Receive 30% off all Monoclonal IHC antibodies with code "MONO-IHC-30"! Offer valid for US customers and available internationally through distributors.

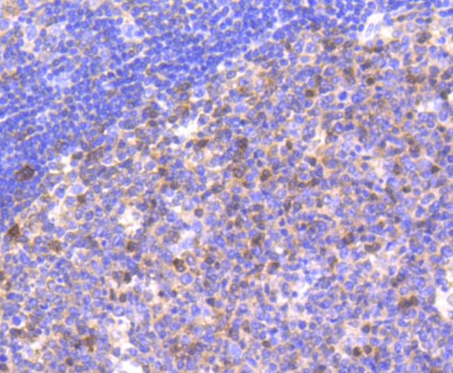
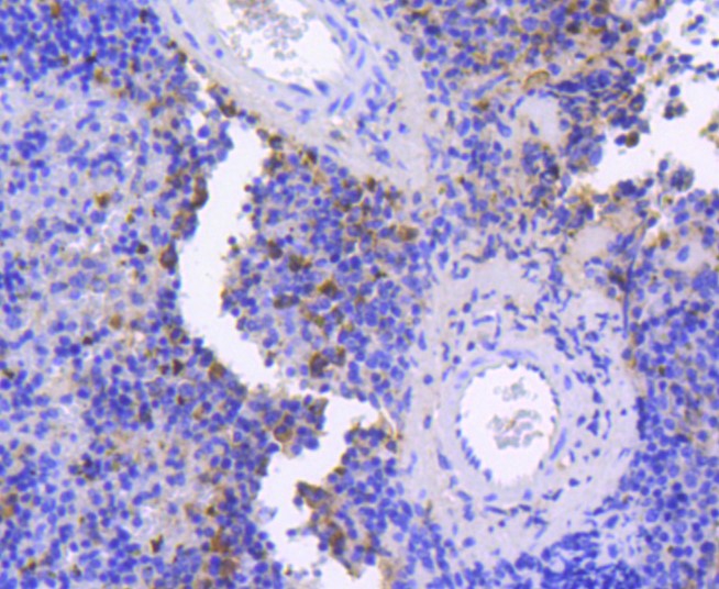
Caspase-9 (2A7) Monoclonal Antibody

Applications

  • WB
  • IHC-P
  • IF(IHC-P)
  • IF(ICC)

Reactivity

  • Human
  • Mouse
Overview
Catalog # bsm-52314R
Product Name Caspase-9 (2A7) Monoclonal Antibody
Applications WB, IHC-P, IF(IHC-P), IF(ICC)
Reactivity Human, Mouse
Specifications
Conjugation Unconjugated
Host Rabbit
Source Recombinant human Caspase-9 between 200 to 350 amino acids
Clonality Monoclonal
Clone # #REF!
Isotype IgG
Concentration 1ug/ul
Purification Purified by Protein A.
Storage Buffer 0.01M TBS(pH7.4) with 1% BSA, 0.02% Proclin300 and 50% Glycerol.
Storage Condition Store at -20C for 12 months.
Target
Gene ID 842
Swiss Prot P55211
Subcellular location Mitochondrion
Synonyms Caspase-9; Apoptotic protease Mch-6; Apoptotic protease-activating factor 3; ICE-like apoptotic protease 6; CASP-9; APAF-3; ICE-LAP6; CASP9
Background Involved in the activation cascade of caspases responsible for apoptosis execution. Binding of caspase-9 to Apaf-1 leads to activation of the protease which then cleaves and activates caspase-3. Promotes DNA damage-induced apoptosis in a ABL1/c-Abl-dependent manner. Proteolytically cleaves poly(ADP-ribose) polymerase (PARP). Isoform 2 lacks activity is an dominant-negative inhibitor of caspase-9.
Application Dilution
WB 1:300-5000
IHC-P 1:200-400
IF(IHC-P) 1:50-200
IF(ICC) 1:50-200