Receive 30% off all Monoclonal IHC antibodies with code "MONO-IHC-30"! Offer valid for US customers and available internationally through distributors.

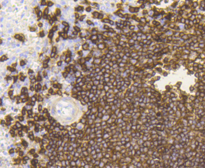
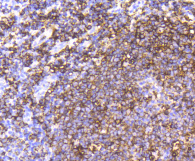
CD20 (2C12) Monoclonal Antibody

Applications

  • WB
  • IHC-P
  • IHC

Reactivity

  • Human
  • Monkey
Overview
Catalog # bsm-52346R
Product Name CD20 (2C12) Monoclonal Antibody
Applications WB, IHC-P, IHC
Reactivity Human, Monkey
Specifications
Conjugation Unconjugated
Host Rabbit
Source Recimbinant human CD20 around C-terminus
Clonality Monoclonal
Clone # #REF!
Isotype IgG
Concentration 1ug/ul
Purification Purified by Protein A.
Storage Buffer 0.01M TBS(pH7.4) with 1% BSA, 0.02% Proclin300 and 50% Glycerol.
Storage Condition Store at -20C for 12 months.
Target
Gene ID 931
Swiss Prot P11836
Synonyms B-lymphocyte antigen CD20, B-lymphocyte surface antigen B1, Bp35, Leukocyte surface antigen Leu-16, Membrane-spanning 4-domains subfamily A member 1, CD_antigen: CD20, MS4A1
Background This protein may be involved in the regulation of B-cell activation and proliferation.
Application Dilution
WB 1:300-5000
IHC-P 1:200-400
IHC