Receive 30% off all Monoclonal IHC antibodies with code "MONO-IHC-30"! Offer valid for US customers and available internationally through distributors.

FUBP1 (3F12) Monoclonal Antibody

Applications

  • WB
  • FCM
  • IHC-P
  • IF(ICC)

Reactivity

  • Human
  • Mouse
  • Rat
Overview
Catalog # bsm-52344R
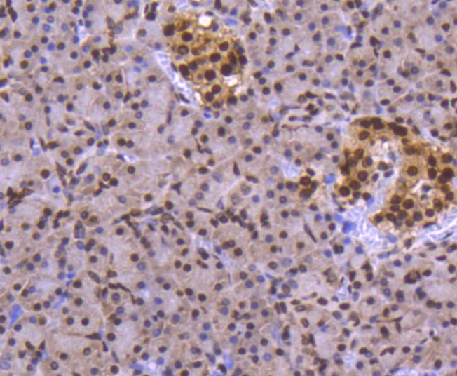
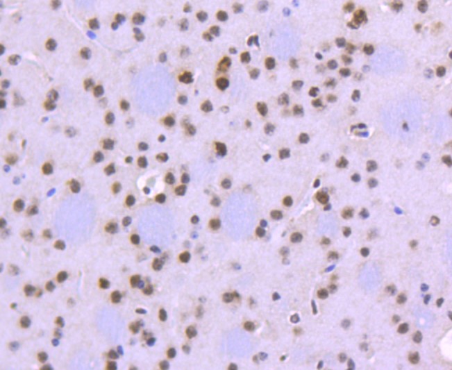
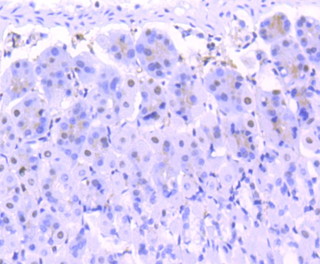
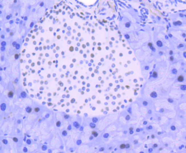
Product Name FUBP1 (3F12) Monoclonal Antibody
Applications WB, FCM, IHC-P, IF(ICC)
Reactivity Human, Mouse, Rat
Specifications
Conjugation Unconjugated
Host Rabbit
Source Recombinant protein within Human FUBP1 between 600 amino acids to C-terminus
Clonality Monoclonal
Clone # #REF!
Isotype IgG
Concentration 1ug/ul
Purification Purified by Protein A.
Storage Buffer 0.01M TBS(pH7.4) with 1% BSA, 0.02% Proclin300 and 50% Glycerol.
Storage Condition Store at -20C for 12 months.
Target
Gene ID 8880
Swiss Prot Q96AE4
Synonyms Far upstream element-binding protein 1, DNA helicase V, FBP, FUSE-binding protein 1, hDH V, FUBP1
Background Regulates MYC expression by binding to a single-stranded far-upstream element (FUSE) upstream of the MYC promoter. May act both as activator and repressor of transcription.
Application Dilution
WB 1:300-5000
FCM 1:20-100
IHC-P 1:200-400
IF(ICC) 1:50-200