Receive 30% off all Monoclonal IHC antibodies with code "MONO-IHC-30"! Offer valid for US customers and available internationally through distributors.

STAT5b Recombinant Antibody

Applications

  • WB
  • IHC-P
  • IHC-F
  • IF

Reactivity

  • Human
  • Mouse
  • Rat
Overview
Catalog # bsm-52238r
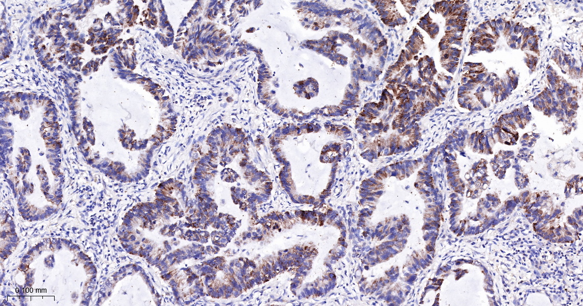
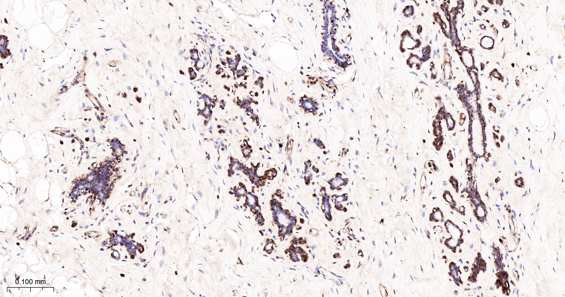
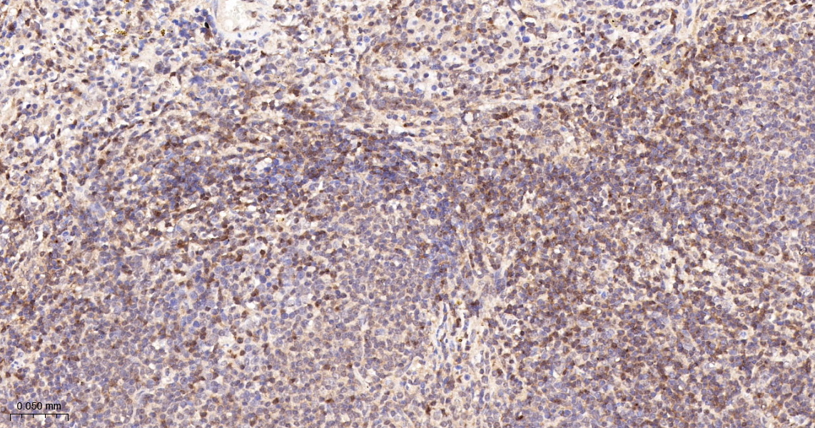
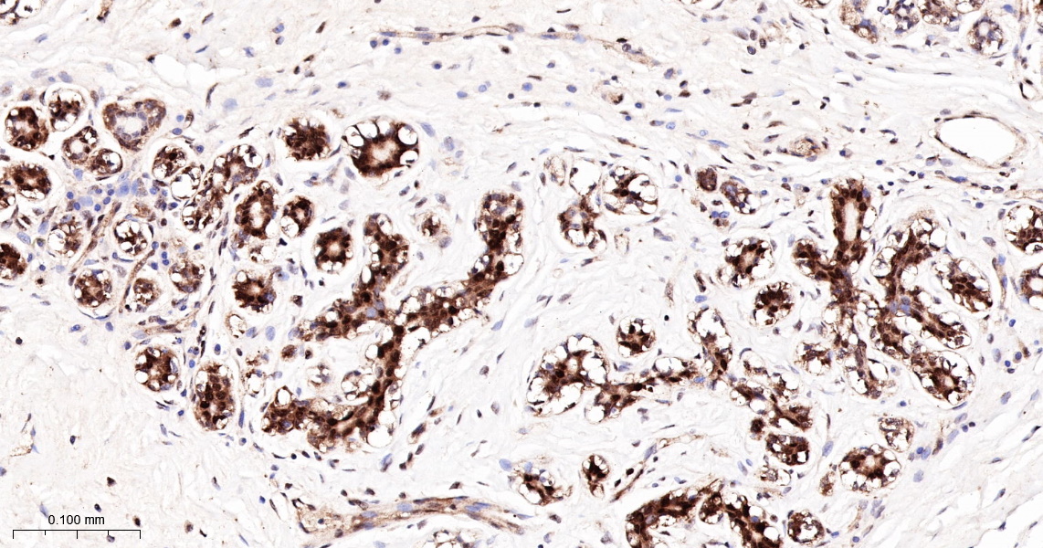
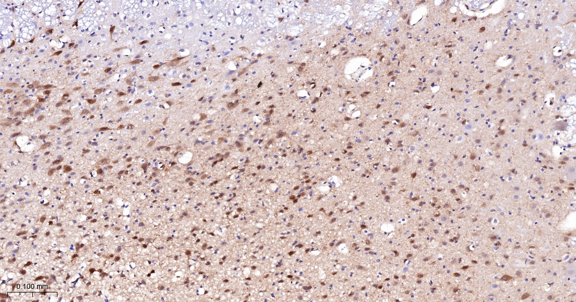
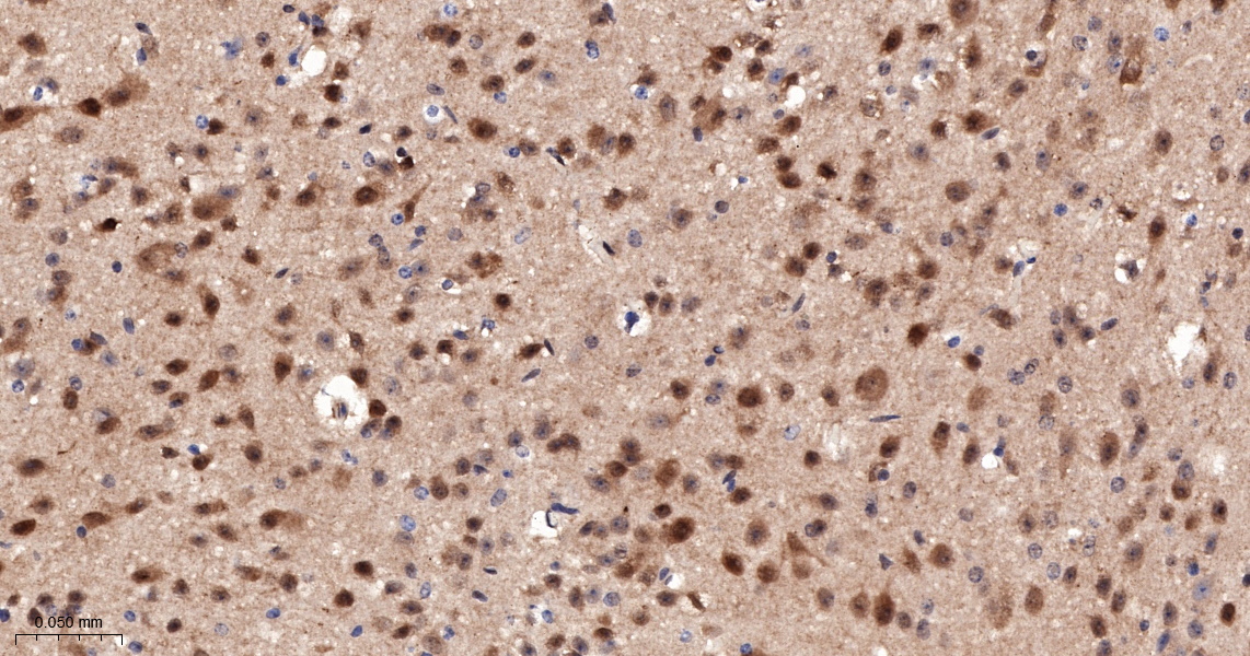
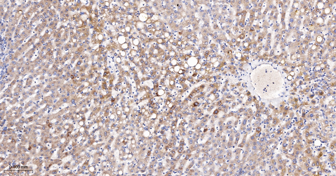
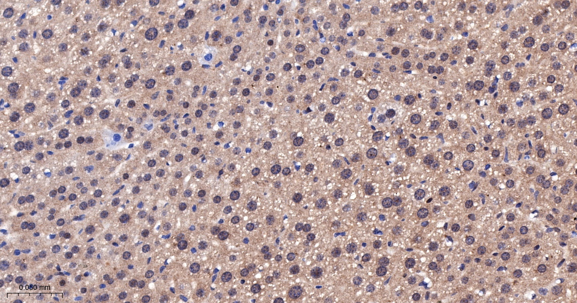
Product Name STAT5b Recombinant Antibody
Applications WB, IHC-P, IHC-F, IF
Reactivity Human, Mouse, Rat
Specifications
Conjugation Unconjugated
Host Rabbit
Source Recombinant human STAT5b protein, around 500-600aa.
Clonality Recombinant
Isotype IgG
Concentration Lot Dependent
Purification Purified by Protein A.
Storage Buffer 0.01M TBS (pH 7.4), 1% BSA, 0.02% Proclin 300, and 50% Glycerol
Storage Condition Store at -20°C for 12 months.
Target
Gene ID 6777
Swiss Prot P51692
Synonyms Transcription factor STAT5B; Signal transducer and activator of transcription 5B; STA5B_HUMAN; STAT5; Stat5b.
Background Carries out a dual function: signal transduction and activation of transcription. Binds to the GAS element and activates PRL-induced transcription.
Application Dilution
WB 1:300-5000
IHC-P 1:200-400
IHC-F 1:100-500
IF