| Overview |
| bsm-52310r |
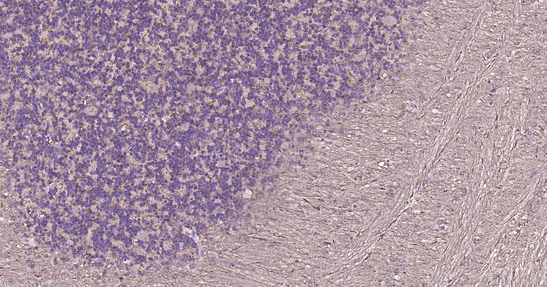
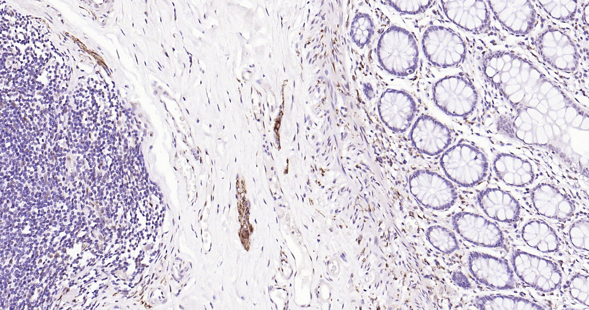
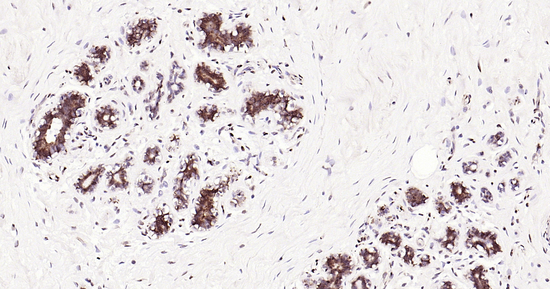
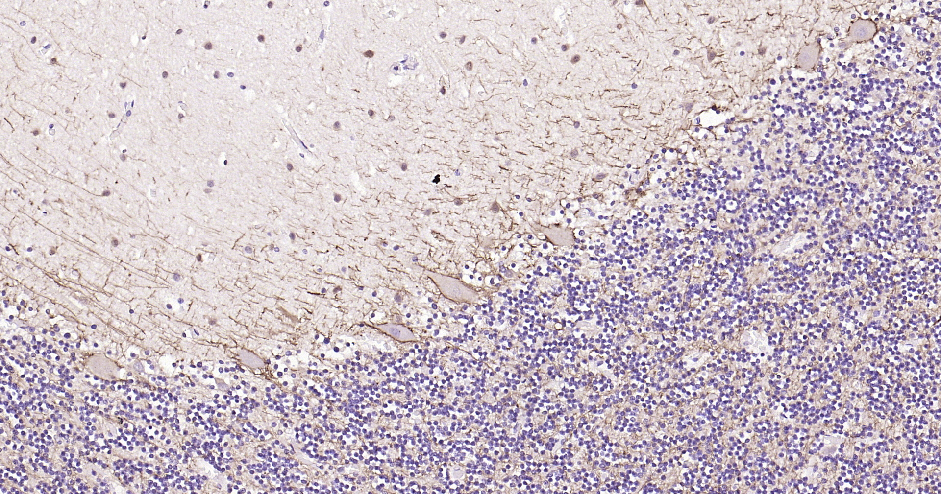
| Tau Monoclonal Antibody |
| WB, IF(ICC), IHC |
| Human, Mouse, Rat |
| Specifications |
| Unconjugated |
| Rabbit |
| Human Tau between 700 to C-terminus |
| Monoclonal |
| 1G4 |
| IgG |
| 1ug/ul |
| Purified by Protein A. |
| 0.01M TBS(pH7.4) with 1% BSA, 0.02% Proclin300 and 50% Glycerol. |
| Store at -20°C for 12 months. |
| Target |
| 4137 |
| P10636 |
| Microtubule-associated protein tau, Neurofibrillary tangle protein, Paired helical filament-tau, PHF-tau, MAPT |
| Promotes microtubule assembly and stability, and might be involved in the establishment and maintenance of neuronal polarity. The C-terminus binds axonal microtubules while the N-terminus binds neural plasma membrane components, suggesting that tau functions as a linker protein between both. Axonal polarity is predetermined by TAU/MAPT localization (in the neuronal cell) in the domain of the cell body defined by the centrosome. The short isoforms allow plasticity of the cytoskeleton whereas the longer isoforms may preferentially play a role in its stabilization. |
| Application Dilution |
| WB |
1:300-5000 |
| IF(ICC) |
1:50-200 |
| IHC |
|