Receive 30% off all Monoclonal IHC antibodies with code "MONO-IHC-30"! Offer valid for US customers and available internationally through distributors.

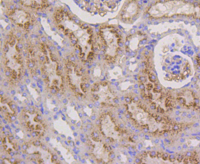
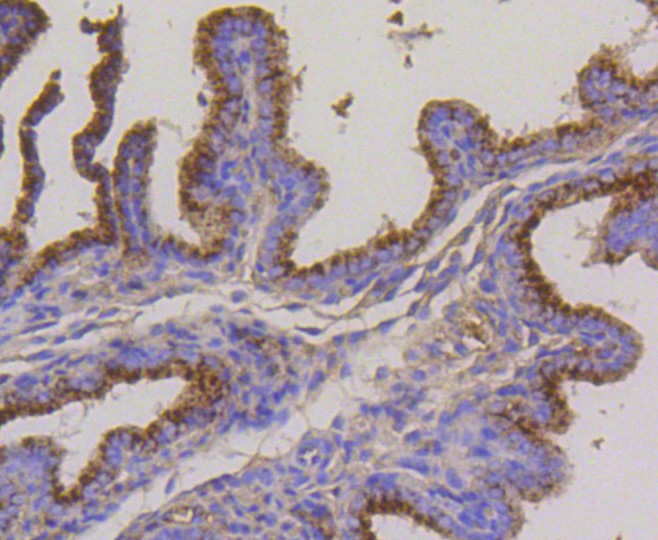
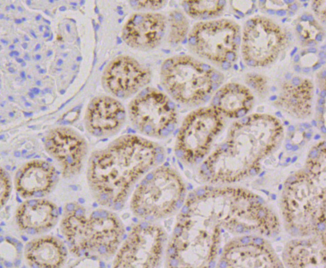
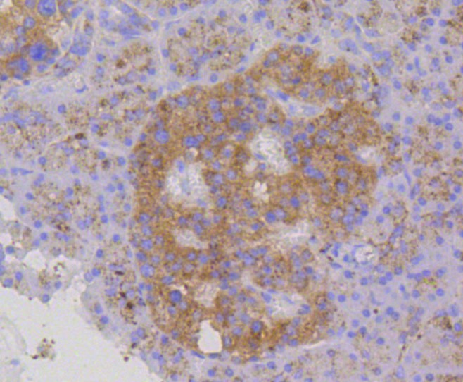
LAMP2a (2C4) Monoclonal Antibody

Applications

  • WB
  • IHC-P
  • IHC

Reactivity

  • Human
  • Mouse
  • Rat
Overview
Catalog # bsm-52255R
Product Name LAMP2a (2C4) Monoclonal Antibody
Applications WB, IHC-P, IHC
Reactivity Human, Mouse, Rat
Specifications
Conjugation Unconjugated
Host Rabbit
Source Human LAMP2A between 400 to C-terminus
Clonality Monoclonal
Clone # #REF!
Isotype IgG
Concentration 1ug/ul
Purification Purified by Protein A.
Storage Buffer 0.01M TBS(pH7.4) with 1% BSA, 0.02% Proclin300 and 50% Glycerol.
Storage Condition Store at -20C for 12 months.
Target
Gene ID 3920
Swiss Prot P13473
Synonyms Lysosome-associated membrane glycoprotein 2, CD107 antigen-like family member B, CD_antigen: CD107b, LAMP-2, Lysosome-associated membrane protein 2
Background Implicated in tumor cell metastasis. May function in protection of the lysosomal membrane from autodigestion, maintenance of the acidic environment of the lysosome, adhesion when expressed on the cell surface (plasma membrane), and inter- and intracellular signal transduction. Protects cells from the toxic effects of methylating mutagens.
Application Dilution
WB 1:300-5000
IHC-P 1:200-400
IHC