Receive 30% off all Monoclonal IHC antibodies with code "MONO-IHC-30"! Offer valid for US customers and available internationally through distributors.

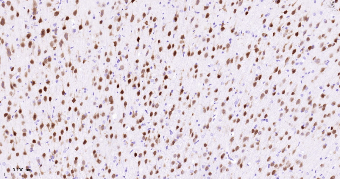
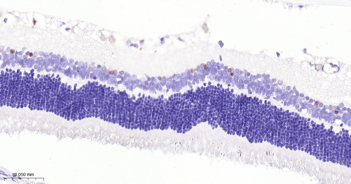
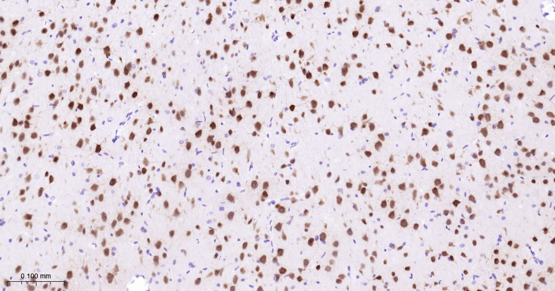
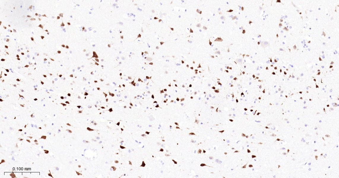
NeuN Recombinant Antibody

Applications

  • WB
  • IHC-P
  • IHC-F
  • IF

Reactivity

  • Human
  • Mouse
  • Rat
Overview
Catalog # bsm-52268r-TR
Product Name NeuN Recombinant Antibody
Applications WB, IHC-P, IHC-F, IF
Reactivity Human, Mouse, Rat
Specifications
Conjugation Unconjugated
Host Rabbit
Source Human NeuN between 1-100 amino acids
Clonality Recombinant
Isotype IgG
Concentration Lot Dependent
Purification Purified by Protein A.
Storage Buffer 0.01M TBS (pH 7.4), 1% BSA, 0.02% Proclin 300, and 50% Glycerol
Storage Condition Shipped at 4C. Store at -20C for one year. Avoid repeated freeze/thaw cycles.
Target
Gene ID 146713
Swiss Prot A6NFN3
Synonyms RNA binding protein fox-1 homolog 3, Fox-1 homolog C, RBFOX3
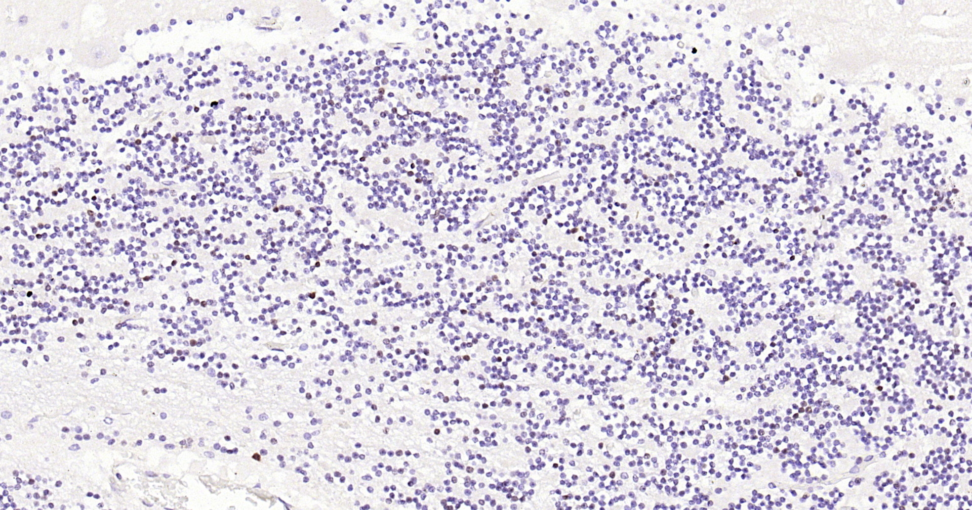
Background Vertebrate neuron-specific nuclear protein called NeuN (Neuronal Nuclei) is an excellent marker for neurons in primary cultures and in retinoic acid-stimulated P19 cells. It is also useful for identifying neurons in transplants. NeuN is a neuron-specific, DNA-binding nuclear protein in vertebrates. In mice, NeuN is observed in most neuronal cell types throughout the nervous system, including cerebellum, cerebral cortex, hippocampus, thalamus and spinal cord, as well as the dorsal root ganglia, sympathetic chain ganglia and enteric ganglia of the peripheral nervous system. NeuN immunoreactivity is first observed in neurons when they become post-mitotic and are initiating cellular and morphological differentiation. No staining is observed in proliferative zones. NeuN has been used as an immunohistochemical marker for excitotoxic lesions of the brain as well as in the diagnosis of a wide range of human tissue specimens from the central and peripheral nervous systems.
Application Dilution
WB 1:300-5000
IHC-P 1:200-400
IHC-F 1:100-500
IF