RECEIVE 25% OFF PUBLISHED ANTIBODIES WITH CODE "PUB25"! Offer valid for US customers and available internationally through distributors.

Phospho-Glycogen synthase 1 (Ser641) Recombinant Antibody

Applications

  • WB
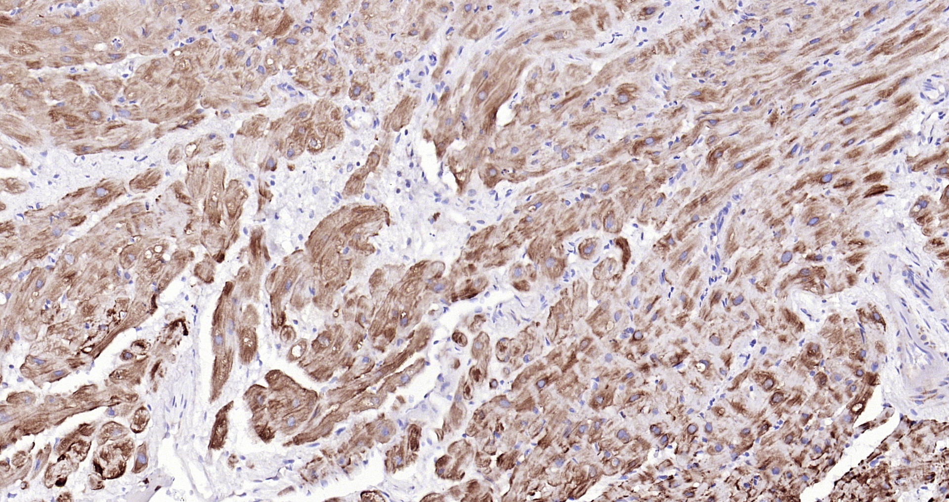
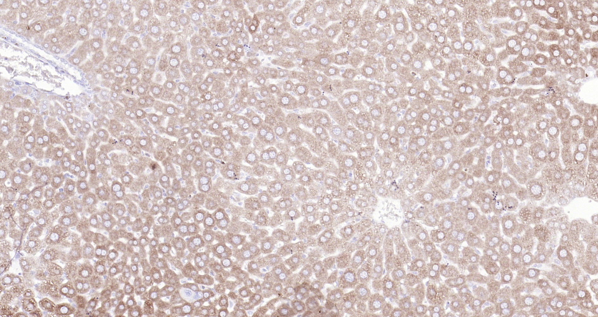
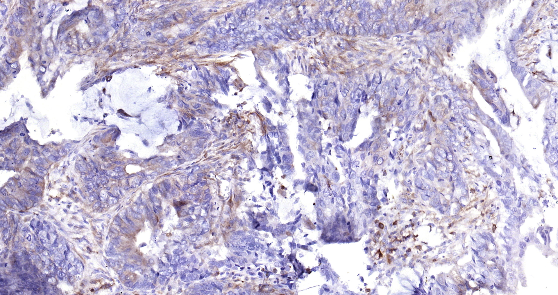
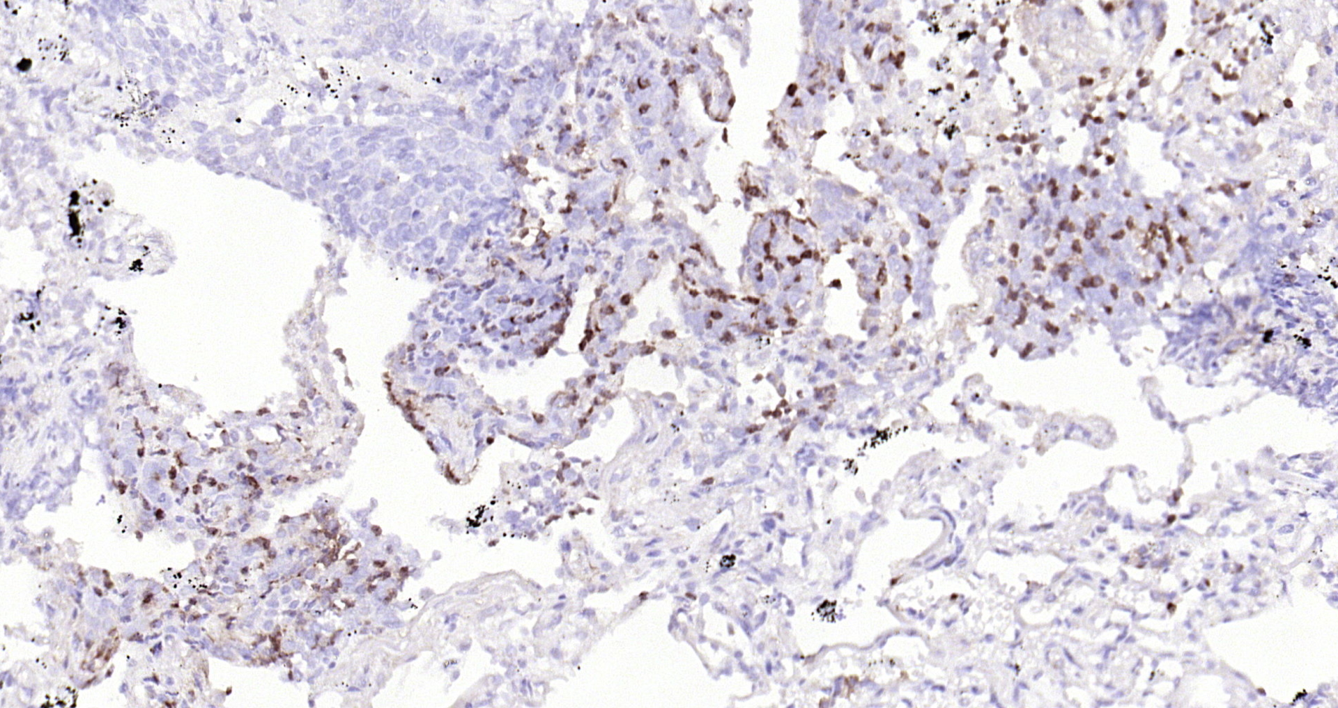
  • IHC-P
  • IHC-F
  • IF
  • ICC/IF

Reactivity

  • Human
  • Mouse
  • Rat
Overview
Catalog # bsm-52159r-100ul
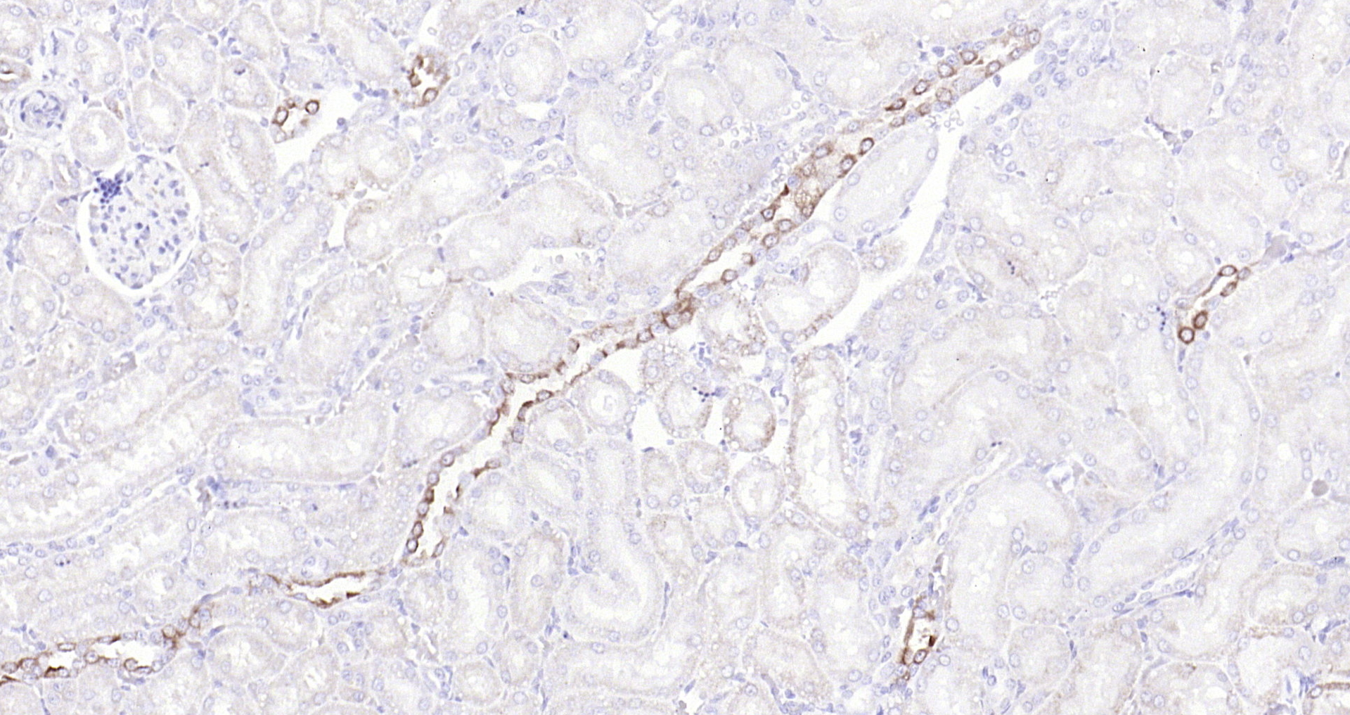
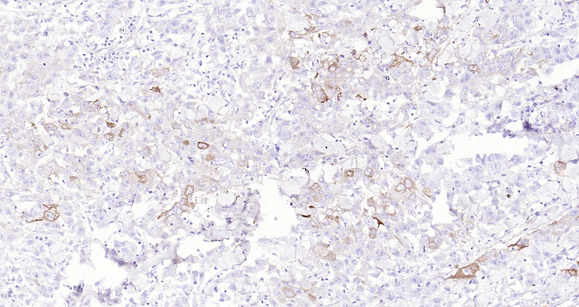
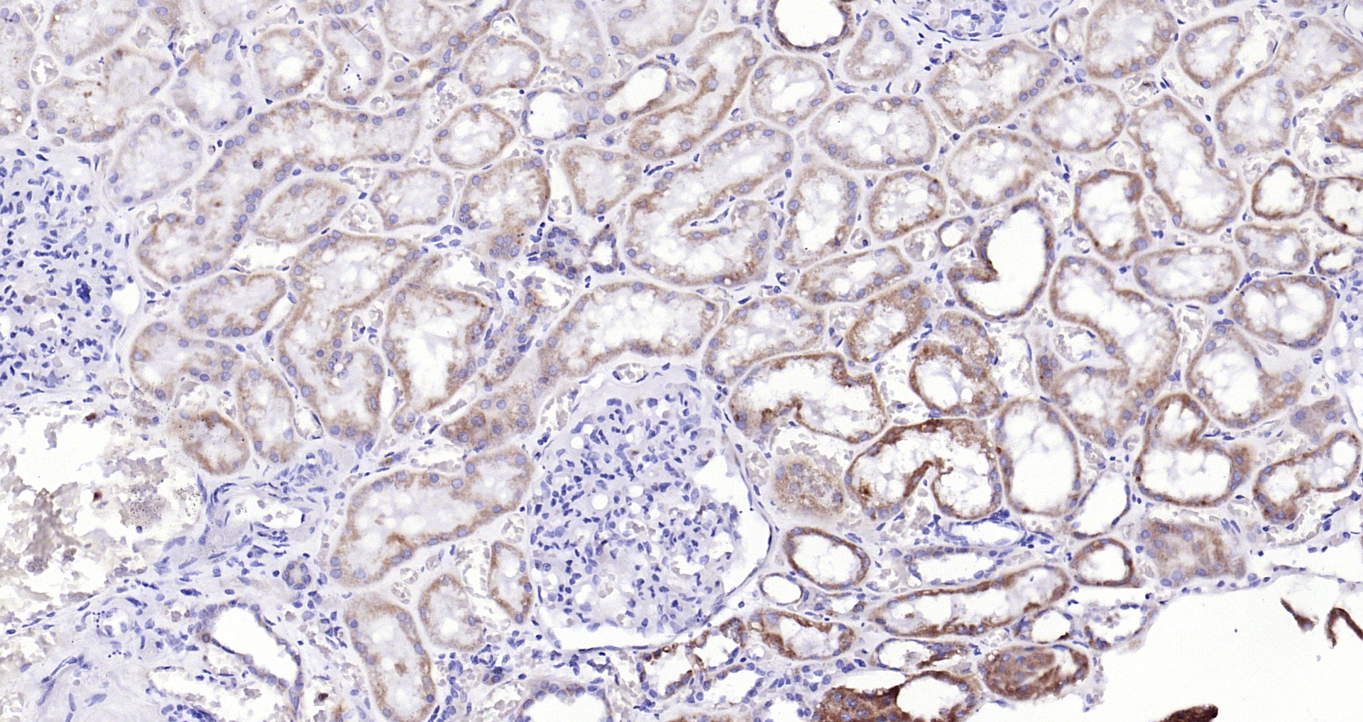
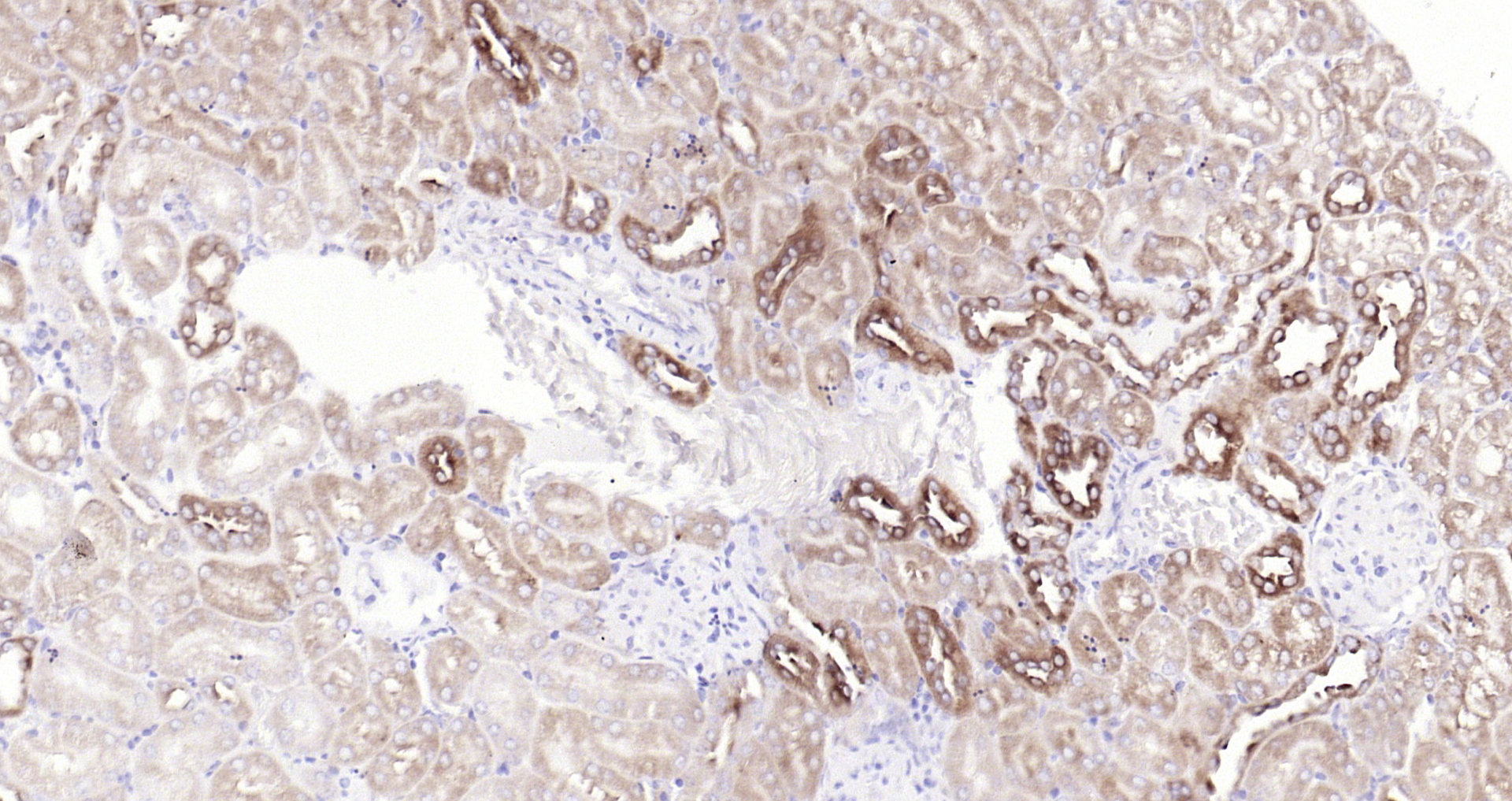
Product Name Phospho-Glycogen synthase 1 (Ser641) Recombinant Antibody
Applications WB, IHC-P, IHC-F, IF, ICC/IF
Reactivity Human, Mouse, Rat
Specifications
Conjugation Unconjugated
Host Rabbit
Source Synthetic peptide derived from human Glycogen synthase 1(S641), around 630-680aa (phospho S641).
Modification Site S641
Clonality Recombinant
Isotype IgG
Concentration Lot Dependent
Purification Purified by Protein A.
Storage Buffer 0.01M TBS (pH 7.4), 1% BSA, 0.02% Proclin 300, and 50% Glycerol
Storage Condition Shipped at 4C. Store at -20C for one year. Avoid repeated freeze/thaw cycles.
Target
Gene ID 2997
Swiss Prot P13807
Synonyms Glycogen synthase 1 phospho S640; Glycogen synthase 1 phospho Ser640; p-Glycogen synthase 1 S640; Glycogen synthase 1 muscle; Glycogen synthase 1; GSY; GYS; GYS1; EC 2.4.1.11; Glycogen synthase1; GYS 1; Starchsynthase muscle; UDP glucose glycogen glucosyltransferase; GYS1_HUMAN; Glycogen [starch] synthase, muscl.
Background Glycogen Synthase (GS) is a key enzyme in the regulation of glycogen metabolism. GS catalyzes the incorporation of UDP-glucose incorporation into glycogen. The activity of glycogen synthase is regulated by hormonal stimuli (insulin, catecholamines and glucagons) and non-hormonal stimuli (blood glucose level and exercise). Two main isoforms of mammalian GS are designated as muscle (glycogen synthase 1) and liver (glycogen synthase 2). Most tissues express glycogen synthase 1, whereas glycogen synthase 2 appears to be tissue-specific. The two isoforms have 70% identical amino acid sequence. Glycogen synthase can be phosphorylated by multiple kinases including glycogen synthase kinase-3 (GSK-3), mitogen-activated protein kinase-related protein kinase (DYRK), and SAPK2b/p38b which leads to its inactivation.
Application Dilution
WB 1:300-5000
IHC-P 1:200-400
IHC-F 1:100-500
IF 1:50-200
ICC/IF 1:50-100