RECEIVE 25% OFF PUBLISHED ANTIBODIES WITH CODE "PUB25"! Offer valid for US customers and available internationally through distributors.

VCAM1 Recombinant Antibody

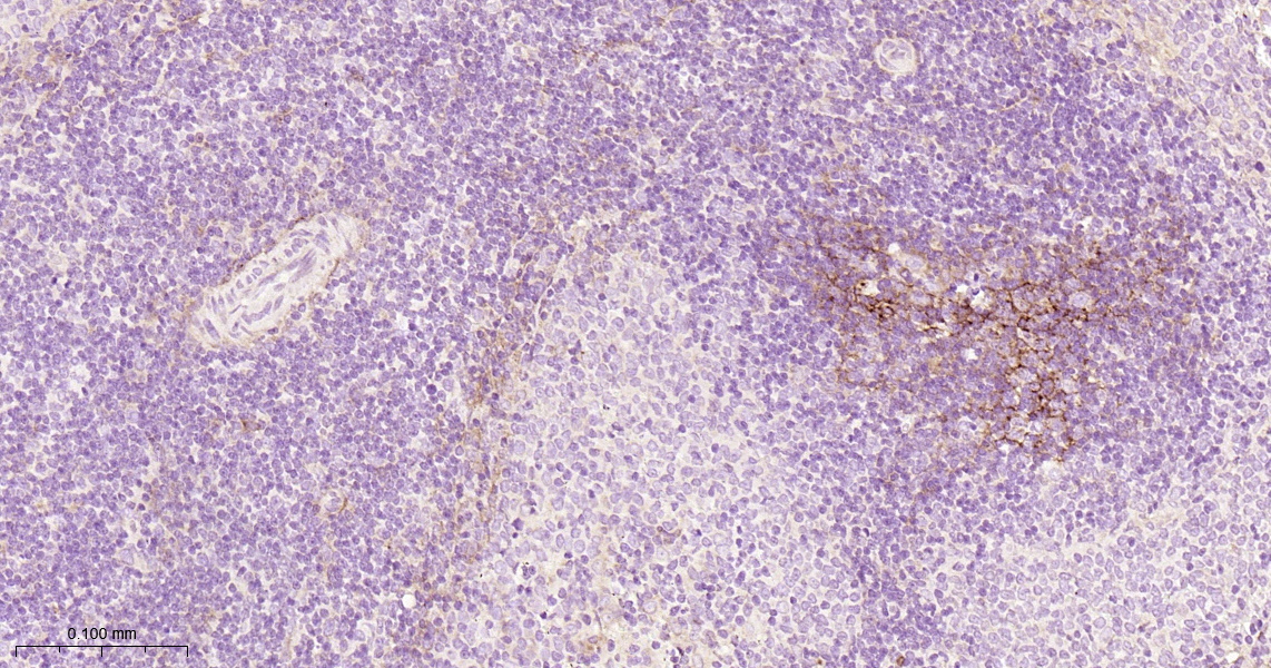
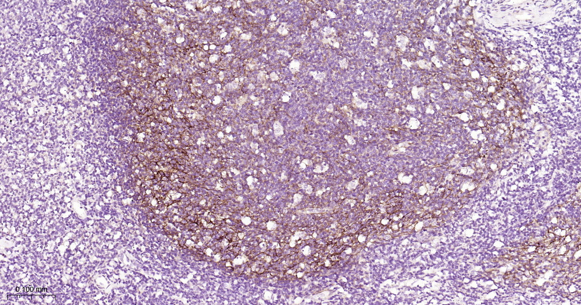
Applications

  • WB
  • IHC-P
  • IHC-F
  • IF(IHC-P)

Reactivity

  • Human
  • Mouse
  • Rat
Overview
Catalog # bsm-52248r-TR
Product Name VCAM1 Recombinant Antibody
Applications WB, IHC-P, IHC-F, IF(IHC-P)
Reactivity Human, Mouse, Rat
Specifications
Conjugation Unconjugated
Host Rabbit
Source KLH conjugated synthetic peptide derived from human VCAM-1
Clonality Recombinant
Isotype IgG
Concentration 1mg/ml
Purification Purified by Protein A.
Storage Buffer 0.01M TBS (pH7.4) with 1% BSA, 0.02% Proclin300 and 50% Glycerol.
Storage Condition Shipped at 4C. Store at -20C for one year. Avoid repeated freeze/thaw cycles.
Target
Gene ID 7412
Swiss Prot P19320
Subcellular location Cell membrane
Synonyms VCAM1; CD 106; CD106; CD106 Antigen; DKFZp779G2333; INCAM 100; L1CAM; MGC99561; Vascular Cell Adhesion Molecule 1; Vascular cell adhesion protein 1; VCAM 1; VCAM-1; INCAM-100; V-CAM 1; VCAM1_HUMAN.
Application Dilution
WB 1:500-2000
IHC-P IHC-P1:200-1000
IHC-F IHC-F1:200-1000
IF(IHC-P) IFIHC-P1:200-1000