Receive 30% off all Monoclonal IHC antibodies with code "MONO-IHC-30"! Offer valid for US customers and available internationally through distributors.

Smad1 Recombinant Antibody

Applications

  • WB
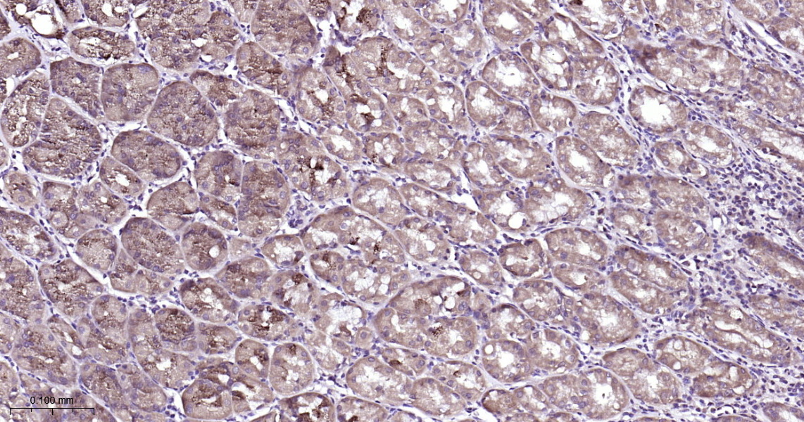
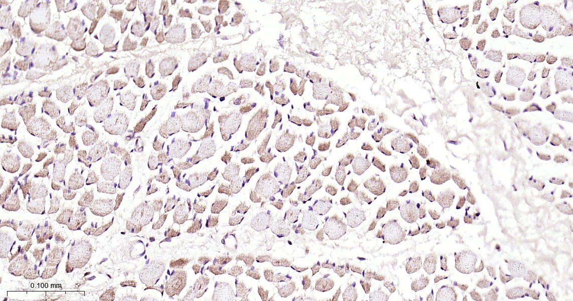
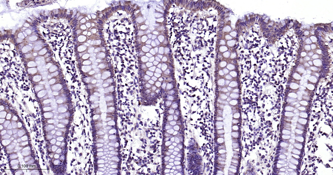
  • IHC-P
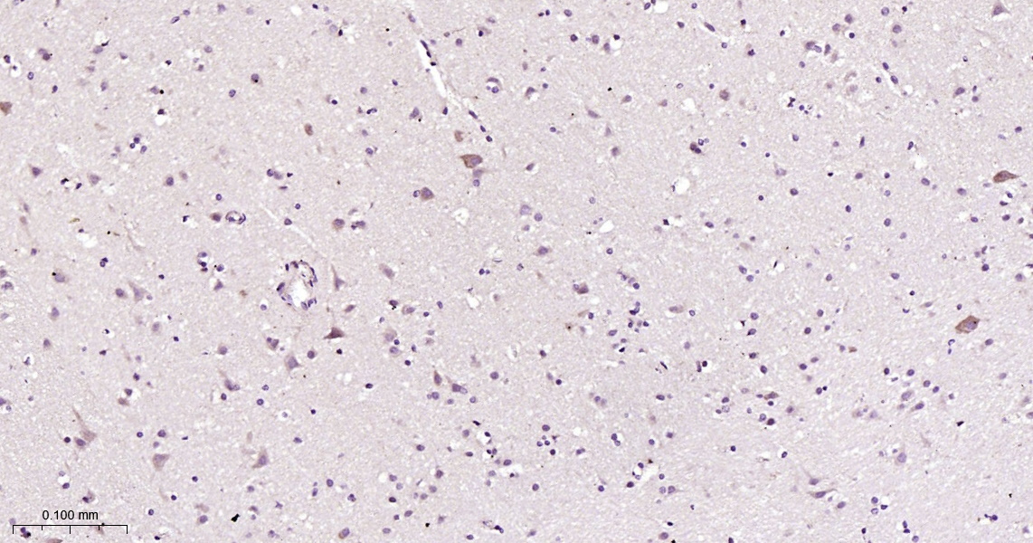
  • IHC-F
  • IF
  • ICC/IF

Reactivity

  • Human
Overview
Catalog # bsm-52222r-TR
Product Name Smad1 Recombinant Antibody
Applications WB, IHC-P, IHC-F, IF, ICC/IF
Reactivity Human
Specifications
Conjugation Unconjugated
Host Rabbit
Source Recombinant human Smad1 protein, around N-terminal 1-200aa.
Clonality Recombinant
Isotype IgG
Concentration Lot dependent
Purification Purified by Protein A.
Storage Buffer 0.01M TBS (pH 7.4), 1% BSA, 0.02% Proclin 300, and 50% Glycerol
Storage Condition Shipped at 4C. Store at -20C for one year. Avoid repeated freeze/thaw cycles.
Target
Gene ID 4086
Swiss Prot Q15797
Synonyms Smad1 phospho S465; Smad1 phospho Ser465; p-Smad1 Ser465; Mothers against decapentaplegic homolog 1; BSP 1; BSP1; BSP-1; Dwarfin A; DwfA; hSMAD 1; hSMAD1; JV 41; JV4 1; JV4-1; JV41; MAD mothers against decapentaplegic homolog 1; Mad related protein 1; MADH 1; MADH1; Madr 1; MADR1; Mothers against decapentaplegic homolog 1; Mothers against DPP homolog 1; Sma and Mad related protein 1; SMAD 1; SMAD-1; SMAD family member 1; SMAD mothers against DPP homolog 1 Drosophila; Spinal muscular atrophy distal with upper limb predominance; TGF beta signaling protein 1; Transforming growth factor beta signaling protein 1; SMAD1_HUMAN; MAD homolog 1; Mothers against DPP homolog 1; Mad-related protein 1; SMAD family member 1; Smad1; Transforming growth factor-beta-signaling protein 1.
Background The protein encoded by this gene belongs to the SMAD, a family of proteins similar to the gene products of the Drosophila gene 'mothers against decapentaplegic' (Mad) and the C. elegans gene Sma. SMAD proteins are signal transducers and transcriptional modulators that mediate multiple signaling pathways. This protein mediates the signals of the bone morphogenetic proteins (BMPs), which are involved in a range of biological activities including cell growth, apoptosis, morphogenesis, development and immune responses. In response to BMP ligands, this protein can be phosphorylated and activated by the BMP receptor kinase. The phosphorylated form of this protein forms a complex with SMAD4, which is important for its function in the transcription regulation. This protein is a target for SMAD-specific E3 ubiquitin ligases, such as SMURF1 and SMURF2, and undergoes ubiquitination and proteasome-mediated degradation. Alternatively spliced transcript variants encoding the same protein have been observed. [provided by RefSeq].
Application Dilution
WB 1:300-5000
IHC-P 1:200-400
IHC-F 1:100-500
IF
ICC/IF 1:50-100