Receive 30% off all Monoclonal IHC antibodies with code "MONO-IHC-30"! Offer valid for US customers and available internationally through distributors.

Phospho-PKR (Thr446) Recombinant Antibody

Applications

  • WB
  • IHC-P
  • IHC-F
  • IF

Reactivity

  • Human
Overview
Catalog # bsm-52189r-TR
Product Name Phospho-PKR (Thr446) Recombinant Antibody
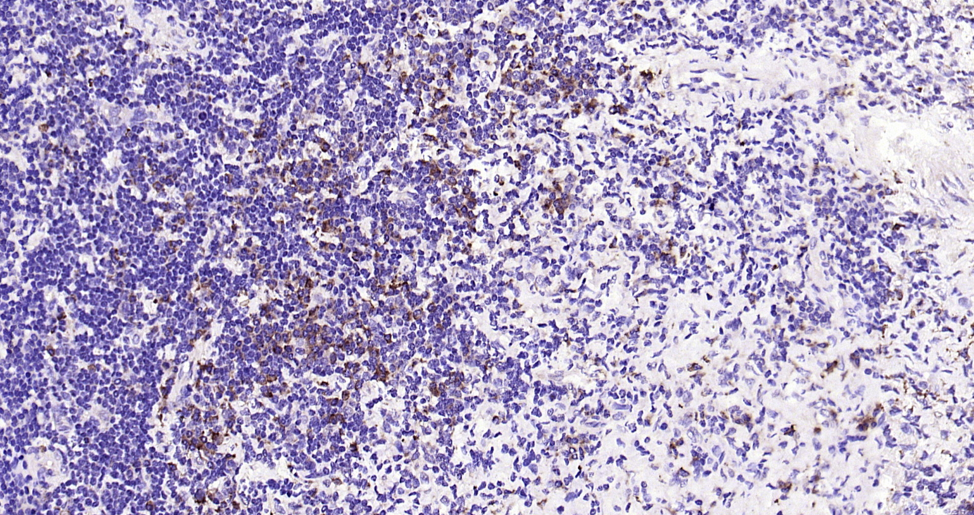
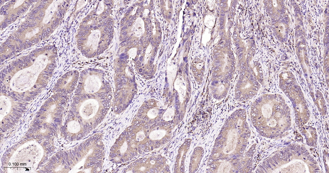
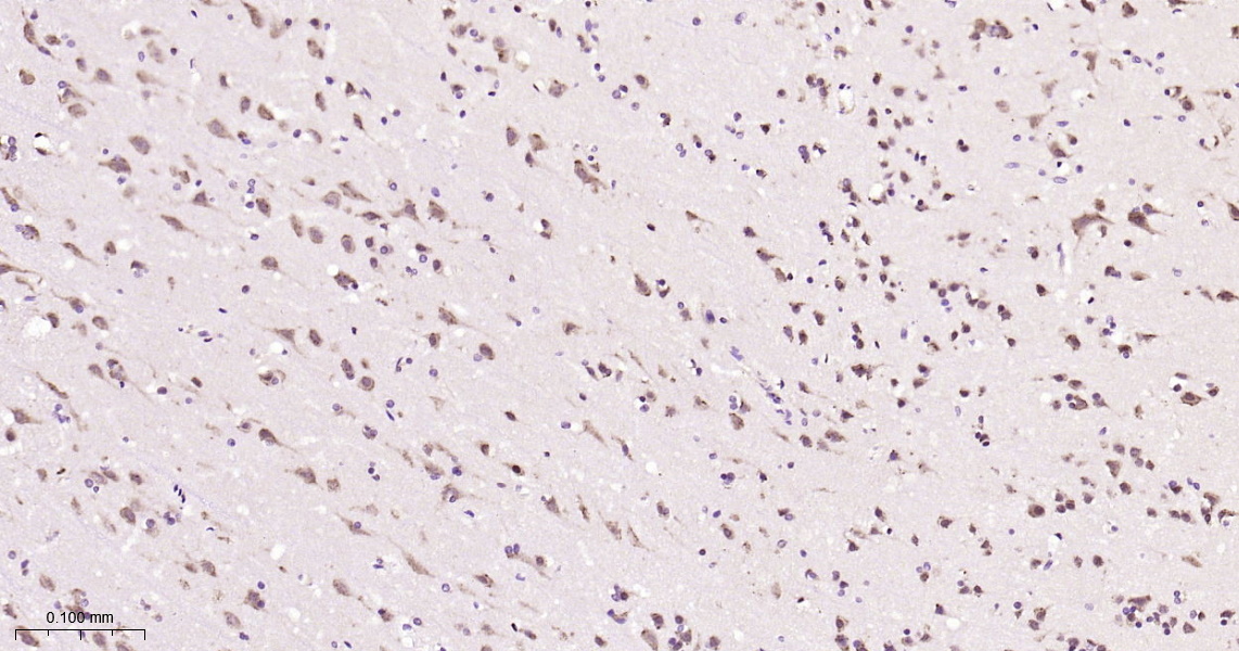
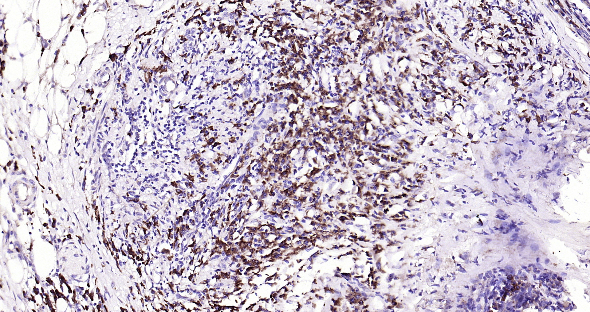
Applications WB, IHC-P, IHC-F, IF
Reactivity Human
Specifications
Conjugation Unconjugated
Host Rabbit
Source A synthesized peptide derived from human eIF2A K2 around the phosphorylation site of T446
Clonality Recombinant
Isotype IgG
Concentration Lot dependent
Purification Purified by Protein A.
Storage Buffer 0.01M TBS(pH7.4) with 1% BSA, 0.02% Proclin300 and 50% Glycerol.
Storage Condition Shipped at 4C. Store at -20C for one year. Avoid repeated freeze/thaw cycles.
Target
Gene ID 5610
Swiss Prot P19525
Subcellular location Cytoplasm, Nucleus
Synonyms PKR(T446); PKR(phospho T446); p-PKR(phospho T446); PKR(phospho-Thr446); double-stranded RNA-dependent Protein Kinase; interferon-induced, double-stranded RNA-activated protein kinase isoform a; protein kinase, interferon-inducible double stranded RNA dependent; interferon-inducible elF2alpha kinase; double stranded RNA activated protein kinase; p68 kinase; eIF-2A protein kinase 2; P1/eIF-2A protein kinase; protein kinase RNA-activated; interferon-inducible RNA-dependent protein kinase; EIF2AK2; EIF2AK1; MGC126524; PKR; PRKRv; E2AK2_HUMAN.
Application Dilution
WB 1:300-5000
IHC-P 1:200-400
IHC-F 1:100-500
IF