RECEIVE 25% OFF PUBLISHED ANTIBODIES WITH CODE "PUB25"! Offer valid for US customers and available internationally through distributors.

CDX2 Recombinant Antibody

Applications

  • WB
  • FCM
  • IHC-P
  • IHC-F
  • IF(IHC-P)
  • IF(ICC)

Reactivity

  • Human
  • Mouse
  • Rat
Overview
Catalog # bsm-52348r-100ul
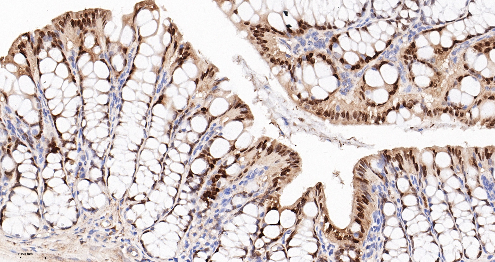
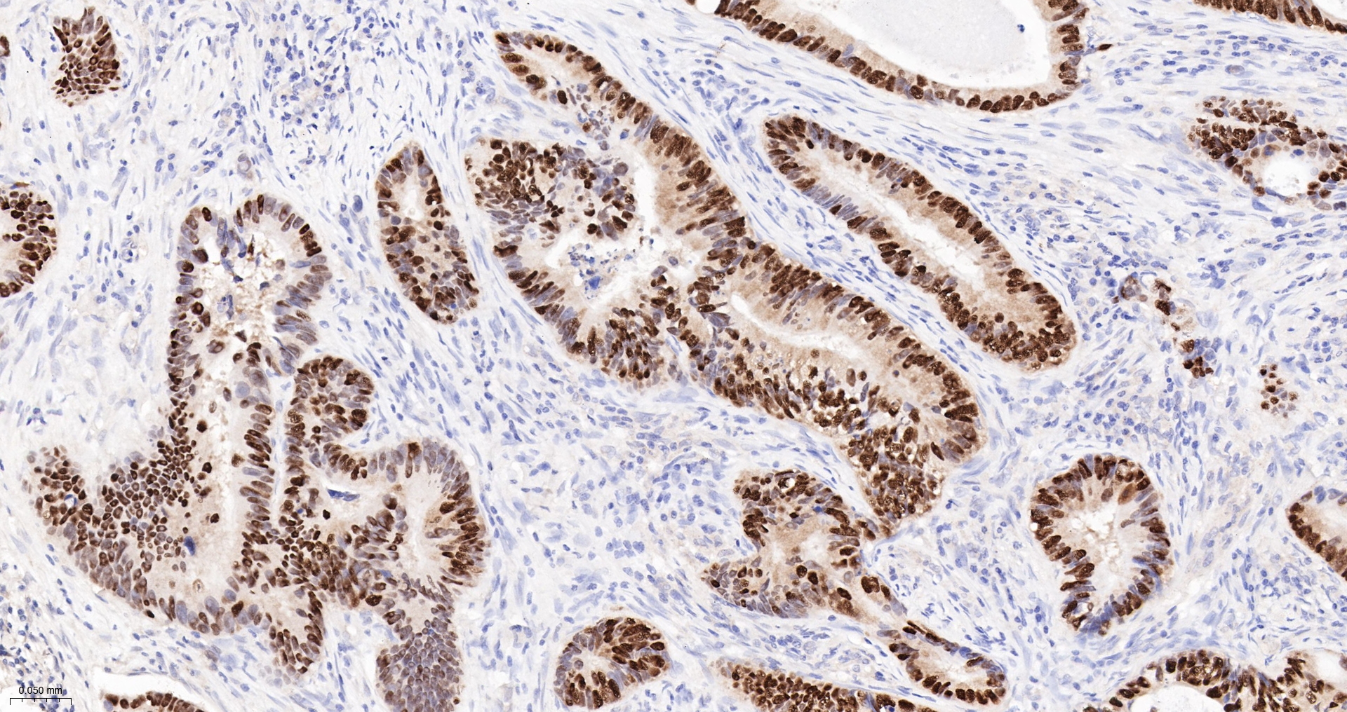
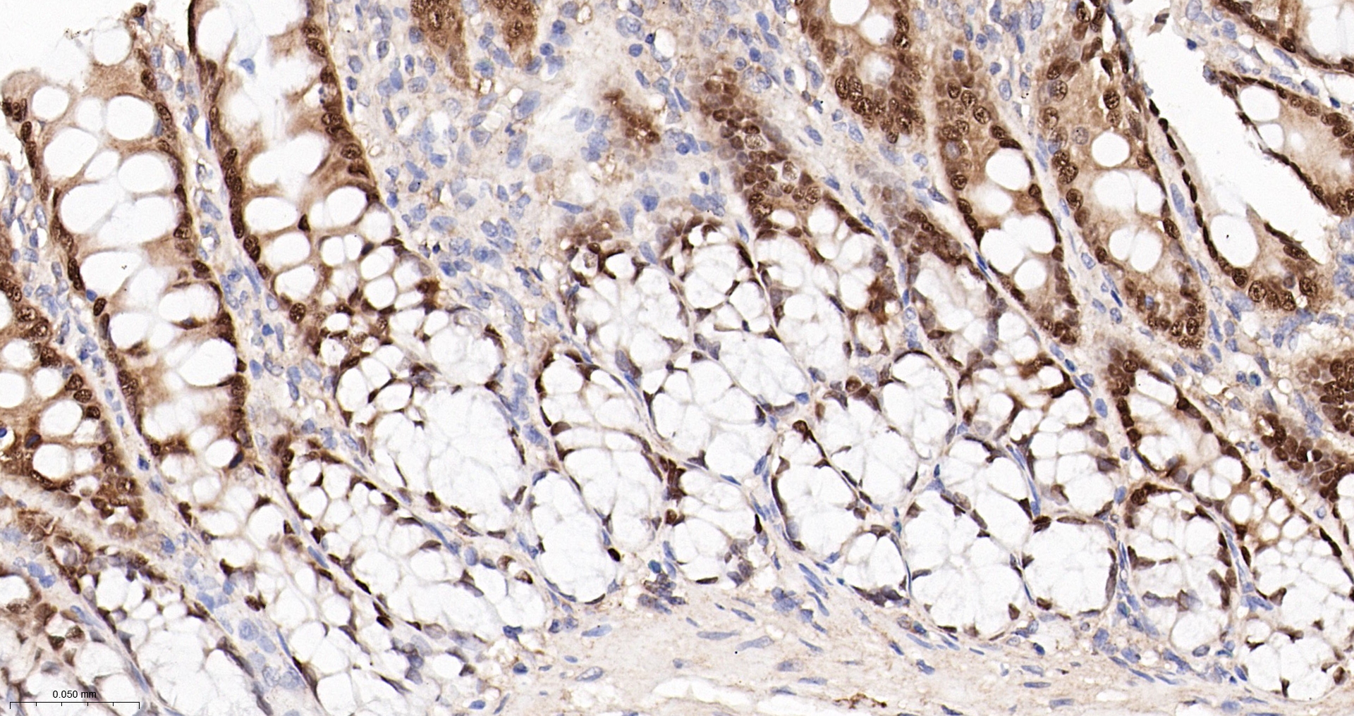
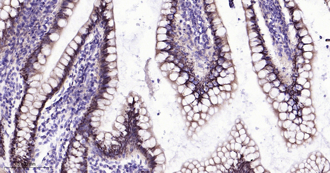
Product Name CDX2 Recombinant Antibody
Applications WB, FCM, IHC-P, IHC-F, IF(IHC-P), IF(ICC)
Reactivity Human, Mouse, Rat
Specifications
Conjugation Unconjugated
Host Rabbit
Source Recombinant human CDX2 between 1 to 150 amino acids
Clonality Recombinant
Isotype IgG
Concentration 1mg/ml
Purification Purified by Protein A.
Storage Buffer 0.01M TBS (pH 7.4), 1% BSA, 0.02% Proclin 300, and 50% Glycerol
Storage Condition Shipped at 4C. Store at -20C for one year. Avoid repeated freeze/thaw cycles.
Target
Gene ID 1045
Swiss Prot Q99626
Synonyms Homeobox protein CDX-2, CDX-3, Caudal-type homeobox protein 2, CDX2
Background Involved in the transcriptional regulation of multiple genes expressed in the intestinal epithelium. Important in broad range of functions from early differentiation to maintenance of the intestinal epithelial lining of both the small and large intestine.
Application Dilution
WB 1:1000-2000
FCM FCM1:50-200
IHC-P IHC-P1:200-1000
IHC-F IHC-F1:200-1000
IF(IHC-P) IFIHC-P1:200-1000
IF(ICC) IFICC1:100-200