Receive 30% off all Monoclonal IHC antibodies with code "MONO-IHC-30"! Offer valid for US customers and available internationally through distributors.

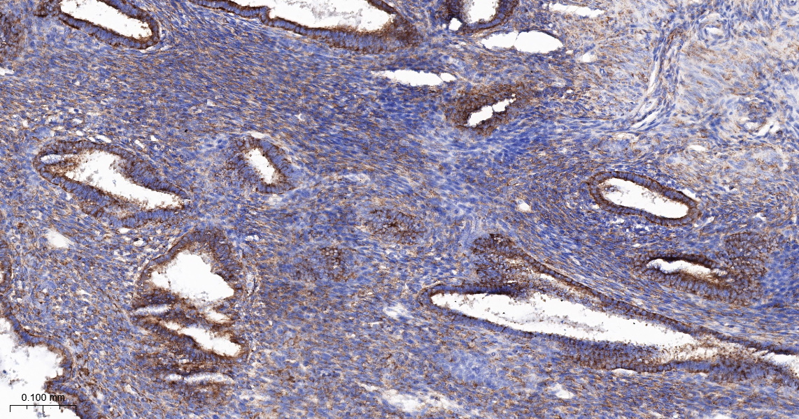
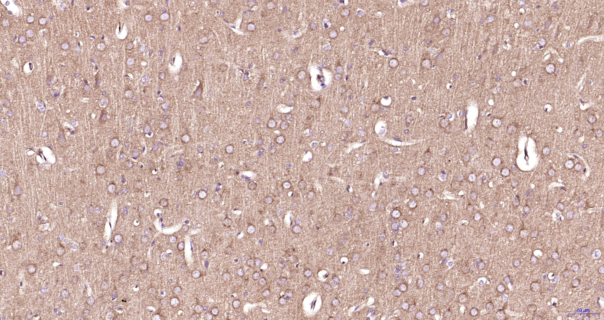
VEGFR1 Recombinant Antibody

Applications

  • WB
  • IHC-P
  • IHC-F
  • IF

Reactivity

  • Human
  • Mouse
  • Rat
Overview
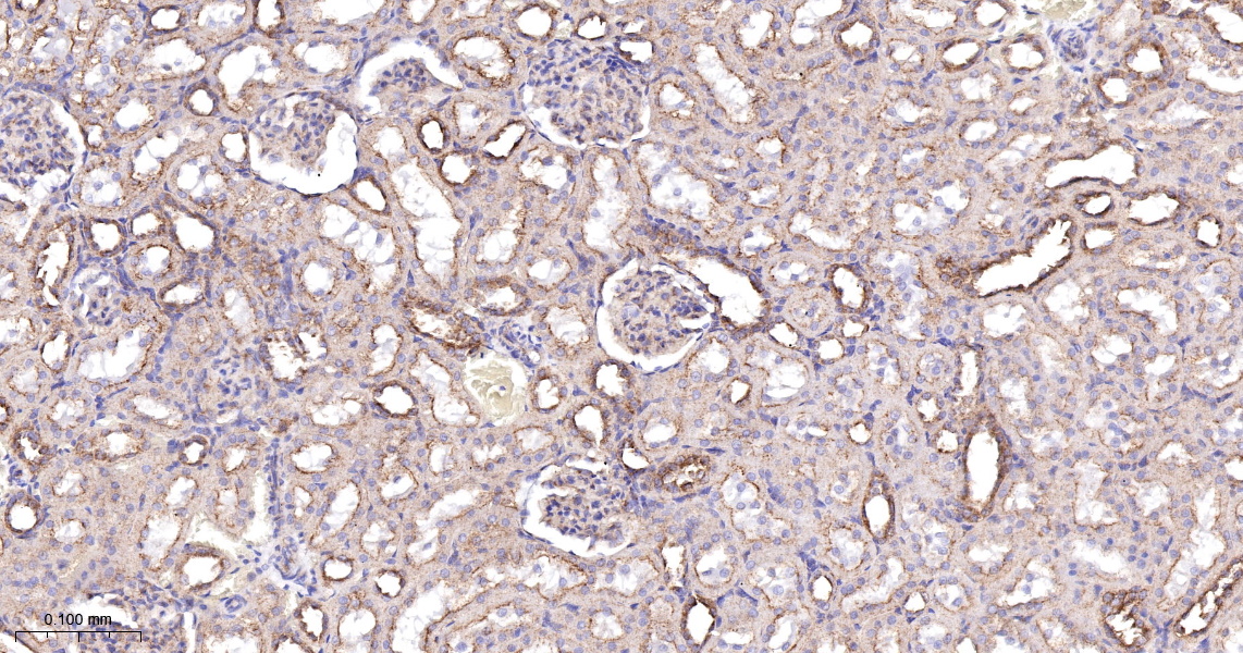
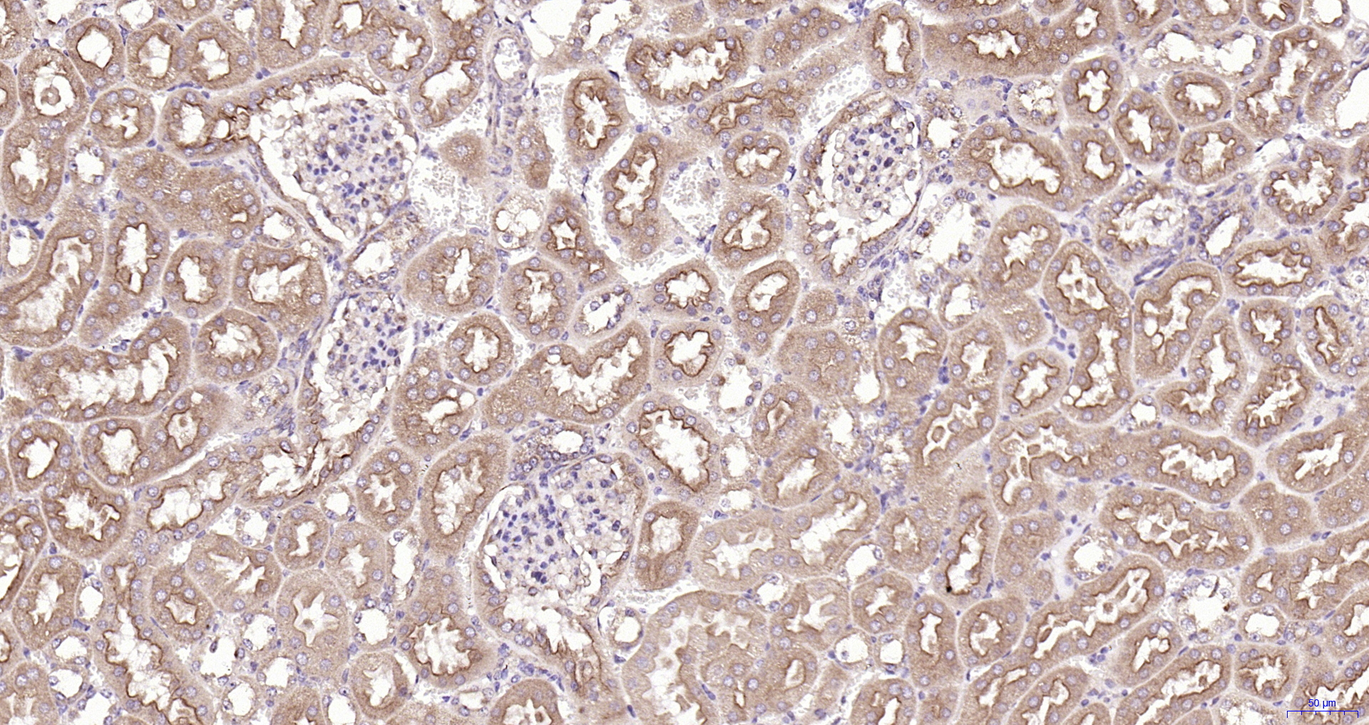
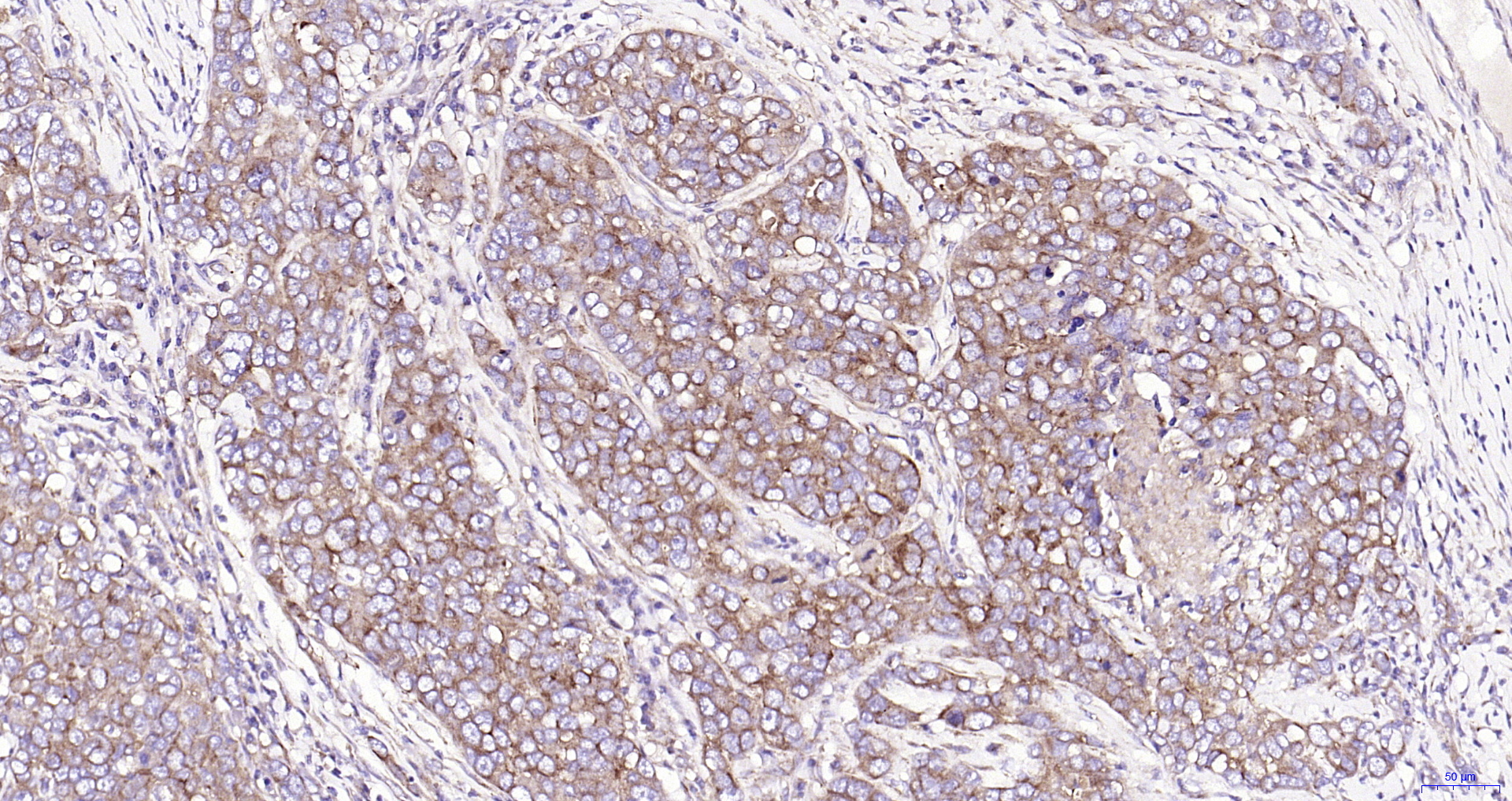
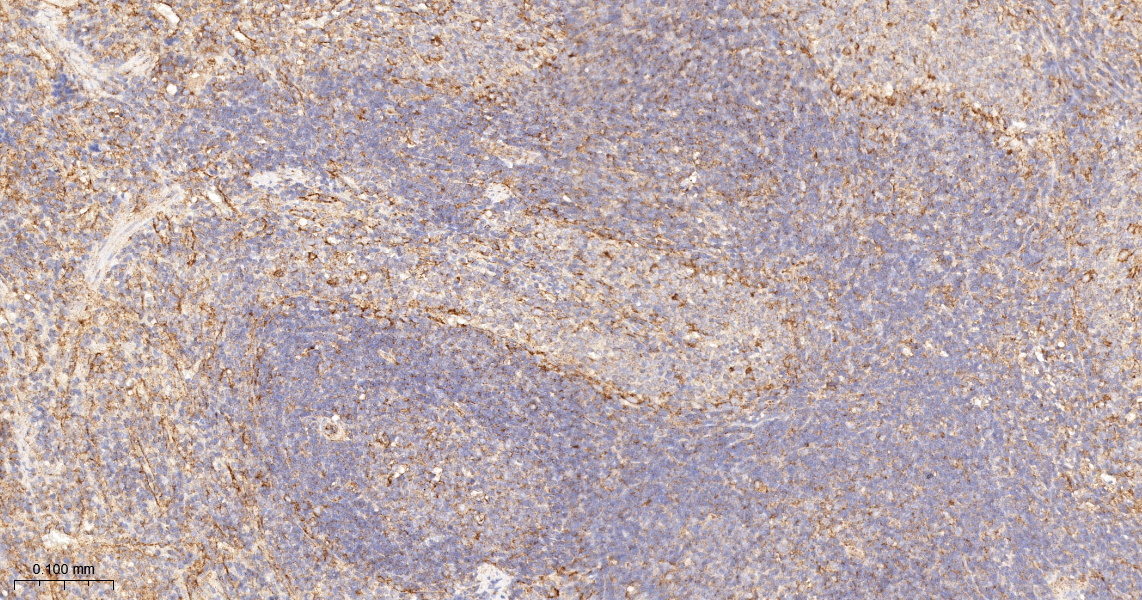
Catalog # bsm-52338r
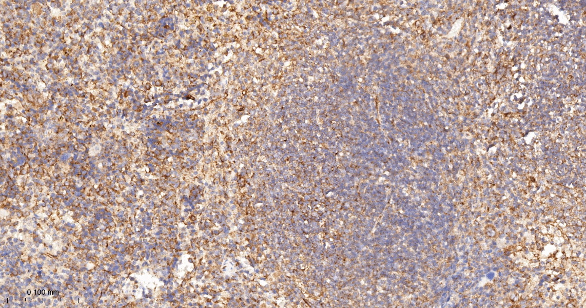
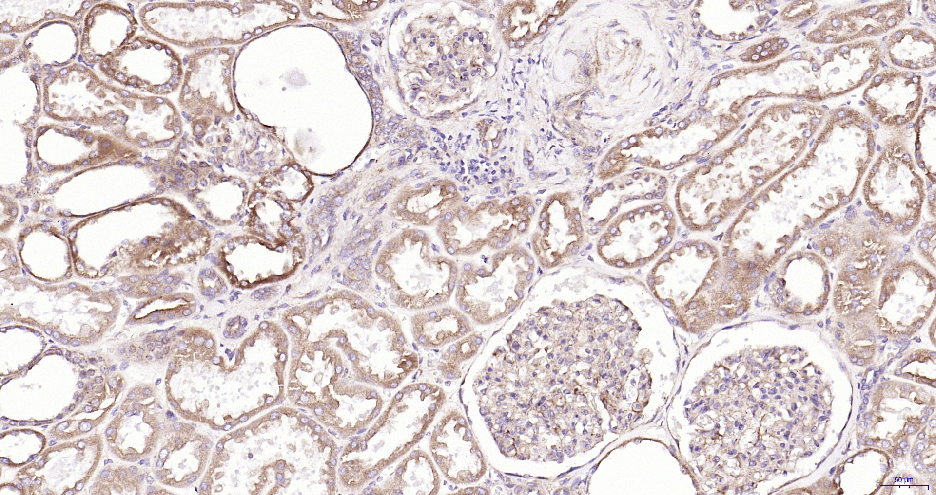
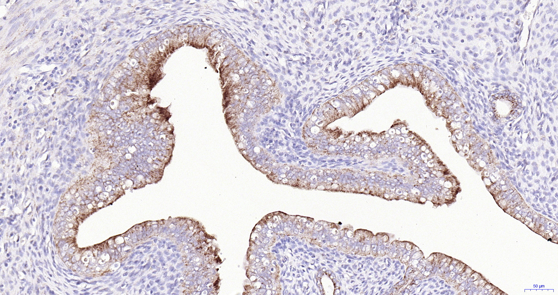
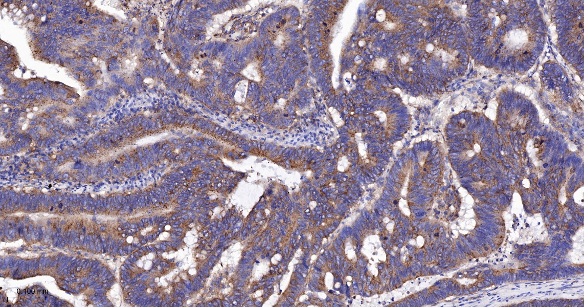
Product Name VEGFR1 Recombinant Antibody
Applications WB, IHC-P, IHC-F, IF
Reactivity Human, Mouse, Rat
Specifications
Conjugation Unconjugated
Host Rabbit
Source Recombinant protein
Clonality Recombinant
Isotype IgG
Concentration Lot dependent
Purification Purified by Protein A.
Storage Buffer 0.01M TBS (pH 7.4), 1% BSA, 0.02% Proclin 300, and 50% Glycerol
Storage Condition Shipped at 4°. Store at -20°C for one year. Avoid repeated freeze/thaw cycles.
Target
Gene ID 2321
Swiss Prot P17948
Synonyms Vascular endothelial growth factor receptor 1, Fms-like tyrosine kinase 1, Tyrosine-protein kinase FRT, Tyrosine-protein kinase receptor FLT, Vascular permeability factor receptor, VEGFR-1, FLT-1, FLT, FLT1
Background VEGF Receptor 1 (also known as FLT) belongs to the src gene family and shows tyrosine protein kinase activity that is important for the control of cell proliferation and differentiation. The protein acts as a receptor for VEGF, VEGFB and PGF. An alternatively spliced form of the gene produces a soluble protein (sFlt1) which binds vascular endothelial growth factor (VEGF) with high affinity. sFlt1 has a higher affinity for VEGF indicating that it may function as an inhibitor in the VEGF response. VEGF Receptor 1 is specifically expressed in most vascular endothelial cells and peripheral blood monocytes.
Application Dilution
WB 1:300-5000
IHC-P 1:200-400
IHC-F 1:100-500
IF