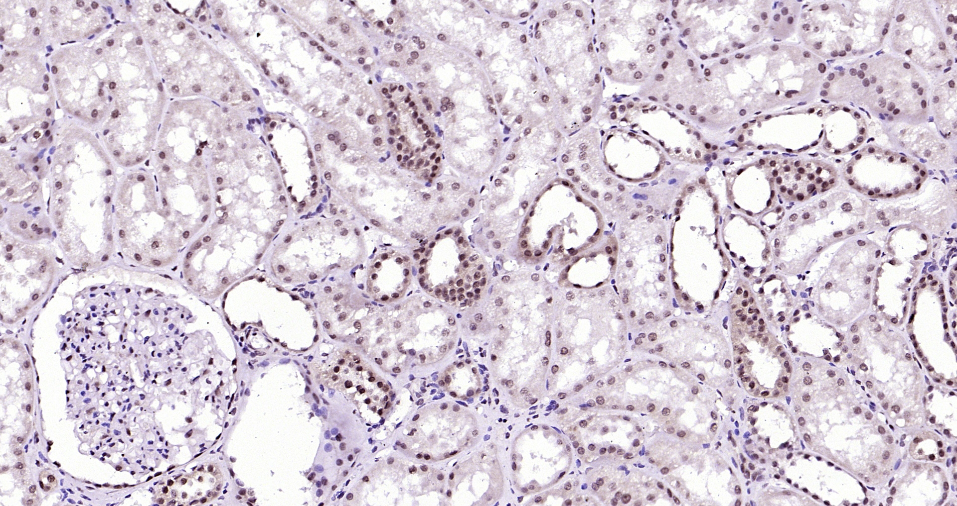
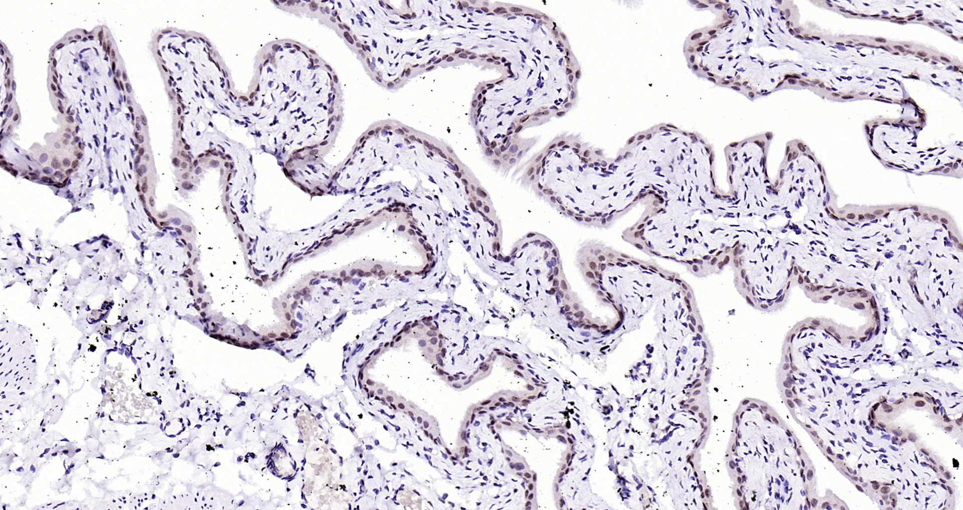
| IHC-P |
1:200-400 |
| IHC-F |
1:100-500 |
| IF |
|