Receive 30% off all Monoclonal IHC antibodies with code "MONO-IHC-30"! Offer valid for US customers and available internationally through distributors.

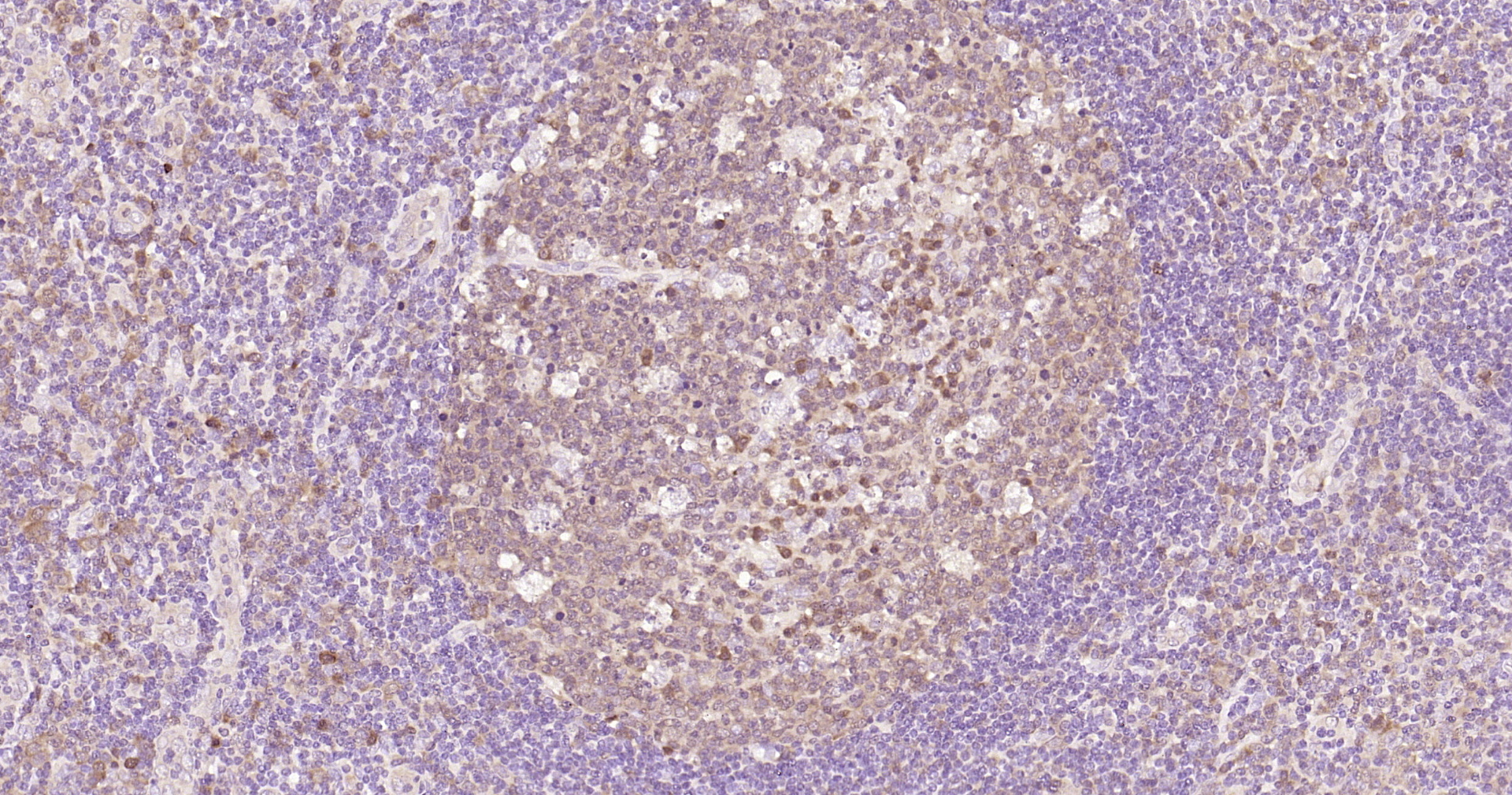
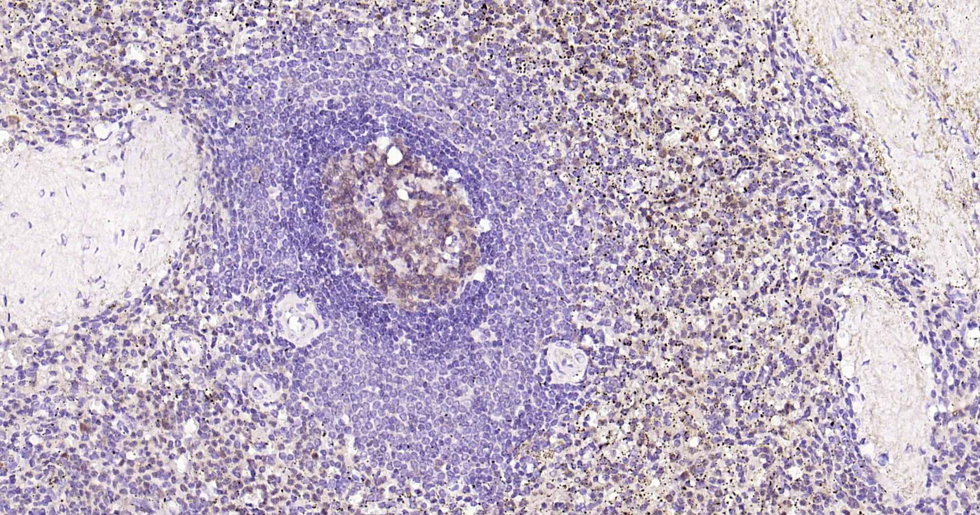
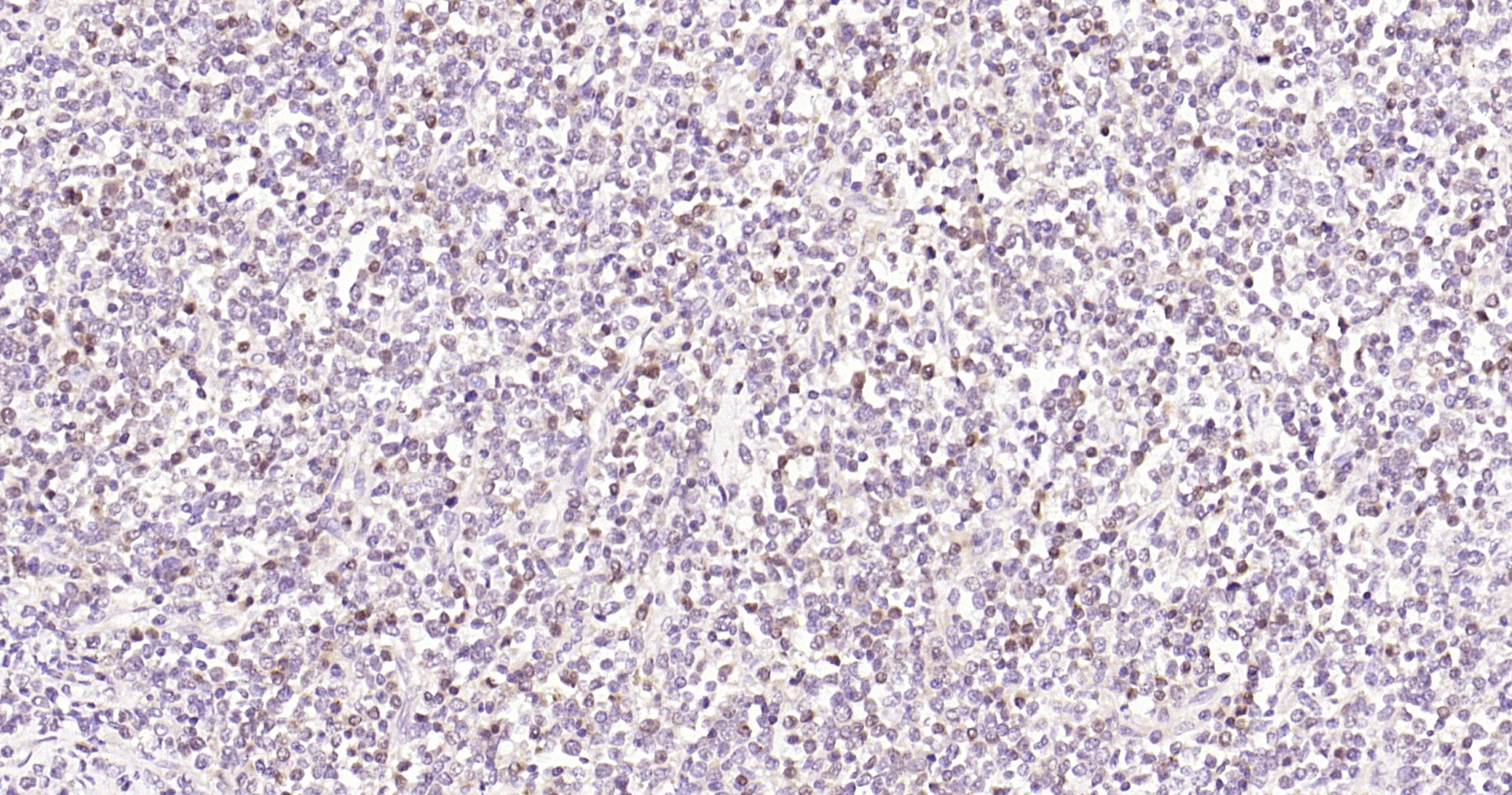
Caspase-3 Recombinant Antibody

Applications

  • WB
  • IHC-P
  • IHC-F
  • IF

Reactivity

  • Human
Overview
Catalog # bsm-52289r
Product Name Caspase-3 Recombinant Antibody
Applications WB, IHC-P, IHC-F, IF
Reactivity Human
Specifications
Conjugation Unconjugated
Host Rabbit
Source A synthesized peptide derived from human Caspase 3
Clonality Recombinant
Isotype IgG
Concentration 1mg/ml
Purification Purified by Protein A.
Storage Buffer 0.01M TBS (pH7.4) with 1% BSA, 0.02% Proclin300 and 50% Glycerol.
Storage Condition Shipped at 4C. Store at -20C for one year. Avoid repeated freeze/thaw cycles.
Target
Gene ID 836
Swiss Prot P42574
Subcellular location Cytoplasm
Synonyms cleaved Caspase 3; cleaved Caspase-3; APOPAIN; CASP3; Caspase 3 apoptosis related cysteine protease; Caspase3; CPP32; CPP32B; Cysteine protease CPP32; Human cysteine protease CPP32 isoform alpha mRNA complete cds; PARP cleavage protease; SCA 1; SCA1; SREBP cleavage activity 1; Yama; CASP3_HUMAN; Caspase-3; CASP-3; Apopain; Protein Yama; SREBP cleavage activity 1; SCA-1.
Application Dilution
WB 1:300-5000
IHC-P 1:200-400
IHC-F 1:100-500
IF